Tejido conectivo

Description

Adolfo Rojas, Brenda Suarez ECR Mapa Mental tejido conectivo, Histologia
Adolfo Rojas
Mind Map by Adolfo Rojas, updated more than 1 year ago
Adolfo Rojas
Created by Adolfo Rojas about 10 years ago
341
3

Resource summary

Tejido conectivo
  1. Son un grupo de tejidos muy diversos, que comparten: Su función de relleno, ocupando los espacios entre otros tejidos y entre órganos, y de sostén del organismo, constituyendo el soporte material del cuerpo.
    1. Funciones
      1. Proporciona sostén y relleno estructural: huesos, cartílagos, ligamentos y tendones; cápsula y estroma de órganos
        1. Sirve como medio de intercambio: detritus metabólico, nutriente y oxígeno entre la sangre y muchas de las células del cuerpo
          1. Ayuda a la defensa y protección del cuerpo:
            1. Células fagocíticas: engloban y destruyen detritus celulares, partículas extrañas y microorganismos. Células inmunosuficientes que producen anticuerpos contra antígenos específicos. Células productoras de sustancias farmacológicas,ayudan en el control de la inflamación, El tejido conectivo también ayuda a proteger el cuerpo al formar una barrera física contra la invasión y la diseminación de los microorganismos.
            2. Forma un sitio para el almacenamiento de grasa
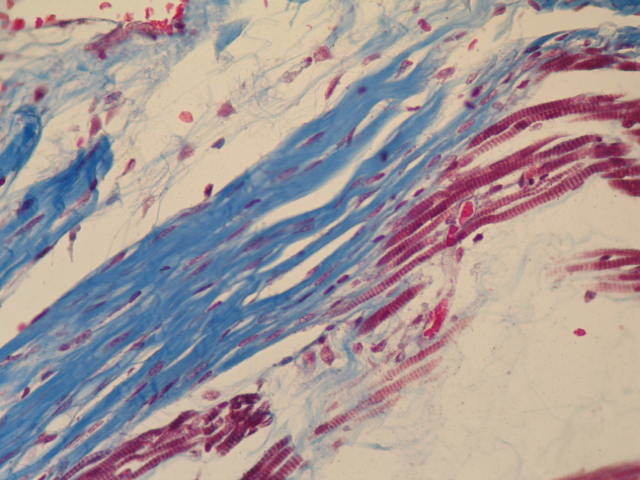
              1. Tendón y músculo estriado esquelético: Se observa el tendón (tejido conectivo denso modelado) de color azul y el músculo estriado esquelético de color rojo oscuro. La coloración tricrómica sirve para visualizar las fibras colágenas.
            3. Caractecteristica
              1. Llamado también tejido conjuntivo,Es el tejido que forma una continuidad con tejido epitelial, músculo y tejido nervioso, lo mismo que con otros componentes de este tejido para conservar al cuerpo integrado desde el punto de vista funcional. Presenta diversos tipos de células. Tiene abundante material intercelular. Tienen gran capacidad de regeneración. Es un tejido vascularizado.
                1. El tejido conjuntivo se caracteriza morfológicamente por presentar diversos tipos de células separadas por abundante material intercelular, sintetizado por ellas.
                  1. El tejido conjuntivo integra el sistema inmunitario de defensa contra las proteínas extrañas presentes en las bacterias, virus, células tumorales, etc.
                    1. El tejido está compuesto por sustancia fundamental, fibras y células.
                      1. Sustancia fundamental
                        1. Fibras
                          1. Células
                            1. El tejido conjuntivo posee células propias y células procedentes de la sangre.
                              1. Fibroblasto: Es la célula más común del tejido conjuntivo y la responsable de la formación de las fibras y de la matriz extracelular.
                                1. Macrófago: Es una célula poli funcional (fagocitosis, secreción, presentación de antígenos) procedente de los monocitos de la sangre.
                                  1. Mastocito (o célula cebada) participa en la inflamación y desempeña un papel central importante en la alergia.
                                    1. Plasmocito (o células plasmáticas) se origina a través de linfocitos B y produce anticuerpos.
                                      1. Adipocito (o célula adiposa) es una célula especializada en el almacenamiento de grasas neutras.
                                        1. Leucocitos (o glóbulos blancos) son componentes habituales del tejido conjuntivo, procedentes de la sangre por migración a través de los capilares y vénulas.
                                  2. Clasifican En:
                                    1. Tejido conectivo embrionario (tejido mesenquimal, tejido mucoide)
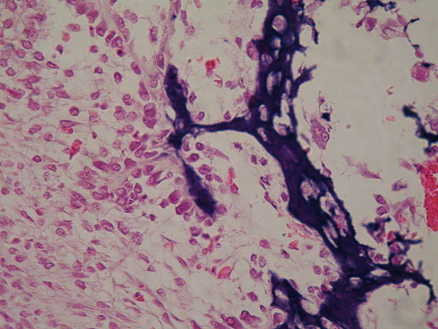
                                      1. Tejido Mesenquimal Al centro se observa el proceso de osificación intramembranosa, alrededor del cual están los osteoblastos, y por fuera las células mesenquimales (núcleo ovoide, cromatina laxa, nucléolo evidente, citoplasma escaso con formación de una red celular gracias a sus finas prolongaciones). Las células mesenquimales, por diferenciación, forman las células del tejido conectivo.
                                        1. Tejido Mesenquimal
                                        2. Tejido Mucoide El tejido conectivo mucoide se localiza alrededor de los 3 vasos umbilicales (2 arterias y 1 vena). Constituye la "gelatina de Wharton". En la foto se observa un fibrocito (núcleo alargado, cromatina densa, citoplasma de aspecto fusiforme) y un fibroblasto (núcleo ovoide, cromatina laxa, nucléolo visible, citoplasma de forma piramidal con prolongaciones en sus extremos). Entre las células se observan fibras colágenas sintetizadas por los fibroblastos.
