Hip Radiographs

Description

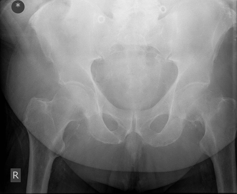
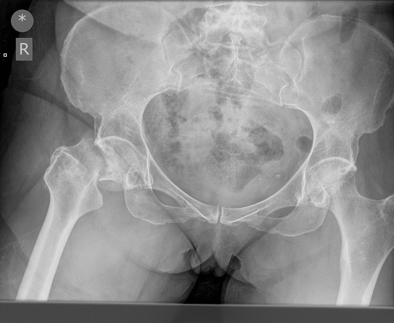
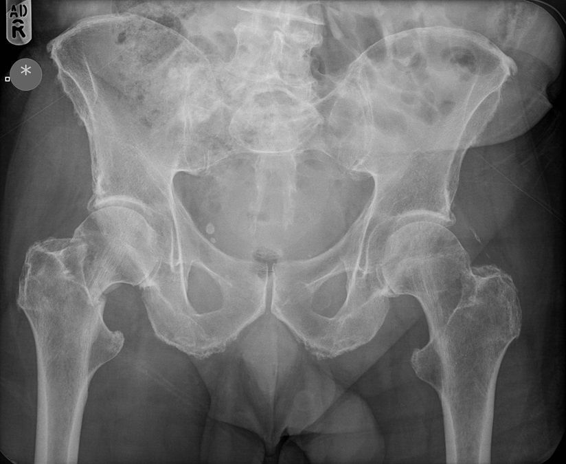
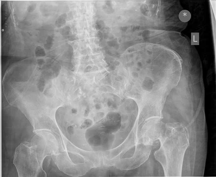
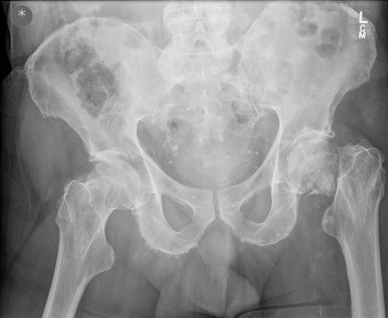
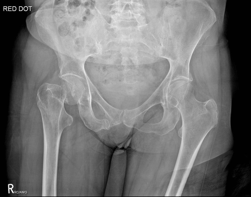
I was hoping you would partake in a study we are doing. We want to establish if there is any bias when deciding an operation based on the radiograph. We understand that the NICE guidelines state that the patient management for hip surgery should not be based on the radiographic findings; rather it should be based on defined criteria. However with that aside what we are requesting is that you look at the film + decide what operation either THR or Hemiarthroplasty. Click the dot + select answer.
jonathan.herron
Quiz by jonathan.herron, updated more than 1 year ago
jonathan.herron
Created by jonathan.herron over 9 years ago
35
0

Resource summary

Question 1

Question
Which operation would you chose?
Answer
  • THR
  • Hemiarthroplasty

Question 2

Question
Which operation would you perform?
Answer
  • THR
  • Hemiarthroplasty

Question 3

Question
Which operation would you perform?
Answer
  • THR
  • Hemiarthroplasty

Question 4

Question
Which operation would you perform?
Answer
  • THR
  • Hemiarthroplasty

Question 5

Question
Which operation would you perform?
Answer
  • THR
  • Hemiarthroplasty

Question 6

Question
Which operation would you perform?
Answer
  • THR
  • Hemiarthroplasty

Question 7

Question
What operation would you perform?
Answer
  • THR
  • Hemiarthroplasty

Question 8

Question
What operation would you perform?
Answer
  • THR
  • Hemiarthroplasty

Question 9

Question
Which operation would you perform?
Answer
  • THR
  • Hemiarthroplasty

Question 10

Question
What operation would you perform?
Answer
  • THR
  • Hemiarthroplasty

Question 11

Question
Which operation would you choose?
Answer
  • THR
  • Hemiarthroplasty

Question 12

Question
Which operation would you choose?
Answer
  • THR
  • Hemiarthroplasty

Question 13

Question
Which operation would you choose?
Answer
  • THR
  • Hemiarthroplasty

Question 14

Question
Which operation would you perform?
Answer
  • THR
  • Hemiarthroplasty

Question 15

Question
Which operation would you perform?
Answer
  • THR
  • Hemiarthroplasty

Question 16

Question
Which operation would you perform?
Answer
  • THR
  • hemiarthroplasty

Question 17

Question
Which operation would you perform?
Answer
  • THR
  • Hemiarthroplasty

Question 18

Question
Which operation would you perform?
Answer
  • THR
  • Hemiarthroplasty

Question 19

Question
Which operation would you perform?
Answer
  • THR
  • Hemiarthroplasty

Question 20

Question
Which operation would you perform?
Answer
  • THR
  • Hemiarthroplasty

Question 21

Question
Which operation would you perform?
Answer
  • THR
  • Hemiarthroplasty

Question 22

Question
Which operation would you perform?
Answer
  • THR
  • Hemiarthroplasty

Question 23

Question
Which operation would you perform?
Answer
  • THR
  • Hemiarthroplasty

Question 24

Question
Which operation would you perform?
Answer
  • THR
  • Hemiarthroplasty

Question 25

Question
Which operation would you perform?
Answer
  • THR
  • Hemiarthroplasty

Question 26

Question
Which operation would you perform?
Answer
  • THR
  • Hemiarthroplasty

Question 27

Question
Which operation would you perform?
Answer
  • THR
  • Hemiarthroplasty

Question 28

Question
Which operation would you perform?
Answer
  • THR
  • Hemiarthroplasty

Question 29

Question
Which operation would you perform?
Answer
  • THR
  • Hemiarthroplasty

Question 30

Question
Which operation would you perform?
Answer
  • THR
  • Hemiarthroplasty

Question 31

Question
Please enter your name[blank_start]..........[blank_end]., Thank-you!
Answer
  • Your name
Show full summary Hide full summary

Similar

Epidemiology
Danielle Richardson
History of Medicine: Ancient Ideas
James McConnell
Epithelial tissue
Morgan Morgan
4. The Skeletal System - bones of the skull
t.whittingham
Neuro anatomy
James Murdoch
The Endocrine System
DrABC
Respiratory anatomy
James Murdoch
Medical Terminology
khachoe_pema
Diabetes - pathophysiology
Morgan Morgan
PHARMACOLOGY BLOCK 1- basic intro
wallacejr@hotmail.co