|
Created by ana isabella lima martins
almost 3 years ago
|
|
Question | Answer |
cite os 5 tipos de leucócitos | neutrófilo, linfócito, monócito, eosinófilo e basófilo |
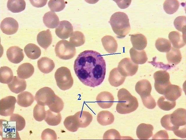
qual a característica do núcleo de um neutrófilo | segmentado (3-5 lobos) |
qual a característica do núcleo de um eosinófilo | núcleo bilobado com citoplasma rosado |
qual a característica do núcleo de um basófilo | núcleo em "rim" |
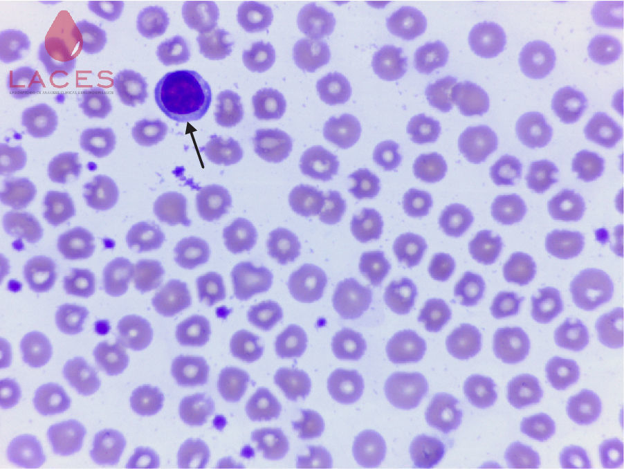
qual a característica do núcleo de um linfócito | núcleo esférico e pouquíssimo citoplasma |
qual a característica do núcleo de um monócito | núcleo em "rim" maior dos leucócitos |
a qual série do sangue pertence os leucócitos? | série branca |
qual procedimento é utilizado para visualização dos leucócitos? | esfregaço |
quais são os corantes utilizados no exame esfregaço? | azul de metileno (básico) eosina (ácido) |
quais são os produtos utilizados após a confecção de uma lâmina? | fixador corantes |
quais itens podem ser visualizados no exame esfregaço? | plaquetas hemácias leucócitos |
qual parte da lâmina é a ideal para análise dos elementos do sangue? | cauda, pois os elementos não estão "empilhados" |
diagnóstico?
Image:
81 Monócito (image/jpeg)
|
monócito |
Image:
Linfocito (image/jpeg)
|
linfócito |
Image:
Eosinófilo (image/jpeg)
|
eosinófilo |
Image:
Neutrofilo2a (image/jpeg)
|
neutrófilo |
Image:
26 Basófilo (image/jpeg)
|
basófilo |
cite caracteristicas dos testes rápidos | resultado em poucos minutos específico alta sensibilidade pouco invasivo simples de ser aplicado |
sobre os teste rápidos: por que se deve respeitar o tempo estipulado pelo fabricante? | para liberar um resultado fidedigno, evitando equívocos ( falsos negativos ou positivos) |
Want to create your own Flashcards for free with GoConqr? Learn more.