patho. practical slides

Description

pathology
أطباء2020
Flashcards by أطباء2020, updated more than 1 year ago
أطباء2020
Created by أطباء2020 about 10 years ago
3004
2

Resource summary

Question Answer
:D بسم الله نبدأ xD ربنا يستر
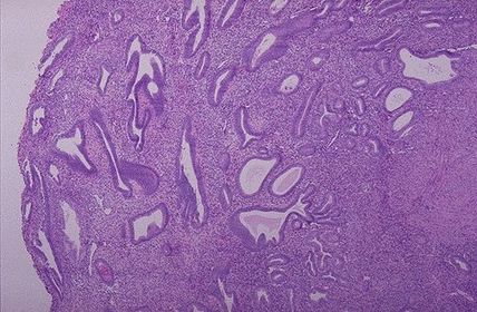
where am I from the universe o.O?! TISSUE TYPE: see glands and stroma... UTERUS PATHOLOGY: hyperplastic glands with different sizes and shapes DIAGNOSIS: endometrial hyperplasia KEY: FIND THE SWISS CHEESE XD..
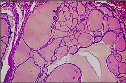
TISSUE TYPE: glands filled with colloid PATHOLOGY: glands increased in size , stretched with colloid (flat epith.) DIAGNOSIS: Nodular Goiter KEY: homogeneous big pinky patches everywhere everywhere ^^ (so unique)
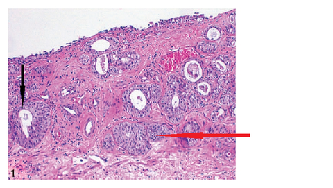
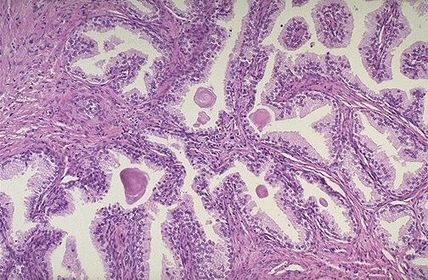
TISSUE TYPE: gland and stroma... specific glands of prostate PATHOLOGY: hyperplasia of gland and stroma DIAGNOSIS: benign prostatic hyperplasia KEY: U CAN SEE CORPORA AMYLECIA
TISSUE TYPE: see glomeruli PATHOLOGY: see area with increased eosinophilia and preserved outlines .. NECROSIS DIAGNOSIS: kidney infarction KEY: EOSINOPHILIA.. NO CASEATION .. NO PUS.. COAGULATIVE NECROSIS
o.O o.O !! eyh el hezar da .. xD keep caaalm .. TISSUE TYPE: respiratory epith. 4ayfo ya Doc. ?? :D .. NOSE PATHOLOGY: Oedematous C.T can find ulceration of epith. or squamous metaplasia DIAGNOSIS: allergic nasal polyp KEY: RESPIRATORY EPITH.
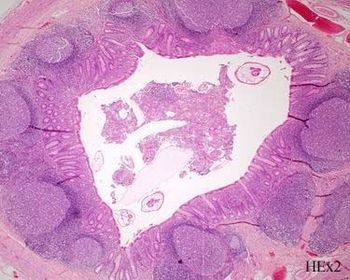
TISSUE TYPE: circular organ .. with lymph follicles .. u see the complete circle... APPENDIX PATHOLOGY: necrotizing tissue in the lumen ... hyperplastic lymph tissue DIAGNOSIS: acute suppurative appendicitis KEY: COMPLETE CIRCLE
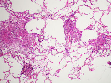
TISSUE TYPE: dots on white page :D... white page= alveolar spaces.. u can see carbon particles (anthracosis)..LUNG PATHOLOGY: inflamatory cells in alveolar spaces .. DIAGNOSIS: acute lobar pneumonia KEY: WHITE BACKGROUND ..
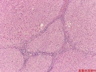
TISSUE TYPE: O.o (loss of architecture) PATHOLOGY: thick fibrous speta with inflamatory cells .. separate nodules of undefined cells. (steatosis) Diagnosis: liver cirrhosis xD KEY: CAN'T SEE ANY SPECIAL THING ABOUT LIVER CAUSE ACTULLAY IT'S DEAD :D
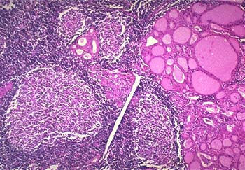
TISSUE TYPE: colloid of..... THYROID PATHOLOGY: inflammatory cells, hyperplastic lymphoid follicles, cells lining acini called oncocytes ,Hurthle or askanazy cells DIAGNOSIS: Hashimoto's thyroditis KEY: ACINI + LYMPH FOLLICLES N.B: differentiate it from Goiter (no lymph follicles)
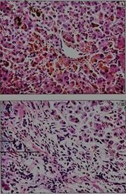
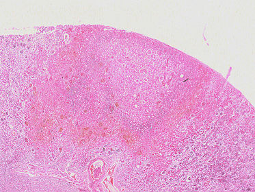
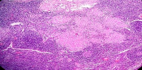
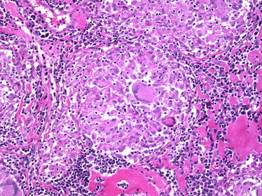
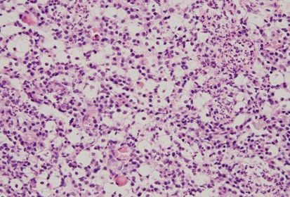
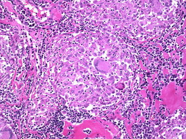
TISSUE TYPE: lymphocyets every where... where am I ??? xD PATHOLOGY: inflamatory granuloma with caseation in the center .. eosinophilic Langhan's cells (an orphan cell in the center) ^^ DIAGNOSIS: tuberculous lymphadenitis KEY: LYMPHOCYTES + CASEATION
TISSUE TYPE: alveolar spaces ... LUNG PATHOLOGY: abnormal tubercle between alveoli ... consist of epithelioid cells and langhan's gaint cells .. and caseation DIAGNOSIS: TB of lung N.B: differentiate it from pneumonia .. (solid pink masses between alveoli NOT dots IN alveoli..)
