TP anapath year4

Description

Quiz on TP anapath year4, created by Heng dalen on 18/08/2018.
Heng  dalen
Quiz by Heng dalen, updated more than 1 year ago
Heng  dalen
Created by Heng dalen about 7 years ago
129
1

Resource summary

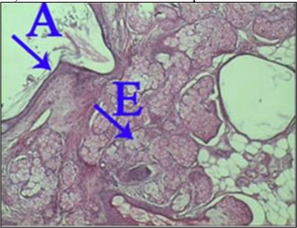
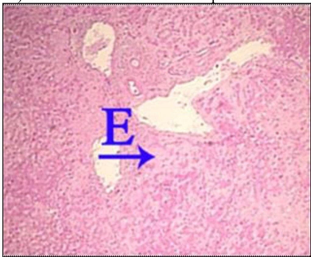
Question 1

Question
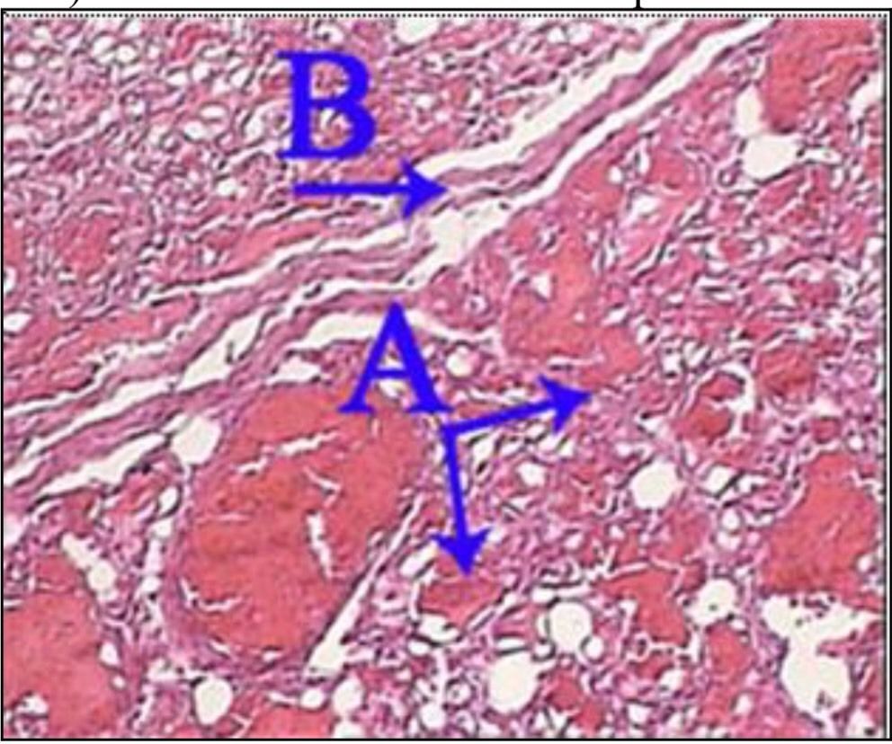
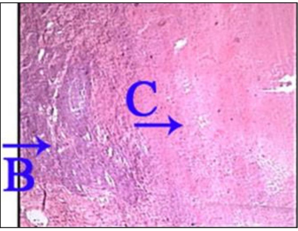
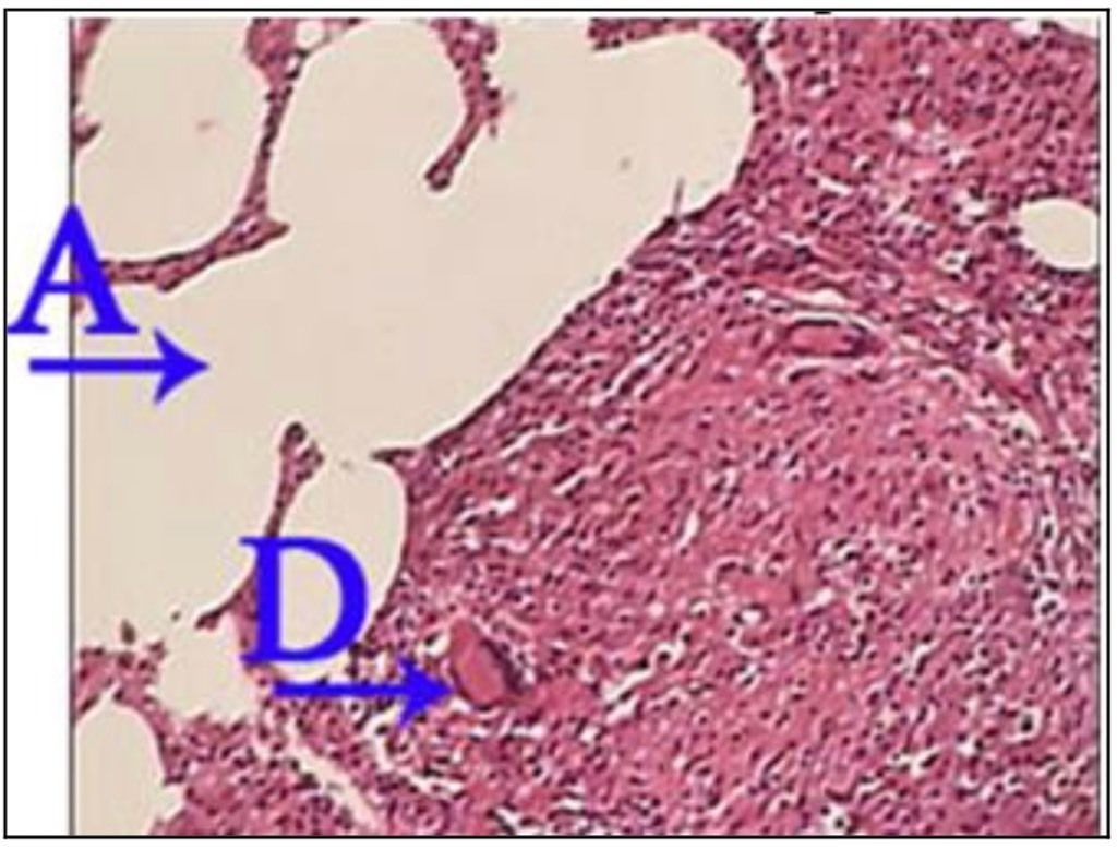
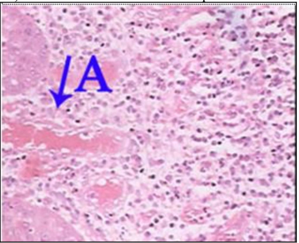
What is the correct answer at point A?
Answer
  • - épithélium exocervical normal
  • - membrane basale
  • - cellules anormales
  • - épithélium dysplasique sévère
  • - massifs carcinomateux

Question 2

Question
What is the correct answer at point B?
Answer
  • - épithélium exocervical normal
  • - membrane basale
  • - cellules anormales
  • - épithélium dysplasique sévère
  • - massifs carcinomateux

