SIMULADO - Casos Clínicos

Description

Este simulado foi elaborado com questões do Exame Nacional de Revalidação de Diplomas Médicos expedidos por Instituição de Educação Superior Estrangeira (Revalida).
Rodrigo Gouvea
Quiz by Rodrigo Gouvea, updated more than 1 year ago
Rodrigo Gouvea
Created by Rodrigo Gouvea about 9 years ago
3510
31

Resource summary

Question 1

Question
Uma mulher com 55 anos de idade e longa história de episódios depressivos é trazida à Unidade Básica de Saúde por um Agente Comunitário de Saúde por apresentar-se delirante há várias semanas. Já na sala de espera, o quadro agrava-se progressivamente para franca agitação psicomotora, com a paciente tentando agredir outros usuários e a equipe de trabalho, por quem diz estar sendo perseguida. Nessa situação, além de realizar a contenção física da paciente, está indicado administrar:
Answer
  • Sertralina por via oral
  • Diazepan por via oral
  • Haloperidol por via intramuscular
  • Prometazina por via intramuscular

Question 2

Question
Uma menina com 7 anos de idade é trazida pela mãe à Unidade Básica de Saúde, com queixa de “chiado no peito” frequente desde os 2 anos de idade. A mãe informa que há vários dias o quadro vem piorando, depois de uma mudança climática abrupta. Informa também que a criança teve várias crises no último ano, inclusive com uma internação hospitalar. Ao exame físico apresenta: frequência respiratória = 40 irpm, frequência cardíaca = 102 bpm, sibilância expiratória difusa, ausência de tiragem intercostal. Apresenta hipertrofia e palidez de cornetos nasais à rinoscopia. O médico conclui que a criança é portadora de asma brônquica persistente moderada. O melhor esquema terapêutico de manutenção para essa criança é o uso de salbutamol inalatório associado a:
Answer
  • Teofilina por via oral
  • Loratadina por via oral
  • Corticoide por via oral
  • Corticoide por via inalatória

Question 3

Question
Na diferenciação entre as hepatites virais deve-se considerar que:
Answer
  • Todas as hepatites virais podem evoluir para a cronicidade.
  • A persistência do vírus da hepatite C por mais de seis meses define a cronicidade.
  • A frequência de sintomatologia na hepatite pelo vírus A é semelhante entre os grupos etários.
  • Os índices de endemicidade da hepatite pelo vírus B, no Brasil, são mais elevados nos grandes centros urbanos.

Question 4

Question
Uma mulher de 21 anos, nuligesta, casada, em uso de método contraceptivo oral, procurou atendimento ginecológico com queixa de corrimento vaginal branco-acinzentado, de pequena intensidade e odor fétido, que se iniciou há 5 dias. A paciente relata ter feito uso de fluconazol oral sem melhora. Nesse caso, qual o principal agente etiológico?
Answer
  • Chlamydia
  • Candidíase
  • Gonococo
  • Trichomoníase
  • Gardenerella

Question 5

Question
Na pesquisa realizada para avaliação da implantação da Estratégia da Saúde da Família no Brasil, publicada pelo Ministério da Saúde em 2006, a tendência geral observada foi a melhoria dos indicadores de saúde nos municípios de IDH baixo (< 0,7). Esses dados mostram o cumprimento de qual dos princípios do SUS listados abaixo?
Answer
  • Equidade
  • Integralidade
  • Hierarquização
  • Resolubilidade

Question 6

Question
Uma mulher com 31 anos de idade procurou atendimento de urgência relatando um quadro de dor abdominal de início abrupto, difusa, contínua, intensa, com duração de cerca de seis horas, acompanhada de vômitos. Referiu também que tem utilizado diclofenaco de sódio, 50 mg de 8/8 horas, há aproximadamente um mês, para tratamento de lombalgia. Ao exame físico: frequência cardíaca = 120 bpm, pressão arterial = 90 x 60 mmHg, temperatura axilar = 38,2°C. Ao exame do abdome, verifica-se a presença de aumento da tensão da parede abdominal, com dor intensa e difusa à percussão e à palpação superficial, dificultando a palpação profunda. Ruídos hidroaéreos diminuídos. O exame complementar mais indicado para a investigação diagnóstica inicial da paciente é a:
Answer
  • Tomografia computadorizada do abdome
  • Radiografia de tórax e de abdome em ortostase
  • Ultrassonografia abdominal total
  • Endoscopia digestiva alta

Question 7

Question
Um médico encontra-se de plantão no Pronto-Socorro de um hospital terciário, quando é trazido, para sua avaliação, um homem de 27 anos de idade, casado, que sofreu queda de moto há 20 minutos. Foi admitido em franca insuficiência respiratória, apresentando-se, ao exame físico, consciente, lúcido, sudoreico, dispneico 4+/4+, cianose perioral e periférica, pupilas isocóricas, PA = 90 x 50 mmHg, FC = 122 bpm. As vias aéreas se encontravam pérvias, as veias cervicais eram túrgidas e, à ausculta, o médico constatou que o murmúrio vesicular estava abolido à direita, com movimento paradoxal, dor e hipertimpanismo à percussão no mesmo hemitórax. As bulhas cardíacas eram normofonéticas. A conduta mais adequada para esse paciente é:
Answer
  • Drenagem pericárdica por punção
  • Drenagem torácica em selo d'água
  • Drenagem pericárdica por janela pericárdica
  • Drenagem torácica com válvula de Heimlich
  • Toracocentese de alívio

Question 8

Question
Uma paciente de 17 anos de idade, que teve menarca aos 11 anos, vem à Unidade Básica de Saúde (UBS), acompanhada da mãe, referindo amenorréia há 1 ano. A adolescente relata ainda perda de peso de 15 kg no último ano devido a dietas feitas por conta própria, pois deseja ser modelo. Nega comorbidades, uso de medicações e início de atividade sexual. Ao exame, apresenta altura de 1,75 m e peso de 50 kg. Nesse caso, qual o diagnóstico mais provável?
Answer
  • Amenorreia hipotalâmica.
  • Falência ovariana prematura.
  • Amenorreia de causa hipofisária.
  • Síndrome dos ovários policísticos.

Question 9

Question
Uma criança de 3 anos de idade foi atendida em Unidade de Pronto Atendimento com febre de 39°C, irritabilidade, vômitos, sonolência e extremidades frias. Mesmo sem sinais de irritação meníngea ou sepse, existe a suspeita de meningite. Para confirmá-la, o médico realizou punção lombar e solicitou a análise do líquido céfalo-raquidiano (LCR). Que achado do LCR é indicativo de meningite viral?
Answer
  • Aspecto turvo
  • Glicose baixa
  • Proteína alta
  • Número baixo de células

Question 10

Question
Uma paciente de 25 anos de idade, com história obstétrica gesta = 1, para = 0, aborto = 0, com 28 semanas de idade gestacional, foi atendida na Unidade Básica de Saúde (UBS) referindo que há 2 dias está gripada e fez uso de medicação sintomática. Resolveu vir ao posto de saúde porque está tossindo muito. Ao ser realizado o exame físico, constatou-se: temperatura axilar = 38,1ºC, frequência respiratória = 30 irpm, pressão arterial = 80 x 60 mmHg, normohidratada. Qual é a abordagem adequada para o caso?
Answer
  • Encaminhar a paciente para internação hospitalar.
  • Solicitar hemograma completo e radiografia de tórax com urgência.
  • Orientar hidratação, prescrever paracetamol e solicitar retorno se piorar.
  • Solicitar hemograma completo, prescrever vitamina C, dipirona e nebulização.

Question 11

Question
Uma adolescente com idade de 14 anos procura uma Unidade Básica de Saúde (UBS) para a sua primeira consulta ginecológica, pois deseja usar anticoncepcional oral. Ela iniciou atividade sexual há 6 meses e refere menarca aos 11 anos de idade e ciclos regulares. A adolescente nega comorbidades e diz, ainda, que os pais não sabem do início da atividade sexual. Qual a conduta mais adequada frente ao caso relatado acima?
Answer
  • Não prescrever anticoncepcional oral, pois a paciente é menor de idade.
  • Não prescrever anticoncepcional oral, pois a paciente teve menarca há apenas 3 anos.
  • Solicitar que a paciente compareça acompanhada de um responsável à consulta médica.
  • Prescrever anticoncepcional oral, orientar uso de preservativo e garantir a confidencialidade da consulta.
  • Prescrever anticoncepcional oral e solicitar a presença de um responsável pela menor para comunicar o fato.

