Sistema digestivo

Description

Mind Map on Sistema digestivo, created by Nicolás Navarro Fernández on 09/10/2020.
Nicolás Navarro Fernández
Mind Map by Nicolás Navarro Fernández, updated more than 1 year ago
Nicolás Navarro Fernández
Created by Nicolás Navarro Fernández about 5 years ago
55
0

Resource summary

Sistema digestivo
  1. Sistema digestivo 3
    1. El hígado
      1. Vesícula biliar
        1. Presenta epitelio cilíndrico no estratificado
          1. Contiene la bilis
            1. Se secreta al duodeno por el conducto colédoco
            2. Presenta el arbol biliar
            3. Órgano voluminoso que actúa como segrega de glucógeno y secreta hormonas
              1. Células
                1. Hepatocitos
                  1. Forman el 8o% del hígado y son poliedricas
                  2. Células de kuffer
                    1. macrofagos que fagocitan células envejecidas
                    2. células estrelladas hepáticas
                      1. Pueden diferenciarse en miofibroblastos
                    3. Anatomicamente
                      1. L. Izquierdo
                        1. L. derecho
                          1. L. Caudado
                            1. L. cuadrado
                          2. El páncreas
                            1. Anatomicamente
                              1. Cuerpo
                                1. Cola
                                  1. Cabeza
                                    1. Presenta el conducto de Wirsum
                                    2. Histologicamente
                                      1. Islotes de langerhangs
                                        1. A
                                          1. Glucagón
                                          2. B
                                            1. Insulina
                                            2. D
                                              1. Somatostatina
                                            3. acinopancreaticos
                                        2. Sistema digestivo 2

                                          Annotations:

                                          • Toma en cuenta al tubo digestivo.
                                          1. Generalidades
                                            1. Estratos
                                              1. Mucosa
                                                1. Estructuras que presenta
                                                  1. Lamina propia
                                                    1. Con tejido linfático , glándulas y vasos
                                                      1. Hay linfocitos entre los epitelios y la mucosa. Su función es defensiva
                                                        1. Macrofagos
                                                          1. Eosinófilos
                                                      2. Epitelio
                                                        1. Glucocaliz
                                                          1. Presenta glucoproteinas, enzimas. Constituye superficie de absorción.
                                                          2. Plano estratificado
                                                            1. Cilíndrico simple
                                                              1. Cúbico estratificado
                                                                1. Cilíndrico estratificado

                                                                  Attachments:

