La Célula y Organización celular

Description

Partes de la célula y clasificación
Luis Miguel Alvarez Gonzalez
Mind Map by Luis Miguel Alvarez Gonzalez, updated more than 1 year ago
Luis Miguel Alvarez Gonzalez
Created by Luis Miguel Alvarez Gonzalez almost 9 years ago
1059
0

Resource summary

La Célula y Organización celular
  1. Unidad básica dotada de vida
    1. 1. Organización
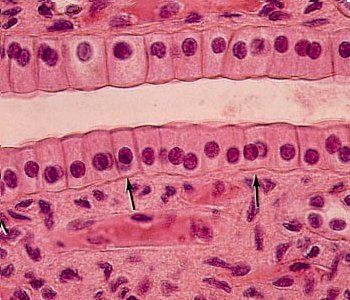
      1. Membrana

        Annotations:

        • Las células se encuentran separadas del mundo exterior por una membrana limitante, la membrana plasmática. La membrana plasmática tiene dos capas y se encarga de:  1. aislar selectivamente el contenido de la célula del ambiente externo.  2. regular el intercambio de sustancias entre el interior y exterior celular (lo que entra y sale de la célula);  3. comunicación intercelular En la foto vemos dos membranas de dos células separadas por un pequeño espacio.
        1. Citoplasma

          Annotations:

          • "Se encuentra rodeada por la membrana plasmática pero fuera del núcleo de la célula. Hasta el 85% del citoplasma está formado por agua, proteínas, lípidos, carbohidratos, ARN, sales, minerales y otros productos. Además en su interior están localizados el NÚCLEO (o Nucleoide) y los "orgánulos" como mitocondrias, plastos, lisosomas, ribosomas y retículo endoplasmático
          1. Núcleo

            Annotations:

            • Estructura esférica que se encuentra en el citoplasma. Contiene ácidos nucleicos, ADN y ARN, que se encargan de la "herencia" y del funcionamiento general de la célula. En la foto vemos células de cebolla con su núcleo.
          2. 2. Tipos
            1. Procariotas

              Annotations:

              • No tienen un núcleo bien definido. Su material hereditario se encuentra en el citoplasma sin estar rodeado de membrana alguna que lo separe. Se llama "Nucleoide"
              1. Eucariotas
                1. Animal
                  1. Vegetal
                2. 3. Organización de los organismos
                  1. Unicelulares

                    Annotations:

                    • El organismo es una única célula. Todas las células Procariotas son unicelulares, sólo algunas eucariotas, como protozoos y algunos hongos, son unicelulares
                    1. Pluricelulares
                      1. Tejidos
                        1. Órganos
                          1. Sistemas
                            1. Aparatos
                    Show full summary Hide full summary

                    Similar

                    Organelas
                    SUSANE GOMES
                    Arteria aorta
                    Jennifer Bolivar
                    Quiz MDA
                    israel gomes
                    Reported Speech - General Overview
                    Jmuela
                    Organelas Celulares
                    Nathália Souza
                    "Algunas areas del conocimientobuscan decribir el mundo, mientrasotras buscan transformarlo". Explore esta afirmación haciendo referencia a dos areas de conocimiento.
                    Valentina Pulido Vivas
                    Citoplasma Celular
                    Gregorio Rodríguez
                    ORGANELOS
                    Andrés Rodríguez
                    Economia de mercat
                    Anna Ester Nieto
                    Teoría del Conocimiento - Mapa de Conceptos
                    Esther Contreras
                    NIVELES DE ORGANIZACIÓN CELULAR
                    luisa barroso