LA ORGANIZACIÓN DE LOS SERES VIVOS

Description

qwertyuiopñlkjhgfdsazxcvbnm
Alonso González Miguel
Mind Map by Alonso González Miguel, updated more than 1 year ago
Alonso González Miguel
Created by Alonso González Miguel almost 9 years ago
202
0

Resource summary

LA ORGANIZACIÓN DE LOS SERES VIVOS
  1. LAS CÉLULAS
    1. Las células son las unidades más pequeñas que forman a los seres vivos, y que, a su vez estan vivas.

      Annotations:

      • Son tan pequeñas que solo se pueden ver mediante un microscopio.
      1. LAS FUNCIONES VITALES
        1. RELACIÓN

          Annotations:

          • Las células reciben información del medio que las rodea y reaccioan ante ella.
          1. NUTRICIÓN

            Annotations:

            • Las células toman sustancias del exterior para conseguir materiales y energía.
            1. REPRODUCCIÓN

              Annotations:

              • Las células se dividen y originan otras células hijas.
            2. SERES PLURICELULARES

              Annotations:

              • Son los seres vivos que están formados por gran número de células.
              1. SERES UNICELULARES

                Annotations:

                • Son los seres vivos que están formados por una sola célula.
                1. Solo se pueden ver con un microscopio
              2. FORMA Y TAMAÑO

                Annotations:

                • Las células son muy pequeñas pero tienen distintos tamaños: por ejemplo, las  neuronas son más grandes que los glóbulos rojos.
                • Los distintos tipos de células tienen formas diferentes: esféricas, planas, estrelladas, prismáticas...
                1. Pluricelulares
                  1. Esféricas: glóbulos rojos Prisméticas: intestinales Estrelladas: neuronas Planas: pláquetas ...
                  2. Unicelulares
                    1. Diatomeas Amebas Algas (euglena) Hongos Protozoos Bacterias ...
                  3. PARTES DE LAS CÉLULAS
                    1. MEMBRANA

                      Annotations:

                      • Es una cubierta que rodea la célula y la separa del exterior.
                      1. CITOPLASMA

                        Annotations:

                        • Es la mayor parte de la célula y está formado por agua con numerosas sustancias disueltas.
                        1. NÚCLEO

                          Annotations:

                          • Es la parte que controla el correcto funcionamiento de la célula.
                          1. ORGÁNULOS

                            Annotations:

                            • Están en el citoplasma. Hay orgánulos de varios tipos y cada uno realiza una función diferente.
                          2. CÉLULAS ANIMALES Y CÉLULAS VEGETALES
                            1. SEMEJANZAS
                              1. Ambas poseen membrana, citoplasma, núcleo y orgánulos
                              2. DIFERENCIAS
                                1. CÉLULAS VEGETALES
                                  1. Pared rígida

                                    Annotations:

                                    • Las células vegetales poseen una pared rígida por fuera de la membrana. Poe eso, los tallos y las ramas de algunas plantas son duros.
                                    1. Cloroplastos (fotosíntesis)

                                      Annotations:

                                      • Las células vegetales poseen cloroplastos, unos orgánulos de color verde en los que se realiza la fotosíntesis.
                                      1. Más grandes y con forma regular (prismática)
                                      2. CÉLULAS ANIMALES
                                        1. Más variedad de formas
                                        2. FORMA Y TAMAÑO
                                    2. LOS NIVELES DE ORGANIZACIÓN
                                      1. LOS TEJIDOS
                                        1. Son un conjunto de células del mismo tipo

                                          Annotations:

                                          • Ejemplos: -en los animales: las células musculares forman el tejido muscular. -en las plantas: la epidermis es el tejido que recubre las hojas.
                                          1. Realizan una función común

                                            Annotations:

                                            • Las células de un tejido realizan una función común; por ejemplo, las células del tejido muscular producen movimiento.
                                        2. LOS ÓRGANOS
                                          1. Son la unión de varios tejidos que se organizan para funcionar conjuntamente.

                                            Annotations:

                                            • Ejemplo: Órgano del corazón: la mayoría es tejido muscular pero también tiene tejido nervioso y otros. Todos los tejidos que forman el corazón trabajan conjuntamente para que el órgano del corazón haga su función (impulsar la sangre a los vasos sanguíneos)
                                          2. SISTEMAS Y APARATOS
                                            1. Un sistema está formado por varios órganos del mismo tipo que realizan la misma función

                                              Annotations:

                                              • Por ejemplo: -el sistema muscular está formado por todos los músculos del cuerpo -el sistema óseo está formado por todos los huesos del cuerpo.
                                              1. Un aparato está formado por organos diferentes o varios sistemas que funcionan de manera coordinada para realizar un trbajo.

                                                Annotations:

                                                • Por ejemplo: El aparato locomotor está formado por dos sistemas: el muscular y el óseo (los dos  trabajan conjuntamente para que el cuerpo se mueva).
                                              2. Los organismos
                                                1. Pluricelulares

                                                  Annotations:

                                                  • La unión de todos los aparatos y sistemas da lugar a un organismo (un ser vivo completo)
                                                  1. La unión de todos los aparatos y sistemas da lugar a un organismo (un ser vivo completo)

                                                    Annotations:

                                                    • En los organismos pluricelulares hay células, tejidos, órganos, sistemas y aparatos.
                                                    1. Para que el organismo funcione tienen que trabajar coordinadamente todos los niveles (desde las células hasta los aparatos)
                                                  2. Unicelulares
                                                    1. Se quedan en el primer nivel de organización: el celular
                                                      1. Su única célula debe realizar todas las funciones vitales del ser vivo
                                                2. LOS TEJIDOS
                                                  1. Tejidos animales
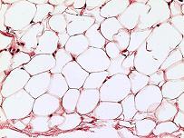
                                                    1. Tejido adiposo

