ANZCA Part 2 MCQs - 2015

Description

ANZCA Part 2 MCQs - 2015 Sourced from http://www.kerrybrandis.com/wiki/mcqwiki/index.php?title=Finals_MCQs-Mar_2015
Branden Emmerson
Quiz by Branden Emmerson, updated more than 1 year ago
Branden Emmerson
Created by Branden Emmerson almost 10 years ago
258
2

Resource summary

Question 1

Question
A young man has removed his buprenorphine patch on the morning of surgery. How long will it be before his plasma level reaches half its original level?
Answer
  • 12 hours
  • 18 hours
  • 24 hours
  • 30 hours
  • 36 hours

Question 2

Question
A young man has removed his fentanyl patch on the morning of surgery. How long will it be before his plasma level reaches half its original level?
Answer
  • 12 hours
  • 18 hours
  • 24 hours
  • 30 hours
  • 36 hours

Question 3

Question
A 58 year old with a solitary hepatic metastasis from colon cancer is scheduled for a resection of a right lobe of liver. In order to manage the risk of intra-operative haemorrhage, it is most important to maintain:
Answer
  • High CVP in anticipation of heavy blood loss
  • Decreased MAP to reduce arterial bleeding
  • Decreased CVP to reduce venous bleeding
  • Normal MAP in anticipation of heavy blood loss
  • Normal CVP to ensure adequate filling of the heart

Question 4

Question
An 80 year old man is having a transuretheral bladder resection. The surgeon is using diathermy close to the lateral bladder wall which results in patient thigh adduction. The nerve involved is:
Answer
  • Inferior gluteal
  • Obturator
  • Pudendal
  • Scaitic
  • Superior gluteal

Question 5

Question
In Conn's syndrome, the usual derangement is
Answer
  • Hypoglycaemia, hypokalaemia and hypernatraemia
  • Hypoglycaemia, hyperkalaemia and hyponatraemia
  • Normoglycaemia, hypokalaemia and hypernatraemia
  • Normoglycaemia, hyperkalaemia and hyponatraemia
  • Hyperglycaemia, hyperkalaemia and hyponatraemia

Question 6

Question
A 60 year old woman is admitted to hospital with a subarachnoid haemorrhage. Her GCS is 11 and her blood pressure is 175/110 mmHg. She is administered oral nimodipine. The main reason for this treatment is:
Answer
  • Control her blood pressure
  • Manage acute hydrocephalus
  • Prevent delayed cerebral ischaemia
  • Reduce the risk of rebleeding
  • Treat angiographically-proven cerebral vasospasm

Question 7

Question
You are the anaesthetist at a Caesarean Section for a 36/40 gestation pregnancy. The baby at birth is floppy and apnoeic. You decide that positive pressure ventilation via mask is necessary. The recommended FiO2 is:
Answer
  • 0.21
  • 0.4
  • 0.6
  • 0.8
  • 1.0

Question 8

Question
You are inducing a 20-year-old female who has an IV cannula in her antecubital fossa which was inserted in the emergency department. She complains of pain after 10mL of propofol and it becomes clear that cannula is intraarterial. The best management option is:
Answer
  • Intraarterial injection of 5mL 1% lignocaine
  • Intraarterial injection of 30mL Normal Saline
  • Intraarterial injection of 50mg paparverine
  • Intraarterial injection of 500u heparin
  • Observation

Question 9

Question
When is it necessary to use glycine as irrigation fluid for TURP?
Answer
  • For monopolar diathermy
  • For bipolar diathermy
  • For Nd:Yag laser
  • Greenlight laser

Question 10

Question
A 69 yo man is brought into ED by ambulance with a compound fracture of his forearm from an unwitnessed fall. Has a history of schizophrenia and depression with uncertain medication compliance. He is confused and agitated with generalised rigidity but no hyperreflexia. Obs - HR 120, BP 160/90, RR 18, Sats 98 Temp 38.8 Likely Dx?
Answer
  • Heat stress from anticholinergic therapy
  • Hypoxic ischaemic encephalopathy
  • Neuroleptic malignant syndrome
  • Serotonin syndrome
  • Pain from the compound fracture