                                                                2. Muscular de la mucosa
                                                                  1. Es músculo liso
                                                              2. Submucosa
                                                                1. Es tejido conjuntivo denso irregular con...
                                                                  1. arterias
                                                                    1. Plexo nervioso
                                                                  2. Muscular externa
                                                                    1. Presentan 2 capas que en el medio tendrán...
                                                                      1. Circular interna
                                                                        1. Longitudinal externa
                                                                          1. Plexo nervioso de Auerbach
                                                                          2. Esfínteres
                                                                            1. Faringeo-esofagico
                                                                              1. Cardias
                                                                                1. Piloro
                                                                                  1. Ileo-celíaco
                                                                                    1. Anal interno
                                                                                  2. Adventicia
                                                                                    1. Solo en esófago(parte que no entra en el peritoneo).
                                                                                      1. Tc.
                                                                                    2. Serosa
                                                                                      1. Las partes contenidas en el peritoneo.
                                                                                        1. Mesotelio, tejido adiposo, Tc.
                                                                                  3. Esófago
                                                                                    1. Estructuras
                                                                                      1. Epitelio plano estratificado
                                                                                        1. Anatomicamente su longitud oscila entre los 25-30 cm
                                                                                          1. Transporta el quimo por la contracción de sus músculos
                                                                                            1. No hay pliegues
                                                                                              1. Rodeado de adventicia principalmente de adventicia
                                                                                                1. Glándulas esofágicas en la submucosa que producen moco
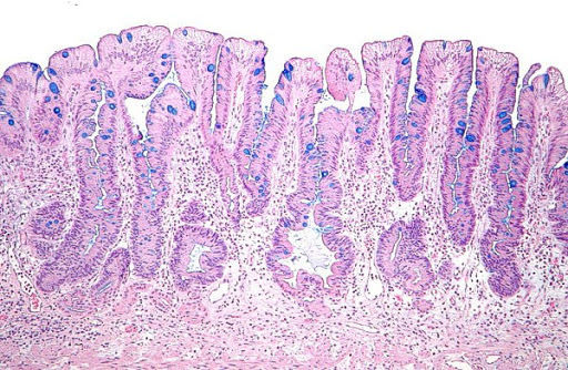
                                                                                              2. Estómago
                                                                                                1. Segmentos
                                                                                                  1. Anatómico
                                                                                                    1. Fondo
                                                                                                      1. Cuerpo
                                                                                                        1. Antro
                                                                                                        2. Histologico
                                                                                                          1. Cardial
                                                                                                            1. Pilorico
                                                                                                              1. Fundica
                                                                                                                1. Limitado al cuerpo y fondo anatómico
                                                                                                            2. Histología
                                                                                                              1. Epitelio cilíndrico plano con células caliciformes.
                                                                                                                1. Con fositas gastricas que presentan células fundicas que son :
                                                                                                                  1. Células parientales
                                                                                                                    1. En la base de las fosas
                                                                                                                      1. Secretan HCL
                                                                                                                      2. Células enteroendocrinas
                                                                                                                        1. Secretan factor intrínseco para la absorción de B12
                                                                                                                        2. Células del cuello
                                                                                                                          1. Moco
                                                                                                                        3. Adicionalmente presenta una capa muscular oblicua interna
                                                                                                                          1. Presenta pliegues conocido como rugas
                                                                                                                          2. Se encarga de la degradacíon del quimo
                                                                                                                          3. Intestino delgado
                                                                                                                            1. Histología
                                                                                                                              1. Presenta vellosidades que le ayudan en la absorción
                                                                                                                                1. Con conducto quimiliero centralizado.
                                                                                                                                  1. Con criptas que son invaginaciones en la mucosa
                                                                                                                                  2. Epitelio cilíndrico simple con células caliciformes
                                                                                                                                    1. Células
                                                                                                                                      1. Enterocitos
                                                                                                                                        1. Absorción
                                                                                                                                        2. Células M
                                                                                                                                          1. Portadoras de antígenos
                                                                                                                                          2. Células de Panet
                                                                                                                                            1. Secretan lisozima y alfa-defensinas
                                                                                                                                              1. Ubicadas en el fondo de las glándulas
                                                                                                                                          3. Hay nódulos linfáticos
                                                                                                                                          4. Se encarga del transporte del quimo y de la absorción
                                                                                                                                            1. Segmentos
                                                                                                                                              1. Duodeno
                                                                                                                                                1. Íleon
                                                                                                                                                  1. Yeyuno
                                                                                                                                                2. Colón
                                                                                                                                                  1. Segmentos
                                                                                                                                                    1. Anatómicos
                                                                                                                                                      1. Ascendente
                                                                                                                                                        1. Descendente
                                                                                                                                                          1. Transverso
                                                                                                                                                            1. Sigmoides
                                                                                                                                                              1. Recto
                                                                                                                                                                1. Union anorectal
                                                                                                                                                                2. Ciego
                                                                                                                                                                  1. Apéndice
                                                                                                                                                                3. Estructurales
                                                                                                                                                                  1. Tenias
                                                                                                                                                                    1. Austras
                                                                                                                                                                  2. Histología
                                                                                                                                                                    1. Epitelio cilíndrico simple con células caliciformes
                                                                                                                                                                      1. Epitelio cilíndrico estratificado
                                                                                                                                                                        1. Epitelio cúbico estrtificado
                                                                                                                                                                        2. Células
                                                                                                                                                                          1. Enterocitos
                                                                                                                                                                        3. Participa en la absorción y conducción de desechos
                                                                                                                                                                      2. Sistema digestivo 1
                                                                                                                                                                        1. Glándulas salivales
                                                                                                                                                                          1. Grandes glándulas
                                                                                                                                                                            1. Submaxilar
                                                                                                                                                                              1. Es mixta predominantemente
                                                                                                                                                                                1. Cara medial de la manduibula
                                                                                                                                                                                  1. Conducto de Warton
                                                                                                                                                                                  2. Sublingual
                                                                                                                                                                                    1. Es mucosapredominantemente
                                                                                                                                                                                      1. Debajo de la lengua
                                                                                                                                                                                      2. Parótida
                                                                                                                                                                                        1. Es serosa predominantemente
                                                                                                                                                                                          1. En celda parotidea
                                                                                                                                                                                            1. Conducto de Stenon
                                                                                                                                                                                          2. Unidad estrutural
                                                                                                                                                                                            1. La sialona
                                                                                                                                                                                              1. Conducto estriado
                                                                                                                                                                                                1. Accino
                                                                                                                                                                                                  1. Mucoso
                                                                                                                                                                                                    1. Seroso
                                                                                                                                                                                                      1. La saliva contiene inmunoglobulina de secreción y fosfatos para el esmalte
                                                                                                                                                                                                      2. Mixto
                                                                                                                                                                                                      3. Conducto excretor
                                                                                                                                                                                                  2. Los dientes
                                                                                                                                                                                                    1. Anatomía
                                                                                                                                                                                                      1. Corona
                                                                                                                                                                                                        1. Raíz
                                                                                                                                                                                                        2. Histología
                                                                                                                                                                                                          1. Esmalte
                                                                                                                                                                                                            1. 98% de hidroxiapatita
                                                                                                                                                                                                              1. Formado por los ameloblastos
                                                                                                                                                                                                                1. Abundantes en la corona
                                                                                                                                                                                                                2. Dentina
                                                                                                                                                                                                                  1. formado por odontoblastos
                                                                                                                                                                                                                  2. Cemento
                                                                                                                                                                                                                    1. En la raíz de los dientes
                                                                                                                                                                                                                      1. Por cementoblastos
                                                                                                                                                                                                                    2. Tenemos 32 dientes en el adulto ?
                                                                                                                                                                                                                      1. 2 incisivos
                                                                                                                                                                                                                        1. 2 premolares
                                                                                                                                                                                                                          1. 3 molares
                                                                                                                                                                                                                            1. 1 canino
                                                                                                                                                                                                                          2. La mucosa bucal
                                                                                                                                                                                                                            1. Revestimiento
                                                                                                                                                                                                                              1. Con epitelio plano estratificado sin o con estrato corneo
                                                                                                                                                                                                                              2. Especializada
                                                                                                                                                                                                                                1. En el dorso de la lengua
                                                                                                                                                                                                                                  1. Papilas
                                                                                                                                                                                                                                    1. Foliadas
                                                                                                                                                                                                                                      1. En los bordes laterales de la lengua
                                                                                                                                                                                                                                      2. Caliciformes
                                                                                                                                                                                                                                        1. de 5 a 8 pares
                                                                                                                                                                                                                                        2. Filiformes
                                                                                                                                                                                                                                          1. Sin botones gustativos y epitelio cornificado
                                                                                                                                                                                                                                          2. fungiformes
                                                                                                                                                                                                                                            1. En el angulo de la lengua
                                                                                                                                                                                                                                        3. Masticatoria
                                                                                                                                                                                                                                          1. Con epitelio cornificado o paracornificado
                                                                                                                                                                                                                                            1. Se encuentra en las encías y paladar duro
                                                                                                                                                                                                                                              1. No hay submucosa
                                                                                                                                                                                                                                          2. Es el sistema que se encarga de la abasorciónn de nutrientes

