Dental OSCE quiz 1

Description

Dental osce Leeds 4th yr 2016. Credit to Introduction to Orthodontics by Laura Mitchell for orthodontic information.
Rachael Eleanor Alexandra
Quiz by Rachael Eleanor Alexandra, updated more than 1 year ago
Rachael Eleanor Alexandra
Created by Rachael Eleanor Alexandra over 9 years ago
982
1

Resource summary

Question 1

Question
Is this impacted canine palatal or buccal to the centrals?
Answer
  • palatal
  • buccal

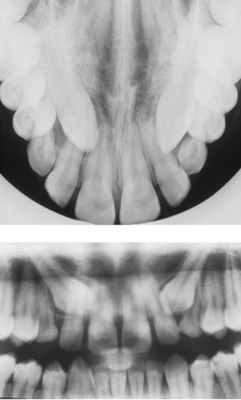
Question 2

Question
Is this impacted canine palatal or buccal to the arch?
Answer
  • Palatal
  • Buccal

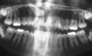
Question 3

Question
Are these impacted canines palatal or buccal to the arch?
Answer
  • Palatal
  • Buccal

Question 4

Question
1. Gain [blank_start]consent[blank_end]. Check for [blank_start]latex[blank_end] allergies, explain to patient the procedure and why we need the rubber raincoat. 2. Select clamp - [blank_start]DW[blank_end] for primary molars and premolars, [blank_start]FW[blank_end] for partially erupted molars, [blank_start]BW[blank_end] for permanent molars. 3. Tie [blank_start]floss[blank_end] around clamp before application 4. Rubber dam must be pre-[blank_start]punched[blank_end]. 3 overlapping holes for [blank_start]single[blank_end] tooth, 5-6 overlapping holes for [blank_start]trough[blank_end] 5. Clamp applied [blank_start]first[blank_end] without rubber dam 6. Apply rubber dam when clamp is [blank_start]secure[blank_end] - rock [blank_start]lingually[blank_end], then [blank_start]buccally[blank_end]. 7. [blank_start]Frame[blank_end] attached to support dam 8. [blank_start]Trough[blank_end] isolation required dam to be stretched to include all required teeth 9. Apply wedget or wedge to [blank_start]mesial[blank_end] aspect of most mesial isolated tooth.
Answer
  • consent
  • latex
  • DW
  • FW
  • BW
  • floss
  • punched
  • single
  • trough
  • first
  • secure
  • lingually
  • buccally
  • Frame
  • Trough
  • mesial

Question 5

Question
Label the image with different aspects required for an extra oral examination.
Answer
  • Facial appearance
  • Skin
  • Eyes
  • Ears
  • Neck
  • TMJ
  • MoM
  • Facial appearance
  • Skin
  • Eyes
  • Ears
  • Neck
  • TMJ
  • MoM
  • Facial appearance
  • Skin
  • Eyes
  • Ears
  • Neck
  • TMJ
  • MoM
  • Facial appearance
  • Skin
  • Eyes
  • Ears
  • Neck
  • TMJ
  • MoM
  • Facial appearance
  • Skin
  • Eyes
  • Ears
  • Neck
  • TMJ
  • MoM
  • Facial appearance
  • Skin
  • Eyes
  • Ears
  • Neck
  • TMJ
  • MoM
  • Facial appearance
  • Skin
  • Eyes
  • Ears
  • Neck
  • TMJ
  • MoM
  • Facial appearance
  • Skin
  • Eyes
  • Ears
  • Neck
  • TMJ
  • MoM
  • Thyroid
  • Thyroid
  • Thyroid
  • Thyroid
  • Thyroid
  • Thyroid
  • Thyroid
  • Thyroid

Question 6

Question
Label the correct lymph nodes for an EO exam from the dropdown menus
Answer
  • Preauricular
  • Mastoid (posterior auricular)
  • Occipital
  • Parotid
  • Submandibular
  • Submental
  • Preauricular
  • Mastoid (posterior auricular)
  • Occipital
  • Parotid
  • Submandibular
  • Submental
  • Preauricular
  • Mastoid (posterior auricular)
  • Occipital
  • Parotid
  • Submandibular
  • Submental
  • Preauricular
  • Mastoid (posterior auricular)
  • Occipital
  • Parotid
  • Submandibular
  • Submental
  • Preauricular
  • Mastoid (posterior auricular)
  • Occipital
  • Parotid
  • Submandibular
  • Submental
  • Preauricular
  • Mastoid (posterior auricular)
  • Occipital
  • Parotid
  • Submandibular
  • Submental
  • Deep cervical chain
  • Supraclavicular
  • Deep cervical chain
  • Supraclavicular
  • Deep cervical chain
  • Supraclavicular
  • Deep cervical chain
  • Supraclavicular
  • Deep cervical chain
  • Supraclavicular
  • Deep cervical chain
  • Supraclavicular
  • Preauricular
  • Mastoid (posterior auricular)
  • Occipital
  • Parotid
  • Submandibular
  • Submental
  • Deep cervical chain
  • Supraclavicular
  • Preauricular
  • Mastoid (posterior auricular)
  • Occipital
  • Parotid
  • Submandibular
  • Submental
  • Deep cervical chain
  • Supraclavicular

