GI pathology

Description

Flashcards about GI conditions (tested on in Phase 2A, Medicine, Sheffield).
Molly Brewster
Flashcards by Molly Brewster, updated more than 1 year ago
Molly Brewster
Created by Molly Brewster over 8 years ago
33
0

Resource summary

Question Answer
What is gluten intolerace enteropathy? Coeliacs disease Intolerance to giardin, a prolamin (protein found in gluten).
Name two clinical tests that you could do to see if someone has Coeliac's disease, and what you would find if they did 1. Blood test (specifically serology): to test for anti-DPG and anti-transglutaminase anibodies 2. Duodenal biopsy: flattened villi, lots of lymphocytes in the tissue, hyperplasia of the crypts of Lieberkuhn 3. GLUTEN CHALLENGE --> the patient will have to be eating gluten for around 6 weeks prior to this test
How could someone with coeliac's disease obtain a negative serology result? They may be deficient in IgA --> would need to test for IgG antibodies specific to coeliac diease, e.g. anti-deaminated glianin peptides.
(HARD) In a healthy individual, how is gluten dealt with in the body? Broken down into various proteins through the digestive system, one being gliadin. This cannot be broken down in the stomach - travels into the duodenum. Here, it then binds to IgA - this then causes the immune system to destroy it.
Describe the pathophysiology behind coeliac disease Over-expression of transferrin (receptor) on enterocytes, allowing gliadin to pass into the intestinal walls. Here, it is then deaminated by tTG into smaller peptides. Individuals with coeliac - HLA-DQ2/8 (these are found in some healthy individuals too), that cause macrophages to express gliadin fragments on MHC class 2 receptors - CD4+ (T helper) bind to this and release inflammatory cytokines - enterocyte damage. Also cause B cells to release antibodies against the gliadin and associated enzymes. Killer T cells cause direct damage to the enterocyte --> inflammatiion and damage in the gut.
List four clinical symptom of coeliac disease Bloating Weight loss Maladsorption associated (e.g. iron deficieny anemia, macrolytic anemia, fatigue, weight loss) Indigestion Constipation Diarrhoea Nausea Flatulence (gas)
What is the name of the gene that causes macrophages to express gliadin fragments on their MHC2 receptors? HLA-DQ2 or HLA-DQ8
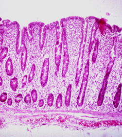
A woman presents with a six month history of diarrhoea and bloating. From this picture, what is the most likely diagnosis, and why? Coeliacs diseaese Flattened villi, hyperplasia of the crypts, numerous LYMPHOCYTES can be seen (purple dots).
A 20 year old girl presents in the clinic with diarrhoea at night Nocturnal diarrhoea should push you towards IBD (rather than IBS)
Name three differences between ulcerative colitis and Chron's 1. Ulcerative colitis only affects the large bowel 2. UC is continuos, Chron's is all patchy and discontinuos 3. UC only affects the top layer of the bowel (mucosa), Chron's comes through all the layers of the bowel
Name four red flag symptoms of colo-rectal cancer 1. Blood in stools 2. Weight loss 3. Altered bowel habits >55 years 4. Abdominal mass 5. Family history of bowel cancer
How can you treat IBD? Can't cure IBD, but you can manage the symptoms, improving the QOL for the individual (although flare-ups are still likely to occur with treatment - random). Some people have a flare up due to certain dietary foods --> avoid these foods and eat a healthy, balanced diet. Certain medications can improve the symptoms, the first line being anti-inflammatory's (5-ASA's and corticosteroids). Immuno-suppressants may be offered if these do not work, along with biological agents (monoclonal antibodies). If these drugs do not work, then surgery is an option.
Chloe, a 25 year old postgraduate, comes into your clinic complaining of bloating, abdominal pain and diarrhoea. Name three investigations that you could do to determine the cause of her problems. 1. Blood test 2. Stool test 3. CT scan
A 23 year old male comes into the clinic with a rash across his chest ..... (not finished) Rash = dermetitis epiformis (coeliac disease)
What is Barret's oesophagus? Oesophageal epithelium changes into stomach epithelium
What is the most common cause of Barret's oesophagus? GORD (gastro-oesophageal reflux disease)
What is gluten sensitive enteropathy? Coeliac disease (just another name for it)
Is Helicobacter pylori a gram positive or negative bacterium? Gram negative
What is a volvulus? sdcks;dcks;dkcsdc
What is the most important investigation that you would do if you suspect colorectal (bowel) cancer? COLONSCOPY (second to this would be the CT scan)
Name three reasons why familial colorectal cancer (also known as bowel cancer) screening would be offered to an individual 1. 1' relative with/has had colorectal cancer <45 years old 2. 2+ 1' relatives of any age 3. If they have FAP or HNPCC - hereditary conditions that increase the risk of developing colorectal cancer
What is the most common type of colorectal cancer? Adenocarcinoma (cancer of the glandular cells)
Give four symptoms of Chron's disease 1. Crampy abdominal pain 2. Fatigue 3. Diarrhoea, sometimes fat seen it it (steatorroea, light coloured stools that float) 4. General feeling of being unwell 5. Mouth ulcers
In which part of the bowel is cancer most likely to occur?
Show full summary Hide full summary

Similar

IBD - Inflammatory Bowel Disease
Julie HEYRMAN-COMPERNOLLE
GI Health Botanicals/ Supplements IBD, IBS, GERD, Liver
Julie HEYRMAN-COMPERNOLLE
Amino acid quiz
. .
Coeliac disease
Molly Brewster
Cristianismo Verdadero
Raul Aguilar
Dyspepsia
Molly Brewster
Peritonitis
Molly Brewster
ENFERMEDADES GASTROINTESTINALES
Flor Gualoto
Dietary Treatment
SS_
GastroIntestinal Pharmacology
Kate Parvey
Dietetics A
andy_long86