|
|
Created by anna.d.mcgrew
over 11 years ago
|
|
| Question | Answer |
| The ___ glands in the axilla become active at the time of puberty | apocrine sweat |
| The ___ glands in the axilla become active at the time of puberty | apocrine sweat |
| The layer of the skin that contains the blood vessels and nerves that are closest to the surface of the skin is the ____ layer | papillary |
| The layer of the skin that contains the blood vessels and nerves that are closest to the surface of the skin is the ____ layer | papillary |
| All of the following are true of the subcutaneous layer, EXCEPT it -is attached to the dermis by a basement membrane -is well supplied with nerves that pass into the skin -contains large amounts of adipose tissue -contains many blood vessels -permits independent movement of deeper structures | is attached to the dermis by a basement membrane |
| All of the following are true of the subcutaneous layer, EXCEPT it -is attached to the dermis by a basement membrane -is well supplied with nerves that pass into the skin -contains large amounts of adipose tissue -contains many blood vessels -permits independent movement of deeper structures | is attached to the dermis by a basement membrane |
| the type of cells that form the strata in the epidermis are | keratinocytes |
| the type of cells that form the strata in the epidermis are | keratinocytes |
| the layer of diving cells at the base of the epidermis is the | stratum germinativum |
| the layer of diving cells at the base of the epidermis is the | stratum germinativum |
| Each of the following is a function of the integumentary system, except -protection of underlying tissue -maintenance of body temperature -provision of sensation -excretion of salts and wastes -synthesis of vitamin C | synthesis of vitamin C |
| Each of the following is a function of the integumentary system, except -protection of underlying tissue -maintenance of body temperature -provision of sensation -excretion of salts and wastes -synthesis of vitamin C | synthesis of vitamin C |
| The layer of the skin that contains bundles of collagen and elastic fibers responsible for the strength of the skin is the ___ layer | reticular |
| The layer of the skin that contains bundles of collagen and elastic fibers responsible for the strength of the skin is the ___ layer | reticular |
| When the arrector pili muscles contract | "goose bumps" are formed |
| When the arrector pili muscles contract | "goose bumps" are formed |
| Accessory structure of the skin include all of the following, except | epidermis |
| Accessory structure of the skin include all of the following, except | epidermis |
| The two components of the integumentary system are the | cutaneous membrane and accessory structures |
| The two components of the integumentary system are the | cutaneous membrane and accessory structures |
|
Image:
5-1 (image/png)
|
Meissner's corpuscle |
|
Image:
Q5-3 (image/png)
|
10 |
|
Image:
5-3 (image/png)
|
Pacinian corpuscle |
|
Image:
5-4 (image/png)
|
hair papilla |
|
Image:
5-5 (image/png)
|
dermis |
|
Image:
5-6 (image/png)
|
sebaceous gland |
|
Image:
Q5-12 (image/png)
|
1 |
|
Image:
Q5-16 (image/png)
|
3 |
|
Image:
Q5-18 (image/png)
|
3 |
|
Image:
Q5-20 (image/png)
|
areolar connective tissue |
|
Image:
Q6-1-1 (image/png)
|
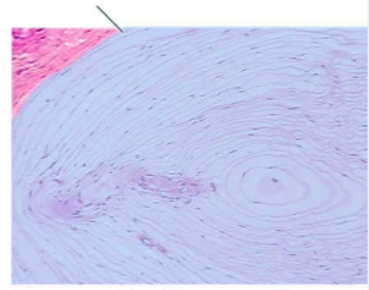
perforating canal |
| The central canal of an osteon contains | blood vessels |
| The articular cartilage of a typical long bone is composed of what type of cartilage | hyaline cartilage |
| Cartilage is separated from surrounding tissues by a fibrous | perichondrium |
| Chondrocytes are to cartilage as osteocytes are to | bone |
| The trabeculae of spongy bone | are organized along stress lines |
| The type of cartilage that is found in the external ear is | elastic |
|
Image:
Q6-1-8 (image/png)
|
lacunae |
| In compact bone, the osteons -are lacking in the diaphysis -are separated by medullary spaces -are lined up perpendicular to long axis -are lined up in the same direction -are arranged in an irregular pattern | are lined up in the same direction |
| Which of the following is a characteristic of bone? -the matrix of the bone contains chondroctin sulate -the matrix of the bone is very dense and contains deposits of calcium salts -the matrix of the bone is very light and contains deposits of hyaluronic acid | -the matrix of the bone is very dense and contains deposits of calcium salts |
