Anaemias

Description

Haematology Flashcards on Anaemias, created by Ashutosh Kumar on 05/04/2017.
Ashutosh Kumar
Flashcards by Ashutosh Kumar, updated more than 1 year ago
Ashutosh Kumar
Created by Ashutosh Kumar over 8 years ago
28
0

Resource summary

Question Answer
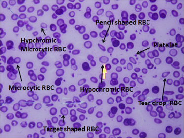
Microcytic Anaemia: DDx: Microcytic Anaemia: DDx: Iron deficiency Thalassaemia Anaemia of chronic inflammation Lead poisoning Hyperthyroidism (very rare)
Blood film appearance if iron deficiency: Iron deficiency: Central pallor is ⅓ the normal diameter
Anaemia of chronic inflammation: Causes: Pathophysiology: Result: Anaemia of chronic inflammation: Causes: Infection/inflammation/malignancy Pathophysiology: Cytokines of inflammation stimulate the liver to produce hepcidin which inhibits ferroportin on enterocytes in the intestine and macrophages resulting in reduced dietary iron absorption and sequestration of iron by macrophages respectively. Result: Mild microcytic anaemia with elevated ferritin and reduced serum iron.
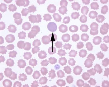
Lead poisoning: Blood screen: Lead poisoning: Blood screen: Prominent basophilic stippling (small dots at the periphery which are visualizations or ribosomes)
Two types of thalassaemia: Thalassaemia: Alpha thalassaemia Beta thalassaemia
Alpha thalassaemia genotypes and phenotypes:
Beta thalassaemia: Reduced synthesis of beta globin chains caused by either: Diagnosis based on: Beta thalassaemia: Reduced synthesis of beta globin chains caused by either: Reduced transcription (B+) Absent transcription (B0) Numerous mutations with variable severity in defect of chain synthesis Deletions less common. Range of severity from mild to severe. Diagnosis: Increased HbA2 (a2y2)
B thalassaemia trait/minor: B thalassaemia intermedia: B thalassaemia major: B thalassaemia trait/minor: Asymptomatic due to mild anaemia MCV <72 fL Blood film varies from almost normal with mild microcytosis and anisocytosis (not same size), hypochromia and poikilocytosis (weird shapes) HbA2 3.6-5% B thalassaemia intermedia: Anaemia, splenomegaly, ulcers, bony deformity, occasional transfusion needed. B thalassaemia major: Dependent of blood transfusions. Expanded bone marrow Bony deformities Hb 30-50 g/L MCV 50-60 fL MCH 12-18 pg Iron overload-chelation therapy
Macrocytosis DDx: DDx: Excess alcohol. Liver disease (especially cholestatic) B12/folate deficiency Drugs Cytotoxics Phenytoin Reticulocytosis Haemolyosis Hereditary haemochromatosis Myeloma (sometimes) Myelodysplastic syndrome Anorexia Nervosa (sometimes can be microcytic due to iron deficiency) Aplastic anaemia Hypothyroidism
B12/folate deficiency: Collectively called: Megaloblastic refers to Folate deficiency causes: B12 deficiency (pernicious anaemia) causes: B12/folate deficiency: Collectively called megaloblastic anaemia Megaloblastic refers to the large abnormal erythroblasts in the bone marrow Either: Folate deficiency: Dietary (alcoholics) Malabsorption (Celiac) B12 deficiency (pernicious anaemia): Autoimmune atrophic gastritis Vegan Gastrectomy, small bowel pathology etc
Haemochromatosis features on FBC: Haemochromatosis: Increased MCV and Hb
Myelodysplastic syndrome blood film: Myelodysplastic syndrome: Can have a mixture of hyper/hypochromic (dimorphic) but usually macrocytic on average
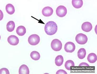
Reticulocytes: Reticulocytes: Lose 20% of their volume in their first day of being in circulation
Normocytic Anaemias: DDx: Normocytic Anaemias: DDx: Blood loss Chronic renal failure (due to reduced EPO) Chronic disease (tends towards macrocytic) Haemolysis (tends towards macrocytic) Myeloma (sometimes macrocytic) Combinations (Iron+folate, iron+liver) Anaemia of senescence Sports’ dilutional anaemia Pregnancy
Show full summary Hide full summary

Similar

Epidemiology
Danielle Richardson
History of Medicine: Ancient Ideas
James McConnell
Epithelial tissue
Morgan Morgan
4. The Skeletal System - bones of the skull
t.whittingham
Neuro anatomy
James Murdoch
The Endocrine System
DrABC
Respiratory anatomy
James Murdoch
Medical Terminology
khachoe_pema
Diabetes - pathophysiology
Morgan Morgan
PHARMACOLOGY BLOCK 1- basic intro
wallacejr@hotmail.co