Question 12

Question
Uma mulher de 60 anos de idade é admitida na Emergência de um Pronto-Socorro de referência com quadro de dor em fossa ilíaca esquerda há trinta horas, associada a febre, três episódios de evacuação diarreica, náuseas e dois episódios de vômitos ocorridos há seis horas. Ao exame físico, foi palpada massa de limites imprecisos em fossa ilíaca esquerda. O diagnóstico sugerido pela tomografia abdominal e pélvica foi diverticulite aguda. Qual a conduta inicial para essa paciente?
Answer
  • Antibióticos endovenosos, suspensão da dieta oral e analgesia com dipirona.
  • Dieta constipante, administração de antieméticos endovenosos e analgesia com morfina.
  • Hidratação endovenosa, analgesia e encaminhamento para cirurgia de urgência.
  • Antibióticos por via oral, dieta rica em fibras e analgesia com morfina.

Question 13

Question
Uma mulher de 50 anos de idade, branca, empregada doméstica, procura atendimento ambulatorial por apresentar artralgias de mãos, punhos, ombros e tornozelos há cerca de 4 meses. O quadro articular é aditivo, mesmo em uso de diclofenaco de sódio (150 mg/dia). Ela se queixa de limitação do movimento por dor no período da manhã, com duração de aproximadamente 1 hora. Ao exame encontra-se em bom estado geral, afebril, com sinais de artrite nas articulações interfalangeanas proximais e metacarpofalangeanas de 2° e 3° dedos das mãos, mas sem desvios. Ao exame da pele, observam-se “nódulos” subcutâneos nas superfícies extensoras e regiões periarticulares. Considerando o quadro descrito, quais são, respectivamente, o diagnóstico e o medicamento a ser indicado nesse momento?
Answer
  • Osteoartrite; azatioprina 1 mg/kg/dia.
  • Artrite psoriásica; sulfasalazina 2 mg/dia.
  • Síndrome de Reiter; prednisona 1 mg/kg/dia.
  • Artrite reumatoide; metrotexate 7,5 mg/semana.

Question 14

Question
Um paciente de 15 anos de idade procura a Unidade Básica de Saúde devido ao aparecimento de tumoração no antebraço esquerdo há 3 dias. Ao exame físico: bom estado geral e sinais vitais normais. Apresenta nódulo com 3 cm de diâmetro, hiperemiado e doloroso à palpação, localizado sob a pele, levemente elevado, com consistência endurecida e sem ponto de flutuação. Além de orientar a paciente sobre o diagnóstico e cuidados de higiene, a conduta é:
Answer
  • Realizar a drenagem imediata.
  • Prescrever antibiótico e realizar a drenagem.
  • Compressa com água morna e prescrever antibiótico.
  • Compressa com água morna e aguardar drenagem espontânea.

Question 15

Question
Uma parturiente de 34 anos de idade, grande multípara (VI Gesta), apresentou diabetes gestacional e está com gestação de 39 semanas. Deu entrada na Maternidade em trabalho de parto, com feto único, vivo e em apresentação cefálica. Evoluiu para parto vaginal e, após duas horas de período expulsivo, pariu concepto do sexo masculino com 4,100 kg, apgar 8/9. Logo após a dequitação da placenta, o sangramento uterino se acentuou. Exame obstétrico: útero de consistência amolecida, palpável acima da cicatriz umbilical; ausência de restos placentários; ausência de lacerações do canal de parto. A paciente evoluiu rapidamente com hipotensão, taquicardia e alteração da consciência. Essa situação poderia ter sido evitada se:
Answer
  • a paciente tivesse sido submetida a um parto cesárea.
  • houvesse a prescrição de ocitocina via intravenosa no parto.
  • fosse aplicada metilergonovina intramuscular antes da dequitação.
  • tivesse sido transfundida com concentrado de hemácias antes do parto.

Question 16

Question
Um paciente de 27 anos de idade procura a Unidade Básica de Saúde preocupada com um abaulamento em região inguinal à direita que surgiu há dois meses. Nega outras queixas. No exame clínico, IMC = 20 Kg/m2 (VR = 18 - 25 kg/m2) e não há sinais flogísticos locais; a massa de cerca de 5 cm é facilmente redutível. Ao exame clínico não apresentou dor ou qualquer outro achado. Qual das condutas a seguir é a mais indicada nessa situação?
Answer
  • Orientar sobre os riscos de encarceramento, obstrução e estrangulamento, e encaminhar para agendamento de cirurgia.
  • Orientar sobre o tratamento conservador e sugerir medidas paliativas considerando o risco de recidiva pós-cirúrgica.
  • Encaminhar ao serviço de urgência para correção cirúrgica devido ao risco de estrangulamento e isquemia intestinal.
  • Tranquilizar o paciente, orientar a evitar esforços físicos, tais como carregar peso e ensinar a reduzir manualmente a hérnia.

Question 17

Question
Um homem de 25 anos de idade comparece à Unidade Básica de Saúde queixando-se de feridas na genitália, que apareceram há sete dias, três semanas após uma relação sexual desprotegida. Ao exame apresenta lesão na glande, com 0,6 mm de diâmetro, e na bolsa escrotal, com 0,4 mm de diâmetro; ambas com bordas e bases endurecidas, fundo liso e brilhante, com pouca secreção serosa e pouco dolorosas. Observam-se adenomegalias inguinais bilaterais móveis, indolores e não supurativas. O paciente refere ser portador do vírus HIV, diagnosticado há 1 ano. Foi realizado teste rápido para sífilis, com resultado positivo. Considerando o exposto, que procedimentos o médico assistente deveria adotar, respectivamente, para o exame do líquor e para tratamento do paciente?
Answer
  • VDRL; se negativo, iniciar penicilina cristalina por 7 dias.
  • VDRL; se positivo, iniciar penicilina cristalina por 14 dias.
  • FTA-abs; se positivo, fazer penicilina benzatina em dose única.
  • Teste rápido para sífilis; se positivo, fazer penicilina benzatina em dose única.

Question 18

Question
Lactente masculino de três meses de idade é trazido pela mãe ao ambulatório de Pediatria. A mãe refere que há um mês a criança iniciou com coriza mucossanguinolenta e irritabilidade com choro fácil. Ao nascimento: peso = 2,2 Kg; perímetro cefálico = 35 cm; comprimento = 48 cm. Ao exame físico verifica-se dor à mobilização de braço esquerdo com choro intenso, coriza mucossanguinolenta bilateral e erosões em lábio superior; palidez cutâneo-mucosa ++/4+; fígado a 3,5 cm do rebordo costal direito e 3,5 cm do apêndice xifoide; baço a 4 cm do rebordo costal esquerdo. Considerando a principal hipótese diagnóstica, quais são, respectivamente, o exame a ser solicitado e o resultado mais provável?
Answer
  • Tomografia computadorizada do crânio; velamento dos seios da face.
  • Tomografia computadorizada de crânio; calcificações cranianas corticais.
  • Radiograma de crânio; microcefalia e suturas cranianas parcialmente soldadas.
  • Radiograma de ossos longos; lesões osteolíticas em epífise e espessamento periosteal.

Question 19

Question
Uma adolescente com 15 anos de idade, com menarca aos 12 anos, procura atendimento na Unidade Básica de Saúde porque deseja usar anticoncepcional combinado oral (ACO). Iniciou atividade sexual há seis meses e teme uma gravidez indesejada. Está menstruada no dia da consulta. Nega comorbidades ou uso de medicações. Qual a conduta correta para a paciente?
Answer
  • Orientar uso de camisinha apenas.
  • Prescrever ACO e orientar uso de condom.
  • Não prescrever ACO, pois a paciente é menor de idade.
  • Orientar que a paciente venha à consulta acompanhada da mãe.

