Pathology Exam 1

Description

Practice exam for pathology exam 1.
K-WOW
Quiz by K-WOW, updated more than 1 year ago
K-WOW
Created by K-WOW about 10 years ago
216
8

Resource summary

Question 1

Question
What type of cellular adaptation is seen in this picture? (Hint: it's the prostate)
Answer
  • Hypertrophy
  • Hyperplasia
  • Metaplasia
  • Atrophy

Question 2

Question
What type of cellular adaptation is seen in this organ?
Answer
  • Hypertrophy
  • Hyperplasia
  • Metaplasia
  • Atrophy

Question 3

Question
The heart can undergo both hypertrophy and hyperplasia.
Answer
  • True
  • False

Question 4

Question
What type of cellular adaptation is seen in this picture?
Answer
  • Hypertrophy
  • Hyperplasia
  • Metaplasia
  • Atrophy

Question 5

Question
Which of the following is INCORRECT regarding metaplasia?
Answer
  • Most common change is columnar --> squamous
  • The new cell type is better capable of enduring the stressful environment
  • It is an irreversible process
  • It occurs in respiratory epithelium

Question 6

Question
The thyroid pictured on the right has undergone hyperplasia and hypertrophy.
Answer
  • True
  • False

Question 7

Question
Myocardial hypertrophy is always pathologic.
Answer
  • True
  • False

Question 8

Question
This patient with tonsilitis shows cells that have undergone:
Answer
  • Hypertrophy
  • Hyperplasia
  • Metaplasia
  • Atrophy

Question 9

Question
Vitamin A deficiency is associated with atrophy because the cells need Vitamin A for differentiation of specialized epithelium.
Answer
  • True
  • False

Question 10

Question
Which of the following is not associated with Hypoxemia?
Answer
  • Insufficient Oxygen
  • Ischemia
  • Hyperventilation
  • Pneumonia

Question 11

Question
Budd-Chiari Syndrome is an example of hypoperfusion of the tissue with blood leading to reduced supply of oxygen and substrates for glycolysis.
Answer
  • True
  • False

Question 12

Question
Methemoglobinemia can cause hypoxemia by creating a ventilation perfusion mismatch.
Answer
  • True
  • False

Question 13

Question
Which of the following is NOT associated with reversible changes of cell injury.
Answer
  • Karyorrhexis
  • ER swelling
  • Plasma membrane blebbing
  • Myelin figures in the cytoplasm

Question 14

Question
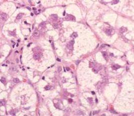
Which term best describes the nuclear changes shown?
Answer
  • Pyknosis: shrinkage and increased basophilia due to chromatin condensation
  • Karyorrhexis: fragmentation of pyknotic nuclei
  • Karyolysis: Decreased nuclear basophilia due to DNA degradation by nucleases
  • Loss of nuclei

Question 15

Question
What are the 2 main events that characterize irreversible cell injury ?
Answer
  • Disturbances in the membrane function and activation of the complement system
  • Glycogenolysis and increased pH in the interstitial fluid
  • Mitochondrial dysfunction and breakdown of cell membrane
  • Loss of microvilli and detachment of ribosomes from the ER

Question 16

Question
These hepatocytes have undergone reversible cell injury.
Answer
  • True
  • False

Question 17

Question
What type of necrosis is demonstrated in these images?
Answer
  • Gangrenous
  • Coagulative
  • Fat
  • Caseous

Question 18

Question
Liquefactive necrosis only occurs in the brain.
Answer
  • True
  • False

Question 19

Question
What is the type of necrosis demonstrated by these images?
Answer
  • Liquefactive
  • Fat
  • Coagulative
  • Caseous

Question 20

Question
Wet-gangrene is a superimposed bacterial infection in an area with necrosis due to loss of blood supply (coagulative necrosis).
Answer
  • True
  • False

Question 21

Question
Which of the following is NOT associated with the generation of reactive oxygen species?
Answer
  • Radiation
  • The electron transport chain
  • Leukocytes
  • Methylene blue

Question 22

Question
Ischemia-Reperfusion injuries can happen when blood flow is restored to ischemic viable tissue which is reversibly injured.
Answer
  • True
  • False

Question 23

Question
Antioxidants, chelators, and catalase are all examples of mechanisms that can remove ROS
Answer
  • True
  • False

Question 24

Question
Dystrophic calcification occurs in dead/dying tissues in the absence of systemic hypercalcemia. Cell loses ability to regulate intracellular calcium and crystalline calcium phosphate forms.
Answer
  • True
  • False

Question 25

Question
Which of the following is an exogenous pigment?
Answer
  • Hemosiderin
  • Lipofuscin
  • Carbon
  • Melanin

