Errores Radiográficos

Description

Errores en la Radiografías
Omayra Cosme
Flashcards by Omayra Cosme, updated more than 1 year ago
Omayra Cosme
Created by Omayra Cosme almost 10 years ago
1031
0

Resource summary

Question Answer
ERRORES RADIOGRÁFICOS OBSERVE LAS SIGUIENTES IMÁGENES. ELLAS LE MOSTRARÁN EL ERROR EN CADA UNA DE LAS SIGUIENTES RADIOGRAFÍAS .
Estimulemos Nuestro Conocimiento Previo ¿Qué es elongación? ¿Qué es overlapping? ¿Qué causa un corte de cono en una radiografía? ¿Cómo podemos evitar una doble exposición?
Objeto Interpuesto Causado cuando no se removió de la boca alguna prótesis removible antes de tomar la radiografía y aparece un objeto radiopaco.
Radiografía acortada Causada por mucha angulación vertical. Las raíces se ven acortadas en la imagen.
Elongación Causado por poca angulación vertical. Las raíces se ve alargadas.
Radiografía Manchada Se observan pigmentos amarillentos causado por falta de enjuagado de la radiografía después de sacarla del tanque.
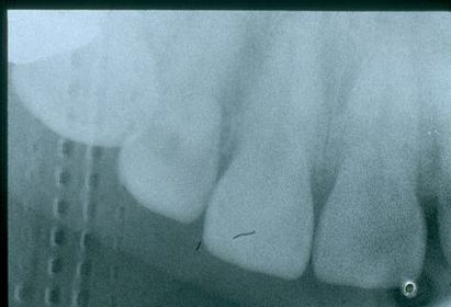
Radiografía rayada Causado por alguno objeto ( pin holder, uñas) que rayo la radiografía antes de que se completara el proceso de fijación.
Radiogafía a revés Las lineas entrecortadas que se aprecian a la izquierda muestran que la laminilla de plomo se coloco hacia el área vestibular y no palatal.
Radiografía Sobre expuesta Los interproximales no se pueden apreciar ya que el cono de la máquina no dirigió los rayos centralizados y cada pieza dental cubre a la adyacente.
Doble exposicióo Causado por tomar la misma radiografía dos veces. Se ven varias imágenes de dientes sobrexpuestos.
Radiografía doblada Causado cuando la película dental se dobla antes, durante o después de su desarrollo. Se muestra una o mas líneas radiolucidas en la imagen.
Corte de cono Causado por no haber centralizado la placa dental en el cono. Se muestra una parte de la radiografía radiopaca.
Radiografía obscura Causado por demasiado tiempo en el desarrollador. La radiografía se observa completamente oscura y sus estructuras no se pueden distinguir.
Radiografía clara Es cuando la imagen queda muy clara por falta de tiempo de radiación o desarrollador. Las estructuras dentales no se pueden distinguir.
Show full summary Hide full summary

Similar

CPU Scheduling Algorithm Practice
Cpu Scheduling
ER DIAGRAM
nurhidayah.mazni
Conjugations
Dana Balin
Werkwoorden op -er klas 1
Defontein Frans
Decline in Secondary sector(Ford UK) /Decline in Teritiary sector(UK)
georgiarosehomes
Effective Citzens
Awmeo Azad
Left and Right Realism
cwylie_15
1.1 Introduction to cells
nealane97
Cytoplasmic Organelles # 1
Samira Fdal
1989: protocolos OSI
Jéssica Tituaña