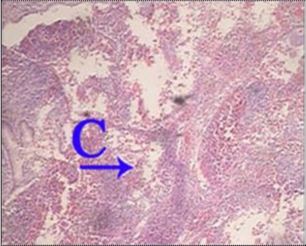
Question 3

Question
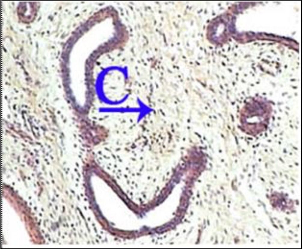
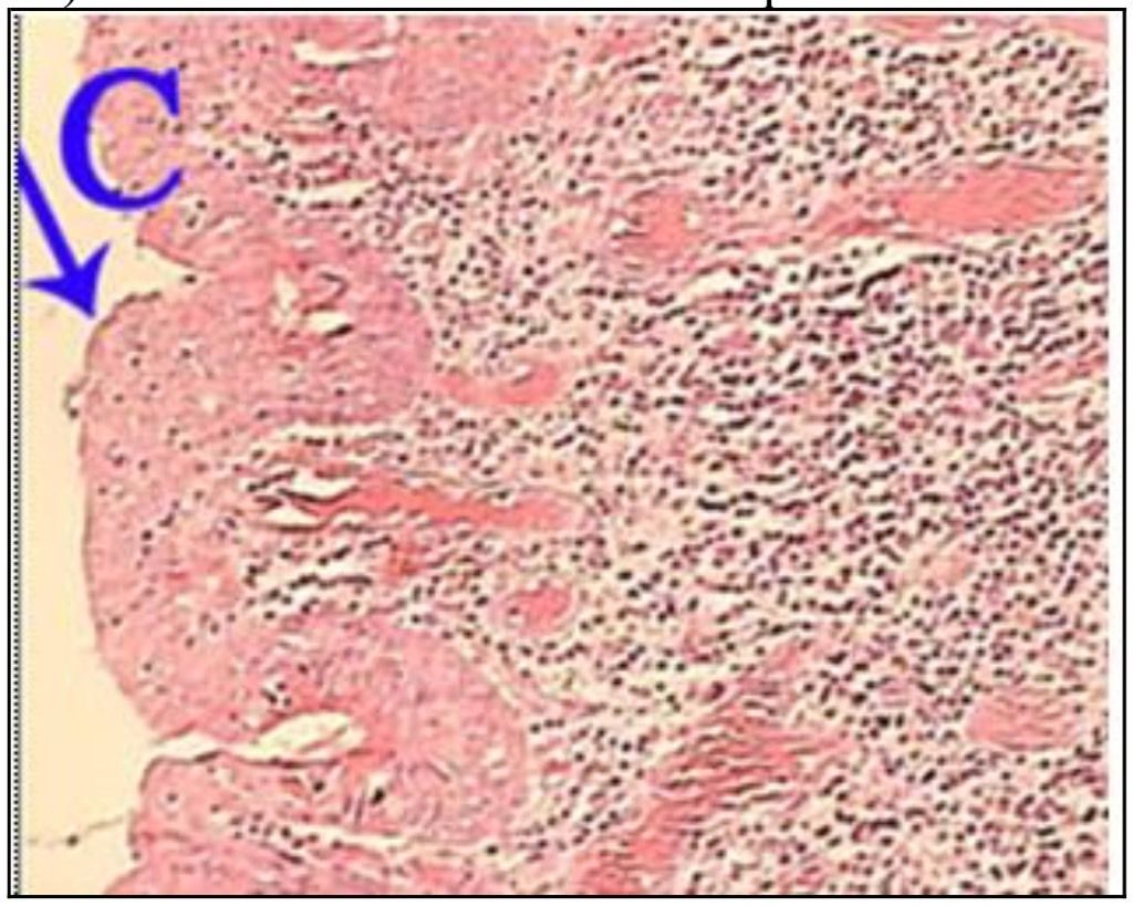
What is the correct answer at point C ?
Answer
  • - épithélium exocervical normal
  • - membrane basale
  • - cellules anormales
  • - épithélium dysplasique sévère
  • - massifs carcinomateux

Question 4

Question
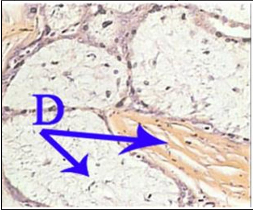
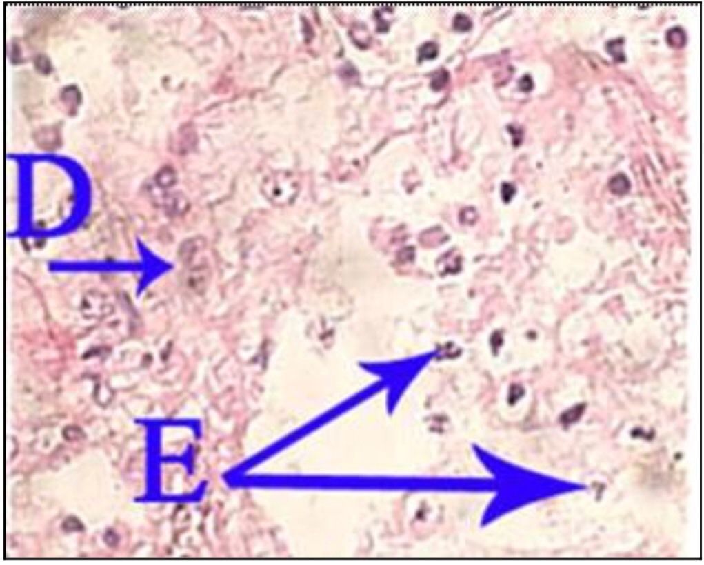
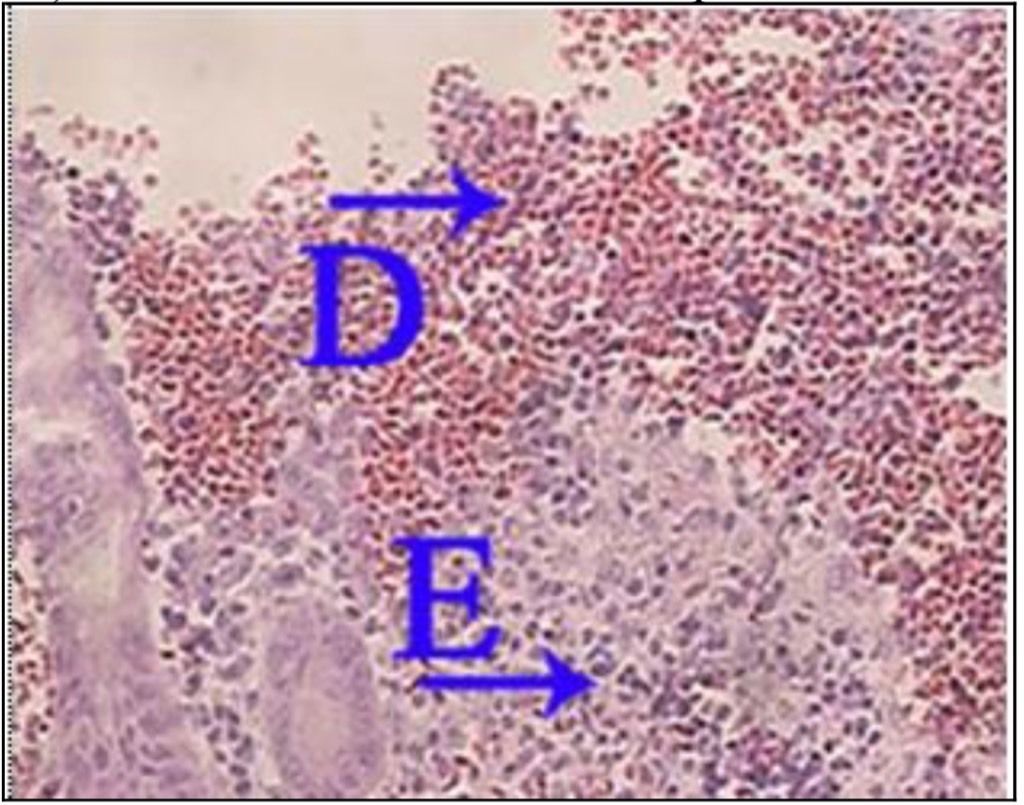
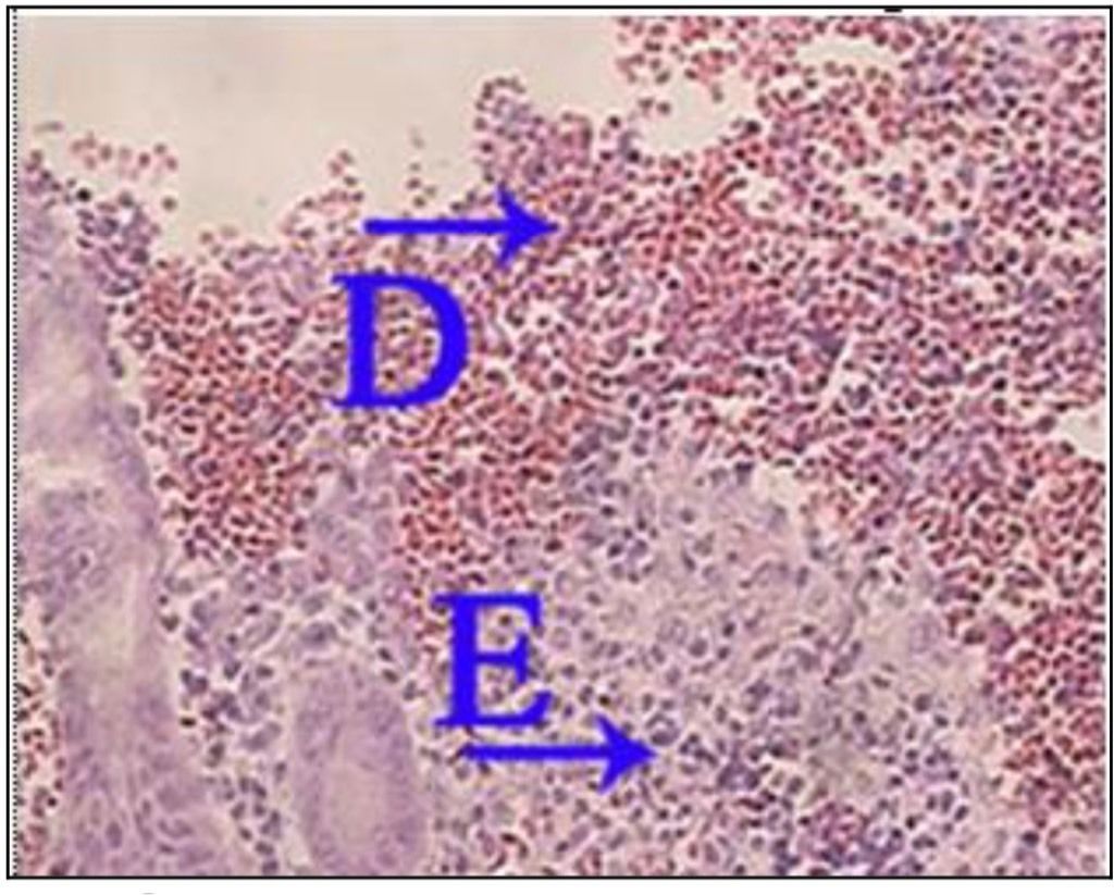
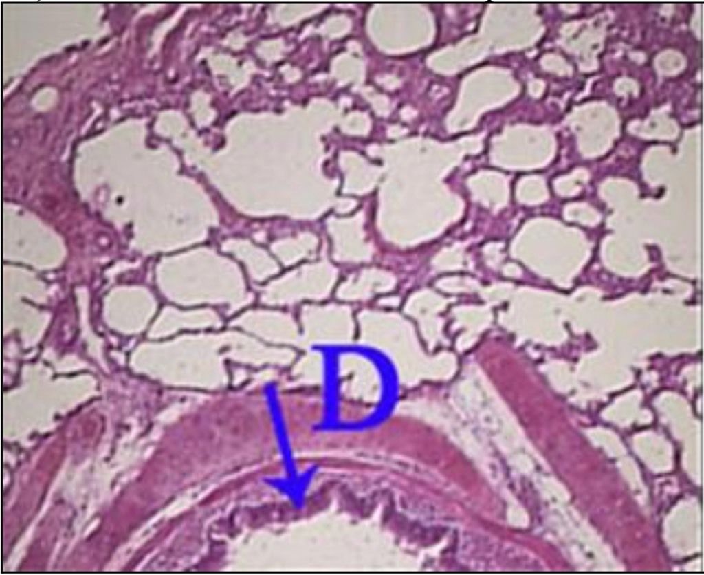
What is the correct answer at point D ?
Answer
  • - épithélium exocervical normal
  • - membrane basale
  • - cellules anormales
  • - épithélium dysplasique sévère
  • - massifs carcinomateux