Question 11

Question
With surgical bleeding, the first clotting factor to reach a critical level is
Answer
  • I
  • II
  • VII
  • X
  • XIII

Question 12

Question
Anaesthetic and respirable gas supplies to wall outlets in the operating theatre is at pressures of
Answer
  • 200kPa
  • 400kPa
  • 500kPa
  • 750kPa
  • 1200kPa

Question 13

Question
The most useful sign to distinguish between severe serotonin syndrome and malignant hyperthermia are
Answer
  • Clonus
  • Hyperthermia
  • Metabolic acidosis
  • Muscle rigidity
  • Wheeze

Question 14

Question
A patient is having a laparotomy, who has been on prednisolone for 6 months at 10mg/day. What is the equivalent dose of dexamethasone?
Answer
  • 2mg
  • 4mg
  • 6mg
  • 8mg
  • 10mg

Question 15

Question
Patient having an operation of a lacerated index finger under regional anaesthesia. Which combination of nerves blocked on this axillary view will provide adequate cover?
Answer
  • 1 and 2
  • 1 and 3
  • 2 and 3
  • 2 and 4
  • 3 and 4

Question 16

Question
A 20kg child has just had a caudal block but immediately has a VF arrest and is non-responsive to usual treatments. What dose of intralipid 20% would you give?
Answer
  • 10ml
  • 20ml
  • 30ml
  • 40ml
  • 50ml

Question 17

Question
An epidural for labour is placed. She then has a headache postpartum. Which of the following is inconsistent with a post-dural puncture headache.
Answer
  • Headache located frontal only
  • Presents > 24 hrs post partum
  • presents immediately post partum
  • associated with auditory symptoms
  • associated with neck stiffness

Question 18

Question
An eclamptic patient is given IV Magnesium. Which of these symptoms is often associated with magnesium administration?
Answer
  • Bradyarrhythmia
  • Cardiac arrest
  • Hypotension
  • Depressed respiratory effort

Question 19

Question
The clinical sign that a lay person should use to decide whether to start CPR is:
Answer
  • absence of breathing
  • loss of central pulse
  • loss of peripheral pulse
  • loss of consciousness
  • obvious airway obstruction

Question 20

Question
What is the maintenance fluid rate for a 15kg child?
Answer
  • 60ml/hr
  • 50ml/hr

Question 21

Question
Patient's K+ is 7.0 what is the best initial management?
Answer
  • Give calcium
  • Give insulin and dextrose

Question 22

Question
Which patients require antibiotic prophylaxis?
Answer
  • Previous Mitral valve ring annuloplasty
  • Previous patch repair of vsd

Question 23

Question
A 63 yo lady has a difficult thyroidectomy for cancer. Immediately post extubation she develops stridor and respiratory distress.
Answer
  • Hypocalcaemia
  • Recurrent laryngeal nerve palsies
  • Tracheomalacia
  • Neck oedema and haematoma
  • Vocal cord oedema

Question 24

Question
A 23 yo has a traumatic brain injury. Which fluid is relatively contraindicated?
Answer
  • Albumin
  • Normal saline
  • CSL
  • Colloid
  • Something else

Question 25

Question
A 53 year old smoker presents for a laparotomy. PFT results are: FEV1 and FVC - both reduced FEV1/FVC 98% TLC, RV, DLCO 8 (30% of predicted) What is the cause?
Answer
  • PE
  • Obesity
  • Bilateral phrenic nerve palsies
  • Pulmonary fibrosis
  • COPD

Question 26

Question
A Traumatic Brain Injury patient has a cerebral angiogram that shows: Cerebral perfusion = 15mL/100g/min, Cerebral oxygen consumption = 3.5mL/100g/min. This is consistent with:
Answer
  • Cerebral hyperperfusion
  • Reperfusion injury
  • Cerebral ischaemia
  • Appropriate autoregulation
  • Cereberal vasoconstriction

