Tecido Conjuntivo

Description

histologia (tecido conjuntivo) Flashcards on Tecido Conjuntivo, created by julia stein on 13/08/2017.
julia stein
Flashcards by julia stein, updated more than 1 year ago
julia stein
Created by julia stein about 8 years ago
580
1

Resource summary

Question Answer
células de diferentes origens e funções origem de uma célula mesenquimal indiferenciada, e permanecem toda a sua vida no tecido conjuntivo originam-se de uma célula-tronco hemocitopoiética da medula óssea, circulam no sangue e se movem para o tecido conjuntivo. os leucócitos também se originam na medula óssea e migram para o tecido conjuntivo, onde residem por poucos dias.
fibroblastos - funções - sintetizam proteína colágeno e a elastina, glicosaminoglicanos, proteoglicanos e glicoproteínas multiadesivas (MEC) - produzem os fatores de crescimento (que controlam a proliferação e diferenciação celular) -modular a capacidade metabólica do tecido
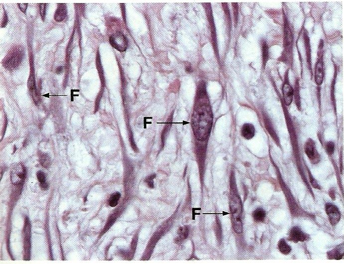
fibroblasto - 2 tipos * fibroblastos: células com intensa atividade de síntese. contem citoplasma abundante, com muitos prolongamentos. seu nucleo é ovoide, grande e fracamente corado, om cromatina fina e nucleolo proeminente. o citoplasma é basofilo e rico em RER, e o golgi é muito desenvolvido. *fribrócito: células metabolicamente quiescentes. são menores e mais delgados, aspecto fusiforme, apresentam poucos prolongamentos citoplasmáticos, e o núcleo é menor, mais curto e mais alongado. seu citoplasma tem pouca quantidade de RER.
fibroblasto
fibrócito
macrófago - origem os macrófagos derivam de células percursoras da medula óssea que se dividem, produzindo os monócitos, os quais circulam no sangue. em uma segunda etapa, os monócitos cruzam as paredes das vênulas pericíticas e capilares , e penetram o tecido conjuntivo, no qual amadurecem e adquirem características morfológicas e funcionais de macrófagos. o processo de formação monocito-macrofago resulta em aumento do tamanho da celula e em aumento da sintese de proteina. aumentam o complexo de golgi, bem como o numero de lissosomos, microtubulos e microfilamentos.
macrófagos - geral e funções os macrófagos estão distribuídos na maioria dos órgãos e constituem o sistema fagocitário mononuclear. são células de vida longa e podem sobreviver por meses nos tecidos.
macrofagos - nomes especiais * células de Kupffer: no figado * micróglia: no sistema nervoso central * células de Langerhans: na pele * osteoclastos: no tecido ósseo
Show full summary Hide full summary

Similar

Tecido Conjuntivo
bedamorim
QUIZ HISTOLOGIA
caio fernandes
Tecido Conjuntivo
Bruna Bartolomeu
Tejido Conjuntivo
Gabriela Barbosa de Sousa
TECIDO CONJUNTIVO PROP. ESPECIAIS
Giovanna Beatriz Oliveira
Tecido Epitelial
bedamorim
Histologia Vegetal
Camila Souto
Tecido Cartilaginoso
Rebecca Chucre
Tecido conjuntivo
Leticia Nakamura
Tecido conjuntivo
Yas Souza