Question 20

Question
Uma mulher com 47 anos de idade procura atendimento em Posto de Saúde com queixa de astenia. Foram solicitados exames de sangue que revelaram aumento (2,5 vezes o valor normal) nos níveis séricos de aspartato amino transferase (AST) e alanino amino transferase (ALT). A investigação inicial mostrou que a paciente encontra-se monoinfectada pelo vírus da hepatite C (VHC), sendo, portanto, encaminhada ao hepatologista, que solicitou novos exames complementares, cujos resultados foram: RNA-VHC = 381.420 UI/mL, genótipo viral 1b e ultrassonografia abdominal com moderada alteração da ecogenicidade do parênquima hepático. Apresenta ainda escore de Child-Pugh igual a 4. A biópsia hepática realizada revelou fibrose discreta (F1 da classificação histológica Metavir). Com base no quadro apresentado, que fator está associado com uma pior resposta ao tratamento antiviral?
Answer
  • Carga viral.
  • Genótipo viral.
  • Escore de Child-Pugh.
  • Grau de fibrose hepática.

Question 21

Question
Uma paciente com 32 anos de idade comparece à consulta na Unidade Básica de Saúde com queixa de secreção de odor fétido e aspecto purulento em região perianal. Relata que, há cerca de 20 dias, apresentou quadro de dor intensa na mesma região por cerca de cinco dias, com melhora imediata após a saída de pus em grande quantidade. Refere ter realizado tratamento para fissura anal há cerca de dois anos. Ao exame proctológico, apresentava orifício posterior a cerca de 1 cm da borda anal, com saída de secreção à expressão, palpação retal sem alterações, anuscopia sem alterações. Qual o diagnóstico e conduta corretos?
Answer
  • A Fissura anal; iniciar tratamento clínico com agentes formadores de bolo fecal e nitratos tópicos.
  • Fístula anorretal; orientar quanto à higiene e sintomatologia e referenciar ao coloproctologista.
  • Fissura anal; iniciar tratamento clínico com analgésicos e referenciar ao coloproctologista.
  • Fístula anorretal; referenciar ao Pronto-Socorro com indicação de cirurgia de urgência.

Question 22

Question
No Brasil, de acordo com a Política Nacional de Atenção Básica, compete especificamente ao médico:
Answer
  • realizar atividades programadas e de atenção à demanda espontânea.
  • acompanhar, por meio de visitas domiciliares, todas as famílias que procuram a Unidade Básica de Saúde.
  • planejar, gerenciar e avaliar as atividades desenvolvidas pelo Agente Comunitário de Saúde.
  • cadastrar todas as pessoas de sua área no território e manter os cadastros atualizados.

Question 23

Question
Um paciente com 56 anos de idade vem para consulta na Unidade de Pronto Atendimento com queixa de dor abdominal em andar inferior do abdome há cerca de seis dias. Relata hiporexia e febre baixa há três dias. Nega diarreia e vômitos. Refere constipação intestinal que se acentuou nos últimos meses; nega hematoquesia. Ao exame físico do abdome apresenta ruídos hidroaéreos normais, abdome globoso, normotenso, doloroso à palpação superficial e profunda em fossa ilíaca esquerda, onde evidencia-se massa palpável. Não há visceromegalias ou hérnia inguinal. Qual o diagnóstico e conduta corretos?
Answer
  • Diverticulite aguda; antibioticoterapia.
  • Diverticulite aguda; videolaparoscopia.
  • Câncer de cólon; rádio e quimioterapia.
  • Câncer de cólon; laparotomia exploradora.

Question 24

Question
Um adolescente com 12 anos de idade é trazido à consulta na Unidade Básica de Saúde com relato de febre, variando entre 38,8 °C e 39 °C, há dois dias, acompanhada de dor de garganta, manchas vermelhas pelo corpo e desânimo. Na anamnese refere também náuseas e dor abdominal. Ao exame o paciente apresenta queda do estado geral, exantema máculo-papular não pruriginoso em membros, tronco e região glútea. As amígdalas mostram-se muito hipertrofiadas, com presença de exsudato; presença de linfoadenopatia submandibular, cervical anterior e epitroclear. Aparelho respiratório e cardiovascular sem alterações. Abdome difusamente doloroso, com fígado palpável a 2 cm do rebordo costal direito e baço a 3 cm do rebordo costal esquerdo. O hemograma apresenta leucocitose de 14.000 células/mm³ com 20% de linfócitos atípicos, sem outras alterações importantes, e o teste rápido para pesquisa do antígeno estreptocócico do grupo A é negativo. Diante do quadro clínico e laboratorial do paciente, qual o diagnóstico e conduta?
Answer
  • Amigdalite estreptocócica; prescrever penicilina ou derivados por dez dias e reavaliar o paciente.
  • Escarlatina; prescrever antimicrobiano e analgésico, orientando que o paciente evite esforços físicos.
  • Infecção pelo vírus da rubéola; prescrever anti-histamínico, analgésico e afastar o paciente de gestantes.
  • Mononucleose infecciosa; prescrever analgésico e antitérmico, não sendo necessário o uso de antimicrobianos.

Question 25

Question
Um paciente com 75 anos de idade, casado, com história de acidente vascular cerebral recente, é avaliado pela Equipe de Saúde da Família (ESF). O paciente apresenta grande incapacidade física (acamado, recebendo alimentação através de sonda nasoentérica), tem relativa preservação cognitiva e necessita de diversos cuidados contínuos, tais como: uso de várias medicações, desobstrução da sonda, manutenção de hidratação adequada, movimentação no leito, cuidado com escaras e orientação aos cuidadores. O planejamento do cuidado à saúde deste idoso deve ser baseado em:
Answer
  • visitas domiciliares diárias da equipe para oferecer integralmente os cuidados, considerando o grande estresse a que são submetidos os cuidadores.
  • preparação da família para encaminhar o idoso para uma instituição de longa permanência, considerando a necessidade de cuidados intensivos.
  • decisões compartilhadas entre a ESF, os familiares e o idoso sobre as suas necessidades, considerando a atuação integrada de todos.
  • restrição de cuidados médicos e de procedimentos de média e alta complexidade, como recomendam os princípios da referência e contrarreferência.

Question 26

Question
Uma mulher com 32 anos de idade, solteira, sem vida sexual ativa, refere ter sido vítima de violência sexual. Por ocasião do estupro, a paciente não contou nada a ninguém e, posteriormente, descobriu que estava grávida. No momento atual, a gestante manifesta para o seu médico o desejo de interromper a gravidez. O profissional médico recusa-se a fazer o aborto nessas condições e argumenta que há necessidade da verificação da denúncia de estupro pelo médico do Instituto Médico Legal (IML). O médico aciona o Serviço Social da instituição e a polícia local, para que a gestante possa lavrar o Boletim de Ocorrência do estupro, esclarecendo que esse documento servirá como consentimento para o procedimento. Nessa situação, a conduta médica foi:
Answer
  • adequada, pois para a prática do abortamento legal há necessidade de decisão judicial afirmando o estupro.
  • inadequada, pois o laudo do IML não é exigido legalmente para realização do abortamento em casos de estupro.
  • adequada, pois a vítima de um crime contra a dignidade sexual deve imediatamente comunicar a ocorrência à polícia para início de ação penal pública incondicionada.
  • inadequada, pois o consentimento da mulher é feito por documento próprio, devendo ser assinado pela vítima que deseja o abortamento e por um familiar.

Question 27

Question
Um paciente com 18 anos de idade deu entrada no Pronto-Socorro com quadro de dor escrotal aguda, iniciada há quatro horas, de início súbito, não havendo história de trauma local. Ao exame físico específico, apresentava edema escrotal, associado a hiperemia e dor à palpação do testículo direito. A dor não foi aliviada com a elevação do testículo. O reflexo cremastérico estava ausente. Assinale a alternativa que apresenta o diagnóstico e a conduta corretos.
Answer
  • Torção de cordão espermático; cintilografia escrotal com tecnécio.
  • Torção de cordão espermático; ultrassonografia com doppler.
  • Orquiepididimite; sumário de urina com sedimentoscopia.
  • Orquiepididimite; pesquisa de Clamídia na urina.

