null
US
Sign In
Sign Up for Free
Sign Up
We have detected that Javascript is not enabled in your browser. The dynamic nature of our site means that Javascript must be enabled to function properly. Please read our
terms and conditions
for more information.
Next up
Copy and Edit
You need to log in to complete this action!
Register for Free
32609531
Rayos X
Description
fluj
No tags specified
use descriptive tags to organise your content
Flowchart by
Tomás Leonardo Saquic Xaper
, updated more than 1 year ago
More
Less
Created by
Tomás Leonardo Saquic Xaper
about 4 years ago
24
0
0
Resource summary
Flowchart nodes
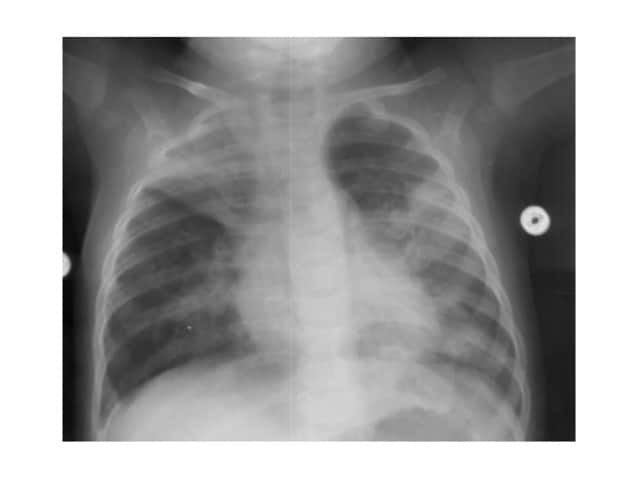
INTERPRETACIÓN RADIOGRÁFICA DEL TÓRAX EN RECIÉN NACIDOS
Dx. basado en clínica
Dx. Definitivo
Dx. en estudio
Exámenes complementarios
RAYOS X
Torax En Neonatologia 5 638 (image/jpeg)
Confirmar o excluir una patología
Por estructura puede ser:
Radio-opacas
Radio-lúcidas
Aspectos Técnicos:
Proyección
Ciclo inspiratorio
Rotación
Contraste
Penetración
Valorar
Pcte C/O
PA
Pcte inestable
AP
Poco penetrada
Muy penetrada
Bien penetrada
Derecha o izquierda
Inspiración
Espiración
Observar 7 a 8 espacios inter.
se Obs. < 7 espacios inter.
Sistematización de lectura
Tejidos blandos
Tejido óseo
Diafragma
Pleura
Cisuras Pulmonares
Mediastino
Timo
Der. es 1.5 cm más alto
Se visualiza en neonatos y niños < 2 años
Corazón
IC= 0.57 (0.53 a 0.57)
Hilio y vasos pulmonares
Parénquima pulmonar
Confirmación de Patología
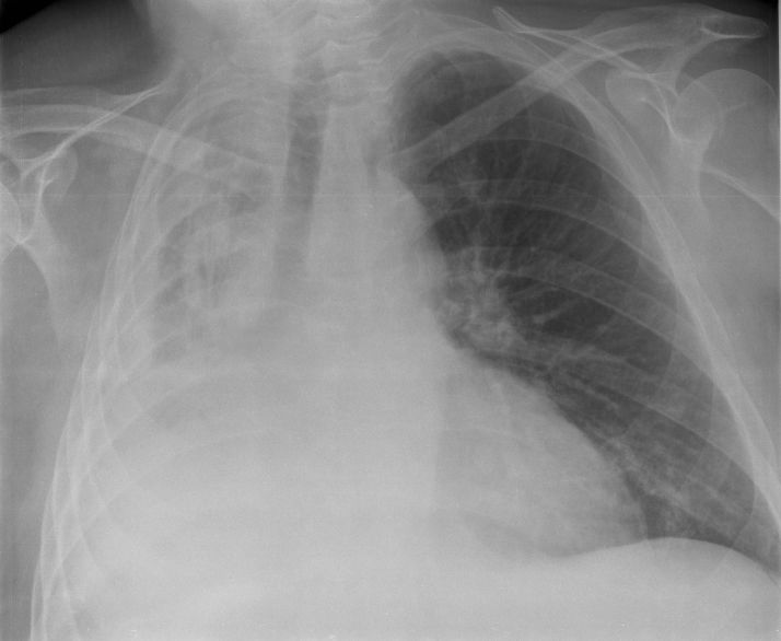
ATELECTASIA
ENFERMEDAD MEMBRANA HIALINA
SDR
NEUMONÍA
NEUMOTÓRAX
DERRAME PLEURAL
Atelectasia1 (image/jpeg)
Sdr+Neonatal.+Surfactante (image/jpeg)
Images?Q=Tbn:A Nd9 Gc Q0 Q64 H Lqf8 Ad Rp S Wtpc Efbcm8h8m Kyo Bkw&Usqp=Cau (image/jpeg)
Neumonia Neonatal Amzl 2013 19 638 (image/jpeg)
X Twwwe Ep Eaqs Rylztw At Zcme Dz Wx Tw Ry5c Zc Tm1ab Q Mqd W Qys F Amg5 Dfzopxf9lv Ow Y8 Nky M Tykc Kyt Is1 Rn30wvcl9 S Ik Iw Wnyna (image/gif)
Hqdefault (image/jpeg)
Show full summary
Hide full summary
Want to create your own
Flowcharts
for
free
with GoConqr?
Learn more
.
Similar
Mapas mentales con ExamTime
Nazareth Olivo
1-20 B
T hbjk
fichas de estudio
Guadalupe Reyes Soriano
Esquemas
Ximena Barrera
uy69
读与写/读写 读与写/读写
Music and its most prominent types
Elina Sandoval
CENEVAL PARTE 1
Yesenia Madai Aquino
Neurochir -Leziunile nervilor periferici
SlepoiBandit .
Vertebrate animals
Eliana Sandoval
Tejidos básicos
Andrea Celedón
Biochimia: Metabolismul lipidelor 201-250
Sorin Monster
Browse Library