Jogo Carol

Description

Jogo Carol
Melissa Soares Moraes
Flashcards by Melissa Soares Moraes, updated more than 1 year ago
Melissa Soares Moraes
Created by Melissa Soares Moraes over 9 years ago
327
0

Resource summary

Question Answer
inflamação aguda serofibrinosa na broncopneumonia
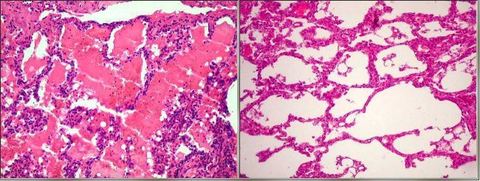
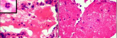
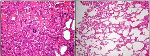
Comparação entre Broncopneumonia e Pulmão Normal
Comparação entre Broncopneumonia e Pulmão Normal
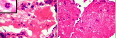
Exsudato Seroso na BRONCOPNEUMONIA
Exsudato Fibrinoso na Broncopneumia
Exsudato fibrinoso na BRONCOPNEUMONIA
Afluxo de Neutrófilos na Broncopneumonia
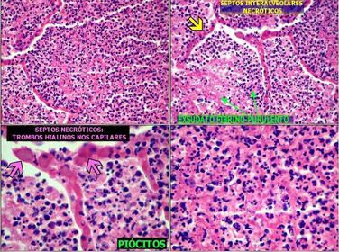
Pneumonia lobar: inflamação aguda fibrinopurulenta. Percebemos que os septos estão necróticos pela destruição, e estão preenchidos com exsudato fibrino purulento (piócitos)
Pneumonia lobar: inflamação aguda fibrinopurulenta Amarelo: septos necróticos. e presença de piócito (neutrófilo degenerado) que compõe o exsudato fibrino purulento
Pneumonia lobar: inflamação aguda fibrinopurulenta Percebemos que os piócitos tem um núcleo mais segmentado e denso Vemos também a fibrina, que é produzida como tentativa de cicatrização/reparo do tecido
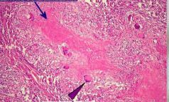
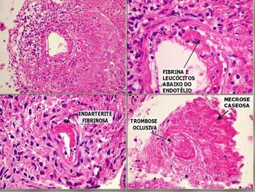
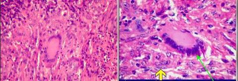
LEPTOMENINGITE TUBERCULOSA : GRANULOMAS INCIPIENTES, NECROSE CASEOSA E VASCULITE NECROSANTE [exemplo de inflamação granulomatosa]
ENDARTERITE AGUDA : EXSUDATO FIBRINO-LEUCOCITÁRIO ENTRE O ENDOTÉLIO E A MÉDIA [exemplo de inflamação granulomatosa]
RADICULITE: INFLAMAÇÃO CRÔNICA DE RAÍZES NERVOSAS
Meningite purulenta em organização - Exemplo de inflamação inespecífica
Meningite purulenta em organização - Exemplo de inflamação inespecífica
Meningite purulenta em organização - lamina 1 mostra exsudato purulento necrótico onde há neutrófilos degenerados . demais lâminas mostram tecido de granulação com vasos neoformados e infliltrado inflamatório
Meningite purulenta em organização - tecido de granulação- infiltrado inflamatório
NO TECIDO DE GRANULAÇÃO: CÉLULAS DA INFLAMAÇÃO CRÔNICA INESPECÍFICA na Meningite Purulenta
NO TECIDO DE GRANULAÇÃO: CÉLULAS DA INFLAMAÇÃO CRÔNICA INESPECÍFICA na Meningite Purulenta
CAMADA MOLECULAR DO CÓRTEX CEREBRAL: ASTRÓCITOS GEMISTOCÍTICOS INDICAM QUE O PROCESSO INFLAMATÓRIO LESOU O TECIDO NERVOSO Meningite purulenta- cicatriz
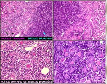
Infiltrado Linfocitário intenso nos colóides tireoidianos na tireoidite autoimune
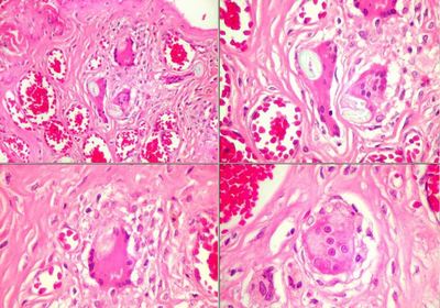
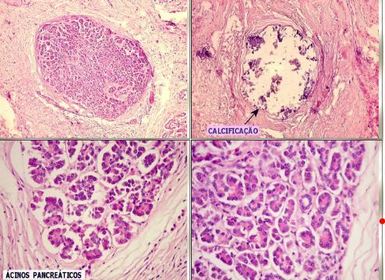
FIBROSE, na pancreatite crônica
Observar a Fibrose e a calcificação
Calcificação e fibrose na pancreatite crônica, como forma de reparo/cicatrização ao parênquima lesado pela inflamação