TISSUE TYPE: lymphocytes every where ... lumph node PATHOLOGY: granuloma with NO caseation .. langhan's cells (with horse shoe arrangement of nuclei) are seen and epithelioid cells.. DIAGNOSIS: Sarcoidosis N.B: NO caseation in contrary to TB. special charecters : Schaumann and asteroid bodies (Don't even think about seeing them xD).. may be isolated in a question .
TISSUE TYPE: by epith. which doesn't exist here xD ... respiratory .. or can be squamous due to metaplasia... NOSE PATHOLOGY: inflamatory cells of Mickulicz and Russel bodies in plasma cells (more eosinophilia) in lower part of section DIAGNOSIS: Rhinoscleroma KEY: RUSSEL BODIES
TISSUE TYPE: u can see transitional epith. (not clear here) ... urinary bladder PATHOLOGY: black arrow: cystitis cystica red arrow: Brunn's nest of course u will see ova (not clear here) DIAGNOSIS: blihariziasis KEY: OVA N.B: differentaite between bladder and ureter Bilhariziasis .. just ureter will be complete circle ..(with same epith. changes) .. in intestine u can see ova or even the worm itself and no epith. changes .. squamous metaplasia can also be seen
DEMO ^^
TISSUE TYPE: unique architecture of live is preserved PATHOLOGY: brownish pigment is deposited in the sinuses DIAGNOSIS: obstructive jaundice KEY: BROWN..
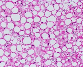
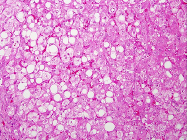
TISSUE TYPE: preserved liver PATHOLOGY: vacuoles of fatty subestance DIAGNOSIS: liver steatosis KEY: VACUOLATION
TISSUE TYPE: unique shape of atrium and ventricle .. heart PATHOLOGY: dystrophic calcification of valve DIAGNOSIS: choronic rheumatic vavulitis
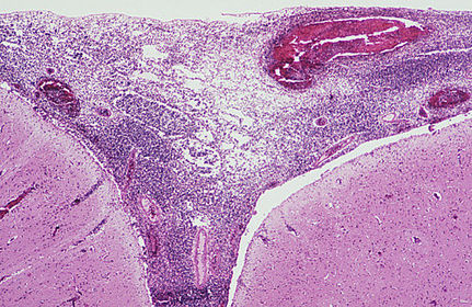
TISSUE TYPE: Gyri and subarachinoid space... brain PATHOLOGY: inflamatory cells in subarachinoid space DIAGNOSIS: acute suppurative meningitis
TISSUE TYPE: periphrally we can see muscle fibrs .. HEART PATHOLOGY: centrally .. fibrosed area with some inflamatory cells DIAGNOSIS: myocardial infarction (healed by fibrosis) KEY: VIABLE PART OF MUSCLE AND FIBEROSED PART
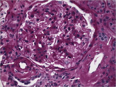
TISSUE TYPE: glomeruli... kidney PATHOLOGY: depsition of foreign material in wall of capillaries .. DIAGNOSIS: Amyliodosis ( can be found in tubules ... afferent arterioles or in interlobular a.) N.B: Amyloidosis in kidney... sarcoidosis in lymph nodes..
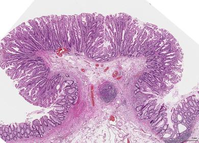
TISSUE TYPE: villi of intestine PATHOLOGY: protrusion of mucosa and submucosa upwards.. bilharizial ova in sub. DIAGNOSIS : bilharizial intestinal polyp KEY: TREE LIKE PROTRUSION..
NOW TRY BY YOUR SELF ;) ..
liver cirrhosis
Fatty liver
Acute lobar pneumonia
Sarcoidosis
TB in lung
DONE ^_^ " ما رميت اذ رميت و لكن الله رمى" ^^
Show full summary Hide full summary

Similar

The Endocrine System
DrABC
Respiratory anatomy
James Murdoch
Fluid and Electrolyte Imbalances
D R
Myalgic Encyphalomyelitis
Joanna Rogowska
Epidemiology
Danielle Richardson
History of Medicine: Ancient Ideas
James McConnell
Epithelial tissue
Morgan Morgan
4. The Skeletal System - bones of the skull
t.whittingham
Neuro anatomy
James Murdoch
Basic Immunology Principles
Robyn Hokulani-C