Practice Set (10) - Cross Sectional Anatomy

Description

Diploma MR Quiz on Practice Set (10) - Cross Sectional Anatomy, created by S L on 31/01/2016.
S L
Quiz by S L, updated more than 1 year ago
S L
Created by S L almost 10 years ago
807
1

Resource summary

Question 1

Question
Label with just the letter A. Fourth ventricle, B. Pituitary gland, C. Cerebellum, D. Clivus, E. Cerebrum, F. Quadrigeminal body, G. Pons, H. Lateral ventricle, I. Medulla oblongata, J. Sphenoid sinus, K. Optic chiasm, L. Corpus callosum (genu), M. Corpus callosum (splenium), N. C-2, O. Thalamus, P. Cerebral peduncle
Answer
  • G
  • D
  • J
  • B
  • K
  • L
  • H
  • E
  • O
  • M
  • F
  • P
  • C
  • A
  • I
  • N

Question 2

Question
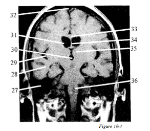
Label with just the letter: Q. Internal capsule, R. Lentiform nucleus, S. Superior sagittal sinus, T. Head of caudate nucleus, U. Thalamus, V. External capsule, W. Corpus callosum, X. Frontal lobe, Y. Occipital lobe, Z. Interhemispheric fissure
Answer
  • T
  • X
  • Q
  • Y
  • S
  • W
  • V
  • R
  • U
  • Z

Question 3

Question
Label with the letters: AA. Third ventricle, BB. Septum pellucidum, CC. Superior sagittal sinus, DD.Thalamus, EE. Lateral ventricle, FF. Temporal lobe, GG. Sylvian fissure, HH.Pons, II. Petrous ridge, JJ. Corpus callosum
Answer
  • II
  • FF
  • GG
  • AA
  • EE
  • CC
  • JJ
  • BB
  • DD
  • HH

Question 4

Question
Label with the letter: A. Intervertebral disk, B. Cerebellum, C. Trachea, D. Vertebral body C-5, F. Medulla oblongata, G.Cervical cord, H.CSF, I . Epiglottis, J. Vertebral body T-1, K. Spinous process
Answer
  • J
  • C
  • A
  • I
  • F
  • B
  • H
  • G
  • D
  • K

Question 5

Question
Label image with the letter: L. Jugular vein, M. Vertebral body, N. Trachea, O. Facet joint, P. Cervical cord, Q.CSF, R. Carotid artery
Answer
  • P
  • O
  • M
  • L
  • N
  • R
  • Q
Show full summary Hide full summary

Similar

AQA (9-1) Topic 3
https:// revisechemistry.uk
9. Mänskliga rättigheter
Louise Prytz
TEXTS IN TIME
caitreble
cardiovascular-modified-release-designs
jenny schneider
MSR/MR Strategies
Kerr Smith
Mr
Sb Rt