Question 7

Question
Label the image with muscles of mastication you should palpate during EO exam.
Answer
  • Temporalis
  • Trapezius
  • Masseter
  • Sternocleidomastoid
  • Temporalis
  • Masseter
  • Trapezius
  • Sternocleidomastoid
  • Temporalis
  • Masseter
  • Trapezius
  • Sternocleidomastoid
  • Temporalis
  • Masseter
  • Trapezius
  • Sternocleidomastoid

Question 8

Question
During a TMJ examination, you should stand behind the patient and palpate both joints [blank_start]simultaneously[blank_end]. The patient should be asked to [blank_start]open[blank_end] and close their mouth, and move their jaw [blank_start]laterally[blank_end]. You should note any clicking, [blank_start]locking[blank_end] (trismus), grinding or grating ([blank_start]crepitus[blank_end]), limited [blank_start]opening[blank_end], deviation, and pain.
Answer
  • simultaneously
  • open
  • laterally
  • locking
  • crepitus
  • opening

Question 9

Question
For an ID block you should do the following: 1. Explain what you are going to do; gain [blank_start]consent[blank_end]. Numbness will last for around [blank_start]2[blank_end] or [blank_start]3[blank_end] hours and patient should avoid hot drinks and [blank_start]biting[blank_end] their lip 2. Check for any [blank_start]allergies[blank_end] or contraindications. LA contains [blank_start]vasoconstrictors[blank_end] and an additive called [blank_start]sodium[blank_end] metabisulphate that could cause a reaction. 3. Check the [blank_start]expiry date[blank_end] on the cartridge, check your choice of [blank_start]vasoconstrictor[blank_end], check it has no [blank_start]air bubbles[blank_end]. 4. Dry mucosa and apply [blank_start]topical[blank_end] anaesthetic - xylonor gel contains [blank_start]xylocaine[blank_end]. 5. Put the needle together - long needles are coloured [blank_start]yellow[blank_end] and short needles [blank_start]blue[blank_end]. 6. Check the [blank_start]bung[blank_end] is orientated correctly! 7. Patient should open their mouth [blank_start]wide[blank_end] so you can visualise anatomical landmarks. Ensure you have the operating [blank_start]light[blank_end] on to visualise tissues for the block. 8. Palpate the [blank_start]coronoid process[blank_end] with your thumb at the greatest depression - known as the coronoid [blank_start]notch[blank_end] 9. Slide your thumb [blank_start]posteriorly[blank_end] until you can palpate the [blank_start]internal oblique ridge[blank_end]. 10. The syringe is positioned between the [blank_start]premolars[blank_end] on the opposite side and needle inserted at the level of the thumb. 11. The injection site is 1cm above the [blank_start]occlusal[blank_end] plane of the molars and medial to the thumb, lateral to the [blank_start]pterygomandibular[blank_end] raphe. 12. The needle is advanced around 2.5cm. [blank_start]Bone[blank_end] should be contacted to ensure correct position. 13. When the needle meets the middle section of the rams, withdraw slightly by 1 or 2 mm so that the needle is not [blank_start]subperiosteal[blank_end] 14. Make sure you [blank_start]aspirate[blank_end] at this point. 15. Inject [blank_start]slowly[blank_end] - 1.5ml or 2/3rds of a cartridge. This improves patient comfort and you can assess any patient [blank_start]reactions[blank_end] to the solution before you inject too much. 16. The rest of the cartridge is injected as you [blank_start]withdraw[blank_end] the needle to block the [blank_start]lingual[blank_end] nerve. 17. Double click the syringe and dispose in the [blank_start]sharps bin[blank_end] 18. Remove gloves and apply alcohol gel.
Answer
  • consent
  • 2
  • 3
  • biting
  • allergies
  • vasoconstrictors
  • sodium
  • expiry date
  • vasoconstrictor
  • air bubbles
  • topical
  • xylocaine
  • yellow
  • blue
  • bung
  • wide
  • light
  • coronoid process
  • notch
  • posteriorly
  • internal oblique ridge
  • premolars
  • occlusal
  • pterygomandibular
  • Bone
  • subperiosteal
  • aspirate
  • slowly
  • reactions
  • withdraw
  • lingual
  • sharps bin