Question 5

Question
What is the correct answer at point E?
Answer
  • - épithélium exocervical normal
  • - membrane basale
  • - cellules anormales
  • - épithélium dysplasique sévère
  • - massifs carcinomateux

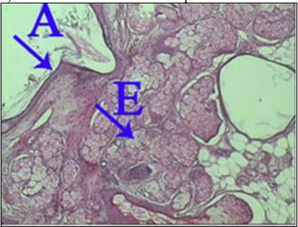
Question 6

Question
What is the correct answer at point A ?
Answer
  • - peau et ses annexes
  • - tissu adipeux
  • - tissu de la glande thyroïde
  • - cartilage
  • - glande sébacé

Question 7

Question
What is the correct answer at point B ?
Answer
  • - peau et ses annexes
  • - tissu adipeux
  • - tissu de la glande thyroïde
  • - cartilage
  • - glande sébacé

Question 8

Question
What is the correct answer at point C?
Answer
  • - peau et ses annexes
  • - tissu adipeux
  • - tissu de la glande thyroïde
  • - cartilage
  • - glande sébacé

Question 9

Question
What is the correct answer at point D ?
Answer
  • - peau et ses annexes
  • - tissu adipeux
  • - tissu de la glande thyroïde
  • - cartilage
  • - glande sébacé

Question 10

Question
What is the correct answer at point E ?
Answer
  • - peau et ses annexes
  • - tissu adipeux
  • - tissu de la glande thyroïde
  • - cartilage
  • - glande sébacé

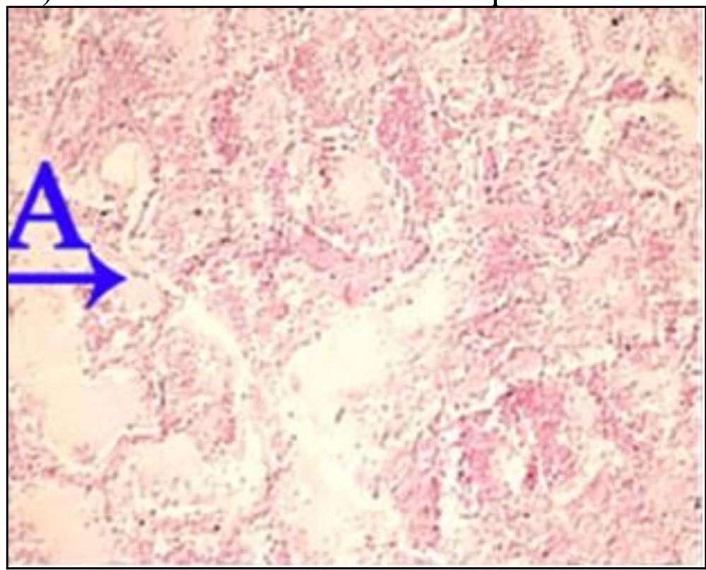
Question 11

Question
What is the correct answer at point A?
Answer
  • - travées de sclérose annulaire
  • - nodule cirrhotique, sans veine Centro lobulaire
  • - néoformation canalicule biliaire
  • - infiltration lymphocytaire
  • - hépatocyte contenant de la bile

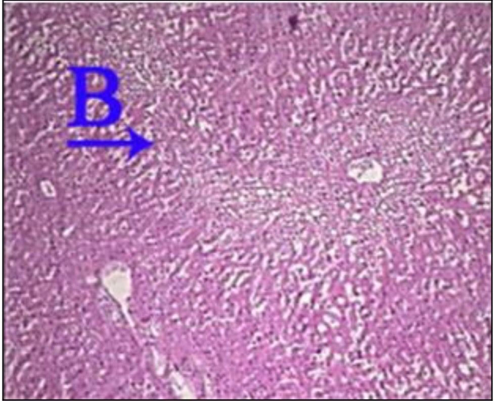
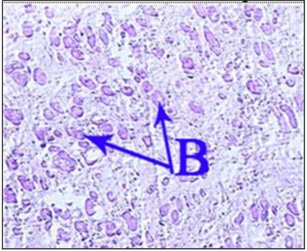
Question 12

Question
What is the correct answer at point B?
Answer
  • - travées de sclérose annulaire
  • - nodule cirrhotique, sans veine Centro lobulaire
  • - néoformation canalicule biliaire
  • - infiltration lymphocytaire
  • - hépatocyte contenant de la bile

