Síndrome de Turner

Description

Sindrome de Turner
Marcelo Bendezu Lobaton
Mind Map by Marcelo Bendezu Lobaton, updated more than 1 year ago More Less
Juan Pablo Bedoya Gallego
Created by Juan Pablo Bedoya Gallego over 10 years ago
Marcelo Bendezu Lobaton
Copied by Marcelo Bendezu Lobaton about 9 years ago
4
0

Resource summary

Síndrome de Turner
  1. Tratamiento
    1. Hormona de crecimiento
      1. Terapia con estrógenos
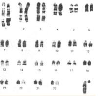
      2. Causa
        1. Perdida total o parcial de cromosoma X sexual
        2. Definición
          1. s una afección genética rara, que afecta únicamente a las mujeres, provocada por la ausencia total o parcial de un cromosoma X
          2. Características
            1. Bebés
              1. Manos y pies hinchados
                1. Cello ancho- unido por membranas
                2. Niñas- Jovenes
                  1. Pubertad incompleta o retardada
                    1. Párpados caidos
                      1. Infertilidad
                        1. Amenorrea
                      2. Tiempo de vida
                        1. Con los cuidados necesarios puede llevar una vida normal
                        Show full summary Hide full summary

                        Similar

                        Aparato CIRCULATORIO - De Mapa Mental
                        JL Cadenas
                        Composición química y celular de la sangre
                        Siomara Leon Barreto
                        Examen Metabolismo
                        Diego Santos
                        TEST REPASO BIOLOGÍA CELULAR
                        VICTOR MANUEL VITORIA RUIZ
                        Biología Celular
                        maya velasquez
                        Esterilización, desinfección y antisepsia
                        ana.karen94
                        Niveles de Organizaciòn
                        Sofi :3
                        Anatomía cabeza
                        Diego Santos
                        Anatomía cabeza
                        maca.s
                        Articulaciones y Músculos
                        Paola Mendoza
                        1. LA CÉLULA
                        Vivi Riquero