                                                      Annotations:

                                                      • Está formado por células adiposas y acumula grasas.
                                                      1. Tejido muscular

                                                        Annotations:

                                                        • Se compone de células musculares y se encarga del movimiento.
                                                        1. Tejido óseo

                                                          Annotations:

                                                          • Se compone de las células óseas. Forma los huesos y tiene función de soporte.
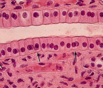
                                                          1. Tejido epitelial

                                                            Annotations:

                                                            • Está formado por células epiteliales. Da lugar a la piel y tiene función protectora.
                                                            1. Tejido nervioso

                                                              Annotations:

                                                              • Está formado por neuronas. Su función es llevar información al cerebro y respuestas al resto del cuerpo.
                                                              1. Tejido sanguíneo

                                                                Annotations:

                                                                • Está formado por células sanguíneas.Se encarga de transportar sustancias.
                                                              2. Tejidos vegetales
                                                                1. Tejido epidérmico

                                                                  Annotations:

                                                                  • Tiene función protectora de las hojas y los tallos jóvenes.
                                                                  1. El súber

                                                                    Annotations:

                                                                    • Es la corteza que se encuentra en los tallos y raíces viejas. Tiene función protectora.
                                                                    1. El parénquima

                                                                      Annotations:

                                                                      • Tiene dos funciones: en él se realiza la fotosíntesis y también almacena sustancias.
                                                                      1. Tejidos conductores

                                                                        Annotations:

                                                                        • Se encuentran en el interior de los troncos,los tallos y los nervios de las hojas.Su función es transportar sustancias.
                                                                    2. LOS ECOSISTEMAS
                                                                      1. EL MEDIO AMBIENTE
                                                                        1. Es todo lo que rodea e influye sobre un ser vivo
                                                                          1. Ecosistema

                                                                            Annotations:

                                                                            • Es el conjunto de seres vivos de un lugar, las relaciones entre ellos y el medio físico en que viven.
                                                                            1. Seres vivos
                                                                              1. Biosfera

                                                                                Annotations:

                                                                                • Es el conjunto de seres vivos que viven en la Tierra.
                                                                              2. Relaciones
                                                                                1. Medio físico

                                                                                  Annotations:

                                                                                  • Está formado por todos los componentes no vivos como las rocas o el agua y los factores que influyen sobre lavida, como temperatura o luz.
                                                                                  1. Terrestre

                                                                                    Annotations:

                                                                                    • Los seres vivos están rodeados de aire.
                                                                                    1. Acuático

                                                                                      Annotations:

                                                                                      • Los seres vivos están rodeados de agua.
                                                                                  2. Elementos no naturales

                                                                                    Annotations:

                                                                                    • Carreteras, puentes, embalses, edificios o vehículos.
                                                                                2. LA FOTOSÍNTESIS
                                                                                  1. Proceso por el que las plantas fabrican su propio alimento

                                                                                    Annotations:

                                                                                    • Se necesita: - agua y sales minerales - dióxido de carbono -energía
                                                                                    • Ocurre en las partes verdes de la planta.
                                                                                    • Las plantas captan la energía solar gracias a la clorofila que está en las hojas y en los tallos verdes.
                                                                                    1. Producen oxígeno que se libera a la atmósfera
                                                                                    2. RELACIONES DE ALIMENTACIÓN
                                                                                      1. Se representan con cadenas alimentarias
                                                                                        1. Productores

                                                                                          Annotations:

                                                                                          • Las algas y las plantas fabrican su propio alimento gracias a la fotosíntesis.
                                                                                          1. Consumidores

                                                                                            Annotations:

                                                                                            • No pueden fabricar su alimento.
                                                                                            1. Primarios
                                                                                              1. Herbívoros

                                                                                                Annotations:

                                                                                                • Se alimentan de plantas
                                                                                              2. Secundarios
                                                                                                1. Carnívoros

                                                                                                  Annotations:

                                                                                                  • Se allimentan de otros animales.
                                                                                                2. Carroñeros

                                                                                                  Annotations:

                                                                                                  • Se alimentan de cadáveres de otros animales.
                                                                                                3. Descomponedores

                                                                                                  Annotations:

                                                                                                  • Se alimentan de restos de otros seres vivos. Son los microorganismos y los hongos.
                                                                                                4. Ecosfera

                                                                                                  Annotations:

                                                                                                  • Todos los ecosistemas de la Tierra.
                                                                                                Show full summary Hide full summary

                                                                                                Similar

                                                                                                Resumen: La Célula (Bioelementos y biomoléculas)
                                                                                                enriquepunk182
                                                                                                Importancia de la Historia
                                                                                                Adnelis Perez
                                                                                                Notas musicales
                                                                                                Beatriz García Uruñuela
                                                                                                LA EUROPA DEL BARROCO
                                                                                                Nicolás Hernández Alonso
                                                                                                LA INFLACIÓN
                                                                                                Tatiana Arias Aguirre
                                                                                                TEST SOBRE EL CAMBIO CLIMÁTICO
                                                                                                jositopi
                                                                                                Entropía de la Información
                                                                                                Christian Morales
                                                                                                los 7 principios de la doctrina social de la iglesia catolica
                                                                                                anaiss inzulzapaez
                                                                                                Aminoacidos ( 2º Bachillerato Ciencias de la Salud )
                                                                                                antonio merino
                                                                                                Estados de la materia (test)
                                                                                                pilu_4
                                                                                                Massas e frutos do mar
                                                                                                Edison M. Guzmán