2005a_Paper 1 – Medical Sciences

Description

2005 FRACP Written Examination Adult Medicine Paper 1 – Medical Sciences
Jeku Jacob
Quiz by Jeku Jacob, updated more than 1 year ago
Jeku Jacob
Created by Jeku Jacob over 9 years ago
41
1

Resource summary

Question 1

Question
A study is comparing the bioavailability of a new oral preparation of a drug (100 mg tablet) with the marketed intravenous preparation (50 mg in 2 mLs). In this crossover study, healthy volunteers were given in random order one 100 mg tablet or 50 mg intravenously (IV). The drug has linear kinetics within the range of concentrations studied. The mean results are as follows: Which of the following is the best estimate of the oral bioavailability of the tablet?
Answer
  • A. 12.5%.
  • B. 40 %.
  • C. 50%.
  • D. 90%.
  • E. 96%.

Question 2

Question
Which one of the following is the predominant stimulus to gastric acid secretion in a healthy individual?
Answer
  • A. Acetylcholine.
  • B. Gastrin.
  • C. Histamine.
  • D. Calcium.
  • E. Somatostatin.

Question 3

Question
With which of the following viruses is cancer of the cervix most strongly associated?
Answer
  • A. Epstein-Barr virus (EBV).
  • B. Cytomegalovirus (CMV).
  • C. Human papilloma virus (HPV).
  • D. Human immunodeficiency virus (HIV).
  • E. Herpes simplex virus (HSV).

Question 4

Question
Diabetic neuropathic arthropathy is most likely to affect which of the following areas?
Answer
  • A. Knee.
  • B. Mid-foot.
  • C. 1st metatarsophalangeal joint.
  • D. Elbow.
  • E. Ankle.

Question 5

Question
In a patient with IgA nephropathy who has a serum creatinine in the normal range, which of the following is the best predictor of developing end-stage renal failure?
Answer
  • A. Urine red cell count.
  • B. Serum IgA level.
  • C. Creatinine clearance.
  • D. Level of proteinuria.
  • E. Blood pressure.

Question 6

Question
Which of the following mechanisms best describes the mode of action of the sulphonylurea class of drugs?
Answer
  • A. Stimulates insulin synthesis.
  • B. Enhances insulin binding to the beta cell insulin receptor.
  • C. Stimulates insulin secretion.
  • D. Stimulates conversion of proinsulin to insulin and C-peptide.
  • E. Stimulates beta cell proliferation

Question 7

Question
The relationship of the left ventricular pressure to volume throughout a single cardiac cycle (Pressure-Volume Loop) is recorded on two occasions in an intact anaesthetised animal, before (control) and during an intravenous infusion of a pharmacological agent (treatment). The results are shown below. Which of the following agents is most likely to have been infused?
Answer
  • A. Noradrenaline.
  • B. Glyceryl trinitrate.
  • C. Metoprolol.
  • D. Isoprenaline.
  • E. Metaraminol.

Question 8

Question
Headache, blindness and jaw claudication secondary to end-organ ischaemia are common clinical manifestations of temporal arteritis (giant cell arteritis). Which of the following most accurately describes the common pathophysiologic mechanism of end-organ ischaemia in this condition?
Answer
  • A. Luminal occlusion secondary to concentric intimal hyperplasia.
  • B. Thrombotic occlusion of medium arteries.
  • C. Spasm of medium and large arteries.
  • D. Aneurysm formation, haemorrhage and rupture.
  • E. Arterial dissection, haemorrhage and rupture.

Question 9

Question
Which of the following transfusion-related events is most frequently reported (episodes/unit transfused) with transfusion of unmodified red cells?
Answer
  • A. Acute haemolytic transfusion reaction.
  • B. Febrile non-haemolytic transfusion reaction.
  • C. Transmission of hepatitis B.
  • D. Graft-versus-host disease.
  • E. Transfusion-associated acute lung injury.

