Meiosis Producing Genetic Variation

Description

Biology (Genetic Variation ) Note on Meiosis Producing Genetic Variation , created by carlacamilleri on 18/06/2014.
carlacamilleri
Note by carlacamilleri, updated more than 1 year ago
carlacamilleri
Created by carlacamilleri over 11 years ago
14019
4

Resource summary

Page 1

Meiosis produces genetic variation through: 1.       Segregation 2.       Independent Assortment 3.       Crossing over (recombination) All 3 randomly shuffle the alleles of the chromosomes in a parent cell into four different gamete cells -> meiosis produces different combinations of alleles = why children don’t look exactly like half the characteristics of each parents why siblings don’t look alike. Segregation – the two alleles of a pair of homologous chromosomes separate into different cells during meiosis. ·         In the first division, Meiosis I, chromosomes line up in homologous pairs at the cwell equator (with each member of a homologous pair opposite the other on either side of the equator) ·         Therefore, when each member of the homologous pair is pulled to opposite poles by spindle fibres the two alleles for a gene are separated into different cells. So, segregation means: ·         You can end up with gametes with different alleles for a gene ·         Either one of the alleles can then be passed on into the gene pool through a gamete ·         This gives the opportunity for there to be different combinations of alleles from the parent when it fuses with another gamete to form a zygote (thereby increasing genetic variation from the parent) Independent Assortment ·         During Meiosis I, each homologous chromosome pair lines up and separates independently of how the other pairs line up.  ·         Each time a cell divides, the orientation of each pair will be different, producing different allele combinations each time. It shuffles alleles into a huge variety of new combinations. Crossing Over - an exchange of sections of  non sister chromatids between homologous chromosomes (shuffles alleles between homologous chromosomes  When the homologous chromosomes pair up and form tetrads, sections of the non sister chromatids can cross over at a point called a chiasma  A chiasma is the point where the two non sister chromatids cross over and exchange genetic material  The crossed sections can break and recombine at the chiasma resulting in chromosomes in the gametes with different allele combinations from those of the parent, therefore increasing genetic variation. 

Independent Assortment 

Segregation

Crossing Over 

Fertilization creates Genetic VariationFertilization - the fusion of a sperm and an ovum (egg) resulting in a diploid zygote.  Due to segregation, independent assortment and crossing over, both the sperm and ovum have a unique combination of alleles and it is also completely random/chance which sperm fertilizes which ovum  Successful fertilization can only occur due to meiosis occurring to produce haploid gametes. 

ESSAYS - QUESTION TIPSAchieved - State: just namingMerit - Describe: Name and a description Excellence - Explain: Name, describe and explain why (discuss) 

ESSAY QUESTION:  Define the term mutation, explain why the result of mutations in somatic and gametic cells is not the same in terms of creating new alleles that enter the gene pool. Once new alleles are created, their distribution in individuals within a population is due to the variation created by meiosis. Discuss how the processes that occur during meiosis lead to variation.Mutation can be defined as a permanent change in the nucleotide sequence in a gene or a chromosome. Somatic mutations occur in any cells of the body other than in the gametes. Gametic mutation only occur in gametes, eg sperm/eggs. Somatic mutations are not passed one from one generation to the next. Somatic mutation only affect the individual organism in which the cells have mutated.  Gametic mutations are transferred to the next generations. Gametic mutations are not limited to the individual  in which the original mutations have occurred. The new alleles created by gametic mutation are available to the gene pool and may become established in that gene pool. Meiosis produces four haploid cells that develop into gametes so that when fertilisation occurs, a new individual with the full number of genes results, maintaining the chromosomal number from generation to generation while promotic genetic diverstiy and variability within the population. Meiosis is a vital process because it reduces the original number of chromosomes to half and allows genetic variability by genetic recombination and independent assortment. Recombination is where there is an exchange of genetic material between adjacent chromatids of homologous chromosomes. This 'random' exchange of DNA results in novel combinations of alleles on the chromosomes, creating allmost infinite potential for variation. 

E

ESSAY QUESTION:  Define the term mutation, explain why the result of mutations in somatic and gametic cells is not the same in terms of creating new alleles that enter the gene pool. Once new alleles are created, their distribution in individuals within a population is due to the variation created by meiosis. Discuss how the processes that occur during meiosis lead to variation.Mutation can be defined as a permanent change in the nucleotide sequence in a gene or a chromosome. Somatic mutations occur in any cells of the body other than in the gametes. Gametic mutation only occur in gametes, eg sperm/eggs. Somatic mutations are not passed one from one generation to the next. Somatic mutation only affect the individual organism in which the cells have mutated.  Gametic mutations are transferred to the next generations. Gametic mutations are not limited to the individual  in which the original mutations have occurred. The new alleles created by gametic mutation are available to the gene pool and may become established in that gene pool. Meiosis produces four haploid cells that develop into gametes so that when fertilisation occurs, a new individual with the full number of genes results, maintaining the chromosomal number from generation to generation while promoting genetic diversity and variability within the population. Meiosis is a vital process because it reduces the original number of chromosomes to half and allows genetic variability by genetic recombination and independent assortment. Recombination is where there is an exchange of genetic material between adjacent chromatids of homologous chromosomes. This 'random' exchange of DNA results in novel combinations of alleles on the chromosomes, creating almost infinite potential for variation. Independent assortment is when each of the chromosome pairs separate in the first division. They do this independently of each other creating a huge amount of variation in the nature of the gametes produces.  

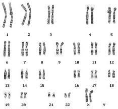
        GENETIC INHERITANCE Genetic inheritance - following the transmission of alleles of genes between parents and offspring. Karyotype - the number and appearance of chromosomes in a nucleus of an individual organism (how they look under a microscope) 

ESSAYS - QUESTION TIPSAchieved - State: just namingMerit - Describe: Name and a description Excellence - Explain: Name, describe and explain why (discuss) 

MUTATION ESSAY 

Humans have 46 chromosomes = 23 pairs Of which:  22 pairs are autosomes (a chromosome not involved in sex determination - not a sex chromosome) 1 pair (the 23rd pair) is a sex chromosome (a chromosome involved in determining the sex of an organism 

KARYOTYPE 

Types of genetic variation

MUTATION ESSAY

GENETIC INHERITANCE

Show full summary Hide full summary

Similar

Biology- Genes and Variation
Laura Perry
Variation and evolution Quiz
James Edwards22201
AQA AS Biology unit 2 Variation
elliedee
Biological Definitions
Yamminnnn
Biology AQA 3.1.3 Cells
evie.daines
Biology AQA 3.2.5 Mitosis
evie.daines
Biology AQA 3.1.3 Osmosis and Diffusion
evie.daines
Biology- Genes, Chromosomes and DNA
Laura Perry
Enzymes and Respiration
I Turner
GCSE AQA Biology - Unit 2
James Jolliffe
GCSE AQA Biology 1 Quiz
Lilac Potato