3.2 Pathologie van de long

Description

Master Respiratoir Systeem Quiz on 3.2 Pathologie van de long, created by Lars van Dee on 11/03/2016.
Lars van Dee
Quiz by Lars van Dee, updated more than 1 year ago
Lars van Dee
Created by Lars van Dee over 9 years ago
96
2

Resource summary

Question 1

Question
De rechter long bestaat uit [blank_start]3[blank_end] kwabben, de linker uit [blank_start]twee[blank_end] kwabben. De bronchi (met slijmkliertjes, glad spierweefsel en kraakbeen) vertakken zich in [blank_start]bronchioli[blank_end] (zonder slijmkliertjes en kraakbeen) en uiteindelijk tot alveoli. Als de patholoog met z'n dikke vingers het glimmende oppervlak op de foto aanraakt, zit hij aan de pleura [blank_start]visceralis[blank_end].
Answer
  • drie
  • twee
  • bronchioli
  • visceralis

Question 2

Question
Takken van de a. bronchialis volgen de vertakkingen van de 'bronchiale boom'.
Answer
  • True
  • False

Question 3

Question
Wat loopt er in de roze gekleurde bindweefselsepta?
Answer
  • a. pulmonalis
  • a. bronchialis
  • longvenen
  • aorta pulmonis

Question 4

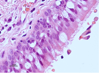
Question
Respiratoir epitheel is:
Answer
  • pseudomeerlagig
  • trilhaardragend
  • cilindrisch
  • meerlagig
  • kubisch
  • verhoornend

Question 5

Answer
  • I
  • II
  • I
  • II
  • I
  • II

Question 6

Question
Longembolie met longinfarct. Welke structuur is aangegeven?
Answer
  • arteria pulmonalis

Question 7

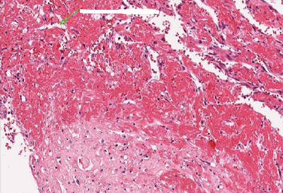
Question
Hier ziet u een detail van de thrombo-embolus. Is er reeds sprake van organisatie?
Answer
  • Ja
  • Nee

Question 8

Question
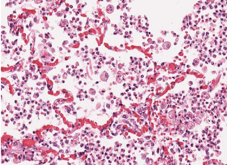
Klik de bronchopneumonie aan.

Question 9

Question
Microscopie pneumonie. Match.
Answer
  • Neutrofiele granulocyten
  • macrofaag
  • Gestuwde capilairen
  • Lymfocytair infiltraat
  • Necrotiserende celresten

Question 10

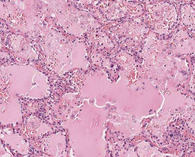
Question
Long met ARDS (diffuse alveolaire schade). De alveoli zijn gevuld met roze [blank_start]exudaat[blank_end] (= eiwitrijk vocht) en plaatselijk wat fibrine draden. In een later stadium ontstaat hieruit zogenaamde [blank_start]hyliene[blank_end] membranen. Een belangrijke oorzaak van een ARDS long is: [blank_start]infectie[blank_end].
Answer
  • exudaat
  • hyaliene
  • infectie

Question 11

Question
Casus: vrouw sinds enkele maanden dyspnoe en moe. Erythema nodosum aan de onderbenen. Op de X-thorax zijn er vergrootte hilaire lymfeklieren zichtbaar. Ook worden er verspreid in beide longen nodulaire verdichtingen gezien (zie foto). Dit zijn [blank_start]granulomen[blank_end], passende bij [blank_start]sarcoidose[blank_end].
Answer
  • granulomen
  • sarcoïdose

Question 12

Question
Wat is waar over de granulomen bij sarcoidose?
Answer
  • Ze bevatten epitheloidcellige macrofagen
  • Ze bevatten meerkernige reuscellen van het Langerhand type
  • In het centrum wordt verkazende necrose aangetroffen

Question 13

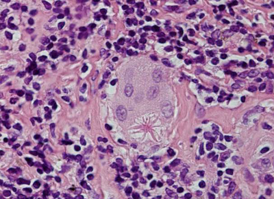
Question
Je ziet dit astroid lichaampje. Je denkt:
Answer
  • SARCOIDOSE!
  • NORMAAL!
  • EMBOLIE!
  • PNEUMONIE!
  • ARDS!
  • EMFYSEEM!
  • FIBROSE
  • LONGCARCINOOM!

Question 14

Question
De pathogenese van emfyseem komt neer op:
Answer
  • destructie van de alveolaire wand
  • verbindweefseling van de alveolaire wand
  • vernauwing van de luchtwegen
  • verdikking van de lamina basilaris

Question 15

Question
Dit explantaat toont wijde luchthoudende holten welke subpleuraal gelegen zijn, zogenaamde [blank_start]bullae[blank_end].
Answer
  • bullae
  • antracoses
  • granulomen
  • crustae
  • honinggraadzakken

Question 16

Question
Wat past bij het histologische beeld van een usual interstitial pneumonia (UIP)?
Answer
  • foci van fibroblasten
  • gladde spiercellen
  • toegenomen hoeveelheid bindweefsel
  • chronische ontsteking met lymfocytair infiltraat
  • honinggraadvorming subpleuraal
Show full summary Hide full summary

Similar