Question 27

Question
Absolute contraindication to ECT:
Answer
  • Cochlear implants
  • Epilepsy
  • Pregnancy
  • Raised intracranial pressure
  • Recent myocardial infarction

Question 28

Question
FFP is given to a patient to treat hypofibrinogenaemia. The volume required to raise the fibrinogen by 1g/L is
Answer
  • 1mL/kg
  • 5mL/kg
  • 10mL/kg
  • 20mL/kg
  • 30mL/kg

Question 29

Question
The diluted thrombin time measures the anticoagulant activity of:
Answer
  • apixaban
  • rivaroxaban
  • dabigatran
  • warfarin
  • heparin

Question 30

Question
In a trauma patient the main mechanism by which hypothermia exacerbates bleeding is by
Answer
  • altered blood viscosity
  • causing DIC
  • inhibition of clotting factors
  • potentiation of anticoagulant effect of drugs used to treat DVT
  • decreases platelet number and function

Question 31

Question
A patient having a liver resection suffers a haemodynamically significant venous air embolism. During resuscitation how do you best position the patient?
Answer
  • head up, right side down
  • head up, left side down
  • head up, no lateral tilt
  • head down, right side down
  • head down, left side down

Question 32

Question
In a normal adult what amount of IV potassium chloride is needed to raise the serum potassium from 2.8 to 3.8mmol/L?
Answer
  • 10mmol
  • 20mmol
  • 50mmol
  • 100mmol
  • 200mmol

Question 33

Question
In a haemodynamically stable 20 year old man with blunt chest trauma, the best screening test to diagnose cardiac injury requiring treatment is:
Answer
  • CXR
  • serum CK-MB
  • serum troponin
  • 12 lead ECG
  • Transthoracic Echocardiogram

Question 34

Question
With regards to medical ethics, the concept of fidelity involves:
Answer
  • equitable distribution of resources
  • following a professional code of conduct
  • promoting well being
  • wise use of resources
  • witholding of futile treatments

Question 35

Question
What is the correct position for the tip of a PICC in a child?
Answer
  • Carina
  • Below right tracheobronchial angle
  • Above right heart border
  • Sternoclavicular junction

Question 36

Question
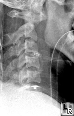
What is the diagnosis?
Answer
  • Atlantoaxial instability
  • Retropharyngeal haematoma (?or abscess)
  • Tear drop fracture
  • Epiglottitis
  • Unilateral facet joint dislocation

Question 37

Question
According to the ANZCA endorsed guidelines, what is the correct colour for the label for a subcutaneous ketamine infusion?
Answer
  • Pink
  • Red
  • Beige
  • Blue
  • Yellow

Question 38

Question
Prior to nasal intubation you spray Lignocaine/Phenylephrine preparation (CoPhenylcaine) into the nose. Some lands in the eye. What happens?
Answer
  • Ecchymosis
  • Miosis
  • Mydriasis
  • Proptosis
  • Nystagmus

Question 39

Question
You trial a new drug to prevent PONV. It is 50% more effective than the current drug. Four percent of people still experience PONV with the new drug. How many people need to receive the new drug in place of the current drug to have one person less suffering from PONV?
Answer
  • 2
  • 8
  • 15
  • 25
  • 33

Question 40

Question
What does a white cylinder with a grey coloured shoulder/neck contain?
Answer
  • Medical air
  • Carbon Dioxide
  • Helium
  • Oxygen
  • Argon

Question 41

Question
The best solution to ensure asepsis prior to neuraxial anaesthesia is:
Answer
  • 0.5% Chlorhexidine
  • 0.5% Chlorhexidine with 70% alcohol
  • 5% Povidine Iodine
  • 5% Povidine Iodine with 70% alcohol
  • 10% Povidine Iodine