Question 28

Question
Uma mulher de 75 anos de idade procurou atendimento em uma Unidade Básica de Saúde por apresentar, há três dias, quadro de febre baixa, tosse com escarro purulento e leve dispneia. Fumante há cerca de 35 anos (cerca de 25 cigarros/dia), possui diagnóstico prévio de Doença Pulmonar Obstrutiva Crônica. Há 10 dias, aproximadamente, iniciou quadro com coriza diária, tosse seca e mialgia. Ao exame físico, observa-se: mucosas descoradas (++/4+), paciente hidratada, pressão arterial = 120 x 70 mmHg, frequência cardíaca = 120 bpm, frequência respiratória = 32 irpm, temperatura axilar = 38ºC. A ausculta pulmonar permitiu constatar frêmito tóraco-vocal aumentado e estertores crepitantes no terço inferior do hemitórax esquerdo. A radiografia de tórax evidenciou condensação em lobo inferior esquerdo, sem derrame pleural. Considerando o quadro apresentado, quais são, respectivamente, o principal agente infeccioso no quadro clínico descrito e a conduta apropriada a ser tomada nesse momento para a paciente?
Answer
  • Streptococcus pneumoniae; encaminhamento para internação hospitalar e início de antibioticoterapia venosa.
  • Staphylococcus aureus; prescrição de antibioticoterapia empírica e acompanhamento ambulatorial.
  • Moraxella catarrhalis; encaminhamento à emergência para macronebulização com O2 e tratamento ambulatorial.
  • Pneumocystis jirovecii; encaminhamento para internação hospitalar e realização de hemoculturas antes do início da antibioticoterapia.

Question 29

Question
Uma primigesta com 38 semanas de gestação é admitida na Maternidade em trabalho de parto. O exame obstétrico inicial revela feto em situação longitudinal, apresentação cefálica, frequência cardíaca fetal = 140 bpm sem desacelerações; dinâmica uterina com 2 contrações moderadas em 10 minutos; colo uterino dilatado 4 cm e apagado 40%; pelvimetria interna clínica com conjugata diagonalis de 11 cm, medida do diâmetro bituberoso de 11 cm, espinhas isquiáticas não salientes. A amniorrexe foi espontânea aos 6 cm de dilatação. O padrão de contração uterina manteve-se com 4 contrações em 10 minutos e a paciente recebeu analgesia peridural. Após 12 horas de evolução do trabalho de parto, o exame obstétrico revelou: colo uterino com 10 cm de dilatação, feto com polo cefálico no plano –1 de De Lee e presença de bossa serossanguínea. Qual é a conduta obstétrica indicada nesse caso?
Answer
  • Iniciar ocitocina por via endovenosa.
  • Indicar resolução do parto por cesárea.
  • Aguardar evolução espontânea do período expulsivo.
  • Abreviar o período expulsivo com fórceps ou vácuoextrator.

Question 30

Question
A equipe de gestão de uma Secretaria Municipal de Saúde, ao implantar uma Unidade de Saúde da Família (USF) em uma área de vulnerabilidade social, reuniu-se para organizar sua agenda de modo a cumprir a Política Nacional de Atenção Básica (PNAB). Considerando os aspectos organizativos e de gestão dessa política, são responsabilidades do trabalho dessa equipe:
Answer
  • garantir que o horário diário de funcionamento das Unidades de Saúde da Família tenha o mesmo padrão em todos os territórios.
  • dialogar com a comunidade acerca das características e organização do serviço, de modo a estabelecer sua efetiva implantação.
  • garantir atendimento e cadastramento a todos os indivíduos que procuram a USF, independentemente do seu local de moradia.
  • oferecer serviços com densidade tecnológica variada e de baixa complexidade, capazes de captar usuários mais resistentes e garantir resolutividade.

Question 31

Question
Uma paciente de 41 anos de idade, com queixa de dor epigástrica em queimação de longa data relacionada à ingesta de alimentos condimentados, retorna em consulta ambulatorial tendo como resultado de endoscopia digestiva alta o diagnóstico de úlcera duodenal e pesquisa de H.pylori positivo. Relatava uso esporádico de antiácidos, mas com pouca melhora da dor. Nega uso de anti-inflamatórios não esteroidais (AINES). Qual a associação de medicamentos com melhor nível de evidência científica para o tratamento desse caso?
Answer
  • Agente antissecretor, omeprazol e claritromicina.
  • Inibidor da bomba de prótons, eritromicina e amoxicilina.
  • Inibidor da bomba de prótons, amoxicilina e claritromicina.
  • Antagonistas do receptor H2 de histamina, claritromicina e amoxicilina.

Question 32

Question
Uma primigesta, com 36 semanas de gestação, procura a Maternidade queixando-se de dores em baixo ventre. Ao exame: bom estado geral, afebril, altura uterina de 33 cm, dinâmica uterina presente (três a quatro contrações a cada 10 minutos, moderadas), batimentos cardiofetais presentes. Ao toque vaginal: colo fino, dilatado para 4 cm, bolsa íntegra, apresentação cefálica. A cardiotocografia de entrada é mostrada na figura abaixo. Assinale a alternativa que apresenta a interpretação da cardiotocografia e a conduta indicada.
Answer
  • Padrão normal; inibição do trabalho de parto pré-termo.
  • Padrão patológico; antibioticoterapia profilática e resolução da gestação por cesárea.
  • Padrão não tranquilizador; inibição do trabalho de parto pré-termo e profilaxia para estreptococo B.
  • Padrão suspeito; assistência ao trabalho de parto com monitorização contínua da frequência cardíaca fetal.

Question 33

Question
Puérpera, no quinto dia após parto normal, retorna à Unidade Básica de Saúde para reavaliação. Na consulta, paciente e recém-nascido apresentam-se em bom estado geral. No exame físico materno, mamas ingurgitadas, dolorosas à palpação, edemaciadas, com saída de leite à expressão. No decorrer da consulta, a paciente queixa-se de que o bebê "chora muito" e acredita que seu leite é "fraco" para ele. A puérpera demonstra preocupação e dúvidas sobre os benefícios da amamentação. A conduta nessa situação deve ser:
Answer
  • substituir o leite materno pelo leite artificial, para satisfação do bebê e melhora da ansiedade materna.
  • encorajar a amamentação e orientar a expressão manual do leite, para evitar o ingurgitamento.
  • suspender a amamentação pelo quadro clínico de mastite e prescrever antibióticos via oral.
  • alternar o leite artificial com o leite materno, para a complementação nutricional do bebê.

Question 34

Question
Um recém-nascido com três semanas de vida é levado à Unidade Básica de Saúde, pois a mãe observou ferida no local da aplicação da BCG. Ao exame físico observa-se lesão pustulocrostosa no braço direito e presença de gânglio satélite em axila direita, não supurado, medindo 1 cm de diâmetro. Considerando o diagnóstico, a conduta adequada a ser tomada para esse recém-nascido é:
Answer
  • iniciar isoniazida por via oral.
  • manter conduta expectante.
  • solicitar teste tuberculínico.
  • realizar punção do gânglio.

Question 35

Question
Um paciente com 35 anos de idade, controlador de voo, retorna à consulta na Unidade Básica de Saúde apresentando resultados negativos de exame protoparasitológico de fezes e de teste de tolerância à lactose. Relata que desde a adolescência tem episódios de evacuações explosivas com fezes amolecidas. Atualmente, queixa-se de alteração de hábito intestinal há seis meses, quando passou a apresentar desconforto abdominal em andar inferior do abdome, que dura em média dois a três dias por semana, alternando quadros de obstipação com diarreia e urgência fecal, com a presença de muco de cor clara, quase transparente. O quadro de desconforto abdominal piora em situação de estresse e melhora quando evacua ou elimina flatos. Em relação ao quadro clínico apresentado, qual das alternativas abaixo representa critério para o diagnóstico?
Answer
  • Melhora do desconforto abdominal após evacuação.
  • Sensação recorrente de empachamento.
  • Urgência fecal com muco e sangue.
  • Presença de muco nas fezes.

