S01 - Topography of the Major Features of the Brain and Spinal Cord

Description

BAB Mind Map on S01 - Topography of the Major Features of the Brain and Spinal Cord, created by chris.brees on 18/01/2014.
chris.brees
Mind Map by chris.brees, updated more than 1 year ago
chris.brees
Created by chris.brees almost 12 years ago
185
0

Resource summary

S01 - Topography of the Major Features of the Brain and Spinal Cord
  1. Recognise the major features of the anatomy of the brain and spinal cord as seen externally and in coronal and transverse sections and summarise the major functions of these areas
    1. Lobes
      1. Temporal
        1. Language
        2. Parietal
          1. Movement
          2. Occipital
            1. Vision
            2. Frontal
              1. Planning
            3. Brainstem
              1. Medulla
                1. Pons
                2. Midbrain
                  1. Tegmentum
                    1. Tectum
                    2. Limbic System
                      1. Thalamus
                        1. Hypothalamus
                      2. Describe the major functions of the cerebral cortex, cerebral white matter, basal ganglia, diencephalon, brainstem and cerebellum
                        1. Cerebral Cortex
                          1. Cerebral white matter
                            1. Due to myelinated axons - signals
                            2. Basal Ganglia
                              1. Voluntary control
                                1. Action Selection
                                  1. Which action to select at any one time
                                  2. Habits
                                    1. Emotional
                                    2. Diencephalon
                                      1. Thalamus
                                        1. Junctional area for sensory neurones
                                        2. Hypothalamus
                                          1. Controls visceral autonomic nervous system
                                            1. e.g. fight or flight response
                                          2. Pineal Gland
                                            1. Controls circadian rhythm
                                            2. Pituitary Gland
                                              1. Endocrine function
                                            3. Brainstem
                                              1. Pons
                                                1. Switchboard connecting cerebellum to cerebral cortex
                                                  1. Latin for bridge
                                                  2. Medulla
                                                    1. Decussation occurs here
                                                      1. Relay information
                                                        1. Touch
                                                          1. Taste
                                                            1. Hearing
                                                        2. Cerebellum
                                                          1. Movement centre
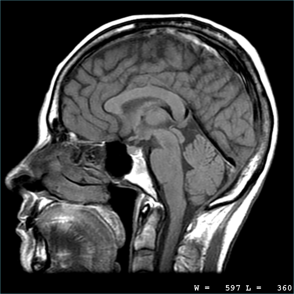
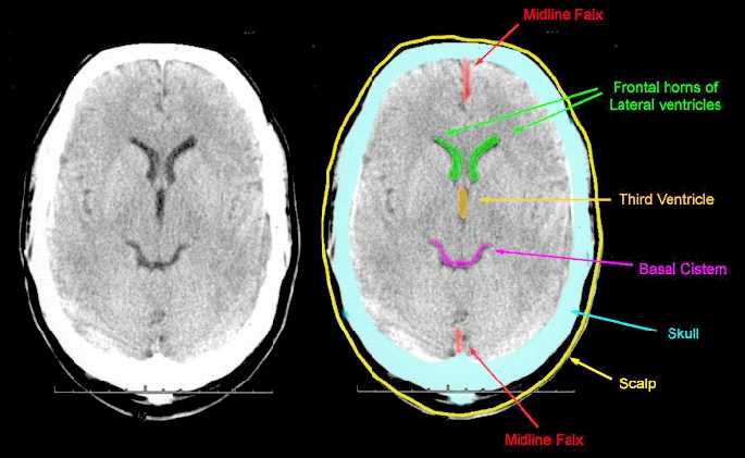
                                                        3. Identify normal anatomical features of the brain on images produced by CT and MRI scanning
                                                          1. CT Scan
                                                            1. MRI scan
                                                            2. Identify and describe the blood supply to and from the brain and spinal cord on specimens and angiograms and appreciate its clinical significance
                                                              1. Brain Blood Supply
                                                                1. Anterior Cerebral Artery
                                                                  1. Middle Cerebral Artery
                                                                    1. Posterior Cerebral Artery
                                                                    2. Spinal Cord
                                                                    3. Identify and locate major functional areas of the cerebellum and brainstem from external views including the attachments of cranial nerves.
                                                                      1. Functional Areas
                                                                        1. Cerebellum
                                                                          1. Pons
                                                                            1. Medulla
                                                                            2. Cranial Nerve Attachments
                                                                              1. Telencephalon
                                                                                1. Olfactory
                                                                                2. Diencephalon
                                                                                  1. Optic
                                                                                  2. Mesencephalon
                                                                                    1. Occulomotor
                                                                                      1. Trochlear
                                                                                      2. Pons
                                                                                        1. Trigeminal
                                                                                          1. Abducent
                                                                                            1. Facial
                                                                                            2. Medulla
                                                                                              1. Vestibulocochlear
                                                                                                1. Glossopharyngeal
                                                                                                  1. Vagus
                                                                                                    1. Accessory
                                                                                                      1. Hypoglossal
                                                                                                  2. Identify and describe the functional areas of the spinal cord in transverse section, and describe the major features that differentiate spinal segments from different regions
                                                                                                    1. Features of spinal cord
                                                                                                      1. Sections
                                                                                                      2. Locate and identify cranial nerves and their foramen on specimens, models and diagrams; and describe the functions of each cranial nerve
                                                                                                        1. Functions and Foramen
                                                                                                          1. Olfactory
                                                                                                            1. Smell
                                                                                                              1. Cribiform Plate
                                                                                                              2. Optic
                                                                                                                1. Sight
                                                                                                                  1. Optic canal
                                                                                                                  2. Occulomotor
                                                                                                                    1. Pupillary muscles and ciliary muscles
                                                                                                                      1. Superior Orbital Fissure
                                                                                                                      2. Trochlear
                                                                                                                        1. Superior Oblique Muscle
                                                                                                                          1. Superior Orbital Fissure
