Practice Set (6) - Artifacts and Corrections

Description

Diploma MR Quiz on Practice Set (6) - Artifacts and Corrections, created by S L on 30/01/2016.
S L
Quiz by S L, updated more than 1 year ago
S L
Created by S L almost 10 years ago
73
1

Resource summary

Question 1

Question
An image artifact caused by anatomical motion along a gradient is known as what type of artifact
Answer
  • Ringing
  • Aliasing
  • Volume averaging
  • Phase mismapping

Question 2

Question
Another name for phase mismapping artifact is
Answer
  • Ringing
  • Aliasing
  • Ghosting
  • Truncation

Question 3

Question
An example ofphase mismapping artifact is
Answer
  • Cardiac motion
  • Flow motion
  • Respiratory motion
  • Cardiac motion & Flow motion & Respiratory motion

Question 4

Question
An example of aperiodic motion is
Answer
  • Cardiac motion
  • Flow motion
  • Respiratory motion
  • Peristalsis motion

Question 5

Question
Ghosting artifact on an MR image caused by the heart can be decreased by which of the following methods
Answer
  • Decreasing bandwidth
  • Peripheral compensation
  • Cardiac gating
  • Respiratory compensation

Question 6

Question
Motion artifact on an MR image caused by flowing blood or CSF can be decreased by which of the following methods
Answer
  • Respiratory compensaton
  • Patient education
  • Gradient moment nulling
  • Respiratory gating

Question 7

Question
Peripheral gating is a technique used to decrease what type of motion artifact
Answer
  • CSF pulsation motion
  • Cardiac motion
  • Swallowing
  • Respiratory motion

Question 8

Question
A saturation pulse is a technique used to reduce what type of motion artifact
Answer
  • Blood flow motion
  • Respiratory motion
  • Swallowing motion
  • All of the above

Question 9

Question
Phase mismapping artifact always occurs in which direction of the MR image
Answer
  • Frequency direction
  • Phase direction
  • Slice selection direction
  • Readout direction

Question 10

Question
Phase mismapping artifact caused by respiratory motion can be decreased by which method
Answer
  • Presaturation pulse
  • Swapping phase and frequency direction
  • Respiratory compensation
  • All of the above

Question 11

Question
Gradient moment nulling is most effective in reducing flow related motion in which type of flow
Answer
  • Slow flow
  • Fast flow
  • Inplane flow
  • Slow flow and inplane flow

Question 12

Question
The artifact that is produced when anatomy that is outside the FOV is mapped within the FOV is known as
Answer
  • Phase mismapping
  • Aliasing
  • Partial volume averaging
  • Magnetic susceptibility

Question 13

Question
Another name for aliasing artifact is
Answer
  • Foldover artifact
  • Ringing artifact
  • Wraparound artifact
  • Foldover artifact & Wraparound artifact

Question 14

Question
Wraparound artifact occurs in which direction of an MR image
Answer
  • Phase direction
  • Frequency direction
  • Slice selection direction
  • Phase direction & Frequency direction

Question 15

Question
Wraparound artifact caused by undersampling of frequencies in the readout direction is known as
Answer
  • Phase wrap
  • Frequency wrap
  • Gibbs wrap
  • Truncation

Question 16

Question
Foldover artifact caused by undersampling of signal in the phase encoding direction is known as
Answer
  • Phase wrap
  • Frequency wrap
  • Gibbs wrap
  • None of the above

Question 17

Question
Aliasing artifact in the frequency direction can be corrected by which of the following methods
Answer
  • Decreasing the FOV
  • Increasing the matrix
  • Filtering the frequencies outside the FOV in the phase direction
  • Filtering the frequencies outside the FOV in the frequency direction

Question 18

Question
Foldover artifact in the phase direction can be corrected by which of the following methods
Answer
  • Oversampling the signal outside the FOV
  • Increasing the FOV
  • Using saturation pulses outside the FOV
  • All of the above

Question 19

Question
The precessional frequency of hydrogen is influenced by its chemical environment
Answer
  • True
  • False

Question 20

Question
In fat, the hydrogen atom is bound with what other type of atom
Answer
  • Oxygen
  • Nitrogen
  • Helium
  • Carbon

Question 21

Question
In water, the hydrogen atom is bound with what other type of atom
Answer
  • Oxygen
  • Nitrogen
  • Helium
  • Carbon

