METODOS DIAGNOSTICOS EN CIRUGIA CARDIOVASCULAR

Description

metodos diagnostico
iovalejandra06
Mind Map by iovalejandra06, updated more than 1 year ago
iovalejandra06
Created by iovalejandra06 almost 10 years ago
333
0

Resource summary

METODOS DIAGNOSTICOS EN CIRUGIA CARDIOVASCULAR
  1. EXAMEN FISICO DE TORAX: sirve para encontrarsen algunos signos que revelan anomalias del sistema respiratorio, alteraciones del ritmo respiratorio, pulso paradojico, dedo hipocratico
    1. ECG : el paciente debe estar boca arriba se pondran 6 electrodos,chupas, en la parte anterior izquierda del pecho, un electrodo en cada tobillo y uno en cada muñeca y finalmente se conectan unos cables a los electrodos y estos al aparato del EKG sucesivos
      1. ECOCARDIOGRAFIA :emplea ondas sonoras para producir una imagen del corazon y ver como funciona. segun el tipo de estudio ecocardiografico que se realice puede determinarse el tamaño, la forma y el movimiento del musculo cardiaco.. al iguall puede mostrar como funcionan las valvulas cardiacas y como circula la sangre por el corazon.
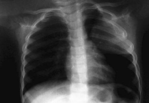
        1. RADIOGRAFIA DE TORAX :Es un estudio seguro en el que se utiliza una pequeña cantidad de radiacion para obtener una imagen del torax del paciente. durante el estudio, un equipo d erayos x envia un haz de radiacion a traves del torax y la imagen se registra en una pelicula especial o un computador. esta imagen incluye los organos y las estructuras como el corazon, los pulmones, los grandes vasos sanguineos, el diafragma, parte de las vias respiratorias, los ganglios linfaticos, la parte superior d ela columna vertebral, lasc costillas, la clavicula y el esternon.
          1. CATETERISMO CARDIACO :procedimiento complejo e invasivo que consiste en la introducciond e unos cateteres que se llevan hasta el corazon para valorar la anatomia del mismo y d elas arterias coronarias, asi como ver la funcion del corazon (cuanta sangre bombea), medir presiones de las cavidades cardiacas e incluso saber si hay alguna valvula alterada. permite ver si hay defectos congenitos como comunicaciones en el tabique auricular o ventricular.
              1. ANGIOPLASTIA CORONARIA :es un procedimiento mendiante el cual a traves d eun cateter, se hace llegar un pequeño balon inflable a la seccion de la arteria obstruida. este balon al ser inflado, comprime la obstruccion contra las paredes de la arteria, abriendo paso a la sagre qeu circula por ella.
            1. ERGOMETRIA O PRUEBA DE ESFUERZO .es una tecnica diagnostica fundamental que se utiliza principalmente para el diagnostico de la angina de pecho en pacientes con dolor toracico y para valorar la respuesta del corazon ante el ejercicio.
              1. ECOCARDIGRAMA TRANSESOFAGICO :es una prueba que muestra imagenes de su corazon usando ondas de ultrasonido. es un examen medianamente invasivo, en el que se introduce una sonda o tubo por la boca llegando hasta el esofago. el examen permite que el especialista vea de una forma mas cercana el funcionamiento del corazon ( cavidades, flujo sanguineo, valvulas etc.. )
                1. MONITOR REMOVAL :es una maquina que registra los ritmos cardiacos en forma continua. se lleva puesto de 24 a 48 horas durante la actividad
                  1. ANGIOTAC :estudio minimamente invasivo de las arterias de diferentes partes del cuerpo mediante la inyeccion de medio de contraste endovenoso. pueden estudiarsen las arterias cerebrales, carotidas, aorta o pulmonares. el sofware del equipo permite obtener imagenes en 3 dimensiones de ellas, se usa para el estudio de obstrucciones, aneurismas o trombo embolismo.
                    Show full summary Hide full summary

                    Similar

                    Instrumental quirúrgico
                    Laura Pérez León
                    Anatomía II, CEC 3
                    Lidia Naranjo
                    Resumen de mediastino
                    Mauricio Hernandez
                    Tipos de Incisiones
                    FlashCards ENARM
                    Karen Horney
                    alejandragomez.2
                    Cardiovascular
                    belenesc
                    GRANDES RETOS DE LA CIENCIA
                    Luis Antoniolli
                    Arnold Gesell
                    alejandragomez.2
                    FISIOLOGIA CARDIOVASCULAR
                    eugenia rodriguez
                    Patología Cardiovascular
                    Vale Mala