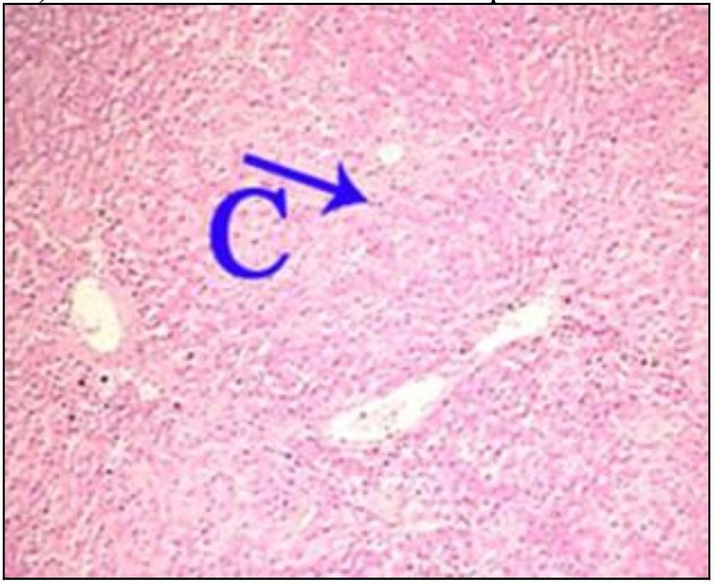
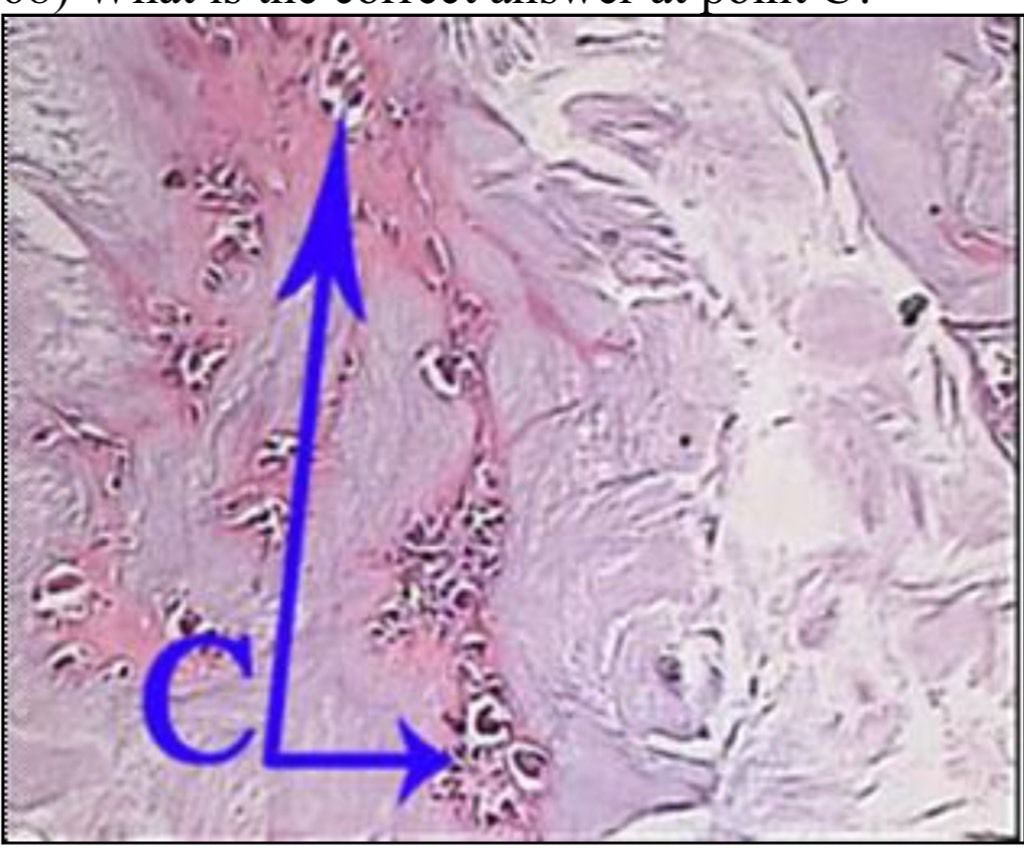
Question 13

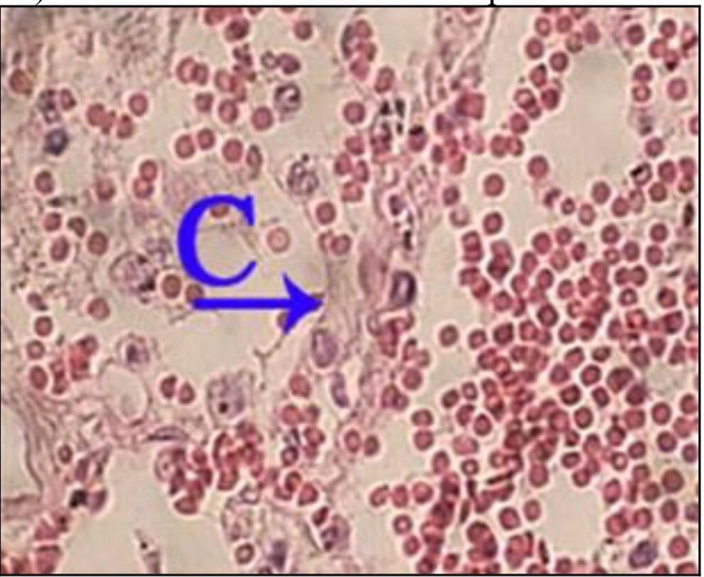
Question
What is the correct answer at point C?
Answer
  • - travées de sclérose annulaire
  • - nodule cirrhotique, sans veine Centro lobulaire
  • - néoformation canalicule biliaire
  • - infiltration lymphocytaire
  • - hépatocyte contenant de la bile

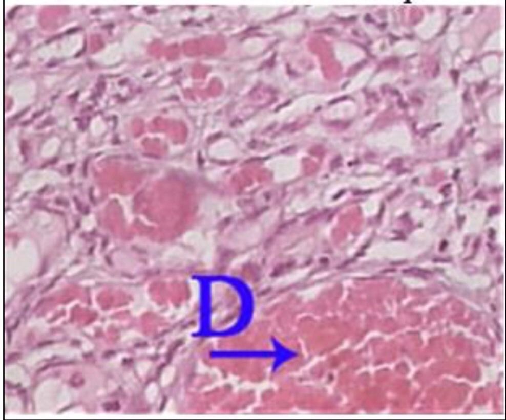
Question 14

Question
What is the correct answer at point D?
Answer
  • - travées de sclérose annulaire
  • - nodule cirrhotique, sans veine Centro lobulaire
  • - néoformation canalicule biliaire
  • - infiltration lymphocytaire
  • - hépatocyte contenant de la bile

Question 15

Question
What is the correct answer at point E?
Answer
  • - travées de sclérose annulaire
  • - nodule cirrhotique, sans veine Centro lobulaire
  • - néoformation canalicule biliaire
  • - infiltration lymphocytaire
  • - hépatocyte contenant de la bile

Question 16

Question
What is the correct answer at point A?
Answer
  • - veine Centro lobulaire
  • - travée hépatocytaire
  • - dépôt amyloïde péricentrolobulaire
  • - substance amyloïde intercellulaire
  • - dépôt amyloïde dans l’espace porte

Question 17

Question
What is the correct answer at point B?
Answer
  • - veine Centro lobulaire
  • - travée hépatocytaire
  • - dépôt amyloïde péricentrolobulaire
  • - substance amyloïde intercellulaire
  • - dépôt amyloïde dans l’espace porte

Question 18

Question
What is the correct answer at point C?
Answer
  • - veine Centro lobulaire
  • - travée hépatocytaire
  • - dépôt amyloïde péricentrolobulaire
  • - substance amyloïde intercellulaire
  • - dépôt amyloïde dans l’espace porte

Question 19

Question
What is the correct answer at point D?
Answer
  • - veine Centro lobulaire
  • - travée hépatocytaire
  • - dépôt amyloïde péricentrolobulaire
  • - substance amyloïde intercellulaire
  • - dépôt amyloïde dans l’espace porte

Question 20

Question
What is the correct answer at point E?
Answer
  • - veine Centro lobulaire
  • - travée hépatocytaire
  • - dépôt amyloïde péricentrolobulaire
  • - substance amyloïde intercellulaire
  • - dépôt amyloïde dans l’espace porte