Question 36

Question
Uma criança com seis anos de idade, natural e procedente da região Norte do Brasil, é internada em hospital com história de febre há seis meses, de caráter intermitente. Não apresenta diarreia. Perda de 3 Kg de peso desde o início do quadro. Ao exame físico apresenta-se eupneica, hidratada; murmúrio vesicular presente bilateralmente, com sibilos esparsos; bulhas cardíacas rítmicas e normofonéticas; fígado a 4 cm do rebordo costal direito e a 4 cm do apêndice xifoide; baço a 3 cm do rebordo costal esquerdo; sem edemas. Exames laboratoriais: hemoglobina = 10 g/dL (Valor de referência: 11,5 - 13,5 g/dL); hematócrito = 36% (Valor de referência: 34% - 40%); leucócitos = 15.000/mm3 (Valor de referência: 5.500 - 14.500/mm3); neutrófilos = 38%, eosinófilos = 42%, monócitos = 1%, linfócitos = 19%, plaquetas = 160.000/mm3 (Valor de referência: 150.000 - 350.000/mm3); proteínas totais = 6,2 g/dL (Valor de referência: 6,0 - 8g/dL), albumina = 2,5 g/dL (Valor de referência: 2,9 - 4,7 g/dL), globulina = 3,7 g/dL (Valor de referência: 1,4 - 3,2 g/dL). A hipótese diagnóstica e a investigação complementar necessária para confirmação diagnóstica são:
Answer
  • febre tifoide; solicitar Reação de Widal.
  • leishmaniose visceral; solicitar mielograma.
  • toxocaríase; solicitar IgE sérica e sorologia específica.
  • esquistossomose mansônica; solicitar parasitológico de fezes.

Question 37

Question
Uma mulher, com 25 anos de idade e seis semanas de atraso menstrual, compareceu ao Pronto Atendimento com queixa de dor em abdome inferior há quatro horas. A dor se irradia para o ombro esquerdo, acompanhada de sangramento vaginal de leve intensidade, há dois dias. A paciente fez teste de gravidez em urina, que revelou resultado positivo. Ao exame físico apresentou estado geral regular, mucosas hipocoradas ++/4+, pulso = 110 bpm, pressão arterial = 80 x 60 mmHg, abdome distendido e doloroso. O exame especular revelou sangramento em pequena quantidade pelo colo uterino. Ao toque vaginal apresentou útero aumentado em duas vezes o seu volume, globoso, com amolecimento do colo uterino, fundo de saco doloroso e abaulado. A conduta indicada é:
Answer
  • realizar punção e aspiração de fundo de saco para excluir diagnóstico de cisto ovariano roto.
  • solicitar beta-hCG sérico para avaliar possibilidade de tratamento clínico com metotrexato.
  • encaminhar para tratamento cirúrgico imediato por laparoscopia.
  • encaminhar para tratamento cirúrgico imediato por laparotomia.

Question 38

Question
Uma paciente com 23 anos de idade, branca, solteira, procura Unidade Básica de Saúde com queixas de disúria, urgência urinária e aumento da frequência das micções, há dois dias. Nega febre e corrimento vaginal. Informa que teve outros três episódios semelhantes, nos últimos seis meses, com regressão dos sintomas, após tratamento com antimicrobianos. Ao exame físico não apresenta nenhuma alteração relevante. Com vistas à prevenção de futuros episódios, assinale a alternativa que apresenta corretamente o procedimento associado ao surgimento dos sintomas e o tratamento indicado.
Answer
  • Uso de camisinha; aplicação de nistatina local.
  • Utilização de tampão vaginal; cefalexina por via endovenosa.
  • Uso de anovulatórios orais; penicilina benzatínica por via intramuscular.
  • Prática de relação sexual vaginal; trimetroprim com sulfametoxazol por via oral.

Question 39

Question
Mulher com 22 anos de idade vem à consulta ambulatorial com diarreia há seis meses. Apresenta cerca de seis evacuações ao dia, com fezes pastosas volumosas, de odor fétido, amareladas e espumosas, sem muco ou sangue. Nega tenesmo ou febre. Piora com a ingestão de leite. Tem cólicas eventuais e distensão abdominal gasosa. Teve perda ponderal de 5 kg desde o início do quadro. É solteira, sem atividade sexual. Nega uso de drogas ou álcool. Nega cirurgias prévias. Ao exame físico apresenta-se com índice de massa corpórea de 22 kg/m2. Mucosas hipocrômicas. Evidente perda de massa muscular. Abdome discretamente distendido por gases, sem ascite, visceromegalias ou tumorações. Presença de lesões de pele, de aspecto herpetiforme, em tronco. No relatório, para justificar o encaminhamento da paciente para o especialista, deverá ser especificada a necessidade de que a paciente seja submetida a:
Answer
  • tomografia computadorizada de abdome total.
  • retossigmoidoscopia com biópsia de mucosa retal.
  • colonoscopia com biópsia de mucosa de sigmóide.
  • endoscopia digestiva alta com biópsia de duodeno.

Question 40

Question
Uma mulher de 23 anos de idade foi admitida na Emergência em trabalho de parto, com ruptura de bolsa uterina. Ela estava na 40ª semana de gestação e com pressão arterial de 170 x 100 mmHg. Duas horas após o parto, apresentou crise convulsiva, sendo controlada com medicação. Uma hora depois, apresentou nova crise convulsiva, que evoluiu para coma, seguido de parada cardíaca irreversível e óbito. A figura a seguir apresenta o formulário relativo ao atestado de óbito. Como se deve preencher adequadamente o atestado de óbito?
Answer
  • Parte I: a - coma; b - crise convulsiva; c - crise hipertensiva. Parte II: (sem preenchimento).
  • Parte I: a - parada cardíaca; b - coma; c - edema cerebral; d - crise convulsiva. Parte II: eclâmpsia.
  • Parte I: a - parada cardíaca; b - coma; c - crise convulsiva; d - crise hipertensiva. Parte II: hipertensão.
  • Parte I: a - coma; b - edema cerebral; c - crise convulsiva; d - eclâmpsia no puerpério. Parte II: gestação de 40 semanas.

Question 41

Question
Mulher com 41 anos de idade procurou a Unidade de Pronto Atendimento com relato de dor anal há três dias e, há cerca de seis horas, notou sangramento anal vermelho vivo entremeado com coágulos. Nega alteração de hábito intestinal e história familiar de neoplasia colorretal. Ao exame observa-se uma nodulação perianal com cerca de 1 cm de diâmetro, arroxeada e com laceração central por onde se extrui um coágulo sanguíneo. O toque retal foi muito doloroso e não evidenciou tumores ou presença de sangue nas fezes. Com base nessas informações, a conduta correta é:
Answer
  • fazer a esclerose do vaso sangrante.
  • encaminhar para cirurgia de urgência.
  • realizar a trombectomia no momento do exame.
  • fazer ligadura elástica para hemostasia do vaso sangrante.
  • prescrever anti-inflamatório não esteroidal e observar o sangramento.

Question 42

Question
Lactente com um ano de idade passou a frequentar creche há dois meses e, nesse período, já apresentou dois episódios de infecção de vias aéreas superiores (IVAS). Há três dias passou a apresentar quadro de febre, coriza hialina e tosse, inicialmente seca, que evoluiu para tosse produtiva. Há 24h foi levado pela mãe ao Pronto Atendimento e foi medicado com paracetamol e solução fisiológica nasal. Como não houve melhora do quadro, a mãe retornou ao Pronto Atendimento para nova consulta. Ao exame físico, a criança encontra-se afebril, gemente, FR = 50 irpm, ausculta pulmonar com roncos difusos e tiragem subcostal. À otoscopia observa-se hiperemia de membrana timpânica bilateral e oroscopia com leve hiperemia de pilares amigdalianos. Com base no quadro clínico e exame físico, o diagnóstico e a conduta imediata são, respectivamente:
Answer
  • bronquiolite; indicar oxigenoterapia.
  • pneumonia; encaminhar para internação.
  • amigdalite viral; prescrever sintomáticos.
  • otite média aguda; prescrever antibiótico.

