Lab Exam 2 - Final

Description

Concepts and procedures to know for Exam 2 of Shuo Zhang's Microbiology Lab Class
Lyna Phillips
Flashcards by Lyna Phillips, updated more than 1 year ago
Lyna Phillips
Created by Lyna Phillips almost 9 years ago
86
0

Resource summary

Question Answer
LAB 12 What is the objective of the lab where we counted bacterial cultures in a milk sample? 1. To appreciate the stringent guidelines used in the milk industry 2. To know the method commonly used in the milk industry to control the microbial growth in the milk. 3. To know the serial dilution methodology
LAB 12 Know how to count the colonies of a bacterial sample on a streak plate. - There must be between 30 and 300 colonies to be viable. - "Too numerous to count" is the term used when there are more than 300 colonies. - "Not statistically valid" is the term used when there are fewer than 30
LAB 12 Is simply counting the number of bacterial colonies on a milk sample enough to judge the safety of the milk? Why or why not? No, it is not: - just because there is a small number of bacteria does not mean that those colonies are non-pathogenic - the streak plate only accounts for aerobic bacteria, so anaerobic cultures may not be counted for - bacterial clusters may form a single colony
LAB 12 Know how to determine the dilution.
LAB 13 What is the purpose of the "Effect of Heat" lab? 1. To understand the effect of heat on bacterial culters 2. To determine the heat sensitivity of bacterial cultures
LAB 13 What are the purposes of moist heat? 1. To sanitize, disinfect, and sterilize. 2. Able to denature proteins and destroy cytoplasmic membranes. 3. It is more effective than dry heat
LAB 13 What are the uses and limitations of boiling? 1. Kills vegetative cells of bacteria and fungi, protozoan, trophozoites, and most viruses. 2. Does not kill protozoan cysts and some viruses. 3. Boiling time is critical
LAB 13 Know the temperatures and times used for different types of pasteurization. 1. Flash pasteurization: 72 C for 15 sec. 2. Traditional pasteurization: 63 C for 30 min.
LAB 13 What is the definition of "thermal death point"? The lowest temperature that kills all cells in broth in 10 minutes
LAB 13 What is the definition of "thermal death time"? The amount if time it takes to sterilize a volume of liquid at a set temperature.
LAB 13 What are the parameters for autoclaving? 121 C at 15 psi for 15 minutes. Capable of achieving sterility.
LAB 13 What are the uses and limitations of using dry heat? 1. For materials that cannot be sterilized with moist heat. 2. Can oxidize metabolic and structural chemicals. 3. Requires higher temperatures for longer amounts of time than moist heat. 4. Incineration it the ultimate means of sterilization.
LAB 13 What are the factors that affect TDT in regards to the relative susceptibility of microorganisms? - Most resistant: endospores - Intermediate resistance: fungal spores, protozoan cyst, viruses, and pathogenic bacteria. - Least resistant: vegetative bacteria, fungi, protozoa, and some viruses.
LAB 13 What are the environmental factors that affect TDT? - pH: if it the environment has a low pH (acidic), then TDT will be more efficient. - Presence of biofilms: if biofilms are present, TDT will be less efficient
LAB 13 Which is more effective, dry or moist heat? Moist heat
LAB 13 How do you determine TDT? TDT will be the time slot at which the bacteria stops growing
LAB 14 Know the difference between "antiseptic" and "disinfectant". 1. Antiseptic - Refers to reducing the number of microorganisms and viruses on living tissue. (iodine, alcohol) 2. Disinfectant - Refers to the destruction of microorganisms and viruses on nonliving tissue. (phenolics, alcohols, aldehydes, soaps)
LAB 14 What is the difference between the terms "bactericide" and "bacteriostatic"? 1. Bactericide - means to kill bacteria. (germicide) 2. Bacteriostatic - means to inhibit the growth of but not completely destroy the bacteria. (like temp controlling)
LAB 14 What is the purpose of the "Effects of Chemicals" lab? 1. To distinguish between: antiseptic vs. disinfectant & bactericidal vs. bacteriostatic 2. to recognize the advantages and disadvantages of using various types of anti-microbial agents. 3. To evaluate the effectiveness of various anti-microbial chemicals.
LAB 14 What is the mechanism that phenols use and what is an example? Phenols are disinfectants that denature protein. An example would be Lysol.
LAB 14 What is the mechanism that rubbing alcohol uses? Rubbing alcohol in an antiseptic and disinfectant that works by disrupting the cell membrane.
LAB 14 What is the mechanism that hydrogen peroxide (H2O2) uses? Hydrogen peroxide is an antiseptic and a disinfectant that works by oxidizing microbial enzymes.
LAB 14 What is the mechanism that copper sulfate (CuSO4) uses? Copper sulfate is a disinfectant that works by denaturing proteins.