|
Image:
Q6-1-11 (image/png)
|
lacunae |
| Which of the following labels best matches osteocyte -stem cell -secretes organic matrix -mature bone cell -dissolves matrix | -mature bone cell |
| The most common type of cartilage is ____ cartilage | hyaline |
| The narrow passageways that contain cytoplasmic extensions of osteocytes are called | canaliculi |
|
Image:
Q6-1-15 (image/png)
|
fibrocartilage |
|
Image:
Q6-1-16 (image/png)
|
osteon |
|
Image:
Q6-1-18 (image/png)
|
concentric lamellae |
|
Image:
Q6-1-19 (image/png)
|
5 |
| The space occupied by an osteocyte is called a | lacuna |
| The rib cage is part of the axial or appendicular skeleton? | axial skeleton |
| The region of a long bone between the end and the shaft is known as the | metaphysis |
| Which of the following is not a bone of the axial skeleton? -sternum -rib -skull -vertebrae -clavicle | clavicle |
| Which of the following is a function of the skeletal system? -blood cell production -calcium homeostasis -body support -protection of internal organs -all of the choices are correct | -all of the choices are correct |
| The lining of the medullary cavity is called the | endosteum |
| Which of the following is not part of the appendicular skeleton? -radius -hyoid -humerus -ulna -carpal | hyoid |
| A deep hollow on a bone is called a | fossa |
| The pectoral girdle is part of the axial or appendicular skeleton? | appendicular skeleton |
| A shallow depression in a bone is called a | fossa |
| The medullary cavity of bones contains | marrow |
| Fat is stored within the | medullary cavity |
| The smooth, rounded articular process of a bone is called a | condyle |
| A sharp slender process is a | spine |
| The shaft of a long bone is called the | diaphysis |
| A hole through a bone is called a | foramen |
| Which of these is not considered one of the bones of the face? -maxilla -mandible -zygomatic -vomer -frontal | frontal |
| Which of these is a forearm bone? -tibia -fibula -humerus -femur -radius | radius |
|
Image:
6-3-3 (image/png)
|
coracoid process |
| The suture that forms the articulation of the parietal bones with the frontal bone is the ___ suture | coronal |
|
Image:
6-3-5 (image/png)
|
spinous process |
| Which of the following is not part of the axial skeleton? -pectoral girdle -skull -auditory ossicles -hyoid bone -vertebral column | pectoral girdle |
| The largest component coxal bone is the | ilium |
| The tarsus contains _(#)_ bones | 7 |
| The longest and heaviest bone in the body is the | femur |
| The paranasal sinuses are located in all of the following bones except the -maxillae -frontal -ethmoid -zygomatic -sphenoid | zygomatic |
| The ribs articulate with the -thoracic vertebrae -cervical vertebrae -lumbar vertebrae -spinous process -all of the choices are correct | thoracic vertebrae |
|
Image:
6-3-12 (image/png)
|
calcaneus |
| The odontoid process is found on the | axis |
|
Image:
6-3-14 (image/png)
|
2 |
|
Image:
6-3-15 (image/png)
|
7 |
| The hypophyseal fossa of the sella turcica contains the ___ gland | pituitary |
|
Image:
6-3-17 (image/png)
|
spine |
|
Image:
6-3-18 (image/png)
|
greater tronchanter |
| the bones that form the fingers are the | phalanges |
| humans normally have ___ pairs of ribs | 12 |
|
Image:
6-4-1 (image/png)
|
tibia |
| Which foot movement enables the ballerina to stand on her toes | plantar flexion |
| The movements known as dorsiflexion and plantar flexion involve moving the | foot |
| The ligament that provides support to the front of the knee joint is the | patellar |
| The back of the knee joint is reinforced by ___ ligaments | popliteal |
|
Image:
6-4-6 (image/png)
|
anterior |
| In the knee joint the medial and lateral menisci -are carilages that bind the knee to the tibia -both A and D -act as cushions and conform to the shape of the articulating surfaces -take the place of bursae -are found between the patella and femur | act as cushions and conform to the shape of the articulating surfaces |
| A twisting motion of the foot that turns the sole outward is | eversion |
| An extension past the anatomical position is called | hyperextension |
| The medial surface of the knee joint is reinforced by the ___ ligament | tibial collateral |
