2_Enfermedades cerebrales

Description

Este mapa conceptual resume las enfermedades cerebrales más importantes en cuanto a su epidemiología y describe sus características tanto macroscópicas como microscópicas.
lore_lombardo
Mind Map by lore_lombardo, updated more than 1 year ago More Less
leonardolezama13
Created by leonardolezama13 almost 10 years ago
lore_lombardo
Copied by lore_lombardo almost 10 years ago
4
0

Resource summary

2_Enfermedades cerebrales
  1. Desmielinizantes
    1. Son afecciones adquiridas caracterizadas por el daño preferente de la mielina con conservación relativa de axones
      1. Ejemplos:
        1. Esclerosis Múltiple
          1. Es:
            1. Un trastorno AUTOINMUNITARIO caracterizado por episodios bien delimitados de defectos neurológicos atribuibles a lesiones de la sustancia blanca.
              1. El más frecuente de los trastornos desmielinizantes
                1. Afecta 2 veces más mujeres que hombres
                  1. Morfología
                    1. Macroscópica
                      1. Aparecen PLACAS pardo-grisáceas, de forma irregular y aspecto vidrioso, bien delimitadas y ligeramente deprimidas.
                      2. Microscópica
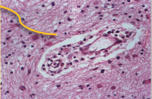
                        1. Signos de degradación de la mielina con macrófagos abundantes, con contenido rico el lípidos. Presencia de linfocitos y monocitos, preferentemente como manguitos perivasculares.
                      3. Se cree que los linfocitos
                  2. Neuromielitis óptica
                    1. Es:
                      1. Un síndrome con una neuritis óptica bilateral sincrónica y desmielinización de la médula espinal
                        1. Afecta mayormente mujeres
                          1. Se caracteriza por presencia de anticuerpos frente a la acuaporina 4
                            1. Morfología
                              1. En áreas lesionadas de sustancia blanca se enceuntra necrosis, infiltrado inflamatorio con neutrófilos y depósitos vasculares de Ig y complemento.
                      2. Mielinólisis pontina central
                        1. Es:
                          1. Un trastorno agudo, caracterizado por pérdida de la mielina que afecta la base de la protuberancia y algunas partes del techo de la protuberancia.
                            1. Suele aparecer después de una corrección rápida de hiponatremia o bien por trastornos electrolíticos graves.
                              1. Morfología:
                                1. NO presenta inflamación y las neuronas y axones se conservan
                  3. Neurodegenerativas
                    1. Son trastornos que se caracterizan por una pérdida progresiva de neuronas, que afectan a grupos neuronales con relaciones funcionales, aunque no se encuentren adyacentes.
                      1. Ejemplos:
                        1. Alzheimer
                          1. Es la causa más frecuente de demencia en la población anciana y la incidencia aumenta con la edad
                            1. Hay un deterioro de inicio insidioso de la función intelectual superior. Al progresar, aparecen deficiencias de la memoria, orientación visoespacial, capacidad de juicio, personalidad y lenguaje.
                              1. 5-10 años después: paciente queda con discapacidad profunda; mudo e inmóvil.
                                1. La alteración fundamental se debe a la acumulación de 2 proteínas (Aß y tau) en regiones específicas del cerebro.
                                  1. Morfología:
                                    1. Macroscópica:
                                      1. El cerebro muestra un grado variable de ATROFIA CORTICAL, hay ensanchamiento de los surcos cerebrales (más pronunciado en lóbulos frontal, temporal y parietal).
                                      2. Microscópica
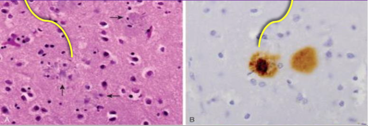
                                        1. PLACAS NEURÍTICAS
                                          1. Colecciones esféricas focales consistentes en prolongaciones neuróticas y tortuosas, a menudo alrededor de un núcleo amiloide central, que puede aparecer rodeado por halo claro.
                                          2. OVILLOS NEUROFIBRILARES
                                            1. Son haces de filamentos que contienen tau y se localizan en citoplasma de neuronas y desplazan o rodean el núcleo.
                              2. Parkinson
                                1. Es una enfermedad caracterizada por un trastorno llamativo hipocinético del movimiento, causado por pérdida de las neuronas dopaminérgicas en la sustancia negra.
                                  1. Síndrome clínico del parkinsonimo:
                                    1. Pérdida de la expresión facial, postura inclinada, retraso de los movimientos voluntarios, marcha festinante, rigidez y temblor.
                                      1. Genética molecular y patogenia:
                                        1. Se asocia a la acumulación y agregación de proteínas, alteraciones mitocondriales y pérdida de neuronas en la sustancia negra y otras regiones del cerebro.
                                          1. Morfología:
                                            1. Macroscópica:
                                              1. Palidez de la sustancia negra y del locus ceruleus por pérdida de neuronas
                                              2. Microscópica:
                                                1. Cuerpos de Lewy --> inclusiones citoplasmáticas eosinófilas, redondas, o alargadas y aisladas múltiples, a menudo rodeadas por halo pálido.
                              Show full summary Hide full summary

                              Similar

                              Balance de Situación
                              Diego Santos
                              FINANZAS Y RELACION CON OTRAS CIENCIAS
                              Christian Muñoz
                              PRINCIPALES INDICADORES DE PRESUPUESTO
                              uvitamaz
                              Teoria de la Empresa: Produccion y Costos
                              Ani Kimori Rosas
                              Economía en los Procesos de Refinación
                              Luis Gomes
                              Las razones financieras que permiten diagnosticar los estados financieros
                              Wilfran Camargo
                              características cualitativas de la información financiera útil enunciada en el Decreto 2270 de 2019
                              Mati Sanchez
                              CRÉDITO Y CIRCULACIÓN
                              Erick Valencia
                              RÈGIMEN TRIBUTARIO COLOMBIANO
                              YINARY ESPINOSA
                              1_Enfermedades cerebrales
                              lore_lombardo
                              Enfermedades cerebrales
                              Dilan Cambronero