                                                                                                                          2. Trigeminal
                                                                                                                            1. Opthalmic
                                                                                                                              1. Sensory; eyes, nose etc.
                                                                                                                                1. SOF
                                                                                                                                2. Maxillary
                                                                                                                                  1. Oral and nasal cavities
                                                                                                                                    1. Foramen Rotundum
                                                                                                                                    2. Mandibular
                                                                                                                                      1. Lower lip, cheek, face etc.
                                                                                                                                        1. Foramen Ovale
                                                                                                                                      2. Abducent
                                                                                                                                        1. Lateral Rectus muscle
                                                                                                                                          1. SOF
                                                                                                                                          2. Facial Nerve
                                                                                                                                            1. Temporal
                                                                                                                                              1. Zygomatic
                                                                                                                                                1. Buccal
                                                                                                                                                  1. Marginal Mandibular
                                                                                                                                                    1. Cervical
                                                                                                                                                      1. Innervates
                                                                                                                                                        1. Salivary Glands
                                                                                                                                                          1. Facial muscles
                                                                                                                                                            1. Taste from anterior 2/3 of tongue
                                                                                                                                                            2. Stylomastoid foramen
                                                                                                                                                            3. Vestibulocochlear
                                                                                                                                                              1. Balance and hearing
                                                                                                                                                                1. Internal Acoustic Meatus
                                                                                                                                                                2. Glossopharyngeal
                                                                                                                                                                  1. Posterior 1/3 of tongue, carotid body and sinus, palatine tonsils, parotid gland etc.
                                                                                                                                                                    1. Jugular foramen
                                                                                                                                                                    2. Vagus
                                                                                                                                                                      1. Heart, soft palate, larynx
                                                                                                                                                                        1. Jugular Foramen
                                                                                                                                                                        2. Accessory
                                                                                                                                                                          1. SCM and Trapezius
                                                                                                                                                                            1. Jugular Foramen
                                                                                                                                                                            2. Hypoglossal
                                                                                                                                                                              1. Hypoglossal Canal
                                                                                                                                                                                1. Hypoglossus, genioglossus and styloglossus muscles + all intrinsic muscles of tongue
                                                                                                                                                                            Show full summary Hide full summary

                                                                                                                                                                            Similar

                                                                                                                                                                            Dodó és Bab kvízparty
                                                                                                                                                                            Sticsinszky Szüá
                                                                                                                                                                            S03/4 Ascending Tracts
                                                                                                                                                                            chris.brees
                                                                                                                                                                            L02 - Development and Anomalies of Development in the CNS
                                                                                                                                                                            chris.brees
                                                                                                                                                                            L04 - The Somatosensory System
                                                                                                                                                                            chris.brees
                                                                                                                                                                            Überblick Kostenrechnung
                                                                                                                                                                            Duc Thang Le