LAB 14 Know about the "phenol coefficient test" and how it is used to evaluate disinfectants. - Evaluates the efficiency of disinfectants by comparing their ability to to control microbes to phenol - Greater than 1.0 indicates that an agent is more effective than phenol - This has been replaced by other
LAB 14 Know the "use-dilution test". – Metal cylinders dipped into broth cultures of bacteria – Contaminated cylinder immersed into dilution of disinfectant – Cylinders removed, washed, and placed into tube of medium – Most effective agents entirely prevent growth at highest dilution – CURRENT STANDARD IN THE U.S. – New standard procedure being developed
LAB 14 Know the "Kelsey-Sykes Test". – Alternative assessment approved by the European Union – Bacterial suspensions added to the chemical being tested – Samples removed at predetermined times and incubated – Lack of bacterial reproduction reveals minimum time required for the disinfectant to be effective
LAB 14 Know the "In-use test". – Swabs taken from objects before and after application of disinfectant or antiseptic – Swabs inoculated into growth medium and incubated – Medium monitored for growth – Accurate determination of proper strength and application procedure for each specific situation
LAB 15 What is the purpose of the "carbohydrate fermentation" lab? 1. To understand the physiological role of carbohydrate fermentation to bacteria 2. To interpert carbohydrate fermentation tests
LAB 15 Is fermentation an aerobic or anaerobic process? Fermentation is anaerobic
LAB 15 Does fermentation yield ATP? Yes, fermentation yields ATP.
LAB 15 What kind of gases can come from fermentation? Hydrogen or carbon dioxide
LAB 15 What kind of acids can be be produced from fermentation? Fermentation can yeild lactic, acetic, and citirc.
LAB 15 What is a the name of the inverted tube that was used during the carbohydrate fermentation test? What did it detect? It is called a Durham tube and it detects gas production
LAB 15 At a neutral pH, the phenol indicator is red. What does it mean if the color changes to yellow? When the pH lowers to 6.8 or less, the phenol indicator will change to RED to signify the production of acids.
LAB 15 Evaluate the carbohydrate fermentation test: - No acids produced - Gas produced - Fermentation occured
LAB 15 Evaluate the carbohydrate fermentation test: - Acids produced - Gas produced - Fermentation occured
LAB 15 Evaluate the carbohydrate fermentation test: - No acids produced - No gases produced - No fermentation occurred
LAB 16 What is the purpose of the "Triple Sugar Ion Test" lab? - To carry out and interpret a TSI test - To understand the purpose of the TSI test and multi-test media
LAB 16 What does a TSI test indicate? To differentiate gram-positive and gram-negative bacteria
LAB 16 What are the components of a TSI test? Glucose - 0.1% Lactose - 1% Sucrose - 1% pH indicator - phenol red (red when alkaline; yellow when acid)
LAB 16 What kind of acids does the TSI test typically yield? Organic acids like lactic and acetic acid.
LAB 16 How would you evaluate the following TSI test on E. Coli? - All sugars fermented - Gas produced
LAB 16 How would you evaluate the following TSI test on Proteus Vulgaris? - All sugars fermented - Gas produced - H2S (hydrogen sulfide gas) = formation of "black butt"
LAB 16 How would you evaluate the following TSI test on Enterobacter Aerogenes? - Glucose fermented - Lactose and sucrose initially fermented but those acids will oxidize with under aerobic conditions and then turn the slant red - Gases produced
LAB 16 Know the reaction that makes the "black butt". H2S (hydrogen sulfide) + FeSO4 (ferrous sulfide) ----> FeS (ferrous sulfide *black*) + H2SO4 (sulfuric acid)
LAB 17 What is the purpose of doing the "IMV(i)C Test" lab? - To carry out the IMV(i)C test and learn how to interpret the results - Be able to indentify gram-negative enterobacteriaceae in particular by determining the types of enzymes that are present in them.
LAB 17 What does IMV(i)C stand for? I - Indole M - Methyl Red Test V - Voges-Proskauer Test (i) - meaningless C - Citrate
LAB 17 How do you interpret the results of the Indole test? Kovac's reagent is being used to test for the presence of Indole as a result of the breaking down of tryptophan. E. Coli : Red = Indole is present E. Aerogenes : Yellow = Indole is absent
LAB 17 How do you interpret the results of the Methyl Red test? Methyl Red is the reagent used to test for the fermentation of glucose. E. Coli : Red = Glucose fermenter E. Aerogenes : Yellow = Non glucose fermenter
LAB 17 How do you interpret the results of the Voges-Proskauer test? Barrits A&B solution is used to test for glucose fermentation and acetoin presence. E. Coli : Yellow = Non glucose fermenter, acetoin not present. E. Aerogenes : Red = Glucose fermenter, acetoin is present.
LAB 17 How do you interpret the results of the Citrate test? Bromothymol blue is the reagent used to test for permeases and alkalinity. E. Coli : Green = No permeases present E. Aerogenes : Blue = Permeases present
