Tissus conjonctifs

Description

Quiz on Tissus conjonctifs, created by Marine L on 06/11/2017.
Marine L
Quiz by Marine L, updated more than 1 year ago
Marine L
Created by Marine L almost 8 years ago
482
0

Resource summary

Question 1

Question
Identifiez les structures, le type de tissu conjonctif (en h à g) et l'emplacement dans l'organisme (en h à d) :
Answer
  • tissu conjonctif lâche
  • chorion oesophage
  • substance fondamentale
  • noyau fibroblaste
  • fibres de collagène
  • lumière capillaire sanguin
  • glande muqueuse

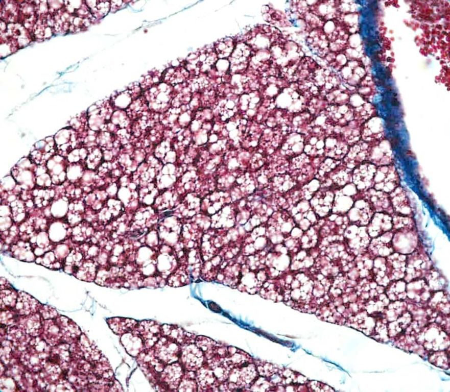
Question 2

Question
Identifiez le type de tissu conjonctif (en h à g) ainsi que les structures pointées (en b à g petite structure foncée ronde), et la coupe dans-laquelle on se trouve :
Answer
  • tissu adipeux jeune ou graisse brune
  • gouttelette lipidique
  • noyau adipocyte
  • trachée - thyroïde

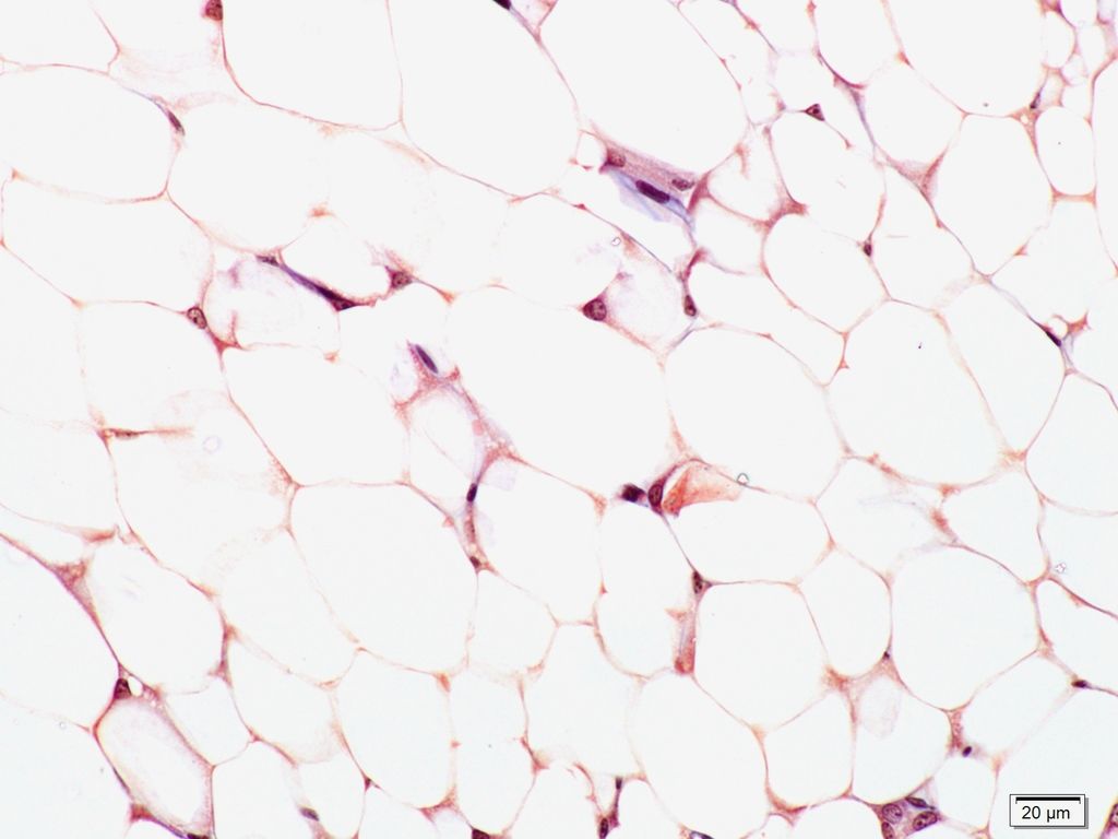
Question 3

Question
Identifiez le type de tissu conjonctif (en h à g) ainsi que l'organe où l'on se trouve (en h à d) et les structures pointées :
Answer
  • tissu adipeux mature ou graisse blanche
  • gouttelette lipidique
  • noyau adipocyte
  • hypoderme

Question 4

Question
Identifiez le type de tissu conjonctif (en h à g) ainsi que les structures pointées et l'organe dans lequel on se trouve (en h à d) :
Answer
  • tissu conjonctif dense irrégulier
  • fibres de collagène et d'élastine
  • substance fondamentale
  • noyau fibroblaste
  • derme

Question 5

Question
Identifiez le type de tissu conjonctif (en h à g) ainsi que les structures pointées, la coloration utilisée (en b à d), la substance observée (en b à g) et l'organe où l'on se trouve (en h à d)
Answer
  • tissu conjonctif muqueux ou mésenchyme
  • gelée de Wharton
  • cordon ombilical
  • HES (safran)
  • fibres
  • substance fondamentale
  • noyau CMI

Question 6

Question
Identifiez les structures pointées, les différentes couches (extrême droite), la coloration (en h à d) ainsi que la structure dans laquelle on se trouve (en b à g) :
Answer
  • intima
  • média
  • adventice
  • lame élastique
  • coloration de Scott
  • fibres de collagène
  • cellules musculaires lisses
  • endothélium
  • mince couche de tissu conjonctif
  • aorte

Question 7

Question
Identifiez le type de tissu conjonctif (en h à g) ainsi que les structures pointées :
Answer
  • cartilage hyalin
  • périchondre
  • chondroblaste
  • matrice extracellulaire
  • groupe isogénique coronaire
  • chondrocyte dans chondroplaste

Question 8

Question
Identifiez le processus en cours sur cette coupe (en h à g), les différentes zones 'extrême droite) ainsi que le type de tissu qui en résultera (en b à g) :
Answer
  • ossification endochondrale
  • tissu osseux non-lamellaire
  • zone d'ostéogenèse
  • zone de dégénérescence
  • zone d'hypertrophie
  • zone de prolifération
  • zone de cartilage

Question 9

Question
Identifiez le type de tissu (en h à g), les différentes structures (en h à d fine lignes) ainsi que l'unité structure que l'on observe centralement (en b à d) :
Answer
  • tissu osseux adulte ou os compact
  • canal central de Havers
  • ostéocyte
  • canalicules osseux
  • ostéone
Show full summary Hide full summary

Similar

Histologie - Part 1
Eugeniu Nicolenco
Histologie - Part 2
Eugeniu Nicolenco
Histoogie - Part 3
Eugeniu Nicolenco
Histologie - Part 4
Eugeniu Nicolenco
Histologie - Part 5
Eugeniu Nicolenco
Histologie - Part 10
Eugeniu Nicolenco
Histologie - Part 8
Eugeniu Nicolenco
Histologie - Part 6
Eugeniu Nicolenco
Histologie - Part 7
Eugeniu Nicolenco
Histologie - Part 9
Eugeniu Nicolenco
Enterobacteriaceae
Katie Koontz