null
US
Sign In
Sign Up for Free
Sign Up
We have detected that Javascript is not enabled in your browser. The dynamic nature of our site means that Javascript must be enabled to function properly. Please read our
terms and conditions
for more information.
Next up
Copy and Edit
You need to log in to complete this action!
Register for Free
4706368
Etiologia y patogenia de la enfermedad perodontal
Description
Mind Map on Etiologia y patogenia de la enfermedad perodontal, created by Iris Akihiko Tak on 01/03/2016.
No tags specified
periodoncia #calculodental
estomatologia
periodonto
Mind Map by
Iris Akihiko Tak
, updated more than 1 year ago
More
Less
Created by
Iris Akihiko Tak
over 9 years ago
17
0
0
Resource summary
Etiologia y patogenia de la enfermedad perodontal
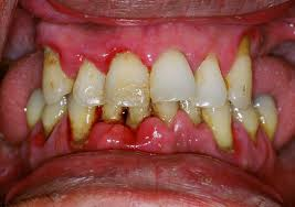
Factores locales
Placa dentobacteriana
Caracteristicas
Composicion
Formacion
Clasificacion
Supragingival
Infragingival
Factores Condicionales Sistemicos
Patogenia de la enfermedad periodontal
respuestas inmunologicas periodontales
Otros factores
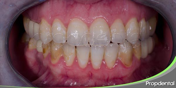
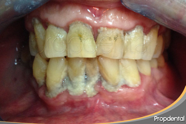
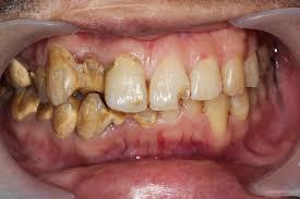
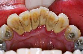
Calculo o sarro dental
Distribucion y Caracteristicas clinicas
Mineralizacion y composicion
Formacion
Odontologia restauradora como factor etiologico
Factores diversos
Media attachments
85078d36-ad32-4f3f-99e7-41f624ceb105 (image/jpg)
3284fa32-d980-4015-a63f-11a280baea6e (image/png)
adcb0cc8-408a-42d0-879c-0d9656d92bd1 (image/png)
60ca142d-13b3-4869-9351-d1d53795a430 (image/jpg)
556190cd-0c17-4922-b88b-f860ddd0b2f7 (image/jpg)
ca698bc1-60a8-4e2a-a2bd-57485e9ca530 (image/jpg)
271f7764-a93d-452d-9b32-ee366e0023c2.gif (image/gif)
36cbcfdf-ce2b-42d8-97e8-3010efa8be90 (image/jpg)
73bda8ef-1e86-4d15-8a65-5e216da4e8a3 (image/jpg)
51fc609f-d56d-4fef-9043-480527405305 (image/jpg)
54f9d96c-d742-41ca-8c6b-42cd836378ba (image/jpg)
14cadcc1-ce14-4369-8257-117fcaba5e5c.gif (image/gif)
8e037400-1e61-4ff6-bbe8-865e533c5f13 (image/png)
ef6a60f5-ca32-44e5-ae07-22901259656b (image/jpg)
f3f662b5-fe47-4103-bda3-5c972a6c3707 (image/jpg)
e7d721a0-4eb2-4194-8780-5d611055014d (image/png)
81287bc4-5eba-42f3-a269-57451c658336 (image/jpg)
871e6cad-6119-4bb0-a042-b2d32738c8f2 (image/jpg)
dbe0de0b-1338-4d23-a5a5-3ffc927fb4b4 (image/jpg)
Show full summary
Hide full summary
Want to create your own
Mind Maps
for
free
with GoConqr?
Learn more
.
Similar
NERVIO TRIGEMINO
Mariana Ruiz Esparza Quiroz
NERVIO TRIGEMINO
Mariana Ruiz Esparza Quiroz
Browse Library