271 - Cardiovascular Anatomy

Description

Cardiovascular Flashcards on 271 - Cardiovascular Anatomy, created by Victoria Wright on 29/05/2017.
Victoria Wright
Flashcards by Victoria Wright, updated more than 1 year ago
Victoria Wright
Created by Victoria Wright over 8 years ago
2
0

Resource summary

Question Answer
What are supplied by branches of the RCA? SA and AV nodes are supplied by branches of the RCA.
SA and AV nodes are supplied by what? By branches of the RCA.
Infarct may cause what? Infarct may cause nodal dysfunction (bradycardia or heart block)
What supplies the right ventricle? Right (acute) marginal artery supplies right ventricle
What supplies lateral and posterior walls of left ventricle, anterolateral papillary muscle? Left circumflex coronary artery (LCX)
What does Left circumflex coronary artery (LCX) supply? Supplies lateral and posterior walls of left ventricle, anterolateral papillary muscle
What does Right acute marginal artery supply? Supplies right ventricle
What supplies supplies anterior 2/3 of interventricular septum, anterolateral papillary muscle, and anterior surface of left ventricle? Left anterior descending artery (LAD)
What does Left anterior descending artery (LAD) supply? Anterior 2/3 of interventricular septum, anterolateral papillary muscle, and anterior surface of left ventricle
What supplies AV node, posterior 1/3 of interventricular septum, 2/3 posterior walls of ventricles, and posteromedial papillary muscle? Posterior descending/interventricular artery (PDA)?
What does Posterior descending/interventricular artery (PDA) supply? supplies AV node, posterior 1/3 of interventricular septum, 2/3 posterior walls of ventricles, and posteromedial papillary muscle
Which type of circulation? 85% Right-dominant
Which type of circulation? 8% Left-dominant circulation
Which type of circulation? 7% Codominant circulation
Which type of circulation? PDA arises from RCA. Right-dominant circulation (85%)
Which type of circulation? PDA arises from LCX. Left-dominant circulation (8%)
Which type of circulation? PDA arises from both LCX and RCA. Codominant circulation (7%)
In co-dominant circulation (7%), PDA arises from what? Codominant circulation (7%) = PDA arises from both LCX and RCA.
In Left-dominant circulation (8%), PDA arises from what? Left-dominant circulation (8%) = PDA arises from LCX.
In Right-dominant circulation (85%), PDA arises from what? Right-dominant circulation (85%) = PDA arises from RCA.
Coronary artery occlusion most commonly occurs in what? Coronary artery occlusion most commonly occurs in the LAD.
When does coronary blood flow peak? Coronary blood flow peaks in early diastole.
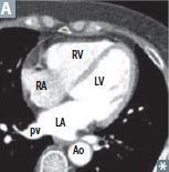
What is the most posterior part of the heart? The most posterior part of the heart is the left atrium.
Enlargement of the left atrium can cause what? Why? Enlargement can cause dysphagia (due to compression of the esophagus) or hoarseness (due to compression of the left recurrent laryngeal nerve, a branch of the vagus).
What are the three layers of pericardium from outer to inner? Fibrous pericardium Parietal layer of serous pericardium Visceral layer of serous pericardium
How many layer of pericardium? T
What is the outer most layer of Pericardium? Fibrous pericardium
What is the inner most layer of Pericardium? Visceral layer of serous pericardium
What is the middle later of Pericardium? Parietal layer of serous pericardium
What lies between the parietal and visceral layers? Pericardial cavity lies between parietal and visceral layers.
Where does the Pericardial cavity lie? Pericardial cavity lies between parietal and visceral layers.
Pericardium is innervated by what? Pericardium innervated by phrenic nerve.
Pericarditis can cause referred pain to what? Pericarditis can cause referred pain to the shoulder.
What is the most posterior part of the heart? The most posterior part of the heart is the left atrium
Show full summary Hide full summary

Similar

The Circulatory System
Johnny Hammer
The Heart
annalieharrison
The cardiovascular system
JakeHull8
Examen de farmacologia cardiovascular
Claudia Hernandez
Hypertension Drugs
ringram6
Cardiovascular Clinic: Extended Matching Questions Formative Self Assessment
Chris Mulryan
BRS Flashcards Cardiovascular Physiology
tiwariashley
Anatomy and Physiology
Emma Purling
Lecture Exam 2: Chapter 15: Cardiovascular System
Kyla S
Cardiovascular Physiology
Beckie Thorne
Frecuencia Respiratoria
Alejandro F. Jiménez