Question 43

Question
Mulher com 28 anos de idade foi internada por apresentar quadro de confusão mental progressiva e rebaixamento do nível de consciência. Os familiares informam que ela apresenta perda progressiva de peso (de aproximadamente 10 kg), além de episódios febris (até 38,5 ºC) nos últimos três meses. Negam a ocorrência de tosse ou diarreia; relatam o uso de drogas endovenosas há pelo menos cinco anos, além do consumo excessivo de álcool e cigarros. Há uma semana iniciou quadro de confusão mental e há dois dias evolui com rebaixamento do nível de consciência, apresentando-se torporosa no momento da internação. Foi iniciada, empiricamente, ceftriaxona. Os exames iniciais demonstraram leucócitos = 3.600/mm3, com 70% de neutrófilos, 20% de linfócitos e 10% de eosinófilos; anemia hipocrômica, microcítica, com anisocitose; plaquetas normais; VHS = 102 mm na primeira hora; ureia, creatinina, TGO/AST, TGP/ALT e eletrólitos normais; a tomografia computadorizada de crânio foi normal. Após a realização dos exames e 48h de antibioticoterapia, a paciente apresentava-se sem melhora do quadro clínico. Foi então realizada uma punção lombar diagnóstica evidenciando: 220 leucócitos/mm3, com 70% de linfócitos, níveis elevados de proteína e baixos níveis de glicose. O diagnóstico da paciente é:
Answer
  • meningite viral.
  • encefalite viral.
  • meningite tuberculosa.
  • meningite estafilocócica.

Question 44

Question
Mulher com 19 anos de idade, primigesta, com gestação de 22 semanas, procura serviço de Pronto Atendimento obstétrico por apresentar lesões ulceradas, rasas e dolorosas em vulva, iniciadas há um dia, acompanhada de febre não aferida e mal-estar geral. Relata que o quadro se iniciou há três dias, precedido por sensação de queimação no local. Nega qualquer lesão semelhante anterior. Não se observam alterações em gânglios inguinais. A hipótese diagnóstica correta para a paciente são:
Answer
  • cancro mole;
  • herpes genital;
  • donovanose;
  • sífilis primária;
  • condiloma plano;

Question 45

Question
Mulher com 72 anos de idade vem fazendo tratamento e acompanhamento por anemia ferropriva no Posto de Saúde há cerca de um ano e meio. Relata que, nos últimos quatro meses, perdeu 5 kg, está se sentindo mais fraca e apresentou vários episódios de diarreia, que cessaram espontaneamente, seguidos de vários dias sem evacuar, quadro que vem se alternando desde então. O diagnóstico mais provável e a investigação adequada são, respectivamente:
Answer
  • câncer de cólon; colonoscopia.
  • colite ulcerativa; colonoscopia.
  • câncer de reto; retossigmoidoscopia.
  • diverticulose colônica; enema opaco.

Question 46

Question
Uma mulher de 27 anos de idade apresenta ciclos menstruais irregulares, variando entre 15 e 60 dias, com duração do sangramento variável de 2 a 10 dias. Relata que já sofreu dois abortamentos espontâneos sucessivos antes de 12 semanas de gestação, sendo o último há um ano. Refere, também, ganho de peso progressivo desde que se casou. Ao exame físico, constatou-se IMC = 32,1 kg/m² e presença de galactorreia à expressão mamária. Para elucidação diagnóstica, que exame complementar deveria ser solicitado?
Answer
  • Dosagem de FSH e LH.
  • Dosagem de TSH e prolactina.
  • Dosagem de estradiol e progesterona.
  • Dosagem de androstenediona e testosterona livre.

Question 47

Question
Um adolescente, com 15 anos de idade, procurou a Unidade de Pronto Atendimento relatando febre e dores que começaram nos joelhos, mas já atingem os tornozelos. Apresentou quadro de amigdalite purulenta há três semanas. Ele relatou, também, que teve diagnóstico de febre reumática há três anos, mas não está usando a penicilina benzatina prescrita. Ao exame físico: febril (T = 38,7 ºC); ausculta cardíaca: taquicardia persistente e sopro de regurgitação mitral intenso, associado a sopro aórtico diastólico. O ECG mostrou extrassístoles, alterações de ST-T, baixa voltagem e prolongamento dos intervalos PR e QTc. Considerando os Critérios de Jones modificados e o quadro descrito, o paciente:
Answer
  • não preenche os critérios de Jones pela ausência de eritema marginado e de nódulos subcutâneos.
  • não apresenta diagnóstico de febre reumática, pois não está presente a Coreia de Sydenham, que é um critério maior.
  • apresenta novo episódio de febre reumática, pois estão presentes os seguintes critérios maiores: artralgia, febre e intervalo PR prolongado no ECG.
  • apresenta recorrência de febre reumática, com doença cardíaca reumática estabelecida e mais dois critérios menores, além da evidência de infecção estreptocócica anterior.

Question 48

Question
Um lactente com nove meses de idade vem à consulta na Unidade Básica de Saúde (UBS) com febre há seis dias, acompanhada de tosse, secreção seromucosa nasal, hiperemia e secreção conjuntival intensa. Procurou a UBS no início dos sintomas, sendo diagnosticado um quadro gripal. A mãe retorna para reavaliação, pois a febre não cessou e os sintomas pioraram com o surgimento de manchas avermelhadas no rosto, que progrediram para o tronco há um dia. Ao exame físico: bom estado geral, ativo, afebril, frequência cardíaca = 120 bpm, frequência respiratória = 40 irpm, auscultas pulmonar e cardíaca sem alterações. Boa perfusão periférica. Otoscopia normal. Oroscopia com mucosa hiperemiada e pequenas manchas brancas com halo eritematoso próximo aos pré-molares. Pele: exantema maculopapular em tronco e face. O diagnóstico desse lactente é:
Answer
  • rubéola.
  • sarampo.
  • exantema súbito.
  • eritema infeccioso.

Question 49

Question
Uma paciente com 19 anos de idade, primípara, na 24a semana de gestação, vem à consulta pré-natal com queixa de dispneia progressiva há duas semanas, inicialmente aos grandes esforços e, atualmente, aos médios esforços. Ao exame físico, apresenta altura uterina compatível com a idade gestacional, edema de membros inferiores ++/4+, estertores crepitantes em bases pulmonares. Frequência respiratória = 24 irpm, frequência cardíaca = 106 bpm, ausculta com ritmo cardíaco regular e sopro diastólico (++/4) mais audível no ápice, acompanhado de hiperfonese de B1. Assinale a alternativa que apresenta corretamente a hipótese diagnóstica e a etiologia.
Answer
  • Estenose mitral, provavelmente de origem reumática.
  • Insuficiência mitral, provavelmente de origem reumática.
  • Prolapso da válvula mitral, como parte de síndrome de Marfan.
  • Sopro funcional, como parte do estado hipercinético da gravidez.

Question 50

Question
Um lactente com quatro meses de idade nasceu a termo com peso de 3 Kg. Desde o nascimento, faz uso de leite materno complementado com fórmula láctea. Atualmente pesa 5,5 kg. Há um mês iniciou quadro de diarreia, com seis evacuações ao dia e raios de sangue e fezes não explosivas. No exame físico foi observado que a criança estava em bom estado geral, bem nutrida, hidratada e que não havia hiperemia perianal. Nesse caso, a conduta indicada é:
Answer
  • suspender a fórmula láctea e oferecer aleitamento materno exclusivamente.
  • manter o aleitamento materno e substituir a fórmula láctea por hidrolisado proteico.
  • manter o aleitamento materno complementado com fórmula láctea e associar um probiótico.
  • suspender o aleitamento materno e a fórmula láctea, substituindo-os por fórmula à base de soja.

Question 51

Question
Uma senhora com 47 anos de idade é atendida na Unidade Básica de Saúde com queixa de “caroço” no pescoço há quatro meses. À palpação da região cervical, o médico encontrou um nódulo de mais ou menos 4 cm, de consistência endurecida e aderido aos planos profundos. Foi solicitada ultrassonografia cervical, que evidenciou nódulo tireoidiano de 4,3 cm, com hipoecogenicidade, microcalcificações, ausência de halo periférico, bordas irregulares e fluxo intranodular. As dosagens séricas de T3, T4 e TSH foram normais. A principal hipótese diagnóstica e a investigação inicial são:
Answer
  • bócio nodular tóxico; cintilografia tireoidiana.
  • cisto do conduto tireoglosso; biópsia excisional.
  • tireoidite de Hashimoto; dosagem de anticorpos antitireoidianos.
  • carcinoma de tireoide; biópsia por agulha fina guiada por ultrassom.