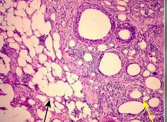
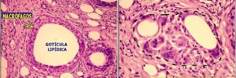
Granuloma Corpo estranho- adipócitos se romperam e liberaram gordura, e o corpo reage como se fosse um corpo estranho criando um granuloma em torno da gordura
Granuloma de corpo estranho por gotícula lípidica, que é circundada por macrófagos
1- Células epítelióides (macrófagos modificados); 2- Células gigantes de corpo estranho (formada pela união de macrófagos[células epitelióides])
Gigantócito de Corpo Estranho- perceber que os núcleos estão dispostos de forma irregular. Essa célula é formada pela união de vários macrófagos
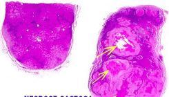
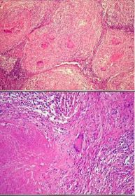
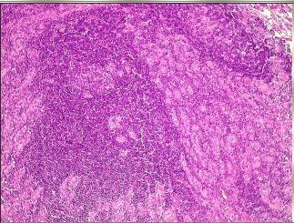
Necrose Caseosa no Linfonodo
Nas lâminas de cima percebemos que o tecido linfóide normal diminui devido as áreas de necrose caseosa. Embaixo, vemos o granuloma com suas células caracterísitcas: células gigantes do tipo Langhars (ferradura) e células epitelióides
Seta Amarela: Cèlulas Epitelióides. Células Verdes: Gigantócito tipo Langhans (com seus núcleos organizados na periferia- tipo ferradura)
Granuloma de células epitelióides gigantes na tuberculose no linfonodo
Seta de cima: Necrose caseosa no centro do granuloma, Seta de baixo: Gigantócitos do granuloma
Necrose Caseosa (coagulativa) em destaque, com granulomas apontados pelas setas
Célilas epitelióides (são as células que definem o granuloma) e gigantócito (do tipo Langhans) com núcleo organizado em ferradura na periferia (diferente da de corpo estranho que tem núcleos centrais desorganizados)
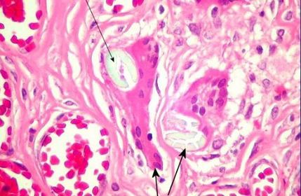
Granuloma de corpo estranho- presença de gigantócitos/células gigantes de corpo estranho como reação à um fio cirúrgico
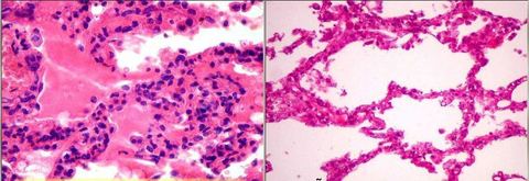
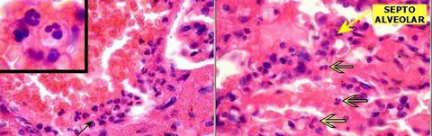
Broncopneumonia: Marginalização dos leucócitos, e neutrófilos apontados na seta amarela
Broncopneumonia: Exsudato com presença de neutrófilos e hemácias. Exsudato seroso e fibrinoso
Broncopneumonia: comparação entre o septo com broncopneumonia e o normal. O septo patilógico apresenta-se mais espessado e com hipercelularidade (neutrófilos) e preenchido por exsudato
Esplenomegalia pós cirrótica (o fígado diminui, gera hipertensão portal, sobrecarregando o baço, que ira aumentar de tamanho)
Esplenomegalia- Crise pós necrótica
Hepatite Aguda- com Necrose em Ponte (reação inflamatória intensa próxima aos vasos gerou necrose dessa região)
Hepatite Aguda com Necrose em Ponte (reação inflamatória intensa próxima aos vasos gerou necrose dessa região)
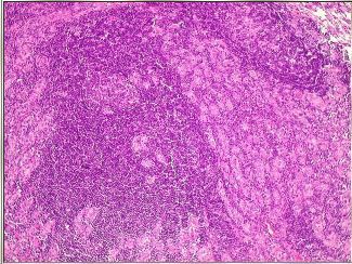
