Enfermedades cerebrales

Description

Este mapa conceptual resume las enfermedades cerebrales más importantes en cuanto a su epidemiología y describe sus características tanto macroscópicas como microscópicas.
Wendy Rosales
Mind Map by Wendy Rosales, updated more than 1 year ago More Less
leonardolezama13
Created by leonardolezama13 almost 10 years ago
Wendy Rosales
Copied by Wendy Rosales over 5 years ago
10
0

Resource summary

Enfermedades cerebrales
  1. Desmielinizantes
    1. Son afecciones adquiridas caracterizadas por el daño preferente de la mielina con conservación relativa de axones
      1. Ejemplos:
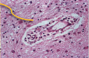
        1. Esclerosis Múltiple
          1. Es:
            1. Un trastorno AUTOINMUNITARIO caracterizado por episodios bien delimitados de defectos neurológicos atribuibles a lesiones de la sustancia blanca.
              1. El más frecuente de los trastornos desmielinizantes
                1. Afecta 2 veces más mujeres que hombres
                  1. Morfología
                    1. Macroscópica
                      1. Aparecen PLACAS pardo-grisáceas, de forma irregular y aspecto vidrioso, bien delimitadas y ligeramente deprimidas.
                      2. Microscópica
                        1. Signos de degradación de la mielina con macrófagos abundantes, con contenido rico el lípidos. Presencia de linfocitos y monocitos, preferentemente como manguitos perivasculares.
                      3. Se cree que los linfocitos
                  2. Neuromielitis óptica
                    1. Es:
                      1. Un síndrome con una neuritis óptica bilateral sincrónica y desmielinización de la médula espinal
                        1. Afecta mayormente mujeres
                          1. Se caracteriza por presencia de anticuerpos frente a la acuaporina 4
                            1. Morfología
                              1. En áreas lesionadas de sustancia blanca se enceuntra necrosis, infiltrado inflamatorio con neutrófilos y depósitos vasculares de Ig y complemento.
                      2. Mielinólisis pontina central
                        1. Es:
                          1. Un trastorno agudo, caracterizado por pérdida de la mielina que afecta la base de la protuberancia y algunas partes del techo de la protuberancia.
                            1. Suele aparecer después de una corrección rápida de hiponatremia o bien por trastornos electrolíticos graves.
                              1. Morfología:
                                1. NO presenta inflamación y las neuronas y axones se conservan
                  3. Neurodegenerativas
                    1. Son trastornos que se caracterizan por una pérdida progresiva de neuronas, que afectan a grupos neuronales con relaciones funcionales, aunque no se encuentren adyacentes.
                      1. Ejemplos:
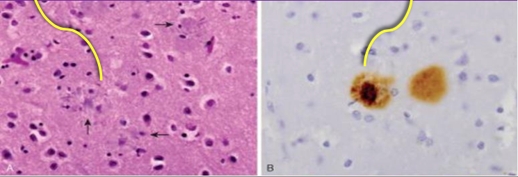
                        1. Alzheimer
                          1. Es la causa más frecuente de demencia en la población anciana y la incidencia aumenta con la edad
                            1. de la memoria, orientación visoespacial, capacidad de juicio, personalidad y lenguaje.
                              1. 5-10 años después: paciente queda con discapacidad profunda; mudo e inmóvil.
                                1. La alteración fundamental se debe a la acumulación de 2 proteínas (Aß y tau) en regiones específicas del cerebro.
                                  1. Morfología:
                                    1. Macroscópica:
                                      1. El cerebro muestra un grado variable de ATROFIA CORTICAL, hay ensanchamiento de los surcos cerebrales (más pronunciado en lóbulos frontal, temporal y parietal).
                                      2. Microscópica
                                        1. PLACAS NEURÍTICAS
                                          1. Colecciones esféricas focales consistentes en prolongaciones neuróticas y tortuosas, a menudo alrededor de un núcleo amiloide central, que puede aparecer rodeado por halo claro.
                                          2. OVILLOS NEUROFIBRILARES
                                            1. Son haces de filamentos que contienen tau y se localizan en citoplasma de neuronas y desplazan o rodean el núcleo.
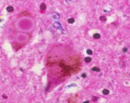
                              2. Parkinson
                                1. Es una enfermedad caracterizada por un trastorno llamativo hipocinético del movimiento, causado por pérdida de las neuronas dopaminérgicas en la sustancia negra.
                                  1. Síndrome clínico del parkinsonimo:
                                    1. Pérdida de la expresión facial, postura inclinada, retraso de los movimientos voluntarios, marcha festinante, rigidez y temblor.
                                      1. Genética molecular y patogenia:
                                        1. Se asocia a la acumulación y agregación de proteínas, alteraciones mitocondriales y pérdida de neuronas en la sustancia negra y otras regiones del cerebro.
                                          1. Morfología:
                                            1. Macroscópica:
                                              1. Palidez de la sustancia negra y del locus ceruleus por pérdida de neuronas
                                              2. Microscópica:
                                                1. Cuerpos de Lewy --> inclusiones citoplasmáticas eosinófilas, redondas, o alargadas y aisladas múltiples, a menudo rodeadas por halo pálido.
                              Show full summary Hide full summary

                              Similar

                              Definiciones CARDIOLOGÍA
                              Vivi Riquero
                              T9. Enfermedades Inflamatorias
                              Vivi Riquero
                              Anatomía cabeza
                              Diego Santos
                              Fichas para oposiciones de auxiliar de enfermería
                              leyvamiri
                              Oftalmología - ENARM
                              Emilio Alonsooo
                              Hematología - ENARM
                              Emilio Alonsooo
                              Anatomía cabeza
                              maca.s
                              Infecciones Quirúrgicas
                              Exero
                              FUNDAMENTOS DE LA EMBRIOLOGÍA.
                              fperezartiles
                              Tema 15: Características del sistema respiratorio
                              Marlopcar López
                              Alergología - Práctica para el ENARM
                              Emilio Alonsooo