Question 52

Question
Um paciente com 21 anos de idade, servente de pedreiro, vem à Unidade Básica de Saúde (UBS) acompanhado pela mãe, que refere estar preocupada com o comportamento do filho. No acolhimento pela enfermeira, a mãe informa que o filho tem chegado em casa embriagado, o que ocasiona faltas no trabalho. O filho, que apresenta hálito alcoólico, minimiza o relato da mãe e afirma que isso acontece poucas vezes. O paciente não apresenta sinais de alteração da marcha ou da fala. Considerando as diretrizes gerais do Sistema Único de Saúde (SUS), as atribuições da atenção básica e a Rede de Atenção Psicossocial (RAPS), nesse momento, o paciente deveria ser submetido a avaliação:
Answer
  • no Centro de Atenção Psicosocial (CAPS) AD (álcool e drogas).
  • no Núcleo de Apoio à Saúde da Família (NASF).
  • na Unidade de Pronto Atendimento (UPA).
  • na própria Unidade Básica de Saúde.

Question 53

Question
Uma paciente com 23 anos de idade, submetida a cirurgia cesariana há cerca de 90 dias, com incisão mediana, é atendida em Unidade Básica de Saúde com relato de abaulamento em região suprapúbica e dor local aos esforços, de início associado ao retorno de atividades domésticas (lavar roupas manualmente). Com base no quadro clínico exposto, qual a hipótese diagnóstica correta?
Answer
  • Hematoma de bainha do reto abdominal.
  • Corpo estranho pós-cirúrgico.
  • Seroma volumoso.
  • Hérnia incisional.

Question 54

Question
Menino com 8 anos de idade é trazido ao Ambulatório de Pediatria com queixa de oligúria e urina espumosa, bem como quadro de edema, iniciado há 7 dias. A mãe nega outras alterações ou patologias prévias. Ao exame físico: PA = 99 X 56 mmHg, edema palpebral e de membros inferiores, sem ascite. Exame de urina: densidade urinária: 1.015, hemácias: 2/campo, leucócitos: 3/campo, proteinuria +++/++++. Considerando a principal hipótese diagnóstica, é indicado para tratamento da doença de base:
Answer
  • diurético.
  • antibiótico.
  • anti-hipertensivo.
  • corticosteroide.

Question 55

Question
A tuberculose (TB) é um problema de Saúde Pública no Brasil. A identificação precoce de pessoas com TB é imprescindível para a quebra da cadeia de transmissão da doença. No Brasil, em 2008, a TB foi a quarta causa de morte por doenças infecciosas e a primeira causa de morte em pacientes com Aids. Com o aumento do número de casos de pacientes com Aids na população prisional, eleva-se a quantidade de pacientes com TB. Neste cenário, o indicador que expressa o número de casos novos da doença nesta população no período de 1 ano é:
Answer
  • letalidade.
  • incidência.
  • morbidade.
  • prevalência.

Question 56

Question
Paciente com 17 anos de idade, primípara, encontra-se no 7.º dia pós-parto e permanece internada no alojamento conjunto, acompanhando seu recém-nascido, em tratamento de sepse neonatal. Nesse período, a paciente começa a apresentar quadro de insônia, delírios de grandeza, alternados com manifestações paranoides. Diz que ouve vozes e vê sombras que querem pegá-la e trocar seu bebê. Durante o dia, apresenta agitação psicomotora ininterrupta. Ela não apresenta nenhum sintoma associado a infanticídio ou ideário negativo em relação à sua maternidade, mas diz que prefere morrer a ser "pega pelas sombras". A família nega qualquer quadro anterior semelhante. Baseado na sintomatologia apresentada, o diagnóstico é:
Answer
  • disforia pós-parto.
  • psicose pós-parto.
  • depressão pós-parto.
  • transtorno de ansiedade.

Question 57

Question
Adolescente, 16 anos de idade, vai à consulta ginecológica buscando orientação. Relata estar namorando há três meses, nunca teve atividade sexual, mas pretende começar a ter relações com o namorado em alguns meses. Considerando a literatura mais recente, qual medida teria maior impacto na prevenção das lesões induzidas pelo papilomavírus humano para a paciente em questão, incluindo o câncer de colo uterino?
Answer
  • Realizar vacinação contra o HPV.
  • Realizar captura híbrida anual para HPV.
  • Fazer uso de anticoncepcional combinado oral.
  • Realizar exame citopatológico de colo uterino anual.

Question 58

Question
Um homem de 40 anos de idade é atendido na Unidade Básica de Saúde (UBS) com quadro de anorexia, perda de peso e adinamia, associados a tosse e discreta falta de ar, iniciado há 30 dias. Ao exame físico foi constatado: paciente emagrecido, 2 IMC 16 kg/m , PA = 110 x 70 mmHg, FC = 88 bpm, FR = 20 irpm, sopro cavitário no ápice pulmonar esquerdo. Que exames são indicados para a elucidação diagnóstica nesse caso?
Answer
  • Hemograma completo, anti-HIV 1 e 2 e radiografia de tórax.
  • Pesquisa de BAAR no escarro e radiografia de tórax.
  • Pesquisa de BAAR no escarro, cultura do escarro pelo método Ogawa-Kudoh e radiografia de tórax.
  • Baciloscopia do escarro, radiografia de tórax e técnica molecular de reação em cadeia mediada pela polimerase.

Question 59

Question
Um homem de 25 anos de idade, vítima de atropelamento, foi admitido na Emergência com quadro de insuficiência respiratória aguda, agitação psicomotora e cianose central e periférica. Apresenta várias lesões de face, com afundamento maxilar, perda dos dentes e sangramento local importante. Qual o procedimento imediato para estabelecer uma via aérea para esse paciente?
Answer
  • Intubação orotraqueal.
  • Intubação nasotraqueal.
  • Traqueostomia.
  • Cricotireoidotomia.

Question 60

Question
Um homem de 21 anos de idade está internado no Pronto Socorro de um hospital terciário após adequada atenção pré-hospitalar e remoção feita pelo SAMU local. Ele foi vítima de acidente de trânsito devido a queda de moto, ocorrido há 15 horas, e apresenta traumatismo raquimedular cervical grave. Ao repetir o exame físico do paciente, o médico constata o retorno do reflexo bulbocavernoso ainda nas primeiras 24 horas do evento traumático. O que sugere este último achado clínico ?
Answer
  • Recuperação do quadro neurológico.
  • Término do choque medular.
  • Lesão medular incompleta.
  • Síndrome de Brown-Séquard.

Question 61

Question
A prefeitura de um pequeno município do interior contratou profissionais de saúde para implantar três equipes da Estratégia da Saúde da Família que atuarão junto a uma Unidade Básica de Saúde (UBS). Para iniciar as suas atividades, essas equipes precisam definir os territórios de abrangência e a população de cada uma delas, conforme preconiza a Política Nacional da Atenção Básica. Que estratégias devem orientar a definição do território?
Answer
  • As equipes terão número variável de famílias em territórios estabelecidos pela prefeitura e sem definição de números mínimos e máximos por equipe.
  • O número de famílias de cada equipe dependerá do grau de vulnerabilidade em cada área, em territórios definidos pelos Agentes Comunitários de Saúde.
  • Todas as equipes terão sob sua responsabilidade 3 500 pessoas, definidas em territórios contínuos dentro da área de abrangência da UBS .
  • Os territórios das equipes serão definidos pelas equipes e o número de pessoas adscritas a cada equipe vai depender da análise de vulnerabilidade das famílias de cada microárea.

Question 62

Question
Um lactente com 6 meses de idade, previamente hígido, em aleitamento materno, é atendido em um Pronto Socorro Infantil com história de febre persistente há dois dias (temperatura axilar de até 38,9°C), acompanhada de irritabilidade e 2 a 3 episódios de vômitos por dia. Foi levado previamente a um serviço de saúde e a mãe foi orientada a oferecer soro de reidratação oral (SRO) e a retornar, caso não houvesse melhora ou piorasse. A mãe informa que a irritabilidade da criança aumentou nas últimas 12 horas, prejudicando a amamentação e a ingestão de líquidos. Nega tosse e diarreia. As vacinas estavam atualizadas. Ao examinar o lactente, o médico observou: bom estado geral e nutricional e irritabilidade ao manuseio. Realizada punção lombar, o resultado do exame do líquor foi: líquido límpido, com 3003 células/mm com predomínio de linfomononucleares, glicorraquia normal, proteínas levemente aumentadas. Com base no quadro clínico e nos resultados da análise do líquor, a associação diagnóstico-terapêutica correta é:
Answer
  • meningite bacteriana; tratamento hospitalar com antibioticoterapia, com necessidade de isolamento em UTI.
  • meningite bacteriana; tratamento hospitalar com antibioticoterapia, sem necessidade de isolamento.
  • meningite viral; tratamento hospitalar sem antibioticoterapia, sem necessidade de isolamento.
  • meningite viral; tratamento hospitalar sem antibioticoterapia, com necessidade de isolamento.