Question 10

Question
What must you ensure you do after extracting a tooth? (check all that apply)
Answer
  • Allow socket to bleed freely
  • Give post operative instructions
  • Write notes on the computer
  • Compress socket with fingers
  • Get patient to bite down on rolled gauze
  • Allow patient to rinse socket with water
  • Allow patient to leave immediately
  • Check for haemostasis
  • Dispose of tooth immediately
  • Check for apices of tooth

Question 11

Question
How long should a patient NORMALLY take to achieve haemostasis post-extraction?
Answer
  • <5 minutes
  • <10 minutes
  • <20 minutes
  • >1 hour

Question 12

Question
How long should a patient wait before coming back to the LDI with a non healing socket or continued symptoms?
Answer
  • 5 days
  • 3 days
  • 7 days
  • 10 days
  • 2 weeks

Question 13

Question
How many times daily should a patient carry out salty mouth rinses on the day after an extraction?
Answer
  • Once
  • Twice
  • Three times a lady
  • Ten

Question 14

Question
What is the correct secondary movement for extraction of an UL5?
Answer
  • Palatal
  • Buccal and palatal
  • Rotational
  • Down

Question 15

Question
What is the primary movement for all dental extractions?
Answer
  • Apical
  • Buccal
  • Rotational
  • Coronal

Question 16

Question
What is the secondary movement for a LR2 extraction?
Answer
  • Rotational
  • Palatal
  • Lingual
  • Buccal

Question 17

Question
What movement is more likely to result in root fracture during extraction of upper molars?
Answer
  • Rotational
  • Palatal
  • Buccal
  • Apical

Question 18

Question
Luxators are used to: (tick all that apply)
Answer
  • Sever the periodontal ligament attachment
  • Expand the socket
  • Lever the tooth from the socket

Question 19

Question
This is an example of a
Answer
  • Luxator
  • Elevator
  • Forceps

Question 20

Question
This is an example of a:
Answer
  • Luxator
  • Elevator
  • Forceps

Question 21

Question
Which forceps would you most likely use for a lower premolar extraction?

Question 22

Question
Which forceps would you use for an upper left lateral incisor extraction?

Question 23

Question
You've just given a patient a new set of dentures and are giving them some advice. You advise them: - Leave dentures in for at least [blank_start]24[blank_end] hours initially - Feeling of compaction and excess [blank_start]saliva[blank_end] will [blank_start]decrease[blank_end] with time - There may be [blank_start]sore[blank_end] spots to begin with - Their lips will [blank_start]relax[blank_end] with time - Eat [blank_start]small[blank_end] sized pieces of food and eat [blank_start]evenly[blank_end] on [blank_start]both[blank_end] sides of mouth - Avoid [blank_start]sticky[blank_end] foods - [blank_start]Muscles[blank_end] need to be re educated to accommodate dentures - [blank_start]Clean[blank_end] denture using a soft nylon brush with [blank_start]soap[blank_end] over the sink. They can use [blank_start]disclosing[blank_end] solutions to help them clean. - Soak dentures overnight in denture cleanser ([blank_start]hypochlorite[blank_end] solution) - Clean mouth with warm [blank_start]salt[blank_end] water [blank_start]twice[blank_end] daily
Answer
  • 24
  • saliva
  • decrease
  • sore
  • relax
  • small
  • evenly
  • sticky
  • both
  • Muscles
  • Clean
  • soap
  • disclosing
  • hypochlorite
  • salt
  • twice