Question 10

Question
Which of the following anticonvulsant drugs is most likely to cause weight gain in young women?
Answer
  • A. Topiramate.
  • B. Lamotrigine.
  • C. Sodium valproate.
  • D. Carbamazepine.
  • E. Phenytoin.

Question 11

Question
The mechanism by which specific information encoded by viral DNA is transferred to messenger RNA (mRNA) is:
Answer
  • A. translation.
  • B. transcription.
  • C. reverse transcription.
  • D. transduction.
  • E. conjugation.

Question 12

Question
Which intervention has been best demonstrated to extend maximal life span in animals?
Answer
  • A. Exercise.
  • B. Antioxidants.
  • C. Hormonal replacement.
  • D. Caloric restriction.
  • E. Immunisation.

Question 13

Question
In patients with a certain genetic disorder, more than 95% of the abnormal genes have the same mutation. Analysis of a highly polymorphic locus in an intron of the gene shows similar allele frequencies in patients as in the general population. Which one of the following genetic mechanisms is least likely to account for the predominance of one mutation in patients with this disorder?
Answer
  • A. Gene conversion involving a related pseudogene.
  • B. Founder effect (i.e. a historical population “bottleneck”).
  • C. Selective advantage for carriers with the mutation.
  • D. Gene rearrangements due to repetitive sequences flanking an exon.
  • E. Highly mutable DNA sequence at one point in the gene.

Question 14

Question
A 60-year-old male presents with worsening dysphagia for solid and liquid food. Manometry is shown above (reference normal on left, patient tracing on right). The most likely diagnosis is:
Answer
  • A. hiatus hernia.
  • B. gastroesophageal reflux.
  • C. achalasia.
  • D. distal oesophageal malignancy.
  • E. presbyoesophagus.

Question 15

Question
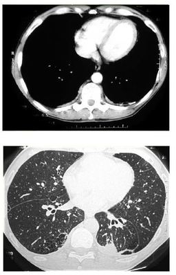
A 58-year-old male is referred with breathlessness on exercise. He has smoked 20 cigarettes/day since the age of 13. He completed his electrician's apprenticeship at a naval dockyard, and worked in the construction industry until sustaining a back injury and retiring at the age of 50 years. A chest X-ray is reported as abnormal and a thoracic computed tomography (CT) scan (shown opposite) is performed. The CT scan appearances are most characteristic of which one of the following conditions?
Answer
  • A. Emphysema.
  • B. Asbestos-related pleural disease.
  • C. Pulmonary fibrosis.
  • D. Silicosis.
  • E. Asbestosis.

Question 16

Question
A test has a sensitivity of 95% and a specificity of 90%. It is used to screen the general population for a rare condition that has a prevalence of 1 in 100,000. What will the positive predictive value be nearest to?
Answer
  • A. 0.01%.
  • B. 0.05%.
  • C. 0.1%.
  • D. 0.5%.
  • E. 1%.

Question 17

Question
In addition to decreased gastrointestinal calcium absorption, by which of the following mechanisms is prednis(ol)one most likely to cause net bone loss in a 65-year-old man?
Answer
  • A. Increased renal calcium loss.
  • B. Reduced 1,25 (OH)2 vitamin D formation.
  • C. Reduced testosterone production.
  • D. Direct suppression of osteoblast function.
  • E. Reduced adrenal androgen production.

Question 18

Question
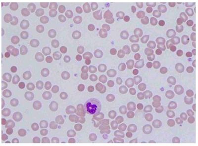
A 67-year-old woman develops symptomatic anaemia and jaundice nine days after subtotal colectomy for adenocarcinoma of the colon, at the time of which she received a transfusion of 3 units of red cells. She is on therapy (which includes sulfasalazine) for ulcerative colitis. Review of the pre-operative antibody screen shows this to be negative for red cell alloantibodies. Her current full blood examination includes the following: haemoglobin 82 g/L [120-155] mean cell volume 99 fL [80-97] reticulocyte count 162 x 109/L [8-104] Her blood film is shown below. The most likely cause of her anaemia is:
Answer
  • A. iron deficiency.
  • B. peri-operative blood loss.
  • C. red cell aplasia.
  • D. delayed haemolytic transfusion reaction.
  • E. megaloblastosis.

