Neumonía

Description

Tarea de neumonía
Rebeca Trejo
Mind Map by Rebeca Trejo, updated more than 1 year ago
Rebeca Trejo
Created by Rebeca Trejo about 9 years ago
288
0

Resource summary

Neumonía
  1. Inflamación del parénquima pulmonar que ocasiona consolidación del mismo
    1. Causada por exudado inflamatorio que llena los espacios alveolares
    2. Procesos infecciosos agudos causados por gérmenes cuya vía de entrada es aerógena
      1. Por infecciones sistémicas
        1. Secundaria a padecimientos que disminuyen la resistencia del individuo a la infección
          1. Nosocomial (S. aureus) o adquirida en la comunidad (S. pneumoniae)
      2. Factores del huesped
        1. Patología pulmonar crónica previa (EPOC; tuberculosis, patología intersticial)
          1. Drogas inmunosupresoras (esteroides)
            1. Cáncer, procesos mieloproliferativos
              1. Extremos de la vida
                1. Insuficiencia renal crónica
                  1. Inmovilización prolongada
                    1. Tabaquismo, alcoholismo, drogadicción
                      1. Intubación, ventilación asistida
        2. Agentes
          1. Streptococcus pneumoniae
            1. Haemophilus influenzae
              1. Staphylococcus aureus
                1. Streptococcus alfa o beta hemolítico
                  1. Klebsiella pneumoniae
                    1. Micoplasma pneumoniae
            2. Influenza
              1. Adenovirus
                1. Parainfluenza
                  1. ECHO
                    1. Coxsackie
            3. Neumonía alveolar: neumonía lobar aguda con inflamación principalmente en los alveolos y cuya causa puede ser neumococo u otros grampositivos
              1. Neumonía de focos múltiples: por gérmenes gramnegativos
                1. Neumonía intersticial: por virus y micoplasma
              2. Patología: exudado de líquido a la luz alveolar y presencia de microorganismos
                1. Hepatización roja. Consolidación del parénquima con presencia de fibrina y eritrocitos, capilares congestionados, pocos polimorfonucleares
                  1. Hepatización gris. Coloración grisácea, mayor afluencia de polimorfonucleares que fagocitan a los microorganismos
                    1. Más tarde, aparecen macrófagos alveolares que fagocitan a los microorganismos restantes y a los polimorfonucleares lesionados
                2. Cuadro clínico. Inicia en forma brusca, con escalofrío intenso, fiebre de 39, malestar general, tos, dolor torácico de tipo pleural, disnea
                  1. Después, se reduce el escalofrío y la tos se torna productiva, con esputo hemoptoico o herrumbroso
                    1. Exploración física: aleteo nasal, cianosis, disminución de movimientos del hemitórax, vibraciones vocales aumentadas, mate o submate a la percusión, a la auscultación estertores alveolares o subcrepitantes
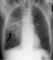
                      1. Rx. Focos de consolidación, con formación de abcesos y empiema
                  Show full summary Hide full summary

                  Similar

                  N E U M O L O G Í A
                  Gerardo Villarreal
                  NEUMONÍA ADQUIRIDA EN LA COMUNIDAD (NAC)
                  Mary Coronel
                  NEUMONÍA ADQUIRIDA EN LA COMUNIDAD (NAC)
                  Jessica Cristina Ludeña Chamba
                  NEUMONIA ADQUIRIDA EN LA COMUNIDAD
                  crvillotat20
                  Psicología clínica
                  Roberto Alejandro PEREZ ARTEAGA
                  Diabetes Mellitus Tipo 2
                  Viridiana Garza
                  Inmunidad Fichas de estudio
                  Dra. Luz Elias
                  Patologia Respiratoria Pediátrica
                  Abraham Ucán
                  Edema pulmonar agudo (EPA)
                  Daniel Medel
                  Cuadro fisiopatológico Insuficiencia cardiaca
                  Alejandra Torres
                  Historia Clínica
                  Karewit Romero