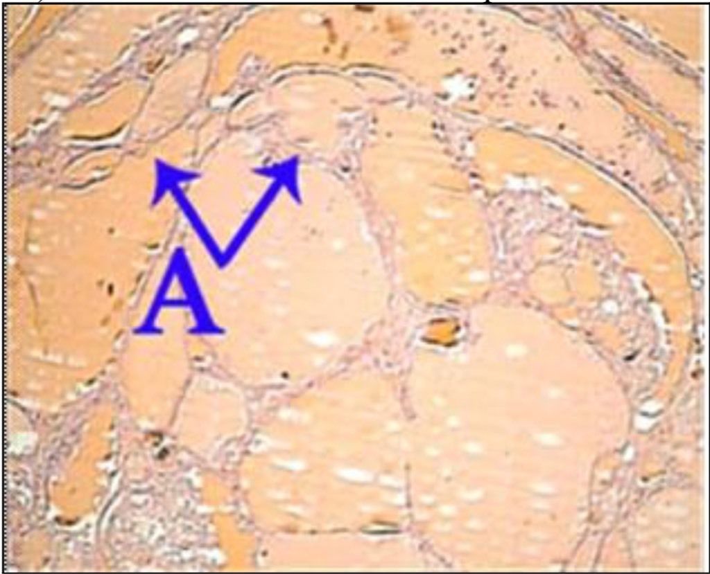
Question 21

Question
What is the correct answer at point A?
Answer
  • - travée conjonctive
  • - capsule
  • - lobule
  • - capillaire sanguin
  • - adipocyte

Question 22

Question
What is the correct answer at point B?
Answer
  • - travée conjonctive
  • - capsule
  • - lobule
  • - capillaire sanguin
  • - adipocyte

Question 23

Question
What is the correct answer at point C?
Answer
  • - travée conjonctive
  • - capsule
  • - lobule d’adipocyte
  • - capillaire sanguin
  • - adipocyte

Question 24

Question
What is the correct answer at point D?
Answer
  • - travée conjonctive
  • - capsule
  • - lobule
  • - capillaire sanguin
  • - adipocyte

Question 25

Question
What is the correct answer at point E?
Answer
  • - travée conjonctive
  • - capsule
  • - lobule
  • - capillaire sanguin
  • - adipocyte

Question 26

Question
What is the correct answer at point A?
Answer
  • - faisceaux enchevêtrés
  • - léiomyocyte
  • - endomysium
  • - noyau en bâtonnet
  • - sarcolemme

Question 27

Question
What is the correct answer at point B?
Answer
  • - faisceaux enchevêtrés
  • - léiomyocyte
  • - endomysium
  • - noyau en bâtonnet
  • - sarcolemme

Question 28

Question
What is the correct answer at point C?
Answer
  • - faisceaux enchevêtrés
  • - léiomyocyte
  • - endomysium
  • - noyau en bâtonnet
  • - sarcolemme

Question 29

Question
What is the correct answer at point D?
Answer
  • - faisceaux enchevêtrés
  • - léiomyocyte
  • - endomysium
  • - noyau en bâtonnet
  • - sarcolemme

Question 30

Question
What is the correct answer at point E?
Answer
  • - faisceaux enchevêtrés
  • - léiomyocyte
  • - endomysium
  • - noyau en bâtonnet
  • - sarcolemme

Question 31

Question
What is the correct answer at point A?
Answer
  • - plage de cellules adipeuses
  • - plage de cellules indifférenciées
  • - tissu myxoide
  • - adipocyte anormale
  • - noyau de l’adipocyte

Question 32

Question
What is the correct answer at point B?
Answer
  • - plage de cellules adipeuses
  • - plage de cellules indifférenciées
  • - tissu myxoide
  • - adipocyte anormale
  • - noyau de l’adipocyte

Question 33

Question
What is the correct answer at point C?
Answer
  • - plage de cellules adipeuses
  • - plage de cellules indifférenciées
  • - tissu myxoide
  • - adipocyte anormale
  • - noyau de l’adipocyte

Question 34

Question
What is the correct answer at point D?
Answer
  • - plage de cellules adipeuses
  • - plage de cellules indifférenciées
  • - tissu myxoide
  • - adipocyte anormale
  • - noyau de l’adipocyte

Question 35

Question
What is the correct answer at point E?
Answer
  • - plage de cellules adipeuses
  • - plage de cellules indifférenciées
  • - tissu myxoide
  • - adipocyte anormale
  • - noyau de l’adipocyte

Question 36

Question
What is the correct answer at point A?
Answer
  • - follicules thyroïdiens, différentes tailles
  • - bandes scléreuse
  • - foyer de résorption thyroïdienne
  • - lipophages
  • - épithélium cubique simple

Question 37

Question
What is the correct answer at point B?
Answer
  • - follicules thyroïdiens, différentes tailles
  • - bandes scléreuse
  • - foyer de résorption thyroïdienne
  • - lipophages
  • - épithélium cubique simple

Question 38

Question
What is the correct answer at point C?
Answer
  • - follicules thyroïdiens, différentes tailles
  • - bandes scléreuse
  • - foyer de résorption thyroïdienne
  • - lipophages
  • - épithélium cubique simple

Question 39

Question
What is the correct answer at point D?
Answer
  • - follicules thyroïdiens, différentes tailles
  • - bandes scléreuse
  • - foyer de résorption thyroïdienne
  • - lipophages
  • - épithélium cubique simple

Question 40

Question
What is the correct answer at point E?
Answer
  • - follicules thyroïdiens, différentes tailles
  • - bandes scléreuse
  • - foyer de résorption thyroïdienne
  • - lipophages
  • - épithélium cubique simple

Question 41

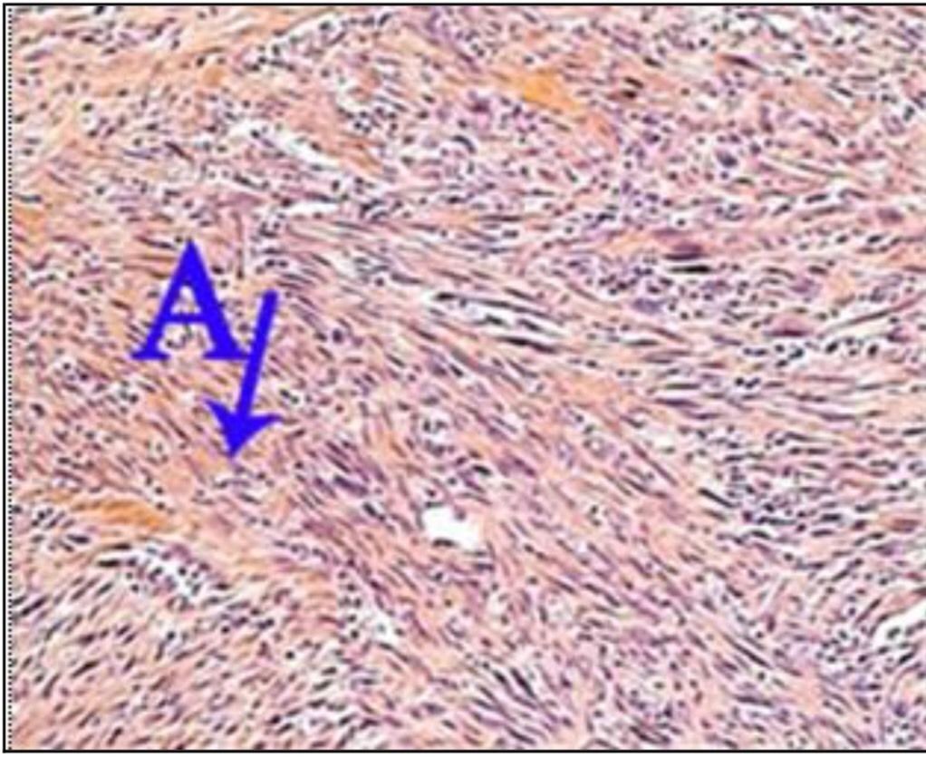
Question
What is the correct answer at point A?
Answer
  • - faisceaux entrecroisés
  • - endomysium
  • - léiomyocyte atypique
  • - noyau atypique
  • - mitose anormale

Question 42

Question
What is the correct answer at point B?
Answer
  • - faisceaux entrecroisés
  • - endomysium
  • - léiomyocyte atypique
  • - noyau atypique
  • - mitose anormale

Question 43

Question
What is the correct answer at point C?
Answer
  • - faisceaux entrecroisés
  • - endomysium
  • - léiomyocyte atypique
  • - noyau atypique
  • - mitose anormale

Question 44

Question
What is the correct answer at point D?
Answer
  • - faisceaux entrecroisés
  • - endomysium
  • - léiomyocyte atypique
  • - noyau atypique
  • - mitose anormale

Question 45

Question
What is the correct answer at point E?
Answer
  • - faisceaux entrecroisés
  • - endomysium
  • - léiomyocyte atypique
  • - noyau atypique
  • - mitose anormale