Question 19

Question
A patient with aortic regurgitation has the following haemodynamic measurements: cardiac output (CO) 7.5 L/minute heart rate (HR) 75/minute left ventricular end-diastolic volume (LVEDV) 200 mL left ventricular end-systolic volume (LVESV) 50 mL The regurgitant fraction is defined as the ratio of the regurgitant volume to the total volume flowing through the valve with each beat. The regurgitant fraction in this patient is:
Answer
  • A. 25%.
  • B. 33%.
  • C. 50%.
  • D. 67%.
  • E. 75%.

Question 20

Question
Which of the following best describes the antiviral effect of zanamivir on the influenza virus?
Answer
  • A. Inhibition of M2 ion channel activity.
  • B. Inhibition of viral neuraminidase.
  • C. Competitive blocking of surface haemagglutinins.
  • D. Inhibition of reverse transcriptase.
  • E. Inhibition of DNA polymerase.

Question 21

Question
A 60-year-old man with a five-year history of type 2 (non-insulin-dependent) diabetes mellitus presents for a routine checkup. The most appropriate screening test for the presence of diabetic nephropathy is:
Answer
  • A. serum creatinine level.
  • B. spot urine albumin concentration.
  • C. 24 hour urine protein excretion.
  • D. spot urine albumin/creatinine ratio.
  • E. 12 hour urinary albumin excretion rate.

Question 22

Question
A patient is taking Drug A for a chronic condition. Drug B is added for a period of time and then stopped. The half-life of both drugs is between 6 and 12 hours. The following graph shows the total and free concentrations of Drug A: before Drug B is added, over the time Drug B is added, and after Drug B is ceased. The most likely mechanism for the interaction is:
Answer
  • A. protein binding displacement.
  • B. induction of metabolism.
  • C. inhibition of metabolism.
  • D. binding in gut.
  • E. decreased hepatic blood flow.

Question 23

Question
Which one of the following is the most important consideration in optimising treatment outcome from combination chemotherapy?
Answer
  • A. Use drugs partially effective as single agents.
  • B. Use drugs with similar toxicity profiles.
  • C. Use drugs with similar schedules.
  • D. Use drugs with similar treatment free intervals.
  • E. Minimise interaction between drugs.

Question 24

Question
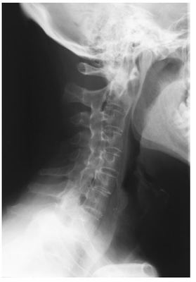
A 54-year-old man presents with neck pain. Examination reveals a limited range of movement of the neck. Which feature on the X-ray shown above best explains the limited range of movement?
Answer
  • A. Zygoapophyseal joint fusion.
  • B. Diffuse disc degeneration.
  • C. Upper cervical spine instability.
  • D. Calcification of the posterior longitudinal ligament.
  • E. Diffuse idiopathic skeletal hyperostosis.

Question 25

Question
Which of the following is most characteristic of healthy ageing muscle?
Answer
  • A. Type 1 fiber atrophy.
  • B. Type 2 fiber atrophy.
  • C. Decreased capillary density.
  • D. Decreased oxidative capacity.
  • E. Intramuscular lipid accumulation.

Question 26

Question
Which one of the following best explains the mechanism of trigeminal neuralgia?
Answer
  • A. Herpes virus ganglionitis.
  • B. Microvascular compression.
  • C. Central demyelination.
  • D. Vascular steal phenomena.
  • E. Trigeminal neuroma.

