null
US
Sign In
Sign Up for Free
Sign Up
We have detected that Javascript is not enabled in your browser. The dynamic nature of our site means that Javascript must be enabled to function properly. Please read our
terms and conditions
for more information.
Next up
Copy and Edit
You need to log in to complete this action!
Register for Free
3226699
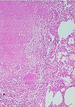
NECROSIS CASEOSA
Description
necrosis caseosa
No tags specified
necrosis
necrosis caseosa
reaccion irreversible
patologia
nk
Mind Map by
r.miguel.cc
, updated more than 1 year ago
More
Less
Created by
r.miguel.cc
about 10 years ago
97
0
0
Resource summary
NECROSIS CASEOSA
ETIOLOGIA
- Se debe principalmente a infecciones persistente por microorganismos
se produce sobre todo en los focos de infeccion tuberculosa
Nivel macroscopico
tejido blanquesino y blando
nivel microscopico
celulas lisadas y un resto granular amorfo rodeados de un margen inflamatorio
foco de inflamacion es conocido como granuloma
Media attachments
fdbd0bab-edf8-47c0-a98c-4026eb900cee (image/jpg)
f8e9a608-6de8-492d-8f13-54297883aafc (image/jpg)
Show full summary
Hide full summary
Want to create your own
Mind Maps
for
free
with GoConqr?
Learn more
.
Similar
Patología Cardiovascular
Vale Mala
Enfermedades cerebrales
leonardolezama13
Rol de los macrófagos en la inflamación crónica
Brian Espinoza Esquerre
Patologías Cardiovasculares [Congénitas]
Ariadna Ponce
Inflamación Aguda
Karla De Leon
Patologías Cardiovasculares [Patologías musculares]
Ariadna Ponce
Diagrama de flujo de la inflamación y sus mediadores químicos
ARMANDO DELGADILLO SANCHEZ
Enfermedad de Alzheimer
M Pereira
Enfermedad de Alzheimer
Diego Delgado
FRACTURA
Francisco.Sanz
Lesion celular
Lary Lara
Browse Library