null
US
Sign In
Sign Up for Free
Sign Up
We have detected that Javascript is not enabled in your browser. The dynamic nature of our site means that Javascript must be enabled to function properly. Please read our
terms and conditions
for more information.
Next up
Copy and Edit
You need to log in to complete this action!
Register for Free
3821729
HERENCIA HUMANA
Description
HERENCIA HUMANA
No tags specified
hola
que
tal
Mind Map by
cristianconyordy
, updated more than 1 year ago
More
Less
Created by
cristianconyordy
about 10 years ago
18
0
0
Resource summary
HERENCIA HUMANA
SON HERENCIAS DE NUESTROS PADRES BIOLOGICOS
POR MEDIO DE CROMOSOMAS
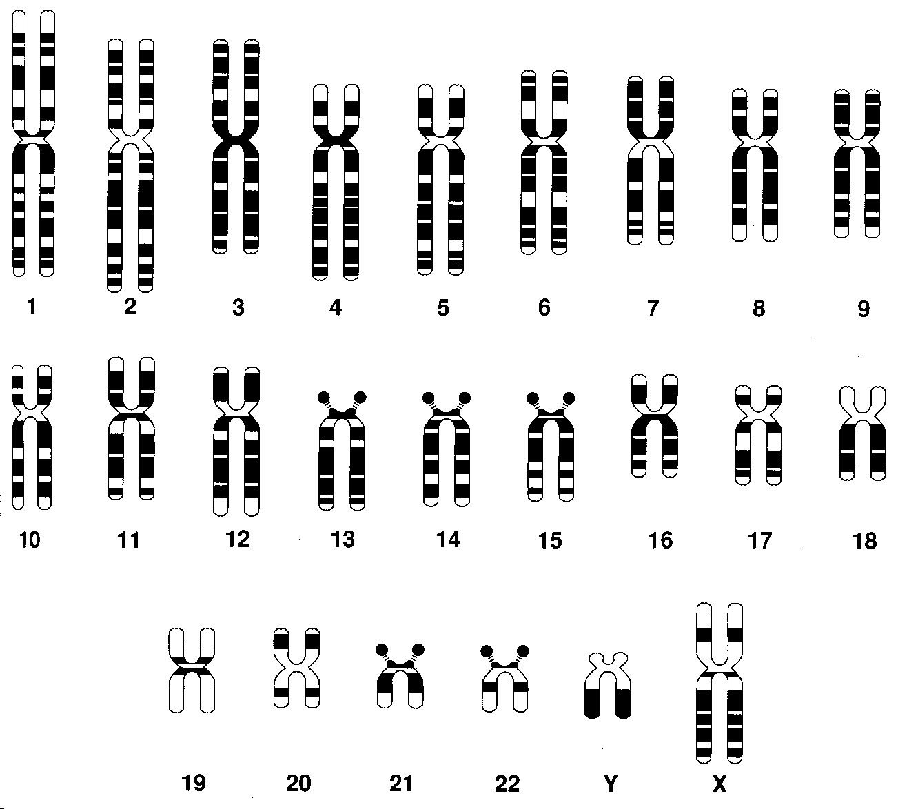
EL SER HUMANO POSEE 23 PARES DE CROMOSOMAS
EN VARONES
"X" y"Y"
EN MUJERES
"X" y "X"
La agrupación de cromosomas genera el CARIOTIPO HUMANO
Media attachments
f133e617-0aca-4bdd-8a3b-d571815d320a (image/jpg)
Show full summary
Hide full summary
Want to create your own
Mind Maps
for
free
with GoConqr?
Learn more
.
Similar
Papote
María Ponce
FILOSOFÍA MODERNA
Pau Ladios
que esperan de mi.
oswaldo reyes
La estructura de la formación Online
Soluciones Tecni
Introduccion 4
Soluciones Tecni
Modulo 5
Soluciones Tecni
modulo 6
Abiel Sorto
Condicionantes
Abiel Sorto
Centrados en el docente
Abiel Sorto
Introducción 7
Abiel Sorto
mapa
lorenarodriqueze
Browse Library