Question 27

Question
Consider the portion of an exon shown below. The DNA sequence is presented as nucleotide triplets, reflecting the reading frame of the gene. A numbering system for the nucleotides is shown below the sequence. Which one of the following mutations is least likely to have an effect on the amino acid sequence of the protein encoded by this gene?
Answer
  • A. Substitution of the nucleotide at position 4.
  • B. Substitution of the nucleotide at position 5.
  • C. Substitution of the nucleotide at position 6.
  • D. Substitution of the nucleotides at positions 5, 6, and 7.
  • E. Substitution of the nucleotides at positions 6, 7, and 8.

Question 28

Question
Which of the following is the strongest predictor of mortality in patients on haemodialysis for chronic renal failure?
Answer
  • A. Serum albumin.
  • B. Pre-dialysis serum urea.
  • C. Urea reduction ratio.
  • D. Serum phosphate.
  • E. Serum parathyroid hormone.

Question 29

Question
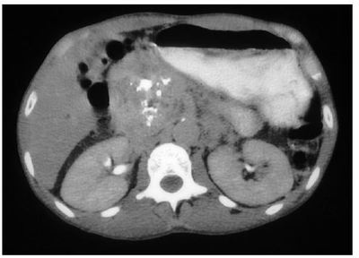
A 22-year-old male presents with his fourth episode of pancreatitis. A computed tomography (CT) scan of the pancreas is shown above. He has two first degree relatives with chronic pancreatitis. There is no other significant family history. The most likely explanation for his episodes is:
Answer
  • A. cystic fibrosis.
  • B. alcoholic pancreatitis.
  • C. hyperparathyroidism.
  • D. hereditary pancreatitis.
  • E. haemochromatosis.

Question 30

Question
A 20-year-old male student is referred by his general practitioner with difficulty concentrating and a disturbed sleep pattern. He finds it difficult to stay awake during classes, often needing catnaps during the day, and has to get up at 5 a.m. to complete his course work. His body mass index (BMI) is 31 kg/m2 [18-26]. A polysomnographic sleep study result is shown below. What is the most likely diagnosis?
Answer
  • A. Obesity-hypoventilation syndrome.
  • B. Obstructive sleep apnoea syndrome.
  • C. Narcolepsy.
  • D. Periodic leg movement disorder.
  • E. Cataplexy.

Question 31

Question
Which one of the following cells of the immune system is most reliant on its release of mediators into the extracellular fluid surrounding the organism in order to carry out its role in eradication of foreign organisms?
Answer
  • A. Neutrophils.
  • B. Eosinophils.
  • C. Macrophages.
  • D. Cytotoxic T lymphocytes.
  • E. Natural killer cells.

Question 32

Question
Which of the following findings is most specific for a diagnosis of pernicious anaemia?
Answer
  • A. A low serum vitamin B12 level.
  • B. An elevated fasting homocysteine level.
  • C. An elevated serum gastrin level.
  • D. A positive gastric parietal cell antibody.
  • E. A positive intrinsic factor antibody.

Question 33

Question
A 36-year-old woman has a very strong family history of premature coronary disease. Physical examination is normal. Fasting lipid profile reveals: total cholesterol 9.5 mmol/L [2.5-5.2] high-density lipoprotein (HDL) cholesterol 1.5 mmol/L [0.9-1.8] triglycerides 2.00 mmol/L [0.10-1.85] Which abnormality is most likely to be present?
Answer
  • A. apoB 3500 mutation.
  • B. Cholesteryl ester transfer protein (CETP) deficiency.
  • C. Hypoalphalipoproteinaemia.
  • D. Low-density lipoprotein (LDL) receptor defect.
  • E. Lecithin:cholesterol acetyltransferase (LCAT) deficiency.

Question 34

Question
The most common mechanism for malignant ascites is:
Answer
  • A. cardiac failure.
  • B. hypoalbuminaemia.
  • C. obstruction of abdominal lymphatics.
  • D. portal hypertension.
  • E. portal vein thrombosis.