Question 46

Question
What is the correct answer at point A?
Answer
  • - granulome inflammatoire
  • - vaisseaux néoformés en éventail
  • - couche fibrinoleucocytaire
  • - les cellules lymphoplamocytaires
  • - les fibres collagènes

Question 47

Question
What is the correct answer at point B?
Answer
  • - granulome inflammatoire
  • - vaisseaux néoformés en éventail
  • - couche fibrinoleucocytaire
  • - les cellules lymphoplamocytaires
  • - les fibres collagènes

Question 48

Question
What is the correct answer at point C?
Answer
  • - granulome inflammatoire
  • - vaisseaux néoformés en éventail
  • - couche fibrinoleucocytaire
  • - les cellules lymphoplamocytaires
  • - les fibres collagènes

Question 49

Question
What is the correct answer at point D?
Answer
  • - granulome inflammatoire
  • - vaisseaux néoformés en éventail
  • - couche fibrinoleucocytaire
  • - les cellules lymphoplamocytaires
  • - les fibres collagènes

Question 50

Question
What is the correct answer at point E?
Answer
  • - granulome inflammatoire
  • - vaisseaux néoformés en éventail
  • - couche fibrinoleucocytaire
  • - les cellules lymphoplamocytaires
  • - les fibres collagènes

Question 51

Question
What is the correct answer at point A?
Answer
  • - lobule adénomateux
  • - prolifération épithéliale canaliculaire
  • - prolifération conjonctive nodulaire
  • - stroma myxoïde et fibreux
  • - canaux galactophores étirés et aplatie

Question 52

Question
What is the correct answer at point B?
Answer
  • - lobule adénomateux
  • - prolifération épithéliale canaliculaire
  • - prolifération conjonctive nodulaire
  • - stroma myxoïde et fibreux
  • - canaux galactophores étirés et aplatie

Question 53

Question
What is the correct answer at point C?
Answer
  • - lobule adénomateux
  • - prolifération épithéliale canaliculaire
  • - prolifération conjonctive nodulaire
  • - stroma myxoïde et fibreux
  • - canaux galactophores étirés et aplatie

Question 54

Question
What is the correct answer at point D?
Answer
  • - lobule adénomateux
  • - prolifération épithéliale canaliculaire
  • - prolifération conjonctive nodulaire
  • - stroma myxoïde et fibreux
  • - canaux galactophores étirés et aplatie

Question 55

Question
What is the correct answer at point E?
Answer
  • - lobule adénomateux
  • - prolifération épithéliale canaliculaire
  • - prolifération conjonctive nodulaire
  • - stroma myxoïde et fibreux
  • - canaux galactophores étirés et aplatie

Question 56

Question
What is the correct answer at point A?
Answer
  • - lésion segmentaire d’aspect homogène de pneumonie
  • - exsudat œdémateux
  • - la paroi alvéolaire congestive
  • - alvéolite suppurée
  • - des neutrophiles

Question 57

Question
What is the correct answer at point B?
Answer
  • - lésion segmentaire d’aspect homogène de pneumonie
  • - exsudat œdémateux
  • - la paroi alvéolaire congestive
  • - alvéolite suppurée
  • - des neutrophiles

Question 58

Question
What is the correct answer at point C?
Answer
  • - lésion segmentaire d’aspect homogène de pneumonie
  • - exsudat œdémateux
  • - la paroi alvéolaire congestive
  • - alvéolite suppurée
  • - des neutrophiles

Question 59

Question
What is the correct answer at point D?
Answer
  • - lésion segmentaire d’aspect homogène de pneumonie
  • - exsudat œdémateux
  • - la paroi alvéolaire congestive
  • - alvéolite suppurée
  • - des neutrophiles

Question 60

Question
What is the correct answer at point E?
Answer
  • - lésion segmentaire d’aspect homogène de pneumonie
  • - exsudat œdémateux
  • - la paroi alvéolaire congestive
  • - alvéolite suppurée
  • - des neutrophiles

Question 61

Question
What is the correct answer at point C?
Answer
  • - lésion segmentaire d’aspect homogène de pneumonie
  • - exsudat œdémateux
  • - la paroi alvéolaire congestive
  • - alvéolite suppurée
  • - des neutrophiles

Question 62

Question
What is the correct answer at point A?
Answer
  • - prolifération conjonctive diffuse
  • - canaux galactophoriques dilatés
  • - stroma myxoïde
  • - formation épithéliale proliférant
  • - fibrocyte

Question 63

Question
What is the correct answer at point B?
Answer
  • - prolifération conjonctive diffuse
  • - canaux galactophoriques dilatés
  • - stroma myxoïde
  • - formation épithéliale proliférant
  • - fibrocyte

Question 64

Question
What is the correct answer at point C?
Answer
  • - prolifération conjonctive diffuse
  • - canaux galactophoriques dilatés
  • - stroma myxoïde
  • - formation épithéliale proliférant
  • - fibrocyte

Question 65

Question
What is the correct answer at point D?
Answer
  • - prolifération conjonctive diffuse
  • - canaux galactophoriques dilatés
  • - stroma myxoïde
  • - formation épithéliale proliférant
  • - fibrocyte

Question 66

Question
What is the correct answer at point E?
Answer
  • - prolifération conjonctive diffuse
  • - canaux galactophoriques dilatés
  • - stroma myxoïde
  • - formation épithéliale proliférant
  • - fibrocyte

Question 67

Question
What is the correct answer at point A?
Answer
  • - cristaux d’urate de sodium
  • - dépôt d’urate de sodium
  • - granulome à corps étranger
  • - cellules inflammatoires
  • - cellules géantes à corps étranger

Question 68

Question
What is the correct answer at point B?
Answer
  • - cristaux d’urate de sodium
  • - dépôt d’urate de sodium
  • - granulome à corps étranger
  • - cellules inflammatoires
  • - cellules géantes à corps étranger

Question 69

Question
What is the correct answer at point C?
Answer
  • - cristaux d’urate de sodium
  • - dépôt d’urate de sodium
  • - granulome à corps étranger
  • - cellules inflammatoires
  • - cellules géantes à corps étranger

Question 70

Question
What is the correct answer at point D?
Answer
  • - cristaux d’urate de sodium
  • - dépôt d’urate de sodium
  • - granulome à corps étranger
  • - cellules inflammatoires
  • - cellules géantes à corps étranger

Question 71

Question
What is the correct answer at point E?
Answer
  • - cristaux d’urate de sodium
  • - dépôt d’urate de sodium
  • - granulome à corps étranger
  • - cellules inflammatoires
  • - cellules géantes à corps étranger

Question 72

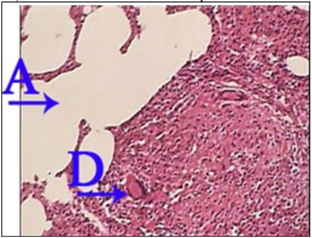
Question
What is the correct answer at point A?
Answer
  • - lésion segmentaire hétérogène
  • - lésion de la muqueuse bronchique
  • - lésion alvéolites suppurée
  • - épithélium respiratoire
  • - lumière comblée de nécrose suppurée

Question 73

Question
What is the correct answer at point B?
Answer
  • - lésion segmentaire hétérogène
  • - lésion de la muqueuse bronchique
  • - lésion alvéolites suppurée
  • - épithélium respiratoire
  • - lumière comblée de nécrose suppurée

Question 74

Question
What is the correct answer at point C?
Answer
  • - lésion segmentaire hétérogène
  • - lésion de la muqueuse bronchique
  • - lésion alvéolites suppurée
  • - épithélium respiratoire
  • - lumière comblée de nécrose suppurée

Question 75

Question
What is the correct answer at point D?
Answer
  • - lésion segmentaire hétérogène
  • -lésion de la muqueuse bronchique
  • - lésion alvéolites suppurée
  • - épithélium respiratoire
  • - lumière comblée de nécrose suppurée

Question 76

Question
What is the correct answer at point E?
Answer
  • - lésion segmentaire hétérogène
  • - lésion de la muqueuse bronchique
  • - lésion alvéolites suppurée
  • - épithélium respiratoire
  • - lumière comblée de nécrose suppurée

Question 77

Question
What is the correct answer at point A?
Answer
  • - muqueuse appendiculaire ulcérée
  • - glande de Lieberkuhn
  • - lumière contenant du pus
  • - produit de nécrose hémorragique
  • - infiltrat inflammatoire dans le stroma