Question 26

Question
Which disease of premature aging has mutation in LMNA gene. The defective protein Progerin accumulates in the nucleus. Male pattern baldness, atherosclerosis and CAD are common with lifespans less than 10 years.
Answer
  • Bernard Soulier
  • Hutchinson Guilford Progeria
  • Factor V Mutation/Leiden Mutation
  • Kleinfelter's Syndrome

Question 27

Question
Werner Syndrome is a disease of premature aging due to a mutation in the WRN gene, which plays a role in telomere length maintenance and processing DNA damage.
Answer
  • True
  • False

Question 28

Question
Inflammation is a hallmark of apoptosis.
Answer
  • True
  • False

Question 29

Question
Which of the following are not associated with physiologic apoptosis?
Answer
  • The de-webbing of fingers during embryogenesis
  • The shedding of the endometrium during the menstrual cycle
  • The elimination of mutated genes that accumulate misfolded proteins
  • The elimination of self-reactive lymphocytes

Question 30

Question
Which of the following is NOT a main pathway in the initiation of apoptosis
Answer
  • Mitochondrial
  • Death-receptor mediated
  • Ubiquitin degradation
  • Cytotoxic CD8+ T-cell

Question 31

Question
Uterine serous carcinoma is an aggressive cancer with a possible alteration of p53 in the pathogenesis. Mutated p53 is incapable of inducing apoptosis and therefore cells with damaged DNA can continue to proliferate and undergo malignant transformation.
Answer
  • True
  • False

Question 32

Question
Which of the following is not a trigger for inflammation?
Answer
  • Injury
  • Insult
  • Integrins
  • Infection

Question 33

Question
Which of the following is a component of the acute inflammatory response?
Answer
  • Response time of days to years
  • Vascular proliferation and scarring
  • Fluid and plasma exudation
  • High specificity

Question 34

Question
Which statement is incorrect?
Answer
  • Calor and rubor are caused by vasodilation
  • Tumor is due to decreased vascular permeability
  • Dolor is an outcome of the kinin cascade
  • Histamine release can cause rubor

Question 35

Question
Which is incorrect regarding platelets?
Answer
  • They are formed from megakaryocytes in the bone marrow
  • They contain a pyknotic nuclei
  • They contain dense granules and alpha granules
  • They are part of the primary hemostatic plug

Question 36

Question
Which cells are likely to be seen in an allergic reaction?
Answer
  • Mast Cells
  • Eosinophils
  • Macrophages
  • Lymphocytes

Question 37

Question
Which statement is correct regarding mast cells?
Answer
  • They have cytoplasmic granules with lysosomal enzymes, cytokines, and major basic protein
  • They are also called polymorphonuclear cells
  • They are widely distributed throughout connective tissue
  • They can differentiate into dendritic cells

Question 38

Question
Transudates are high in protein and come from inflammation.
Answer
  • True
  • False

Question 39

Question
Which is not a pathway in the complement system?
Answer
  • Classical Pathway
  • Alternative Pathway
  • Mitochondrial (Intrinsic) Pathway
  • Lectin Pathway

Question 40

Question
Which factors are invovled with chemotaxis, recruitment and activation of leukocytes?
Answer
  • C3a & C5a
  • C5b complexs
  • C3a & C3b
  • IgG & IgM

Question 41

Question
Paroxysmal Nocturnal Hemoglobinuria (PNH) results in complement-mediated lysis of RBCs due to which of the following mechanisms/defects?
Answer
  • Loss of Hageman Factor (Factor VII)
  • Deficiency of the C1 inhibitor
  • Excessive production of the Membrane Attack Complex
  • Deficient plama lectin the the mannose binding lectin pathway

Question 42

Question
Which of the following is not a step in leukocyte Recruitment?
Answer
  • Adhesion
  • Transmigration
  • Transformation
  • Margination

Question 43

Question
During the resolution phase of acute inflammation, neutrophils undergo apoptosis.
Answer
  • True
  • False

Question 44

Question
The umbilical cord taking longer to separate after the baby is born may be a sign of Leukocyte Adhesion Deficiency.
Answer
  • True
  • False

Question 45

Question
Impaired fusion of phagosome with lysosomes, disordered trafficking of organelles, giant granules in leukocytes, and neutropenia are all symptoms of Chediak-Higashi Syndrome.
Answer
  • True
  • False
Show full summary Hide full summary

Similar

Smoking and Disease
gordonbrad
Inflammation- The Basics
gina_evans0312
Necrosis
Maddy Wallace
Infection and Inflammation
hammylovesyou
Extravasation and cardinal signs
sophietevans
Inflammation
21250592
Histamine & Histaminergic Receptors
gina_evans0312
Inflammation
sophietevans
Pathology
ivenkat
Dispepsia and Acid Secretion
gina_evans0312