Tiroidite de Hashimoto (ou tiroidite autoimune). Tiróide mostrando, em pequeno aumento, intenso infiltrado linfocitário formando folículos linfóides com centros germinativos. Grande parte da área do corte é constituída por reação inflamatória.
Folículo Linfoide com centro germinativo- Tireoidite
Tiroidite de Hashimoto (ou tiroidite autoimune). Tiróide mostrando, em pequeno aumento, intenso infiltrado linfocitário formando folículos linfóides com centros germinativos. Grande parte da área do corte é constituída por reação inflamatória.
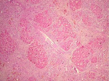
TIREOIDEITE- Em aumento maior, os folículos são atróficos e contêm pouco ou nenhum colóide. O aspecto tem semelhanças com a doença de Graves (ver quadro anterior), e pode até ser confundido com aquela. As diferenças são que na tiroidite de Hashimoto o infiltrado é mais intenso, as células foliculares são menores e não têm aspecto sugestivo de hiperatividade funcional.
Tiroidite de Hashimoto
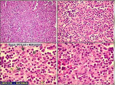
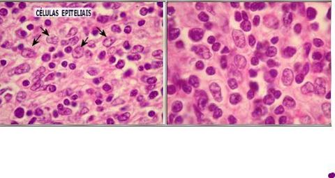
TIMOMA- neoplasia do timo, presença abundante de linfócitos e células epiteliais neoplásicas
TIMOMA- - neoplasia do timo, presença abundante de linfócitos e células epiteliais neoplásicas
Vasos hiperemiados na apendicite aguda
Apendicite aguda: presença de neutrófilos na camada muscular do apêndice
Apendicite aguda caracterizando exsudato fibrino purulento, na seta amarelo temos neutrófilo e na preta fibrina
Gigantócito de corpo estranho- como resposta à um fio cirúrgico (no centro do granuloma), perceba que o gigantócito é uma grande célula multinucleada, formada pela união de macrófagos
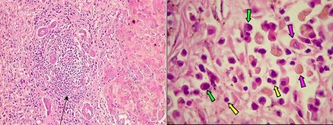
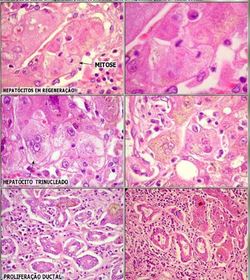
Formação de pseudolobos na hepatite aguda, pela necrose no lobo (hepatite aguda viral)
Hepatite aguda viral: na primeira lâmina observamos um um infiltrado inflamatório que é destacado na segunda. Seta verde: plasmócito; seta amarela: linfócito e seta rosa: macrófagos
Hepatócitos balonizados na hepatite aguda (entrada de água dentro do hepatócito)
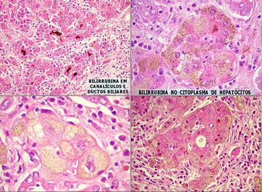
Colestase na Hepatite aguda
Mitose como forma de regeneração dos hepatócitos na hepatite viral aguda. Proliferação ductal também é observada
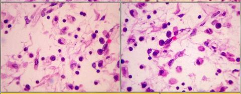
Criptococo- fungos no espaço interventricular cerebral
Criptococose cerebral- fungos presentes no espaço de Virchow, 1- cápsula, 2- fungo . A cápsula do fungo protege ele da fagocitose
Fungos encapsulados acima e macrófagos abaixo na Criptococose cerebral
Criptococose cerebral- reprodução por brotamento do fungos
Show full summary Hide full summary

Similar

Classicismo
thiagosilva327
Trovadorismo
Neves07
JOGO CAROL v2
Melissa Soares Moraes
Humanismo
Neves07
Estilística
carolina_sonayra
Substantivos
thiagosilva327
6Ds
Leticia C
CAV
Leticia C
FIGURAS DE LINGUAGEM
Janayna Barbosa
Comunicação Empresarial
TURMA 16723