Hjertet

Description

Medicine Flashcards on Hjertet, created by Shira Hendin on 05/03/2017.
Shira Hendin
Flashcards by Shira Hendin, updated more than 1 year ago
Shira Hendin
Created by Shira Hendin over 8 years ago
3
0

Resource summary

Question Answer
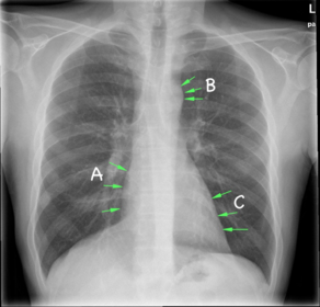
Benævn de markerede strukturer: A: Atrium Dextrum B: Arcus Aortae C: Ventriculus sinister
Benævn de markerede strukturer: A: Vena Cava Superior B: Arcus Aortae C: Trachea D: Osophagus E: V. Azygos
Show full summary Hide full summary

Similar

Epidemiology
Danielle Richardson
History of Medicine: Ancient Ideas
James McConnell
Epithelial tissue
Morgan Morgan
4. The Skeletal System - bones of the skull
t.whittingham
Neuro anatomy
James Murdoch
The Endocrine System
DrABC
Respiratory anatomy
James Murdoch
Medical Terminology
khachoe_pema
Diabetes - pathophysiology
Morgan Morgan
PHARMACOLOGY BLOCK 1- basic intro
wallacejr@hotmail.co