Question 35

Question
Drugs A and B have the following properties in healthy individuals: In such healthy individuals, haemodialysis shortens the half-life of drug A much more than it shortens the half-life of drug B. This difference is best explained by which of the following characteristics of drug B?
Answer
  • A. Higher volume of distribution.
  • B. Much higher renal clearance.
  • C. Higher plasma protein binding.
  • D. Higher molecular weight.
  • E. Lower hepatic clearance

Question 36

Question
In a patient with unilateral facial weakness, which one of the following findings on physical examination most strongly suggests a peripheral cause for the facial weakness?
Answer
  • A. Frontalis weakness.
  • B. Associated lateral rectus weakness.
  • C. Loss of taste.
  • D. Facial numbness.
  • E. Nystagmus.

Question 37

Question
Which of the following best describes the changes in regional deposition of adipose tissue that occur with ageing? Key to symbols: ↓ = decrease ↑ = increase

Question 38

Question
A 40-year-old woman with a 20-year history of systemic lupus erythamatosus (SLE) presents with severe anterior chest pain, dyspnoea and nausea. Her SLE has manifested previously as arthritis, rash, mucosal ulceration and focal proliferative glomerulonephritis. She has had two miscarriages and delivered two normal children. Treatment has included hydroxychloroquine, prednis(ol)one in doses of 7.5 mg to 100 mg daily, intermittent cyclophosphamide and azathioprine. At presentation she is taking prednis(ol)one 7.5 mg daily and hydroxychloroquine. Physical examination reveals obesity, pulse rate of 105/minute, blood pressure of 105/75 mmHg, normal heart sounds, and clear lung fields. The jugular venous pulse and pressure are obscured by fat. Laboratory results show: haemoglobin 124 g/L [115-165] white cell count 3.4 x109/L [3.5-11.0] lymphocytes 0.9 x109/L [1.5 – 4.0] erythrocyte sedimentation rate (ESR) 35 mm/hr [0-20] ECG shows ST-segment elevation in the anterior chest leads and sinus tachycardia. During the assessment, the patient develops ventricular fibrillation and dies. Which of the following is the most likely cause of her death?
Answer
  • A. Vasculitis involving the coronary arteries.
  • B. Libman-Sacks endocarditis with coronary artery embolisation.
  • C. Viral myocarditis.
  • D. Coronary atherosclerosis.
  • E. Pericardial effusion with tamponade.

Question 39

Question
A 35-year-old man presents with several weeks of generalised unwellness, epigastric pain, vomiting and headaches. He has no past medical history of note. He has a smoking history of 15 pack years and uses daily cannabis. He has been holidaying at the beach for the summer and is tanned. He is mildly dehydrated. The rest of the physical examination is unremarkable. Blood tests show: sodium 139 mmol/L [138-145] potassium 5.4 mmol/L [3.5-5.2] corrected calcium 3.10 mmol/L [2.15-2.57] phosphate 1.50 mmol/L [0.87-1.45] urea 10.4 mmol/L [3.5-8.0] creatinine 0.32 mmol/L [0.05-0.12] parathyroid hormone 0.6 pmol/L [1.6-6.2] His chest X-ray is shown below. What mechanism best explains the hypercalcaemia?
Answer
  • A. Secretion of parathyroid hormone-related peptide (PTHrP).
  • B. Increased bone resorption.
  • C. Increased 1,25(OH)2-vitamin D synthesis.
  • D. Reduced renal clearance of calcium.
  • E. Mineralocorticoid deficiency.

Question 40

Question
Which of the following is most likely to cause predominantly zone 1 (periportal) rather than zone 3 (centrilobular) liver pathology?
Answer
  • A. Alcohol.
  • B. Paracetamol.
  • C. Morbid obesity.
  • D. Budd-Chiari syndrome.
  • E. Primary biliary cirrhosis.