LAB 19 Define phage typing. Phage typing is a method using for detecting single strains of bacteria and then exposing to a virus that has specificity. Virus specificity can help identify bacteria.
LAB 19 What is the procedure for bacteria phage typing? - Pour melted agar onto a petri dish that has been divided into 3 sections, each section labeled for an individual bacteria. - Swab the bacteria on to each of their respective sections - Aseptically streak a lapful of 'lytic T-phage' down the center line of each section - Tape closed - Incubate upside-down at 37 C for 24 hours
LAB 19 How can you interpret your results form bacteria phage typing? If there is an indentation (patches of lysis), then the bacteria was infected by the lytic T4-phage.
LAB 19 Understand phage specificity. Particular bacteriophages can only infuse certain strains of bacteria. This specificity is based on the interactions of proteins on the surface of the bacteriophage.
LAB 19 Define bacteriophage. Bacteriophage is a virus that infects bacteria
LAB 19 Know the structure of a virus. - Nucleic acid - Protein coat (capsid) - Envelope: The outer most layer that provide protection and recognition sites for host cells.
LAB 19 Understand the lytic cycle. 1. Attachment - Tail fiber to receptor 2. Entry - Lysozyme weakens the cell wall 3. Degradation of host cells genetic material - by viral enzymes 4. Synthesis of new viruses 5. Assembly of new viruses 6. Release - Lysozyme weakens the cell wall
LAB 19 Understand the lysogenic cycle. 1. Attachment of Lambda phage 2. Entry 3. Prophage in host bacteria DNA (bacteriophage genetic material that is inactive until triggered) 4. Replication of chromosome and virus & cell division 5. Induction ----------> become virulent and enters lytic cycle
LAB 20 Know which leukocytes are granular and what their differentiating trait it. They contain large granule that can stain different colors. Basophil, neutrophil, and eosinophil.
LAB 20 Know which leukocytes are agranular and what their differentiating trait is. Their granules cannot be seen with a compound light microscope. Monocytes and lymphocytes.
LAB 20 Know the traits of basophils. - Granulocyte - Bi-lobed nucleus - Coarse granule that stain blue with the basic dye methylene blue
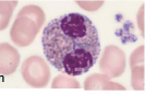
LAB 20 Know the traits of eosinophils. - Granulocyte - Bi-lobed nucleus - Fine granules stain in red/orange with acid dye eosin
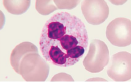
LAB 20 Know the traits of neutrophils. - Granulocyte - Multi-lobed nucleus - Granules stain lilac with mix of acidic and basic dyes
LAB 20 Know the traits of lymphocytes. - Agranulocyte - Small cell with a single nucleus that takes up most of the cell
LAB 20 Know the traits of monocytes. - Agranulocyte - Large cell with single kidney bean shaped nucleus that takes of most of the cell. - Become macrophages when they enter tissues
LAB 20 Know the names and tissues of the macrophages that monocytes becomes when they enter the tissue. Neural tissue : Microglia Liver : Kupffer cell Lung : Alveolar macrophages Skin : Langhan's cell
LAB 20 Which leukocytes are associated with innate immunity & the second line of defense? 1. Platelets-blood clotting & inflammation 2. Basophils-Inflammation 3. Neutrophils-Phagocytosis 4. Eosinophils-Phagocytosis 5. Monocytes-Phagocytosis
LAB 20 Which leukocyte is associated with adaptive/sepcific immunity ? 1. Lymphocytes - B-cells & T-cells
LAB 21 What is the purpose of the Kirby-Bauer test lab? 1. To learn the standard method of antibiotic sensitivity testing. 2. To compare the of four antibiotics 3. To understand the zone of inhibition
LAB 21 What is an antibiotic? An antimicrobial agent produced naturally by organisms
LAB 21 What is a semi-synthetic? Antimicrobials that are chemically altered antibiotics that are more effective than naturally occurring ones
LAB 21 What are synthetics? Antimicrobials that are completely synthesized in a lab
LAB 21 How does antimicrobial resistance happen? Sensitive bacteria... - develops new mutations of chromosomal genes - acquires R-plasmids via transformation, transduction, and conjugation.
LAB 21 How does penicillin work? Cell wall inhibition and targeting gram-positive bacteria.
LAB 21 How does streptomycin work? Inhibits protein synthesis
LAB 21 How does tetracycline work? Inhibits protein synthesis
LAB 21 How does chloramphenicol work? Inhibits protein synthesis
Show full summary Hide full summary

Similar

Chapter 7 - The Blue Print of Life, from DNA to Protein
Dorothy B
Immune System
dsandoval
THE PROTIST MIND MAP
hasvinee
Infection and Disease
hannahcurle
HIV and the immune system
Beth Moore
Protein section 2
MrSujg
Microbiology Final Exam - Fall 2016
Lyna Phillips
Microbiology MCQs 3rd Year Final- PMU
Med Student
Microbiology Test 1 2nd Year PMU
Med Student
Microbiology and Immunology
AchalaM
Horizontal gene transfer
Joe Wanford