                                          1. Tejido Mucoide
                                        3. Tejido conectivo propiamente dicho (tejido conectivo laxo, denso, reticular, adiposo)
                                          1. Tejido conectivo laxo
                                            1. Se caracteriza por la presencia de una población relativamente alta de células residentes, ya sea propias como fibroblastos y adipocitos o migratorias como macrófagos y células cebadas, separadas por la matriz extracelular formada por fibras colágenas y elásticas, laxamente dispuestas en una sustancia fundamental bastante fluída
                                            2. Tejido conectivo denso
                                              1. Presenta un contenido relativamente bajo de células, las que corresponden principalmente a fibroblastos. Su matriz extracelular es muy abundante, y su principal componente son gruesas fibras colágenas. La sustancia fundamental es relativamente escasa, predominando proteoglicanos de dermatan-sulfato.
                                              2. Tejido conectivo reticular
                                                1. Es una variedad de tejido conjuntivo especializado que forma una malla tridimensional estable, que otorga un soporte estructural a las células migratorias de órganos relacionados directamente con los leucocitos de la sangre como son el bazo.
                                                2. Tejido conectivo adiposo
                                                  1. Similar al tejido Conjuntivo laxo pero con menos fibras. Sus células características, denominadas adipocitos, se especializan en los almacenamientos de lípidos. Se localiza bajo la dermis, rodeando a órganos internos como el riñón y en el interior de la parte central de los huesos largos (médula ósea amarilla o tuétano). Su función es de reserva energética y como aislante térmico y mecánico
                                                3. Tejido conectivo especializado (tejido cartilaginoso, óseo y sanguíneo)
                                                  1. Tejido conectivo cartilaginoso
                                                    1. Formado por una matriz muy rica en fibras de colágena y elastina, gelatinosa pero mucho más consistente que el tejido conjuntivo y con unas células específicas denominadas condrocitos.
                                                      1. Tipos
                                                        1. Hialino
                                                          1. Tiene pocas fibras y más sustancia intercelular que los otros dos, es más rígido y se encuentra en la nariz, tráquea y las uniones de las costillas con el esternón.
                                                          2. Elastico
                                                            1. de gran flexibilidad y elasticidad, presente en el pabellón auricular, bronquiolos, epiglotis
                                                            2. Fibroso
                                                              1. de gran resistencia y rigidez, forma los meniscos y los discos intervertebrales.
                                                        2. Tejido conectivo oseo
                                                          1. Tipos de celulas
                                                            1. osteoblastos, osteocitos y osteoclastos (células encargadas de destruir hueso para remodelarlo).
                                                            2. La sustancia intercelular es sólida y rígida, está formada por fibras de colágeno y sales inorgánicas de fosfato y carbonato cálcico que le proporcionan resistencia.
                                                              1. Funciones
                                                                1. Almacenar calcio y fósforo, Proteger órganos blandos, Formar la estructura del cuerpo y participar del movimiento, Albergar la médula ósea roja (fabrica células sanguíneas).
                                                                2. Variedades
                                                                  1. Esponjoso
                                                                    1. la sustancia intercelular forma tabiques que se entrecruzan como en una esponja. Presente en el extremo de los huesos largos y el interior de los huesos planos y cortos, alberga a la médula ósea roja.
                                                                    2. Compacto