Question 63

Question
Quanto ao desenvolvimento de diabetes gestacional em paciente primigesta, com 29 anos de idade, estatura de 1,50 m , peso pré-gravídico de 70Kg, peso atual de 75Kg na 24ª semana de gestação e glicemia em jejum de 90mg/dl, pode-se afirmar:
Answer
  • a ausência de risco pela idade inferior a 30 anos da gestante.
  • a existência de risco pelo ganho excessivo de peso na gestação.
  • a ausência de risco pela normalidade da glicemia de jejum da gestante.
  • a existência de risco pelo IMC pré-gravídico superior a 27Kg/m2.

Question 64

Question
Ao atender uma mulher, com 24 anos de idade, você observa grande resistência dela para continuar o aleitamento materno de seu filho de dois meses. Além dos inquestionáveis benefícios para a criança, você orienta a paciente sobre os benefícios que o aleitamento materno traz para a mulher que amamenta, entre os quais figuram, a proteção contra o câncer de mama e contra:
Answer
  • o câncer de colo uterino.
  • o câncer de endométrio.
  • os tumores da vulva.
  • o desenvolvimento de miomas.
  • o câncer de ovário.

Question 65

Question
Criança com um ano de idade foi amamentada com leite materno exclusivamente até os seis meses, quando passou a receber alimentação complementar com frutas, papa salgada composta de vegetais, cereais e, às vezes, carne. Na ocasião da consulta de puericultura, por apresentar palidez, o médico solicitou eritrograma que apresentou os seguintes resultados : Hemoglobina = 10,2 mg/dL (valor normal = 11 - 13 mg/dL); Hematócrito = 30,8 % (valor normal = 36-44 %); Volume Corpuscular Médio = 75 fL (valor normal = 77- 101 fL); Hemoglobina Corpuscular Média = 21 pg (valor normal = 23-31 pg); Concentração de Hemoglobina Corpuscular Média = 26 g/dL (valor normal = 28-33 g/dL) e RDW = 15,5 % (valor normal <14 %). A hipótese diagnóstica elaborada pelo médico e o exame complementar que melhor confirma esse diagnóstico são, respectivamente:
Answer
  • anemia falciforme e contagem de reticulócitos.
  • anemia por deficiência de ácido fólico e dosagem de folatos.
  • anemia megaloblástica e eletroforese de hemoglobina.
  • anemia carencial ferropriva e dosagem da ferritina sérica.

Question 66

Question
Mulher com 45 anos de idade, cor branca, multípara, proveniente de zona rural, procura consulta ginecológica com queixa de peso na região pélvica há cerca de 60 dias, perda de peso corporal e distensão abdominal. A paciente não faz uso de método contraceptivo oral e não apresenta dismenorreia. A paciente tem antecedente de neoplasia maligna de mama e a mãe, história de câncer de ovário. Ao exame, observou-se massa palpável em anexo esquerdo. De acordo com o exame clínico e com os antecedentes pessoais e familiares informados pela paciente, qual a principal hipótese diagnóstica?
Answer
  • Cisto benigno de ovário.
  • Neoplasia maligna de ovário.
  • Endometrioma.
  • Tuberculose genital (ovário e trompa).

Question 67

Question
Mulher com 54 anos de idade, Índice de Massa Corpórea (IMC) = 32,6, portadora de diabetes tipo 2, controlado com medidas dietéticas e uso de glibenclamida, comparece à Unidade Básica de Saúde com queixa de dor, do tipo cólica, em hipocôndrio direito, que se irradia para o ombro direito e piora após ingestão de alimentos, especialmente gordurosos. Relata episódios de vômitos durante algumas crises. Disse, ainda, que o quadro iniciou-se há mais ou menos seis meses, agravando-se no último mês. Após a realização do exame físico, o médico solicitou ultrassonografia de abdome que evidenciou “colecistopatia calculosa crônica”. Ao explicar o diagnóstico para a paciente, ela informou que gostaria de passar seis meses visitando a filha que mora em Portugal. Baseado nessa situação, você diria à paciente que seu quadro clínico:
Answer
  • é crônico e o tratamento cirúrgico pode ser adiado.
  • requer tratamento cirúrgico antes da viagem.
  • requer tratamento cirúrgico imediato.
  • requer acompanhamento imediato quando aparecerem indícios de complicações.

Question 68

Question
Uma paciente de 24 anos, solteira, primigesta, comparece à Unidade Básica de Saúde para sua primeira consulta de pré-natal. O tempo de amenorreia é de 14 semanas. Queixa-se de náuseas e vômitos frequentes, principalmente no período da manhã. Refere que os sintomas vêm piorando desde que soube estar grávida. O exame físico geral está normal e o exame obstétrico é compatível com os de uma gestação de 14 semanas. As náuseas e os vômitos na forma descrita pela paciente:
Answer
  • constituem sintomas precoce de gravidez múltipla, de modo que a principal medida no momento é aguardar o resultado da ultrassonografia para verificar gemelaridade.
  • são sinais de alerta para problemas como a neoplasia trofoblástica gestacional, sendo recomendada a utilização de antieméticos e monitorização dos níveis de gonadotrofina coriônica.
  • ocorrem em razão do aumento do volume uterino e os sintomas são progressivos na gestação. Deve-se evitar alimentos no período da manhã e recomendar repouso após as refeições.
  • constituem manifestações frequentes no início da gravidez, que se dá em razão de alterações hormonais, de forma que os sintomas reduzirão com o tempo. A alimentação deve ser em pequenas quantidades e várias vezes ao dia.

Question 69

Question
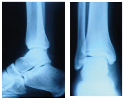
Uma paciente de 19 anos estava jogando handebol em uma competição da faculdade, quando, ao saltar para arremesso da bola, desequilibrou-se e “pisou em falso”. Queixa-se de muita dor no local. Ao exame físico local, nota-se edema (+2/4+), discreto hematoma e dor à palpação do maléolo lateral. Não consegue apoiar o pé no chão devido à dor. As duas imagens abaixo mostram duas incidências de radiografia simples do tornozelo da paciente. Considera-se a conduta mais apropriada para essa paciente o(a):
Answer
  • encaminhamento para hospital ortopédico para possível conduta cirúrgica devido à fratura.
  • encaminhamento para hospital ortopédico para possível conduta conservadora com uso de gesso devido à fratura.
  • uso de gelo no local (até 3 vezes por dia por 30 minutos), anti-inflamatórios não esteroidais e uso de tala para imobilização analgésica por 5 a 7 dias.
  • orientação de repouso relativo, uso de gelo no local (3 vezes por dia por 30 minutos) e de anti inflamatórios não esteroidais, liberando a paciente para ir para casa.

Question 70

Question
Uma mulher de 45 anos de idade, história de diabetes e asma brônquica, estava internada no Hospital Municipal com quadro de pneumonia comunitária. Ao receber alta hospitalar, foi orientada a procurar uma Unidade Básica de Saúde para solicitar administração de vacina pneumocócica 23-valente (polissacarídica). Qual o tipo de prevenção objetivada a partir da ação descrita?
Answer
  • Primária
  • Secundária
  • Terciária
  • Quartenária
Show full summary Hide full summary

Similar

Simulado Matemática
Marina Faria
Simulado Inglês
Marina Faria
Provas anteriores de Vestibular - Fuvest 1
GoConqr suporte .
Simulado Filosofia
Marina Faria
Simulado Geografia
Marina Faria
Simulado Espanhol
Marina Faria
Sistema Cardiovascular: Artérias, Veias e Capilares
Natália Abitbol
Anatomia: sistema esquelético I
Natália Abitbol
Processo de Cicatrização
Letícia Silva
Anatomia Artérias
Filipe Brito
Provas anteriores de Vestibular - Unicamp 2014 - 1
GoConqr suporte .