Question 42

Question
You are anaesthetising a 25 year male for an open appendicectomy. He has a Fontans circulation on a background of tricuspid atresia. The best strategy to manage his ventilation intraoperatively would be:
Answer
  • Ensure adequate PEEP
  • Decrease inspiratory time
  • Alter the I:E Ratio from 1:3 to 1:1.2
  • Increase Inspiratory time but with reduced inspiratory pressures
  • Ensure adequate spontaneous ventilation

Question 43

Question
You are anaesthetising a 70 year old woman for a CABG with a pulmonary artery catheter in situ. After separation from bypass you notice frank, copious blood rising in the endotracheal tube. Your immediate action should be to:
Answer
  • Check ACT
  • Insert a double lumen tube
  • Reinstate bypass
  • Administer protamine
  • Pull back the pulmonary artery catheter several centimetres

Question 44

Question
Consider the following arterial blood gases. (Ref ranges in brackets) -pH 7.28 -PaCO2 36 -Bicarbonate 18 mmol.l-1 (18-25) -Base excess -7 mmol.l-1 (-4- +3) -Na+ 142 mmol.l-1 (135-145) -Cl- 112 mmol.l-1 (98-110) These blood gases are consistent with:
Answer
  • acute renal failure
  • diabetic ketoacidosis
  • ethylene glycol overdose
  • intraoperative infusion of 6 litres of normal saline
  • salicylate overdose

Question 45

Question
A 30 year old woman is admitted to ICU after a 500mg/kg aspirin overdose. What is the most effective therapy to enhance her elimination of the aspirin?
Answer
  • Frusemide
  • Haemodialysis
  • Mannitol
  • 0.9% sodium chloride
  • Sodium bicarbonate

Question 46

Question
MELD score: INR, Cr, Na, and
Answer
  • albumin
  • ALT
  • AST
  • bilirubin
  • fibrinogen

Question 47

Question
Endovascular coiling of cerebral aneurysm under GA, patient suddenly develop hypertension. What is the most likely cause?
Answer
  • Acute hydrocephalus
  • Rupture of aneurysm
  • Contrast reaction
  • Cerebral embolism
  • Nothing

Question 48

Question
A 70 year old is is intubated and ventilated post-laparotomy. He has CSL running @60ml/hr, with an NGT on suction with continuing high output. His ABG shows an appropriate pO2, pCO2 32, pH 7.66, Na 144, K 3.5, Cl 76. He has a normal creatinine and raised urea. How should you improve his acid base status? (Had a very very very long stem, with very long answers, but this was the gist, and I'm pretty confident with the answers except the first 2 fluid options).
Answer
  • Leave minute ventilation unchanged, (?leave fluids unchanged), commence PPI
  • Leave minute ventilation unchanged, (?leave fluids unchanged), commence acetazolamide
  • Increase minute ventilation, change IVF to normal saline, commence PPI
  • Increase minute ventilation, increase the fluid rate, commence acetazolamide
  • Increase minute ventilation, leave fluids unchanged, commence acetazolamide

Question 49

Question
What is the most sensitive monitor for detecting a venous air embolus during neuroanaesthesia?
Answer
  • transoesophageal electrocardiography (yes - it said electro)
  • precordial Doppler
  • precordial stethoscope
  • capnography
Show full summary Hide full summary

Similar

Biochemistry MCQ Exam 1- PMU 2nd Year
Med Student
OCR GCSE History-Paper Two: The Liberal Reforms 1906-14 Poverty to Welfare State NEW FOR 2015!!!
I Turner
Carbohydrates
Julia Romanów
Microbiology MCQs 3rd Year Final- PMU
Med Student
Anatomy and Physiology
pressey_property
Science Final Study Guide
Caroline Conlan
APUSH End-of-Year Cram Exam: Set 1
Nathaniel Rodriguez
sec + final
maxwell3254
CCNA Security Final Exam
Maikel Degrande
PMU - 2nd Semester Anatomy - CNS (Skull)
Sole C
CCNP TShoot Final
palciny