Acute myeloide leukemie en myelodysplastisch syndroom weblectures

Description

Ook: http://medicine.creighton.edu/mmsa/Pages/hematology.htm En voor een filmpje over AML: https://en.wikipedia.org/wiki/Acute_myeloid_leukemia
Lyanne Derksen
Quiz by Lyanne Derksen, updated more than 1 year ago
Lyanne Derksen
Created by Lyanne Derksen over 9 years ago
137
0

Resource summary

Question 1

Question
Acute myeloide leukemie wordt gedefinieerd als meer dan [blank_start]20[blank_end]% myeloide blasten in beenmerg. Er zijn per jaar [blank_start]450[blank_end] nieuwe gevallen in Nederland, waarbij 2/3 ouder dan [blank_start]60[blank_end] jaar is. De 10-jaars overlevingskans neemt [blank_start]af[blank_end] naarmate de patient ouder is.
Answer
  • 20
  • 450
  • 60
  • af

Question 2

Question
Diagnose komt vaak als een 'donderslag bij heldere hemel': wat langer vermoeid, een griepje dat niet overgaat. Dit komt door de toename van myeloide blasten, die de normale hematopoiese verdringen. Vul aan: - Lager aantal erytrocyten: [blank_start]anemie[blank_end] - Lager aantal granulocyten: [blank_start]infecties[blank_end] - Lager aantal trombocyten: [blank_start]bloedingsneiging[blank_end]
Answer
  • anemie
  • infecties
  • bloedingsneiging

Question 3

Question
Het perifere bloedbeeld van AML laat een hyperleukocytose zien.
Answer
  • True
  • False

Question 4

Question
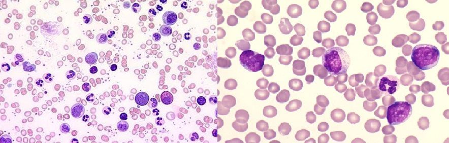
Welke neoplasieen zijn in deze perifere bloedbeelden te zien?
Answer
  • AML
  • CML
  • AML
  • CML

Question 5

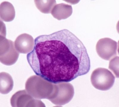
Question
De structuur die te zien is naast de kern van deze blast noemen we een [blank_start]Auerse staaf[blank_end].
Answer
  • Auerse staaf

Question 6

Question
Het beenmergaspiraat van een AML wordt uitgebreid geanalyseerd door middel van morfologie, immunofenotypering, cytogenetica en moleculaire diagnostiek. Welk van deze methoden is het belangrijkste voor het vaststellen van de loop van de behandeling en de prognose?
Answer
  • Morfologie
  • Immunofenotypering
  • Cytogenetica
  • Moleculaire diagnostiek

Question 7

Question
Lees onderstaande stellingen: 1. De behandeling bij AML draait om het 7+3 principe: dag 1-3 (idarubicine) en dag 1-7 (arabinofuranosyl cytidine), waarna vaak bestraling volgt. 2. Neutropenie en mucositis zijn mogelijke bijwerkingen van chemotherapie. 3. Patienten die in de 'good risk' AML-categorie vallen krijgen na hun behandeling een allogene stamceltransplantatie.
Answer
  • Alleen stelling 1 is juist.
  • Alleen stelling 2 is juist.
  • Alleen stelling 3 is juist.
  • Stelling 1 en 2 zijn juist.
  • Stelling 1 en 3 zijn juist.
  • Stelling 2 en 3 zijn juist.
  • Alle stellingen zijn juist.
  • Geen van alle stellingen zijn juist.

Question 8

Question
Bij een allogene stamceltransplantatie is graft-versus-host juist gewenst: donor T-cellen herkennen de leukemische gastheercellen. Allo-SCT werkt dus als immunotherapie.
Answer
  • True
  • False

Question 9

Question
Myelodysplastisch syndroom is in veel opzichten (morfologisch) verwant aan AML. In welk opzicht?
Answer
  • Het beenmerg toont ook >20% blasten.
  • Er is ongeveer evenveel dysplasie als bij AML.
  • Leeftijdscategorie (gemiddeld <60) komt overeen.
  • Beide ziekten kunnen zich presenteren met een pancytopenie.
Show full summary Hide full summary

Similar