aula

Description

aula
hayanenc
Flashcards by hayanenc, updated more than 1 year ago
hayanenc
Created by hayanenc about 10 years ago
5
0

Resource summary

Question Answer
Qual o diagnóstico de Rinossinusite? Diagnóstico é clínico!
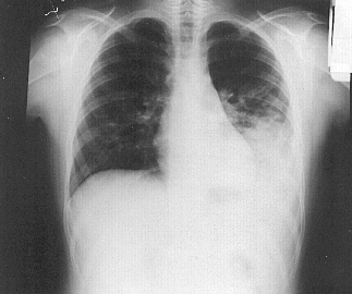
Em pneumonia adquirida na comunidade, é necessária a realização de algum exame complementar? Para confirmar o diagnóstico deve-se realizar um Raio-X de tórax.
Quais os achados comuns de uma Otite Média Aguda? Início agudo, geralmente com secreção em ouvido médio, febre e sintomas gripais.
Como fazer diagnóstico diferencial para Dermatite de Fralda? Dermatite de fralda poupa pregas, apresenta vesículas exsudativas e eritema.
Qual o motivo que leva as pessoas a adoecerem mentalmente? São causas múltiplas que associam gene e ambiente.
Show full summary Hide full summary

Similar

10 dicas para você lidar melhor com o seu tempo
vivi sousa
ING. INSTR.
Lapézio Estúdio
Técnica Feynman
vivi sousa
IELTS Speaking BAND 7+
Caio Uechi
Study Planning: English
Wilza França
Desafio dos sinais: do sinal ao significado - Aula 02
Emannuelle Araújo
Por que 8 de março é o Dia Internacional da Mulher?
GoConqr suporte .
MAPA MENTAL - O USO DOS PORQUÊS
Allan Edver
Estratégia p/ Estudo
czarneski1