Question 41

Question
During normal haemostasis, von Willebrand factor (vWF) plays a role in platelet adhesion/aggregation. During this process, which of the following is the primary binding site of vWF to platelets?
Answer
  • A. Collagen receptor.
  • B. Platelet glycoprotein Ib-IX-V.
  • C. Adenosine diphosphate receptor.
  • D. Platelet glycoprotein IIb-IIIa.
  • E. Ristocetin.

Question 42

Question
Which of the following is the most effective therapy for hyperphosphataemia associated with chronic renal failure?
Answer
  • A. Low phosphate diet.
  • B. Oral phosphate binders.
  • C. Parathyroidectomy.
  • D. Vitamin D analogues.
  • E. Low protein diet.

Question 43

Question
Many familial disorders are due to mutations in genes for transcription factors. Which of the following statements is the best description of the role of a transcription factor? It:
Answer
  • A. generates an RNA template.
  • B. is a component of the ribosome.
  • C. regulates the binding of DNA polymerase.
  • D. regulates the polyadenylation of messenger RNA (mRNA).
  • E. regulates the binding of RNA polymerase

Question 44

Question
Which of the following most accurately reflects the mechanism of complement consumption induced by complement component 3 (C3) nephritic factors?
Answer
  • A. Activation of the classical complement pathway.
  • B. Stabilisation of the membrane attack complex, C5-9.
  • C. Amplification of C3 “tickover”.
  • D. Stabilisation of the C3 convertase, C3bBb.
  • E. Inhibition of the complement regulator, Factor I.

Question 45

Question
Which of the following is the most important reason for not recommending gentamicin for the treatment of coliform central nervous system (CNS) infections?
Answer
  • A. It is not active in an acidic environment.
  • B. It is not active in a low oxygen tension environment.
  • C. It has poor CNS penetration.
  • D. It may precipitate seizures.
  • E. Ototoxicity risk is accentuated

Question 46

Question
An asymptomatic 45-year-old male with no risk factors for coronary artery disease (CAD) is sent by his general practitioner to have an exercise ECG. At peak exercise, the heart rate is 160/minute and there is 0.7 mm of horizontal ST depression. The relationship between pre-test and post-test probability of significant coronary artery disease is shown below according to the ECG changes occurring at maximal exercise. What is the probability that this man has significant CAD?
Answer
  • A. 41-50%.
  • B. 31-40%.
  • C. 21-30%.
  • D. 11-20%.
  • E. 1-10%.

Question 47

Question
The most common identifiable cause of epilepsy in the elderly is:
Answer
  • A. cerebrovascular disease.
  • B. traumatic injury.
  • C. Alzheimer’s disease.
  • D. tumours.
  • E. alcohol.

Question 48

Question
A 40-year-old woman treated for Hodgkin’s disease in her early twenties with mantle radiotherapy is at highest risk of which of the following cancers?
Answer
  • A. Breast.
  • B. Lung.
  • C. Thyroid.
  • D. Lymphoma.
  • E. Sarcoma.

Question 49

Question
A 47-year-old male presents with haemoptysis on a background of a 47 pack year smoking history. A chest X-ray shows an irregular mass lesion in the right lower lobe, and sputum examination reveals large undifferentiated malignant cells. Which of the following is the most sensitive method of determining if the mediastinal lymph nodes are involved with the disease?
Answer
  • A. Gallium scan.
  • B. Standard thoracic computed tomographic (CT) scanning.
  • C. High resolution computed tomographic (CT) scanning.
  • D. Magnetic resonance imaging (MRI).
  • E. Positron emission tomography (PET).

Question 50

Question
The deterioration in glycaemic control over time seen in patients with type 2 (non-insulin-dependent) diabetes mellitus is primarily due to:
Answer
  • A. medication non-compliance.
  • B. increasing insulin resistance.
  • C. increasing obesity.
  • D. decreasing insulin secretion.
  • E. reduced energy expenditure.

