PL GO

Description

PL GO 8P/2017 Unifenas BH
João Vitor Samuel Castro
Flashcards by João Vitor Samuel Castro, updated more than 1 year ago
João Vitor Samuel Castro
Created by João Vitor Samuel Castro over 8 years ago
52
0

Resource summary

Question Answer
Qual o nome da alteração que pode ser observada na seta? Surge em qual contexto? Cisto de Naboth. Metaplasia Escamosa.
Qual o nome da alteração evidênciada na seta? Pérolas Córneas.
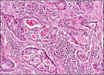
Endometriose Colônica.
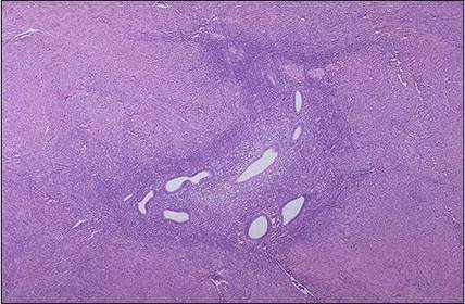
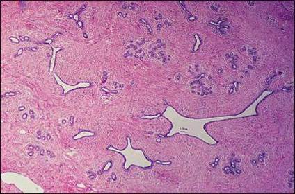
Diagnóstico e micro. Adenomiose. Glândulas endometriais na intimidade do miométrio (profundidade >2,5mm)
Como podem ser classificadas as Hiperplasias Endometriais e qual a chance de malignização? Simples - Glândulas e estroma proliferam igualmente. Complexa - Proliferação de glândulas, que se tornam justapostas. Baixo Grau - Sem atipias (2% de malignização). Alto Grau - Com atipias (25% de malignização).
Diagnóstico e micro. Hiperplasia Endometrial Complexa de Baixo Grau. Glândulas proliferadas, tortuosas, irregulares e justapostas sem atipias.
Hiperplasia Endometrial Complexa de Alto Grau.
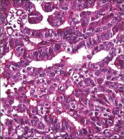
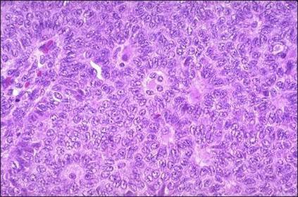
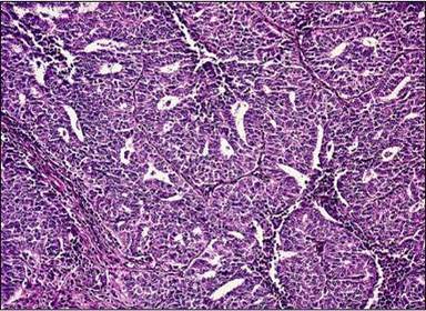
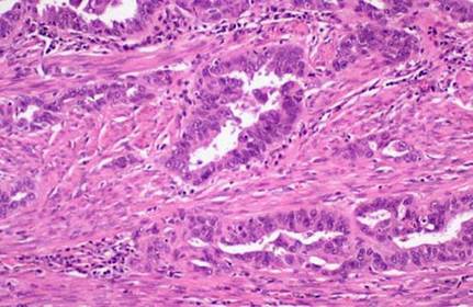
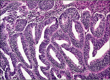
Descreva os estágios de classificação do adenocarcinoma de endométrio. Grau I - Predomínio de Glândulas (bem diferenciado). Grau II - Glândulas em proporção semelhante à área sólida (moderadamente diferenciado). Grau III - Há predomínio de áreas sólidas (cels epiteliais proliferadas), (pouco diferenciado).
Quais são os principais sítios de metástase do adenocarcinoma endometrial? Fígado e Pulmão.
Adenocarcinoma de Endométrio Grau I.
Adenocarcinoma de Endométrio Grau II.
Adenocarcinoma de endométrio grau III.
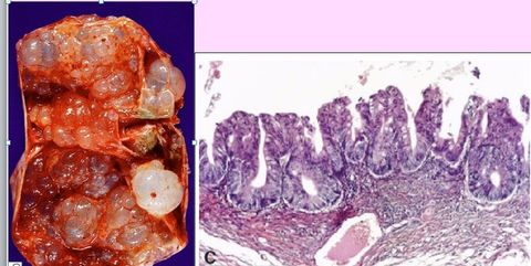
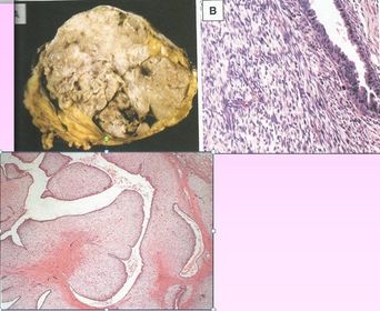
Este é o tumor benigno mais comum do útero. Qual alteração degenerativa acomete mais as grávidas e seus sintomas? Degeneração Rubra/Vermelha/Carnosa - Dor, hipertermia e ruptura, causando abdome agudo.
DIAGNÓSTICO. Qual é a etiologia dessa alteração? Leiomioma intramural. Mutação monoclonal.
DIAGNÓSTICO (seta). Quais fases da vida da mulher é mais prevalente? Por quê? Leiomioma subseroso. Gravidez pois é hormônio dependente.
Leiomioma subseroso.
Qual deles é mais sintomático? Submucoso. Produz sangramento facilmente.
DIAGNÓSTICO. Quais subtipos de HPV são mais prováveis nessa alteração? Carcinoma de Células Escamosas do Colo do Útero. 16 e 18.
DIAGNÓSTICO. Descreva as alterações citopáticas. Infecção por HPV. Binucleação e Coilocitose (núcleos atípicos e halos brancos perinucleares).
DIAGNÓSTICO. Qual é o subtipo viral encontrado? Adenocarcinoma de colo uterino. HPV 18.
Alterações Fibrocísticas.
Fibroadenoma de mama.
DIAGNÓSTICO. Dê a micro. Fibroadenoma de mama. Neoplasia benigna circunscrita com proliferação de ductos epiteliais e estroma fibroso.