Question 78

Question
What is the correct answer at point B?
Answer
  • - muqueuse appendiculaire ulcérée
  • - glande de Lieberkuhn
  • - lumière contenant du pus
  • - produit de nécrose hémorragique
  • - infiltrat inflammatoire dans le stroma

Question 79

Question
What is the correct answer at point C?
Answer
  • - muqueuse appendiculaire ulcérée
  • - glande de Lieberkuhn
  • - lumière contenant du pus
  • - produit de nécrose hémorragique
  • - infiltrat inflammatoire dans le stroma

Question 80

Question
What is the correct answer at point D?
Answer
  • - muqueuse appendiculaire ulcérée
  • - glande de Lieberkuhn
  • - lumière contenant du pus
  • - produit de nécrose hémorragique
  • - infiltrat inflammatoire dans le stroma

Question 81

Question
What is the correct answer at point E?
Answer
  • - muqueuse appendiculaire ulcérée
  • - glande de Lieberkuhn
  • - lumière contenant du pus
  • - produit de nécrose hémorragique
  • - infiltrat inflammatoire dans le stroma

Question 82

Question
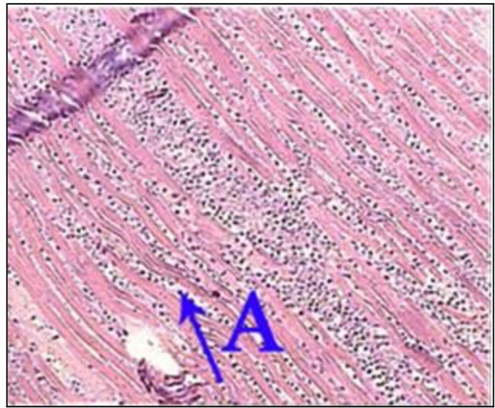
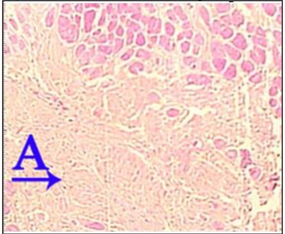
What is the correct answer at point A?
Answer
  • - endomysium infiltré d’œdème
  • - cellules myocardiques nécrosées
  • - striation transversale
  • - cellule myocardique dégénérée
  • - cellule myocardique survivante

Question 83

Question
What is the correct answer at point B?
Answer
  • - endomysium infiltré d’œdème
  • - cellules myocardiques nécrosées
  • - striation transversale
  • - cellule myocardique dégénérée
  • - cellule myocardique survivante

Question 84

Question
What is the correct answer at point C?
Answer
  • - endomysium infiltré d’œdème
  • - cellules myocardiques nécrosées
  • - striation transversale
  • - cellule myocardique dégénérée
  • - cellule myocardique survivante

Question 85

Question
What is the correct answer at point D?
Answer
  • - endomysium infiltré d’œdème
  • - cellules myocardiques nécrosées
  • - striation transversale
  • - cellule myocardique dégénérée
  • - cellule myocardique survivante

Question 86

Question
What is the correct answer at point E?
Answer
  • - endomysium infiltré d’œdème
  • - cellules myocardiques nécrosées
  • - striation transversale
  • - cellule myocardique dégénérée
  • - cellule myocardique survivante

Question 87

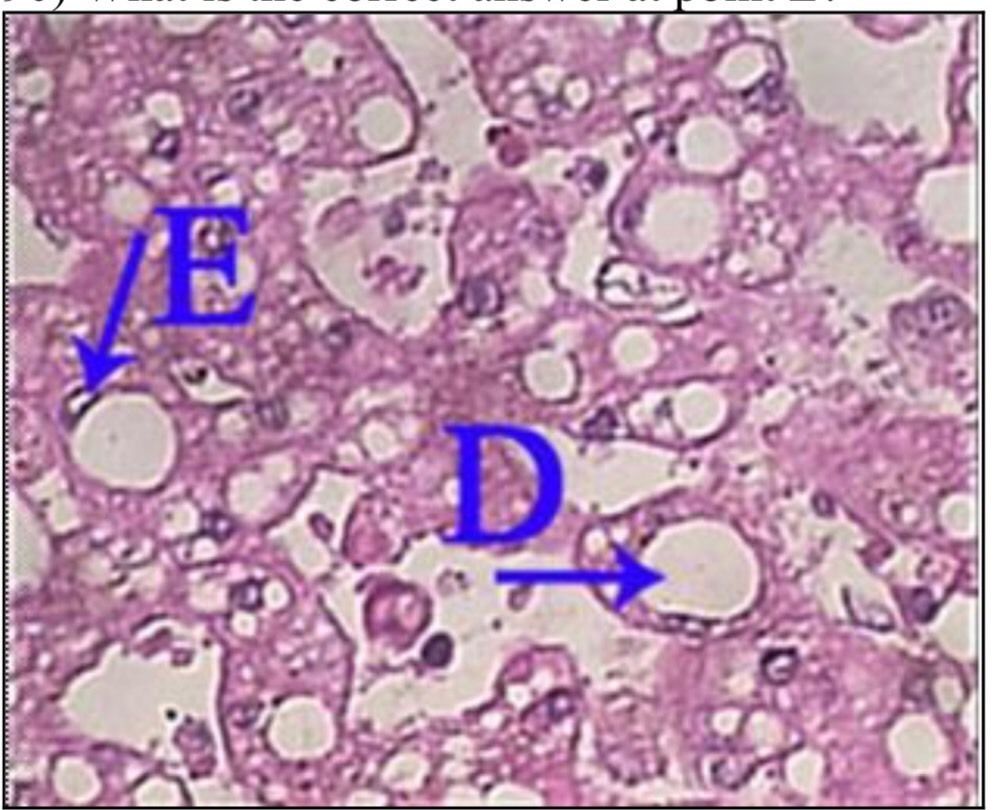
Question
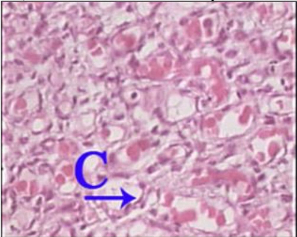
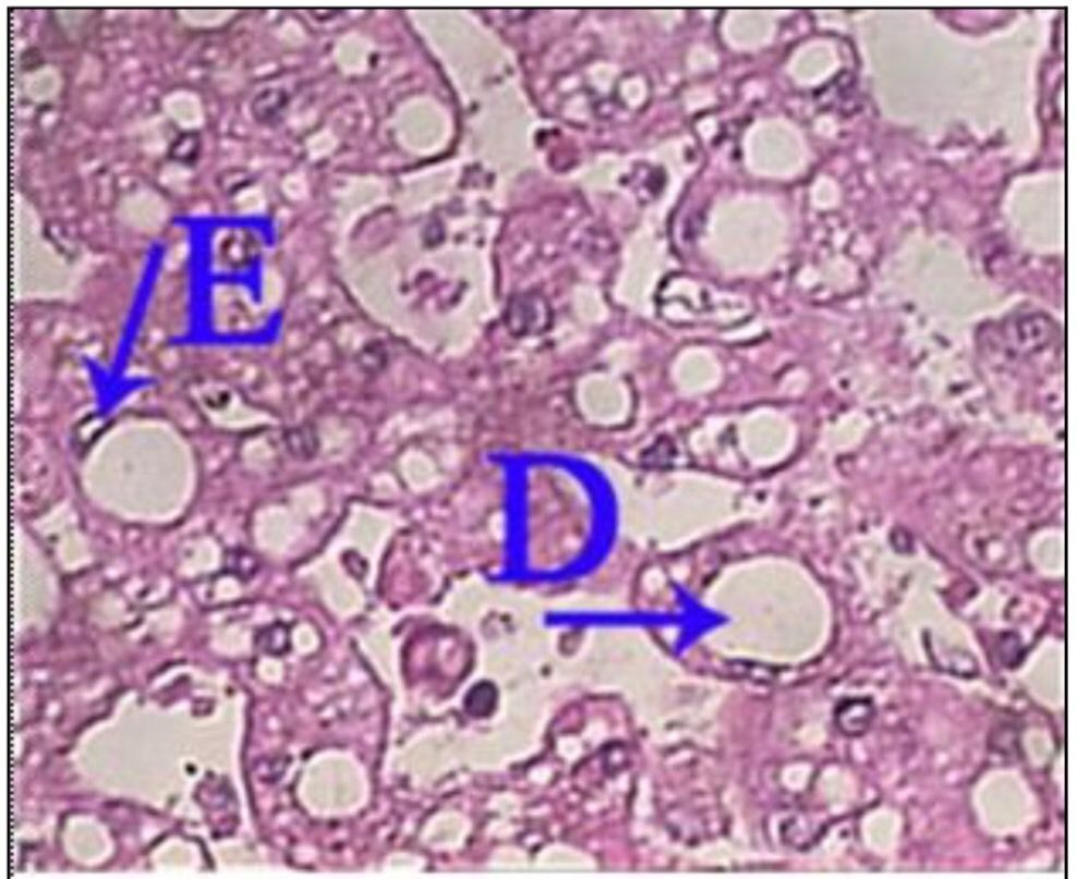
What is the correct answer at point A?
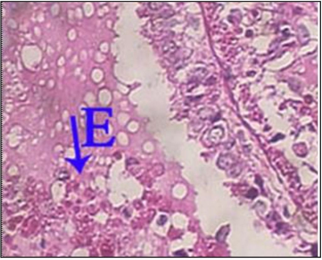
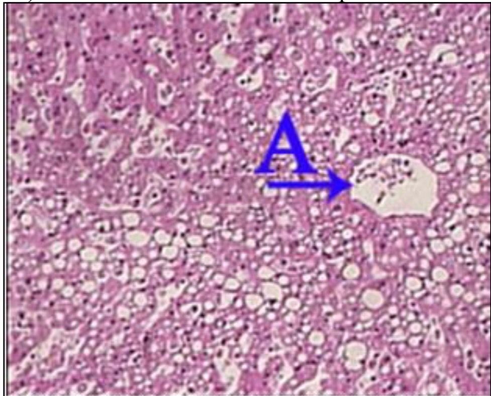
Answer
  • - veine centrolobulaire
  • - stéatose médiolobulaire
  • - travée hépatocellulaire
  • - vacuole de graisse
  • - noyau de l’hépatocyte