Question 22

Question
The artifact that is caused due to the difference in precessional frequencies between fat and water is called
Answer
  • Magnetic susceptibility
  • Chemical shift
  • Truncation
  • Aliasing

Question 23

Question
In a 1.5 tesla magnet, the difference in the precessional frequency between fat and water is
Answer
  • 250 MHz
  • 210 MHz
  • 220 Watts
  • 220 Hz

Question 24

Question
In a 1.0 tesla magnet, the difference in the precessional frequency between fat and water is
Answer
  • 130 MHz
  • 147 Hz
  • 200 Hz
  • 220 Hz

Question 25

Question
Chemical shift artifact occurs in which direction of the MR image
Answer
  • Phase encoding direction
  • Frequency encoding direction
  • Slice selection direction
  • None of the above

Question 26

Question
In an MR image, the degree of chemical shift artifact depends upon which parameter
Answer
  • Receive bandwidth
  • Size of the FOV
  • Magnetic field strength
  • All of the above

Question 27

Question
Chemical shift artifact can be minimized by which of the following methods
Answer
  • Minimizing the FOV
  • Increasing the receive bandwidth
  • Utilizing chemical saturation
  • All of the above

Question 28

Question
The artifact that is caused by the phase differences between fat and water is known as
Answer
  • Chemical shift
  • Phase wrap
  • Chemical misregistration
  • Ringing

Question 29

Question
Chemical misregistration artifact most commonly occurs in which direction of the MR image
Answer
  • Phase encoding direction
  • Frequency encoding direction
  • Slice selection direction
  • None of the above

Question 30

Question
Chemical misregistration artifact is most likely to affect which type of pulse sequence
Answer
  • Spin echo pulse sequences
  • Inversion recovery pulse sequences
  • Gradient echo pulse sequences
  • None of the above

Question 31

Question
Which imaging parameter affects the amount of chemical misregistration that will be seen on an image
Answer
  • TR
  • TI
  • TE
  • NEX

Question 32

Question
At 1.5 tesla, to reduce chemical misregistration artifact, the TE should be a multiple of what time
Answer
  • 3.1 ms
  • 4.2 ms
  • 6.6 ms
  • 7.3 ms

Question 33

Question
At 0.5 tesla, to reduce chemical misregistration artifact, the TE should be a multiple of what time
Answer
  • 3.1 ms
  • 4.2 ms
  • 6.6 ms
  • 7.0 ms

Question 34

Question
The time that both fat and water are in phase with each other is known as
Answer
  • Peroidicity
  • Repetition time
  • Inversion time
  • None of the above

Question 35

Question
Another name for truncation artifact is
Answer
  • Foldover artifact
  • Gibbs artifact
  • Ringing artifact
  • Gibbs artifact & Ringing artifact

Question 36

Question
The artifact that appears as a low intensity band in areas of high intensity due to undersampling is known as
Answer
  • Gibbs artifact
  • Truncation artifact
  • Ringing artifact
  • All of the above

Question 37

Question
Gibbs artifact can be decreased by ________ the number of phase encoding steps
Answer
  • Increasing
  • Decreasing

Question 38

Question
Truncation artifact occurs in which direction of the MRl image
Answer
  • Phase encoding direction
  • Frequency encoding direction
  • Slice selection direction
  • None of the above

Question 39

Question
Metal in the patient, in the area that is being scanned, will most likely create what type of artifact
Answer
  • Foldover artifact
  • Chemical shift artifact
  • Truncation artifact
  • Magnetic susceptability

Question 40

Question
Magnetic susceptibility artifact is most prominent in what type of pulse sequence
Answer
  • Spin echo
  • Inversion recovery
  • Gradient echo
  • None of the above

Question 41

Question
Magnetic susceptibility artifact can be used to help diagnose what pathology
Answer
  • Torn meniscus
  • Herniated nucleus pulposis
  • Pituitary adenoma
  • Hemorrhage

Question 42

Question
An artifact that is caused by an external radio frequency leak is known as
Answer
  • Shading artifact
  • Zipper artifact
  • Starring artifact
  • Herringbone

Question 43

Question
In clinical MRI, what method is used to prevent external radio frequency from affecting the MRI image
Answer
  • Copper shielded room
  • Iron shielded magnet
  • Passive shimming
  • None of the above

Question 44

Question
The artifact that is produced by overlapping radio frequency pulses in adjacent slices is known as
Answer
  • Cross excitation artifact
  • Aliasing artifact
  • Truncation artifact
  • Phase mismapping artifact

