Leishmaniose

Description

Mapa mental sobre Leishmaniose
Teo R,
Mind Map by Teo R,, updated more than 1 year ago
Teo R,
Created by Teo R, almost 9 years ago
636
4

Resource summary

Leishmaniose
  1. O protozoário dessa doença é encontrado em duas maneiras no ciclo: Amastigota intracelular e promastigota flagelada.
    1. Na forma flagelada o protozoário possui um fragelo, assim consegue se locomover pelo organismo se espalhando no mesmo.
      1. Quando entra em contato com o macrófago (células de proteção do sangue) que não "percebe" mais que o protozoário é uma ameaça, o promastigota invade o macrófago e se transforma em amastigota, que quando se reproduzem dentro da célula chegando em um ponto onde não aguenta tantos protozoários e estoura deixando os amastigotas soltos na corrente sanguínea.

        Annotations:

        • Ao lado temos a ilustração de um macrófago sem estar com o protozoário da Leshmaniose.
        1. Os amastigotas que se encontram na corrente sanguínea são levados pelos mosquitos quando a pessoa infectada é picada novamente, e dentro desse vetor é onde o protozoário volta a ser promastigota, recomeçando o ciclo.

          Annotations:

          • O protozoário se encontra na saliva do mosquito palha, vetor da Leishmaniose.
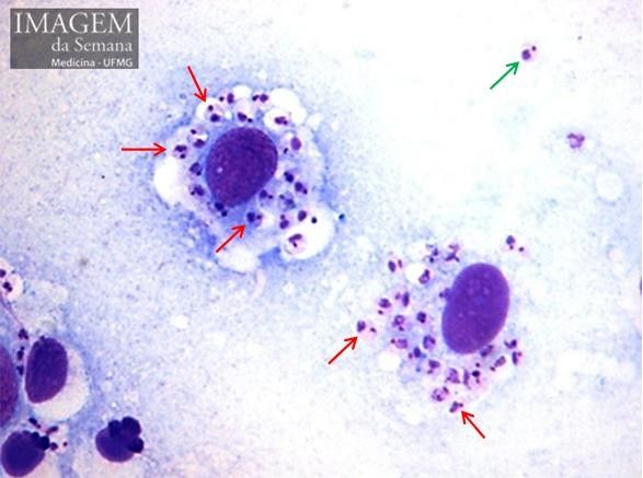
          1. Annotations:

            • Na imagem vemos amastigotas livres (seta verde) e macrófagos parasitados por amastigotas que quando se rompem causam feridas, no caso da leshmaniose cutânea, e outros sintomas mais graves na visceral.
            1. Nos casos de Leishmaniose cutânea os sintomas e tratamento são mais simples quando comparados com a visceral, felizmente (ou não) é a que apresenta mais casos quando comparada ao seu outro tipo, os sintomas são machucados na pele com uma crosta ou secreção, podendo ocorrer em qualquer parte do corpo, onde a doença se manifestar.

              Annotations:

              • Na imagem temos um exemplo de ferida que é um sintoma da doença nesse caso, abaixo um exemplo de como se manifesta no animal, muito comum em cães.
              1. Na Leishmaniose visceral temos sintomas diferentes por conta da mesma se manifestar dentro do corpo, podendo levar ao óbito se não tratada de imediato. Sintomas: Febre irregular, prolongada; anemia; indisposição; falta de apetite; perda de peso; inchaço do abdômen devido ao aumento do fígado e do baço.

                Annotations:

                • Acima um exemplo desse tipo da doença nos seres humanos. Abaixo, um exemplo no animal.
        Show full summary Hide full summary

        Similar

        Evolução Biológica: os mecanismos. A formação de novas espécies I
        Bruno Fernandes3682
        Quiz Sobre Genética
        Marerodrigues
        Glossário de Biologia
        GoConqr suporte .
        Sistema Respiratório - Biologia
        GoConqr suporte .
        Sistemas do Corpo Humano
        GoConqr suporte .
        2a Lei de Mendel
        Andrea Barreto M. Da Poça
        A Célula
        Nathalia - GoConqr
        Exercícios- Tipos de Reprodução
        Andrea Barreto M. Da Poça
        Cap. 01 - Sistemática e Classificação Biológica
        renpv
        Ecologia I
        kyungsos