Question 51

Question
In a study of polymorphisms in the gene encoding the β2-adrenergic receptor, 20% of people were heterozygous for a polymorphism at codon 16 and 22% were heterozygous for a polymorphism at codon 27. 18% of the population were heterozygous at both loci. Which one of the following statements is the best explanation for this observation?
Answer
  • A. Linkage disequilibrium between the two polymorphisms.
  • B. Low frequency of recombination between the two polymorphisms.
  • C. Co-inheritance of the two polymorphisms providing a selective advantage.
  • D. Intragenic cross-over between the two codons.
  • E. Variable triplet repeat expansion between the two codons.

Question 52

Question
A test is used to screen for a target disorder. The best definition of the specificity of the test is “the proportion of individuals:
Answer
  • A. with the target disorder who have a positive test result”.
  • B. without the target disorder who have a negative result”.
  • C. with a positive test result who have the target disorder”.
  • D. with a negative test result who do not have the target disorder”.
  • E. with or without the target disorder who have a correct result”.

Question 53

Question
Of the following conditions, which has the greatest contraindication to therapy with bupropion (Zyban) for smoking cessation?
Answer
  • A. Depression.
  • B. Anxiety.
  • C. Epilepsy.
  • D. Peptic ulceration.
  • E. Ischaemic heart disease.

Question 54

Question
With advancing age, there is an increase in collagen content in the wall of the aorta associated with fragmentation of elastin fibres. These structural changes are thought to have an important influence on the aortic pulse, systemic pressure, and ventricular performance. The table below provides a selection of possible changes in aortic function. Which changes are most commonly seen with advancing age? Key: Change (with advancing age): ⇔ = no change; ⇑ = increase; ⇓ = decrease.
Answer
  • A
  • B
  • C
  • D
  • E

Question 55

Question
In therapy with immunosuppressive drugs (the relevant drugs are shown in brackets), knowledge of which of the following genotypes is most likely to be useful in preventing serious adverse drug events?
Answer
  • A. Thiopurine methyltransferase (azathioprine).
  • B. CYP3A4 (cyclosporin).
  • C. Dihydrofolate reductase (methotrexate).
  • D. Type II glucocorticoid receptor (prednis(ol)one).
  • E. Plasma cholinesterase (cyclophosphamide).

Question 56

Question
Carbimazole acts predominantly by inhibiting which of the following mechanisms?
Answer
  • A. Sodium/iodide (Na/I) symporter.
  • B. Thyroid peroxidase activity.
  • C. Binding of thyroxine to thyroid binding globulin.
  • D. Thyroglobulin synthesis.
  • E. 5’-deiodinase activity.

Question 57

Question
A 57-year-old male presents with progressive breathlessness on exercise over five years. His lung function tests are shown above. What is the most likely diagnosis from the lung function tests?
Answer
  • A. Chronic bronchitis.
  • B. Pulmonary fibrosis.
  • C. Emphysema.
  • D. Bronchiectasis.
  • E. Asthma.

Question 58

Question
Liberation of dietary cobalamin from R-proteins would be most likely to be adversely affected by:
Answer
  • A. ileal resection.
  • B. pancreatic insufficiency.
  • C. coeliac disease.
  • D. Crohn’s disease.
  • E. Helicobacter pylori chronic gastritis.

Question 59

Question
The most common cause of chronic incontinence in the elderly is:
Answer
  • A. stress.
  • B. overflow.
  • C. urge.
  • D. urinary infection.
  • E. delirium.

Question 60

Question
Intravenous infusion of which of the following blood components is most likely to be associated with a septic transfusion reaction?
Answer
  • A. Red cell concentrate.
  • B. Fresh frozen plasma.
  • C. Pooled gammaglobulin.
  • D. Platelet concentrate.
  • E. Cryoprecipitate.

Question 61

Question
In the treatment of hepatitis C infection with interferon and ribavirin, which one of the following is the best predictor of sustained virological response?
Answer
  • A. Serum bilirubin.
  • B. Viral genotype.
  • C. Gender.
  • D. Viral load.
  • E. Portal fibrosis.