                                                                      1. la sustancia intercelular se dispone alrededor de unos canales (Conductos de Havers, por donde se extienden los vasos sanguíneos y los nervios en el hueso) formando una serie de capas concéntricas. Este tipo de tejido óseo se encuentra en la parte central de los huesos largos y en la parte externa de los huesos cortos y planos.
                                                                  2. Tejido conectivo sanguineo
                                                                    1. Es un tejido conectivo cuya sustancia intercelular es líquida. Se encuentra en el interior de los vasos sanguíneos y tiene un papel importantísimo en el mantenimiento del equilibrio del medio interno. Representa entre el 7 y el 8% del peso corporal.
                                                                      1. Compuesta por
                                                                        1. Una parte líquida o Plasma sanguíneo (60% del volumen) formada por agua, sales minerales, iones y abundantes proteínas (fibrinógeno, albúmina e inmunoglobulinas). Cuando al plasma le quitamos el fibrinógeno queda el Suero.Una parte sólida, las células sanguíneas (40% del volumen)
                                                                        2. Tipos
                                                                          1. Hematies o glóbulos rojos
                                                                            1. contienen hemoglobina, proteína que contiene hierro y transporta oxígeno. Son los responsables del color rojo de la sangre. Son células bicóncavas, sin núcleo, hay alrededor de 5 millones por cada mililitro.
                                                                            2. Leucocitos o glóbulos blancos
                                                                              1. son mayores que los hematíes, esféricos y tienen núcleo. Se encuentran en cifras entre los 5000 y 10000 por mililitro. Los hay de diversos tipos y su función es defender el organismo de agentes infecciosos.
                                                                              2. Plaquetas
                                                                                1. son fragmentos de otra célula mayor, se encuentran en número de 250 000 por mililitro y su función es formar el coágulo cuando se produce la rotura de un vaso sanguíneo para evitar la pérdida de sangre.
                                                                        Show full summary Hide full summary

                                                                        Similar

                                                                        Test sobre los tejidos
                                                                        Laura Marty
                                                                        TEST DE ANATOMIA (HUESOS)
                                                                        patotigre199
                                                                        Anatomía cabeza
                                                                        maca.s
                                                                        ANATOMÍA...
                                                                        Ulises Yo
                                                                        Aparato CIRCULATORIO
                                                                        JL Cadenas
                                                                        Test - Huesos del Cráneo
                                                                        Christhian Revolorio
                                                                        Aparato CIRCULATORIO - De Mapa Mental
                                                                        JL Cadenas
                                                                        Miembro Superior
                                                                        maca.s
                                                                        FUNDAMENTOS DE LA EMBRIOLOGÍA.
                                                                        fperezartiles
                                                                        ANATOMÍA TOPOGRÁFICA DEL ABDÓMEN
                                                                        Marcela Pazmiño
                                                                        Definiciones básicas de planos, ejes, movimientos y articulaciones
                                                                        Roy Dos Ramos