Question 88

Question
What is the correct answer at point B?
Answer
  • - veine centrolobulaire
  • - stéatose médiolobulaire
  • - travée hépatocellulaire
  • - vacuole de graisse
  • - noyau de l’hépatocyte

Question 89

Question
What is the correct answer at point C?
Answer
  • - veine centrolobulaire
  • - stéatose médiolobulaire
  • - travée hépatocellulaire
  • - vacuole de graisse
  • - noyau de l’hépatocyte

Question 90

Question
What is the correct answer at point D?
Answer
  • - veine centrolobulaire
  • - stéatose médiolobulaire
  • - travée hépatocellulaire
  • - vacuole de graisse
  • - noyau de l’hépatocyte

Question 91

Question
What is the correct answer at point E?
Answer
  • - veine centrolobulaire
  • - stéatose médiolobulaire
  • - travée hépatocellulaire
  • - vacuole de graisse
  • - noyau de l’hépatocyte

Question 92

Question
What is the correct answer at point A?
Answer
  • - alvéole pulmonaire
  • - cellules géantes de Langhans
  • - granulome tuberculoïde
  • - cellule Langhans, noyau en fer à cheval
  • - plage de nécrose caséeuse

Question 93

Question
What is the correct answer at point B?
Answer
  • - alvéole pulmonaire
  • - cellules géantes de Langhans
  • - granulome tuberculoïde
  • - cellule Langhans, noyau en fer à cheval
  • - plage de nécrose caséeuse

Question 94

Question
What is the correct answer at point C?
Answer
  • - alvéole pulmonaire
  • - cellules géantes de Langhans
  • - granulome tuberculoïde
  • - cellule Langhans, noyau en fer à cheval
  • - plage de nécrose caséeuse

Question 95

Question
What is the correct answer at point D?
Answer
  • - alvéole pulmonaire
  • - cellules géantes de Langhans
  • - granulome tuberculoïde
  • - cellule Langhans, noyau en fer à cheval
  • - plage de nécrose caséeuse

Question 96

Question
What is the correct answer at point E?
Answer
  • - alvéole pulmonaire
  • - cellules géantes de Langhans
  • - granulome tuberculoïde
  • - cellule Langhans, noyau en fer à cheval
  • - plage de nécrose caséeuse

Question 97

Question
What is the correct answer at point A?
Answer
  • - bandes scléreuses
  • - cellule myocardique survivante
  • - tissu conjonctif riche en fibre collagène
  • - strie scalariforme
  • - striation transversale

Question 98

Question
What is the correct answer at point B?
Answer
  • - bandes scléreuses
  • - cellule myocardique survivante
  • - tissu conjonctif riche en fibre collagène
  • - strie scalariforme
  • - striation transversale

Question 99

Question
What is the correct answer at point C?
Answer
  • - bandes scléreuses
  • - cellule myocardique survivante
  • - tissu conjonctif riche en fibre collagène
  • - strie scalariforme
  • - striation transversale

Question 100

Question
What is the correct answer at point D?
Answer
  • - bandes scléreuses
  • - cellule myocardique survivante
  • - tissu conjonctif riche en fibre collagène
  • - strie scalariforme
  • - striation transversale

Question 101

Question
What is the correct answer at point E?
Answer
  • - bandes scléreuses
  • - cellule myocardique survivante
  • - tissu conjonctif riche en fibre collagène
  • - strie scalariforme
  • - striation transversale

Question 102

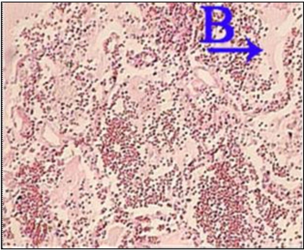
Question
What is the correct answer at point A?
Answer
  • - granulome tuberculoïde
  • - tissu lymphoïde
  • - plage de nécrose caséeuse
  • - cellule géante de Langhans
  • - cellule épithélioïde

Question 103

Question
What is the correct answer at point B?
Answer
  • - granulome tuberculoïde
  • - tissu lymphoïde
  • - plage de nécrose caséeuse
  • - cellule géante de Langhans
  • - cellule épithélioïde

Question 104

Question
What is the correct answer at point C?
Answer
  • - granulome tuberculoïde
  • - tissu lymphoïde
  • - plage de nécrose caséeuse
  • - cellule géante de Langhans
  • - cellule épithélioïde

Question 105

Question
What is the correct answer at point D?
Answer
  • - granulome tuberculoïde
  • - tissu lymphoïde
  • - plage de nécrose caséeuse
  • - cellule géante de Langhans
  • - cellule épithélioïde

Question 106

Question
What is the correct answer at point E?
Answer
  • - granulome tuberculoïde
  • - tissu lymphoïde
  • - plage de nécrose caséeuse
  • - cellule géante de Langhans
  • - cellule épithélioïde

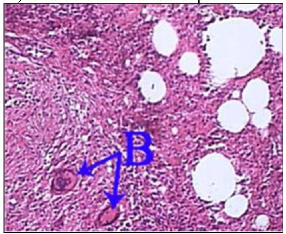
Question 107

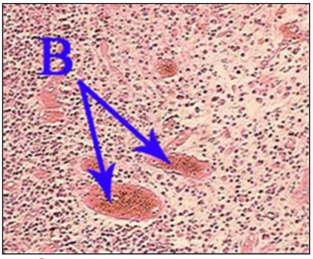
Question
What is the correct answer at point A?
Answer
  • - formation vasculaire de l’hémangiome
  • - septa conjonctif
  • - endothélium capillaire
  • - globules rouges
  • - lumière contenant de globules rouges

Question 108

Question
What is the correct answer at point B?
Answer
  • - formation vasculaire de l’hémangiome
  • - septa conjonctif
  • - endothélium capillaire
  • - globules rouges
  • - lumière contenant de globules rouges

Question 109

Question
What is the correct answer at point C?
Answer
  • - formation vasculaire de l’hémangiome
  • - septa conjonctif
  • - endothélium capillaire
  • - globules rouges
  • - lumière contenant de globules rouges

Question 110

Question
What is the correct answer at point D?
Answer
  • - formation vasculaire de l’hémangiome
  • - septa conjonctif
  • - endothélium capillaire
  • - globules rouges
  • - lumière contenant de globules rouges

Question 111

Question
What is the correct answer at point E?
Answer
  • - formation vasculaire de l’hémangiome
  • - septa conjonctif
  • - endothélium capillaire
  • - globules rouges
  • - lumière contenant de globules rouges
Show full summary Hide full summary

Similar