Question 24

Question
Unerupted incisors have several possible causes, these tend to be either [blank_start]hereditary[blank_end] or environmental in origin. Environmental causes include: 1. Trauma - [blank_start]avulsion[blank_end] or intrusion of the primary teeth that causes damage to the permanent tooth. This may include the root/crown axis to deviate, known as [blank_start]dilaceration[blank_end]. The permanent tooth may also become [blank_start]ankylosed[blank_end] to the bone. In these cases [blank_start]extraction[blank_end] may be required and tooth replacement options considered. 2. [blank_start]Retained[blank_end] primary teeth causing [blank_start]delayed[blank_end] eruption - this may cause a physical [blank_start]obstruction[blank_end] to the path of eruption of the permanent tooth. The most straightforward option here would be [blank_start]extraction[blank_end] of the primary tooth if there is no other obstruction and the teeth are close to [blank_start]eruption[blank_end]. Hereditary causes may include the presence of [blank_start]supernumerary[blank_end] teeth in the arch, [blank_start]cleft[blank_end] lip or palate, abnormal tooth/tissue ratio or other rarer conditions such as [blank_start]cleidocranial[blank_end] dysostosis. The other option is that the permanent teeth may be congenitally [blank_start]absent[blank_end]! According to the RCS guidelines, we should start monitoring unerupted incisors when: 1. [blank_start]Contralateral[blank_end] teeth erupted more than 6 months ago 2. Both centrals are unerupted and the lowers erupted more than [blank_start]12[blank_end] months ago 3. Deviation in the normal sequence of eruption During an intra oral examination, you may find that: - The primary teeth have been retained beyond normal [blank_start]exfoliation[blank_end] dates (which is [blank_start]6[blank_end] or [blank_start]7[blank_end] years for upper centrals, [blank_start]7[blank_end] or [blank_start]8[blank_end] years for upper laterals) - There may be buccal or palatal [blank_start]swellings[blank_end] on palpation - Note the space available for incisors - [blank_start]9[blank_end]mm for centrals and [blank_start]7[blank_end]mm for laterals You may wish to take some [blank_start]radiographs[blank_end] to determine the cause of the unerupted teeth. The [blank_start]parallax[blank_end] technique can locate the position of impacted teeth.
Answer
  • hereditary
  • avulsion
  • dilaceration
  • ankylosed
  • extraction
  • Retained
  • delayed
  • obstruction
  • extraction
  • eruption
  • supernumerary
  • cleft
  • cleidocranial
  • absent
  • Contralateral
  • 12
  • 6
  • 7
  • 7
  • 8
  • exfoliation
  • swellings
  • 9
  • 7
  • radiographs
  • parallax

Question 25

Question
The upper canines usually erupt around [blank_start]11[blank_end] or [blank_start]12[blank_end] years of age. [blank_start]Congenitally[blank_end] absent canines is rare 0.3%. [blank_start]Impaction[blank_end] of canines is more common, and is usually bilateral. You should be able to [blank_start]palpate[blank_end] maxillary canines around 9 years of age in the buccal [blank_start]sulcus[blank_end]. Causes of impacted maxillary canines may be due to the: - [blank_start]Long[blank_end] path of eruption - [blank_start]Short[blank_end] rooted or [blank_start]absent[blank_end] upper lateral incisors ([blank_start]peg[blank_end] laterals) - Crowding - [blank_start]Retention[blank_end] of primary canine (an indicator rather than a cause!) - [blank_start]Genetic[blank_end] factors. It may run in the [blank_start]family[blank_end]. - It should also be noted that impacted canines is associated with other dental anomolies You should first assess the child [blank_start]clinically[blank_end] to see if you can tell where the tooth is displaced. If you suspect displacement you may wish to take some [blank_start]radiographs[blank_end]. The radiographs most commonly used for assessing ectopic canines are [blank_start]panoramic[blank_end] radiographs, upper [blank_start]occlusal[blank_end] radiographs, lateral [blank_start]cephalometric[blank_end] (for more accurate localisation), [blank_start]cone beam[blank_end] computerised tomography, and periodicals (useful for prognosis of retained deciduous canines). Management depends on wether the teeth are [blank_start]buccally[blank_end] or [blank_start]palatally[blank_end] displaced. Buccal displacements are usually due to [blank_start]crowding[blank_end], so relief of [blank_start]crowding[blank_end] is usually the option Palatal displacements may require surgical [blank_start]exposure[blank_end] with orthodontic [blank_start]alignment[blank_end], or surgical [blank_start]removal[blank_end] of the impacted canine. Occasionally unerupted canines can cause [blank_start]resorption[blank_end] of adjacent lateral incisor roots and possibly the centrals. In this case intervention should be done swiftly.
Answer
  • 11
  • 12
  • Congenitally
  • Impaction
  • palpate
  • sulcus
  • Long
  • Short
  • absent
  • peg
  • Retention
  • Genetic
  • family
  • clinically
  • radiographs
  • panoramic
  • occlusal
  • cephalometric
  • cone beam
  • buccally
  • palatally
  • crowding
  • crowding
  • exposure
  • alignment
  • removal
  • resorption
Show full summary Hide full summary

Similar

Basic Immunology Principles
Robyn Hokulani-C
The Endocrine System
DrABC
Respiratory anatomy
James Murdoch
1. Anatomy & Physiology of the Ear
t.whittingham
Fluid and Electrolyte Imbalances
D R
Introduction to pharmacology
Ifeoma Ezepue
Hormones
try2bangel
FOODBORNE ILLNESS & DISEASE
Jenn A
How does the immune system recognise pathogens?
Ifeoma Ezepue
Neuro-Cognitive Disorders
SaraJaarour
Why is immunology important?
Ifeoma Ezepue