Question 62

Question
Efalizumab is a humanized monoclonal antibody active against an adhesion molecule (CD11a) and is used in the treatment of psoriasis. Which of the following is the best explanation for the therapeutic effect of efalizumab?
Answer
  • A. Interference with extravasation of circulating T lymphocytes into skin.
  • B. Depletion of peripheral blood T lymphocyte numbers.
  • C. Inhibition of cytokine secretion by phagocytes.
  • D. Inhibition of chemokine secretion by epithelial cells.
  • E. Interference with danger signals released from inflamed skin.

Question 63

Question
Which one of the following patterns of electrolyte changes is most consistent with tumour lysis? Key to symbols: ↓ = decrease ↑ = increase
Answer
  • A
  • B
  • C
  • D
  • E

Question 64

Question
A 24-year-old is noted to have persistent microscopic haematuria following an insurance examination. Which one of the following factors provides the strongest indication for a renal biopsy?
Answer
  • A. 90 glomerular red cells/μl in the urine [<10].
  • B. Blood pressure 145/80 mmHg.
  • C. Proteinuria 0.9 g/day [<0.12].
  • D. Serum creatinine 105 μmol/L [60-120].
  • E. Male gender.

Question 65

Question
Which one of the following statements is the best description of the molecular basis of a chimaeric protein (eg Bcr-Abl)?
Answer
  • A. Formation of disulphide bonds between cytosine residues on different peptides.
  • B. Post-transcription ligation of non-homologous messenger RNA (mRNA) molecules.
  • C. Hybrid messenger RNA (mRNA) synthesis from a bi-directional promoter.
  • D. Deletion of an exon from one gene.
  • E. In-frame ligation of the 5`-end of one gene to the 3`-end of another.

Question 66

Question
A 57-year-old man with a long history of poorly controlled hypertension and smoking presents with sudden onset of right-sided weakness. On examination, his speech is slurred but content and comprehension are normal. There is a right facial weakness, with the right side of the soft palate elevating poorly. He has a right hemiparesis, power grade 2-3/5, in a pyramidal distribution with normal sensation to all modalities. Right-sided reflexes are enhanced with an extensor right plantar response. The most likely cause of this stroke syndrome is left:
Answer
  • A. middle cerebral artery occlusion.
  • B. posterior inferior cerebellar artery occlusion.
  • C. hemispheric cortically based haemorrhage.
  • D. middle cerebral penetrating artery occlusion.
  • E. internal carotid artery occlusion.

Question 67

Question
Which one of the following conditions is most likely to develop in a patient with panic disorder?
Answer
  • A. Benzodiazepine dependence.
  • B. Major depression.
  • C. Somatization disorder.
  • D. Post-traumatic stress disorder.
  • E. Abnormal illness behaviour.

Question 68

Question
Which of the following dietary factors most increases the risk of gout?
Answer
  • A. Red meat consumption.
  • B. Beer consumption.
  • C. Dairy products consumption.
  • D. Purine rich vegetables consumption.
  • E. Fish consumption.

Question 69

Question
The most common cause of diarrhoea in an adult traveller to a developing country is:
Answer
  • A. Shigella species.
  • B. Salmonella species.
  • C. Campylobacter species.
  • D. enterotoxigenic Escherichia coli.
  • E. Giardia lamblia.

Question 70

Question
Bosentan is one of a number of new pharmacological therapies for pulmonary hypertension. Which of the following best describes the predominant mechanism of action of bosentan?
Answer
  • A. Thromboxane-receptor antagonism.
  • B. Inhibition of platelet aggregation.
  • C. Phosphodiesterase inhibition.
  • D. Endothelin-receptor antagonism.
  • E. Reversal of hypoxic vasoconstriction.
Show full summary Hide full summary

Similar