Parasitology - Practical

Description

PMU Para Practical Slides
Nicole Adamou
Flashcards by Nicole Adamou, updated more than 1 year ago More Less
Sole C
Created by Sole C about 10 years ago
Nicole Adamou
Copied by Nicole Adamou almost 9 years ago
1599
7

Resource summary

Question Answer
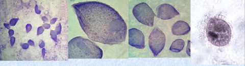
Entamoeba Histolytica - Cystic Form (Forma Cystica) Disease - Amebiasis, Amoebic Dysentery
Entamoeba Histolytica - Trophozoite (forma magna) Disease - Amebiasis, Amoebic Dysentery
Trypanosoma Gambiense - Trypomastigote Disease - Trypanosomiasis, African Sleeping Sickness
Trypanosoma Cruzi - Trypomastigote Disease - Chagas Disease
Trypanosoma Cruzi - Amasigote Disease - Chagas
Leishmania Donovani - Promastigote Form Disease - Visceral Leishmaniasis, Kaza-azar
Leishmania Donovani - ~Amasigote Form Disease - Visceral Leishmaniasis, Kaza-azar
Trichomonas Vaginalis - Trophozoites Disease - Trichomoniasis
Giardia Lamblia - Vegetative Forms (Trophozoites) Disease - Giardiasis
Balantidium Coli - Cyst Diease - Balantidiasis
Balantidium Coli - Trophozoites Diease - Balantidiasis
Toxoplasma Gondii - Trophozoites Disease - Toxoplasmosis
Toxoplasma Gondii - Cyst Disease - Toxoplasmosis
Plasmodium Vivax - Gametocyte/Ring Trophozoite Disease - Malaria
Plasmodium Falciparum - Gametocyte Diease - Malaria
Fasciola Hepatica - Adult Fluke Disease - Fascioliasis
Fasciola Hepatica - Cercariae Disease - Fascioliasis
Fasciola Hepatica - Redia Disease - Fascioliasis
Fasciola Hepatica - Eggs (trematode type) Disease - Fascioliasis
Dicrocoelium Dendriticum - Adult Fluke Disease - Dicroceliasis
Opisthorchis Felineus - Adult Fluke Disease - Opisthorchiasis
Dicrocoelium Dendriticum/Opicthorchis (Respectively) - Eggs Disease - Dicroceliasis, Opisthorchiasis
Schistosoma Mansoni - Adult Form Disease - Schistosomiasis
Schistosoma Mansoni - Egg Disease - Schistosomiasis
Schistosoma Haematobium - Egg Disease - Schistosomiasis
Schistosoma Japonicum - Egg Disease - Schistosomiasis
Furcocercous Cercaria Disease - Schistosomiasis
Taenia Solium - Scolex Disease - Taeniasis
Taenia Solium - Progolittids (segments) Disease - Taeniasis
Taenia Solium - Proglottids from adult form Disease - Taeniasis
Taenia Solium - Eggs with Hexacanths Disease - Taeniasis
Taeniarhynchus Saginatus - Scolex Disease - Taeniarhynchosis
Taeniarhynchus Saginatus - Proglottid Disease - Taeniarhynchosis
Taeniarhynchus Saginatus - Eggs (with hexacanths) Diease - Taeniarhynchosis
Diphyllobothrium Latum - Scolex Disease - Diphyllobothriasis
Diphyllobothrium latum - Proglottids Disease - Diphyllobothriasis
Diphyllobothrium Latum - Eggs Disease - Diphyllobothriasis
Echinococcus Granulosus - Adult Disease - Echinococcosis
Echinococcus Granulossu - Hydatid Cyst with scolices Disease - Echinococcosis
Hymenolepis Nana - Adult Disease - Hymenolepidiasis
Hymenolepis Nana - Egg (With Hexacanths) Disease - Hymenolepidiasis
Hymenolepis Nana - Proglottids Disease - Hymenolepidiasis
Ascaris Lumbricoides - Adult Disease - Ascariasis
Ascaris Lumbricoides - Eggs Disease - Ascariasis
Ascaris Lumbricoides - Larvae (In Lung tissue) Disease - Ascariasis
Entrobius Vermicularis - Adult Disease - Enterobiasis
Enterobius Vermicularis - eggs Disease - Enterobiasis
Trichuris Trichiura (Whipworm) - Adult Disease - Trichuriasis, Whipworm infection
Trichuris trichiura (whipworm) - Eggs Disease - Trichuriasis, Whipworm Infection
Trichinella Spiralis (Trichuna Worm) - Adult Disease - Trichinosis, Trichiniasis
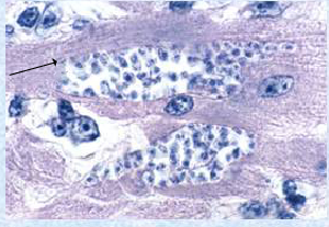
Trichinella Spiralis (Trichuna Worm) - Encysted Larvae (In Muscle Tissue) Disease - Trichinosis, Trichiniasis
Ancylostoma Duodenale (Hookworm) - Adult Disease - Ancylostomiasis
Ancylostoma duodenale (Hookworm) - Egg Disease - Ancylostomiasis
Strongyloides Stercoralis - Adult Disease - Strongyloidosis
Strongyloides Stercoralis - eggs Disease - Strongyloidosis
Dracunculus Medinensis (Guinea Worm) - Adult Disease - Dracunculiasis, Dracontiasis
Dracunculus Medinensis (Guinea Worm) Disease - Dracunculiasis, Dracontiasis
Wuchereria (Fliaria) Bancrofti - Adult Disease - Filariasis
Wuchereria (Filaria) Bancrofti - Lymphoedema Disease - Filariasis
Wuchereria (Filaria) Bancrofti - Microfilaria Disease - Filariasis
Ixodes (Hard Ticks) - Adult Tick Disease - Acaridosis
Sarcoptes Scabiei - Adult Disease - Scabies Rash
Pediculus Capitis (Hair Louse) - Adult Disease - Pediculosis
Pediculus Capitis (Hair Louse) - Eggs Disease - Pediculosis
Phthirius Pubis (Crab Louse) - Adult Lice Disease - Phthiriasis
Pulex Irritans (Human Flea) Bubonic Plague (Transmissive Disease)
Blatta Orientalis (Black Beetle) Transmissive Diseases
Cimex Lectularius (Reduviid Bugs) Transmissive Disease
Anopheles - Adult Transmissive Infections
Culex - Adult Transmissive Infections
Phlebotomus Papatasii (Sandfly) Transmissive Diseases
Musca Domestica (Housefly) Transmissive Disease
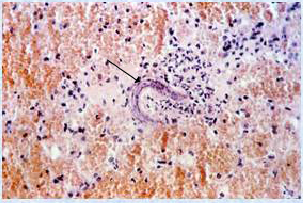
Glossina Palpalis (Tsetse Fly) - Adult Transmissive Disease
Show full summary Hide full summary

Similar

Respiration
Sarita Saha
Transport in mammals
Aarushi Pandit
Biology AQA 3.1.3 Cells
evie.daines
Biology AQA 3.2.5 Mitosis
evie.daines
Biology AQA 3.1.3 Osmosis and Diffusion
evie.daines
Biology- Genes, Chromosomes and DNA
Laura Perry
Biology- Genes and Variation
Laura Perry
Enzymes and Respiration
I Turner
GCSE AQA Biology - Unit 2
James Jolliffe
GCSE AQA Biology 1 Quiz
Lilac Potato
Using GoConqr to study science
Sarah Egan