|
Image:
6-4-11 (image/png)
|
improve the fit between articulating bones |
|
Image:
6-4-12 (image/png)
|
4 |
| a movement away from the midline is | abduction |
| Which of the following is a good example of supination -spreading fingers -turning palm up -moving hand toward shoulder -extreme bending head backward -opening mouth | turning palm upward |
| Which of the following is a good example of depression? -spreading fingers -moving hand toward shoulder -extreme bending head backward -turning palm up -opening the mouth | -opening the mouth |
|
Image:
7-1-1 (image/png)
|
calcium ions |
| Which of the following is not characteristic of smooth muscle -thin filaments are attached to dense bodies -do not contain sarcomeres -forms tendons and aponeuroses -uninucleate -neurons that innervate are under involuntary control | forms tendons and aponeuroses |
| interactions between actin and myosin of sarcomere are responsible for | muscle contraction |
| Compared to "typical" body cells, skeletal muscle cells are -filled with crystaline 3D arrays of fibrous proteins -multinucleate -larger than normal -capable of rapid shortening against load -all correct | all correct |
| The types of muscle tissue include all of the following except -cardiac -skeletal -smooth -striated -none | -striated |
| The plasma membrane of skeletal muscle is called the | sarcolemma |
|
Image:
7-1-7 (image/png)
|
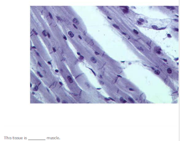
cardiac |
| The dense layer of connective tissue that surrounds an entire skeletal muscle is the | epimysium |
| Which of the following best describes the term Z line? -repeating unit of striated myofibrils -largely made of myosin -storage site for calcium -protein that accounts for elacsticity of resting muscle -thin filaments are anchored here | -thin filaments are anchored here |
| Which of the following is a recognized function of skeletal muscle -maintain body temp -maintain posture -produce movement -guard body entrances and exits -all of the above | all of the above |
| The area in the center of the A band that contains no thin filaments is the | H band |
| At the end of the muscle, the collagen fibers of the epimysium, and each perimysium and endomysium, come together to form a | tendon |
| a single motor neuron together with all the muscle fibers it innervates is called | a motor unit |
| The region of the sarcomere containing the thick filaments is the | A band |
| Muscle tissue, one of the four basic tissue groups, consists chiefly of cells that are highly specialized for | contraction |
| The skeletal muscle complex known as the triad consists of | a transverse tubule and two terminal cisternae |
|
Image:
7-1-17 (image/png)
|
smooth muscle fiber |
| The thin filaments of striated muscle are made of which protein(s)? -troponin -nebulin -tropomyosin -actin -all of the above | all of the above |
| Each skeletal muscle fiber is controlled by a motor neuron at a single | neuromuscular junction |
|
Image:
7-1-20 (image/png)
|
1 |
| The "kissing muscle" that purses the lips is the | orbicularis oris |
| What is the main muscle of respiration | diaphragm |
| Which of the following muscles compresses the abdomen -external oblique -rectus abdominis -diaphragm -all of the above | all of the above |
| The ____ convers the anterior surface of the neck | platysma |
| Which of the following muscles does not elevate the mandible? -temporalis -masseter -medial pteregoid -platisma | platisma |
|
Image:
7-2-6 (image/png)
|
rectus abdominis |
| A muscle that inserts on the body of the mandible is probably involved in | chewing |
|
Image:
7-2-9 (image/png)
|
mentalis |
|
Image:
7-2-10 (image/png)
|
buccinator |
| Which muscle compresses the prostate gland in males? | external urethral sphincter |
|
Image:
7-2-12 (image/png)
|
zygomaticus major |
| The ___ muscle is the strongest jaw muscle | pterygoid |
|
Image:
7-2-14 (image/png)
|
orbicularis oris |
| Which muscle is not involved in mastication? -mentalis -temporalis -maseter -lateral pteregoid -medial pteregoid | mentalis |
| A muscle that flexes the spinal column is the -spinalis -rectus abdominis -sacrospinalis -iliocostalis -longissimus | rectus abdominis |
| Which of the following si not primarily a muscle of facial expression? -orbicularis oris -mentalis -risorius -buccinator -masseter | masseter |
