OSOM

Description

my attempt of a e-quiz
aneta beranova4370
Quiz by aneta beranova4370, updated more than 1 year ago
aneta beranova4370
Created by aneta beranova4370 over 9 years ago
14
0

Resource summary

Question 1

Question
What are the causes of TMJ dysfunction?
Answer
  • Eating too much/often
  • Stress
  • Trauma
  • Not enough movement to the joint
  • Deranged or altered occlusion
  • Grinding or Continuous Clenching
  • Pericoronitis
  • Idiopathic

Question 2

Question
The Parotid Glands produce the largest percentage of saliva secreted into the oral cavity.
Answer
  • True
  • False

Question 3

Question
What is your diagnosis?
Answer
  • Traumatic Ulcer
  • Chemical Burn
  • Major Aphthous Ulcer
  • Pemphigus Vulgaris

Question 4

Question
Which statements are TRUE about Pemphigus Vulgaris
Answer
  • It is contagious
  • Bullae presented are firm and intact
  • It is an autoimmune disease
  • Bullae are intraepithelial
  • very serious disease, can be fatal

Question 5

Question
Name the dental traumas
Answer
  • Subluxation
  • Extrusion
  • Lateral Luxation
  • Intrusion
  • Avulsion
  • Infraction

Question 6

Question
Complete the XII cranial nerves I [blank_start]Opthalmic[blank_end] II Optic III Oculomotor IV Trochlear V Trigeminal VI [blank_start]Abducent[blank_end] VII Facial VIII Vestibulo-Cochlear IX [blank_start]Glossopharyngeal[blank_end] X Vagus XI Accesory XII [blank_start]Hypoglossal[blank_end]
Answer
  • Opthalmic
  • Optic
  • Accessory
  • Abducent
  • Accesory
  • Lingual
  • Glossopharyngeal
  • Hypoglossal
  • Optic
  • Hypoglossal
  • Glossopharyngeal
  • Trigeminal

Question 7

Question
In normal eruption the Upper Canines erupt between the age of 13-15.
Answer
  • True
  • False

Question 8

Question
What are the advantages of an ultrasound as an investigation method?
Answer
  • Allows the combination use with Doppler Flow to analyse blood flow through a lesion
  • A very low radiation dose
  • Useful to diagnose salivary stones and thyroid and neck lesions
  • Allows visibility of soft tissue masses and cysts
  • No radiation necessary
  • Can be used to assess bone as well as soft tissues

Question 9

Question
Cigarette smokers are [blank_start]3 x more[blank_end] likely to develop oral [blank_start]squamous cell carcinoma[blank_end]. Smoking neat tobacco in a form of "roll ups" has a [blank_start]higher[blank_end] risk than traditional cigarettes. When an individual smokes and drinks alcohol to an excess, they are [blank_start]15 x more[blank_end] likely to develop cancer.
Answer
  • 3 x more
  • 10 x more
  • 40% less
  • Squamous Cell Carcinoma
  • Herpes Labialis
  • Granuloma
  • higher
  • lower
  • similar
  • 15 x more
  • 50 x more
  • 5 x more
  • 65 x more

Question 10

Question
Small teeth and missing teeth, are often found in combination with each other.
Answer
  • True
  • False

Question 11

Question
Infection - [blank_start]Papilloma[blank_end] [blank_start]Trauma[blank_end] - Mucocele, Fibroepithelial Polyp, Denture Granuloma Drug Induced - [blank_start]Gingival[blank_end] Swelling Neoplasm - [blank_start]Benign Epulis[blank_end], Malignant Tumours
Answer
  • Papilloma
  • Trauma
  • Benign Epulis
  • Gingival

Question 12

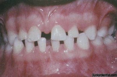
Question
The picture shows a boy whose URA and URB have developed from a single tooth bud and have attempted to divide during their development. What is your diagnosis of this hard tissue developmental abnormality?
Answer
  • Fusion
  • Gemination
Show full summary Hide full summary

Similar

Deciduous tooth eruption and calcification dates
0 9
Dental Radiography Landmarks
Sarah Latronico
Veterinary Dental Anatomy and Terminology
Kimara Kavanagh
Dental OSCE quiz 1
Rachael Eleanor Alexandra
Adult mandibular tooth eruption and calcification dates
0 9
Enamel composition and structure
0 9
Dental OSCE Quiz 2
Rachael Eleanor Alexandra
FUNGAL and PROTOZOAL INFECTION 14+15
Haneen Kokash
Week 1 DFT Prep - IRR, IRMER, Social Media, Prescribing, Teamworking, Clinical Records, GDC standard 8
Rachael Eleanor Alexandra
Medical OSCE Quiz - glucose, bisphosphonates, INR
Rachael Eleanor Alexandra
Medical OSCE Quiz - needlestick and cranial nerves
Rachael Eleanor Alexandra