                                                                                                                                                                                                                                            Media attachments

                                                                                                                                                                                                                                            Show full summary Hide full summary

                                                                                                                                                                                                                                            Similar

                                                                                                                                                                                                                                            Definiciones CARDIOLOGÍA
                                                                                                                                                                                                                                            Vivi Riquero
                                                                                                                                                                                                                                            T9. Enfermedades Inflamatorias
                                                                                                                                                                                                                                            Vivi Riquero
                                                                                                                                                                                                                                            Anatomía cabeza
                                                                                                                                                                                                                                            Diego Santos
                                                                                                                                                                                                                                            Fichas para oposiciones de auxiliar de enfermería
                                                                                                                                                                                                                                            leyvamiri
                                                                                                                                                                                                                                            Hematología - ENARM
                                                                                                                                                                                                                                            Emilio Alonsooo
                                                                                                                                                                                                                                            Anatomía cabeza
                                                                                                                                                                                                                                            maca.s
                                                                                                                                                                                                                                            Oftalmología - ENARM
                                                                                                                                                                                                                                            Emilio Alonsooo
                                                                                                                                                                                                                                            Infecciones Quirúrgicas
                                                                                                                                                                                                                                            Exero
                                                                                                                                                                                                                                            FUNDAMENTOS DE LA EMBRIOLOGÍA.
                                                                                                                                                                                                                                            fperezartiles
                                                                                                                                                                                                                                            Tema 15: Características del sistema respiratorio
                                                                                                                                                                                                                                            Marlopcar López
                                                                                                                                                                                                                                            Alergología - Práctica para el ENARM
                                                                                                                                                                                                                                            Emilio Alonsooo