Question 45

Question
The artifact produced by the transfer of spin lattice energy from one slice to its adjacent slice is known as
Answer
  • Wraparound artifact
  • Ringing artifact
  • Cross talk artifact
  • Magnetic susceptibility

Question 46

Question
Cross excitation artifact can be eliminated by which ofthe following methods
Answer
  • Increasing interslice gap
  • Using a sine RF pulse
  • Interleaving
  • All of the above

Question 47

Question
The technique used to eliminate cross excitation artifact that acquires data in two separate acquisitions from alternating slices is known as
Answer
  • Aliasing
  • Interleaving
  • Spin warping
  • None of the above

Question 48

Question
To decrease the chances of cross excitation there should be at least what percentage of interslice gap
Answer
  • 10 %
  • 15 %
  • 30 %
  • 50 %

Question 49

Question
Cross excitation artifact is less likely to occur with which pulse sequence
Answer
  • Spin echo, 90 degree flip angle, 10% interslice gap
  • Spin echo, 90 degree flip angle, 50% interslice gap
  • Gradient echo, 15 degree flip angle, 30% interslice gap
  • Dual echo, 90 degree flip angle, 25% interslice gap

Question 50

Question
The artifact that is produced when many structures with different signal intensities are averaged together within a pixel is known as
Answer
  • Cross talk artifact
  • Truncation artifact
  • Partial volume averaging
  • Aliasing artifact

Question 51

Question
Volume averaging artifact can be reduced by which of the following methods
Answer
  • Increasing slice thickness
  • Decreasing slice thickness
  • Increasing NEX
  • Decreasing NEX

Question 52

Question
The artifact that is characterized by a loss of signal intensity in one area of an image is known as
Answer
  • Aliasing artifact
  • Ringing artifact
  • Shading artifact
  • None of the above

Question 53

Question
Shading artifact can be caused by what factor(s)
Answer
  • Inhomogeneity of the external magnetic field
  • Undersampling of phase encoding steps
  • Inhomogeneity of the RF pulse
  • Inhomogeneity of the external magnetic field & Inhomogeneity of the RF pulse

Question 54

Question
Data loss due to gradient instability, excessive noise, or tuning errors can cause an artifact with what type of appearance
Answer
  • Zippering
  • Shading
  • Staring
  • Herringbone

Question 55

Question
An artifact caused by faulty receiver attenuation settings during prescan is known as
Answer
  • Herringbone
  • Shading
  • Data clipping
  • Aliasing

Question 56

Question
Figure 6 - 1 displays an example of what type of artifact?
Answer
  • Aliasing
  • Truncation
  • Foldover
  • Magnetic Susceptibility

Question 57

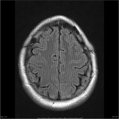
Question
Figure 6-2 displays an example of what type of artifact
Answer
  • Magnetic susceptibility
  • Phase wrap
  • RF zipper
  • Magnetic susceptibility & RF zipper

Question 58

Question
Figure 6-3 displays an example of what type of artifact
Answer
  • Ringing
  • Phase wrap
  • Chemical shift
  • Cross talk

Question 59

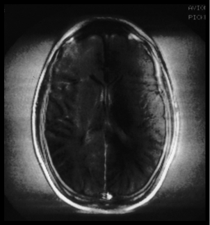
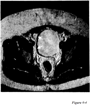
Question
Figure 6-4 displays an example of what type of artifact
Answer
  • Phase mismapping
  • Aliasing
  • Chemical shift
  • Cross excitation

Question 60

Question
Figure 6-5 displays an example of what type of artifact
Answer
  • Truncation
  • Aliasing
  • Cross excitation
  • Chemical shift

Question 61

Question
Figure 6-6 displays an example of what type of artifact
Answer
  • Aliasing
  • Truncation
  • Chemical shift
  • Phase mismapping

Question 62

Question
Figure 6-7 displays an example of what type of artifact
Answer
  • Aliasing
  • Truncation
  • Chemical shift
  • Phase mismapping
Show full summary Hide full summary

Similar

AQA (9-1) Topic 3
https:// revisechemistry.uk
9. Mänskliga rättigheter
Louise Prytz
TEXTS IN TIME
caitreble
cardiovascular-modified-release-designs
jenny schneider
MSR/MR Strategies
Kerr Smith
Mr
Sb Rt