|
Image:
7-2-18 (image/png)
|
frontalis |
| Which of the following muscles is found within the pelvic floor? -ischiocavernosus -erineal group -coccygeus -bulbospongiosus -all of the above | all of the above |
|
Image:
7-2-20 (image/png)
|
scalenes |
| The muscle that extends the arm while doing push-ups is the | triceps |
|
Image:
7-3-2 (image/png)
|
rectus femoris |
|
Image:
7-3-3 (image/png)
|
latissimus dorsi |
| Which of the following does not move the shoulder girdle? -pectoralis major -deltoid -rhomboid -serratus anterior -trapezius | -deltoid |
|
Image:
7-3-5 (image/png)
|
gastrocnemius |
| Which of the following is a member of the hamstring group? -semitendinosus -semimembranosus -biceps femoris -all of the above | all of the above |
| The powerful abductor muscle of the upper arm is the | deltoid |
|
Image:
7-3-8 (image/png)
|
tibialis anterior |
|
Image:
7-3-9 (image/png)
|
trapezius |
| Muscles that laterally rotate the thigh include all of the following except the -gluteus maximus -tensor fasciae latae -obturator externus -piriformis -obturator internus | -tensor fascia latae |
|
Image:
7-3-11 (image/png)
|
pectoralis major |
|
Image:
7-3-12 (image/png)
|
biceps brachii |
| The muscle that pronates the forearm and opposes biceps brachii is the | pronator quadratus |
| The muscle that adducts and rotates the scapula laterally is the | rhomboid |
|
Image:
7-3-15 (image/png)
|
brachioradialis |
| Which of the following describes the action of the serratus anterior? -medial rotation of humerus -adducts the arm -protracts the shoulder, abducts and medially roates the scapula -adducts and flexes the humerus -lateral rotation of the humerus | protracts the shoulder, abducts and medially roates the scapula |
| Muscles that insert on the olecranon process of the ulna can act to | extend the forearm |
|
Image:
7-3-18 (image/png)
|
anterior superior iliac spine |
|
Image:
7-3-19 (image/png)
|
sartorius |
| A muscle that adducts the humerus is the -deltoid -trapezius -bracialis -latissimus dorsi | latissimus dorsi |
|
Image:
8-1-1 (image/png)
|
soma |
| Functions of astrocytes include all of the following except -maintaining the blood-brain barrrier -conducting action potentials -forming a 3D framework for the CNS -responding to neural tissue damage -guiding neuron development | conducting action potentials |
| Which of the following is not a recognized structural classification for neurons? -bipolar -anaxonic -pseudopolar -unipolar -multipolar | pseudopolar |
| ___ neurons are small and have no anatomical features that distinguish dendrites from axons | anaxonic |
| ___ neurons form the afferent division of the PNS | sensory |
|
Image:
8-1-6 (image/png)
|
synaptic terminals |
|
Image:
8-1-7 (image/png)
|
axon |
| Which of the following is not a function of the neuroglia? -phagocytosis -secretion of CSF -support -maintenance of the blood-brain barrier -memory | memory |
| clusters of RER and free ribosomes in neurons are called | Nissl bodies |
| Branches that may occur along an axon are called | collaterals |
| Neurons that have one axon and one dendrite, with the soma in between, are called | bipolar |
| The axon is connected to the soma at the | axon hillock |
| Damage to the ependymal cells would most likely affect the -repair of axons -formation of CSF -transport of neurotransmitters within axons -formation of myelin sheaths -formation of ganglia | formation of CSF |
|
Image:
8-1-14 (image/png)
|
3 and 4 |
| The myelin sheath that covers many CNS axons is formed by | oligodendrocytes |
| Axons terminate in a series of fine extensions known as | telodendria |
| The cytoplasm that surrounds the nucleus of a neuron is called the | perikaryon |
| Neurons that have several dendrites and a single axon are called | multipolar |
| Glial cells that surround the neurons in ganglia are | satellite cells |
| Which of the following are a type of glial cell found in the PNS? -oligodendrocytes -microglia -satellite cells -ependymal cells -astrocytes | satellite cells |
|
Image:
8-2-1 (image/png)
|
central canal |
|
Image:
8-2-2 (image/png)
|
ventral roots |
| Enlargements of the spinal cord occur | in those spinal segments that control the limbs |
| The ___ nerve, which arises in the cervical plexus, innervates the diaphragm | phrenic |
