Parasitoloogia

Description

Parasiidid.
Stella Villemson
Flashcards by Stella Villemson, updated more than 1 year ago
Stella Villemson
Created by Stella Villemson over 9 years ago
430
0

Resource summary

Question Answer
TRYPANOSOMA BRUCEI GAMBIENSE Trüpomastigootsed vormid, vereäigepreparaat
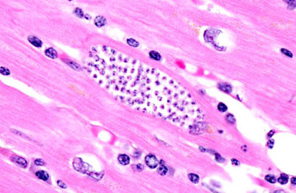
TRYPANOSOMA CRUZI Amastigoodid Histoloogiline preparaat nakatatud hiire südamelihaskoest
LEISHMANIA DONOVANI Amastigoodid Histoloogiline preparaat nakatatud hiire maksakoest
GIARDIA LAMBLIA Trofozoiit Fekaaläigepreparaat
GIARDIA LAMBLIA Tsüst (4 tuumaga) Fekaaläigepreparaat
TRICHOMONAS VAGINALIS Trofozoiidid Värvitud vaginaalsekreediäie
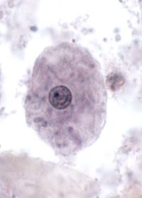
ENTAMOEBA HISTOLYTICA Trofozoiit Fekaaläigepreparaat
ENTAMOEBA HISTOLYTICA Tsüst (2-4 tuuma) Fekaaläigepreparaat
ENTAMOEBA COLI Trofozoiit (tuumake ei ole keskel) Fekaaläigepreparaat
ENTAMOEBA COLI Tsüst (kuni 8 tuuma) Fekaaläigepreparaat
TOXOPLASMA GONDII Trofozoiidid (tahhüzoiidid) Värvitud vereäigepreparaat
TOXOPLASMA GONDII Trofozoiidid (tahhüzoiidid) Nakatatud rakukultuur, värvitud äie
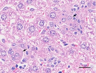
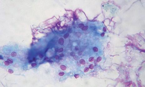
SARCOCYSTIS SP. Koetsüst bradüzoiitidega Histoloogiline preparaat vöötlihaskoest
CRYPTOSPORIDIUM PARVUM Ootsüstid Fekaaläie Modif Ziehl-Neelsen'i Acid-Fast värving
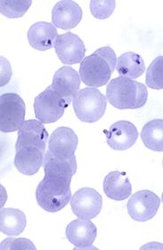
PLASMODIUM VIVAX Trofozoiidid (sõrmus- ja amöboidne staadium) Vereäigepreparaat
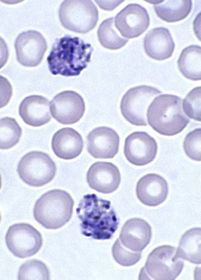
PLASMODIUM VIVAX Skisondid Vereäigepreparaat
PLASMODIUM FALCIPARUM Trofozoiidid Vereäigepreparaat
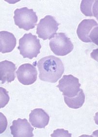
PLASMODIUM FALCIPARUM Gametotsüüt Vereäigepreparaat
BALANTIDIUM COLI Trofozoiidid Äigepreparaat parasiidi kultuurist
BALANTIDIUM COLI Tsüst Äigepreparaat parasiidi kultuurist
RHIZOPUS SP. Sporangiumid ja hüüfid Püsipreparaat alamast hallitusseenest
ASPERGILLUS SP. Koniidikandjad ja hüüfid Püsipreparaat kõrgemast hallitusseenest
PENICILLUM SP. Koniidikandjad ja hüüfid Püsipreparaat kõrgemast hallitusseenest
PNEUMOCYSTIS JIROVECI Tsüstid Bronhiaalaspiraadi äigepreparaat, värvitud toluidiinsinisega
ENTEROCYTOZOON BIENEUSI (Ph. Microsporidia) Spoorid Fekaaläie, modif trikroomvärving
SCHISTOSOMA SP. - vereimiuss Täiskasvanud isane uss Totaalpreparaat
GEN. SCHISTOSOMA Tserkaar Totaalpreparaat
GEN. SCHISTOSOMA - vereimiusside vastsejärgud Sporotsüst ja tserkaar Totaalpreparaat
DIPHYLLOBOTHRIUM LATUM - laiuss Küps lüli Totaalpreparaat
TAENIA SAGINATA - nudipaeluss Küps lüli Totaalpreparaat
HYMENOLEPIS NANA - kääbusviik Täiskasvanud uss Totaalpreparaat
TAENIA SOLIUM - nookpaelussi vastsejärk Tsüstitserk vöötlihaskoes Histoloogiline preparaat
ECHINOCOCCUS GRANULOSUS - ehhinokokk-paeluss Täiskasvanud uss koera soolest Totaalpreparaat
ECHINOCOCCUS GRANULOSUS - ehhinokokk-paelussi vastsevorm Hüdatiidtsüst: tütarpõied ja haudekapslid protoskooleksitega Histoloogiline preparaat
ENTEROBIUS VERMICULARIS - naaskelsaba Täiskasvanud emane uss Totaalpreparaat
TRICHINELLA SPIRALIS - keeritsuss Kapseldunud vastsed vöötlihaskoes Histoloogiline preparaat
IXODES SP. Emane ja isane puuk Totaalpreparaadid
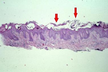
SARCOPTES SCABIEI - süüdiklest Valmikud ja vastsed Sügelishaige nahakaape preparaat
SARCOPTES SCABIEI - süüdiklest Munad ja vastsed nahas Histoloogiline preparaat nahast
PEDICULUS HUMANUS - peatäi ja riidetäi Isane ja emane valmik Totaalpreparaadid
PHTHIRUS PUBIS - satikas e kubemetäi Isane ja emane valmik Totaalpreparaat
CIMEX LECTULARIUS - voodilutikas Valmik Totaalpreparaat
PULEX IRRITANS - inimesekirp Valmik Totaalpreparaat
CTENOCEPHALUS CANIS - koerakirp Valmik Totaalpreparaat
Show full summary Hide full summary

Similar

Raku ehitus ja talitlus
britpilar
Organismide koostis
britpilar
Karl Markuse mõistekaart "ELU"
Karl Markus
Elu omadused
britpilar
Ökoloogia ja keskkonnakaitse
Rellu
Linnud
pilleriinu
Evolutsioon
Rellu
ELU OMADUSED
britpilar
Elu - Adriann ja Kaisa
Kaisa K
Hormoonid
Anna Alamets