DIAGNÓSTICO. Qual a diferença com o fibroadenoma? Tumor Phyllodes. Possui crescimento mais rápido, maior e mais hipercelular.
Carcinoma invasor ductal grau III - sem formação de túbulos, pleomorfismo nuclear, arranjo sólido.
Carcinoma intraductal "in situ" de alto grau.
Carcinoma Ductal invasor.
Carcinoma Lobular Invasor.
Qual é a etiopatogenia do carcinoma inflamatório? Embolização maciça dos vasos linfáticos da derme por células neoplásicas.
Cistadenocarcinoma seroso.
DIAGNÓSTICO. Qual o marcador tumoral? Cistadenoma seroso benigno. CA 125.
Cistadenoma seroso "borderline"
Cistadenoma mucinoso "borderline"
DIAGNÓSTICO. Qual é o marcador tumoral dessa neoplasia? Cistadenoma mucinoso. CA 19-9.
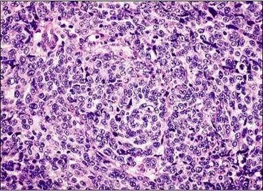
Qual é o aspecto da célula? Formam microfolículos chamados de? Células em "grão de café", corpúsculos de Call-Exner.
DIAGNÓSTICO. Qual é o marcador tumoral dessa neoplasia? Tumor de células da granulosa. Alfa-inibina.
DIAGNÓSTICO. Qual o marcador tumoral dessa neoplasia? se monodermico é chamado de? Teratoma ovariano. alfa-fetoproteína. Struma ovarii.
Abcesso tubo-ovariano/ salpingite aguda.
Quais sãos os estágios da DIP? I- Salpingite s/ peritonite; II- Salpingite c/ peritonite; III- Salpingite c/ oclusão ou abcesso tubo-ovariano; IV- Ruptura de abcesso tubo-ovariano;
Salpingite aguda.
DIAGNÓSTICO. Fatores de risco. Gravidez Ectópica. DIP c/ salpingite crônica, aderências peritubárias, cirurgia prévia, DIU.
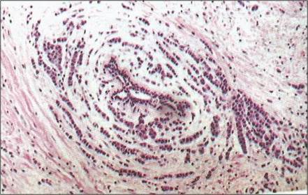
Qual é o achado obrigatório p/ diagnóstico da lesão. Vilosidades coriônicas revestidas por epitélio trofoblástico.
DIAGNÓSTICO. etiopatogenia. Cisto folicular. Folículos não-rotos não-dominantes atrésicos que geralmente involuem de 2 a 3m e causam hemorragias uterinas acíclicas e disfuncionais.
Corpo lúteo, albicans, e cistos foliculares.
DIAGNÓSTICO. Quais são os critérios de Rotherdam? SOP. Oligoamenorréia e ciclos anovulatórios, sinais clínico-ambulatoriais de androgenismo, ovários esclerocíticos ( 12+ folículos de 2-9mm ou ovário >10cm³)
Cisto lúteo.
Qual é a conduta para cada bi-rads? 0 - Incapaz de avaliar lesão c/ mamografia, realizar RM, US. 1- Ausência de lesões. 2 - Lesões benignas. 3 - Lesões provavelmente benignas (98%), realizar mamografias em intervalos menores. 4- anormalidade suspeita 30% de chance de malignidade. Biópsia. 5 - 95% de chance de malignidade. Biópsia. 6 - Diagnóstico de Ca, mamografia para acompanhamento da lesão.
Show full summary Hide full summary

Similar

MODIFICAÇÕES DO ORGANISMO MATERNO - DIVERGÊNCIAS DA LITERATURA
Vanessa Palauro
LIMITE DISCRIMINATÓRIO DO hCG - DIVERGÊNCIAS DA LITERATURA
Vanessa Palauro
Modificações fisiológicas na gestação
Lilian Baseggio
Vulvovaginites
Fernanda Emilia Rocha
INFLAMAÇÃO
Ketlyn Caroline
Patologia Geral - Hipertensão Arterial (Geral)
BrienneC
GO Conteúdo prova 1
Lilian Baseggio
QUIZ INTRODUÇÃO A PATOLOGIA GERAL (MONITOR SEVERINO FILHO - FONOAUDIOLOGIA 2016.1)
Severino Filho
Patologias dos rins
Celi cs
PATOLOGIAS DO SISTEMA CARDIOVASCULAR
Jéssica Severo Dametto
IRC- Insuficiencia Renal Cronica
Gilvana Ferreira