| The outward projections from the central gray matter of the spinal cord are called | horns |
|
Image:
8-2-6 (image/png)
|
brachial |
|
Image:
8-2-7 (image/png)
|
lateral horns |
|
Image:
8-2-8 (image/png)
|
sciatic |
|
Image:
8-2-9 (image/png)
|
ventral roots and dorsal roots |
| The white matter of the spinal cord contains | bundles of axons with common origins, destinations, and functions |
| The dorsal root ganglia mainly contain | cell bodies of sensory neurons |
| In which plexus does the ulnar nerve arise | brachial |
|
Image:
8-2-13 (image/png)
|
dorsal horns |
| The spinal cord consists of 5 regions and _(#)_ segments | 31 |
| The ___ is a strand of fibrous tissue that provides longitudinal support as a component of the coccygeal ligament | filum terminale |
| The outermost connective-tissue covering of nerves is the | epineurium |
| Spinal nerves are -purely sensory -purely motor -interneuronal -involuntary -both sensory and motor | both sensory and motor |
|
Image:
8-2-18 (image/png)
|
muscles of the posterior arm and forearm |
| The specialized membranes that surround the spinal cord are called the | spinal meninges |
| In the spinal cord, white matter is separated into ascending and descending tracts organized as | columns |
|
Image:
8-3-1 (image/png)
|
frontal lobe |
| The cranial nerves that innervate the eye muscles are | III, IV, VI |
| Which of the following is a function of the hypothalamus -controls autonomic centers -secretes oxytocin -regulates body temperature -produces ADH -all of the above | all of the above |
| Autonomic centers that control blood pressure, heart rate, and digestion are located in the | medulla oblongata |
|
Image:
8-3-5 (image/png)
|
central sulcus |
| The dural fold that projects into the longitudinal fissure between cerebral hemispheres is called the | falx cerebri |
|
Image:
8-3-7 (image/png)
|
eye movement |
|
Image:
8-3-8 (image/png)
|
superior sagittal sinus |
| The cranial nerve that has three major branches is the | trigeminal |
|
Image:
8-3-10 (image/png)
|
diencephalon |
| The visual cortex is located in the | occipital lobe |
|
Image:
8-3-12 (image/png)
|
cerebellum |
|
Image:
8-3-13 (image/png)
|
olfactory bulb |
|
Image:
8-3-14 (image/png)
|
arachnoid granulation |
|
Image:
8-3-15 (image/png)
|
cerebral aqueduct |
| A neural cortex is found on the surface of the | cerebral hemispheres and cerebellum |
|
Image:
8-3-17 (image/png)
|
superior colliculus |
| The two cerebral hemispheres are separated by the | longitudinal fissure |
| The tentorium cerebelli separates which two brain regions? | cerebellum and cerebrum |
|
Image:
8-3-20 (image/png)
|
mammilary bodies |
|
Image:
8-4-1 (image/png)
|
11 |
|
Image:
8-4-2 (image/png)
|
fovea |
|
Image:
8-4-3 (image/png)
|
pinna or auricle |
| The ___ covers most of the exposed surface of the eye | conjunctiva |
|
Image:
8-4-5 (image/png)
|
semicircular canals |
|
Image:
8-4-6 (image/png)
|
anterior cavity |
| The part of the eye that determines eye color is the | iris |
|
Image:
8-4-8 (image/png)
|
vibratory waves |
| All of the following are true of the fibrous tunic of the eye, except that it -consists of the sclera, limbus, and cornea -contributes substantial focusing power -produces aqueous humor -is where extrinsic eye muscles insert -provides mechanical support and some protection for the eye | produces aqueous humor |
| The middle ear communicates with the nasopharynx through the | auditory tube |
| The structure that overlies the organ of Corti is the | tectorial membrane |
|
Image:
8-4-12 (image/png)
|
diameter |
|
Image:
8-4-13 (image/png)
|
stapes |
|
Image:
8-4-14 (image/png)
|
6 |
| The vitreous body | helps to stabilize the eye and give physical support to the retina |
|
Image:
8-4-16 (image/png)
|
superior oblique |
| What structure changes the shape of the lens for far and near vision? | ciliary body |
|
Image:
8-4-18 (image/png)
|
cornea |
| Which of the following is true of the vascular tunic of the eye? -secretes and reabsorbs the aqueous humor -regulates the amount of light entering eye -controls shape of lens -provides a route for blood vessels and lymphatics that supply tissues of the eye -all of the above | all of the above |
| The senses of equilibrium and hearing are provided by receptors of the | inner ear |
Want to create your own Flashcards for free with GoConqr? Learn more.