null
US
Sign In
Sign Up for Free
Sign Up
We have detected that Javascript is not enabled in your browser. The dynamic nature of our site means that Javascript must be enabled to function properly. Please read our
terms and conditions
for more information.
Next up
Copy and Edit
You need to log in to complete this action!
Register for Free
5383094
2nd Histology Exam Slides PMU 1st Year
Description
2nd Histology Exam Slides PMU
No tags specified
pmu
histology
1st year
slides
cytology and histology
medicine
Quiz by
Med Student
, updated more than 1 year ago
More
Less
Created by
Med Student
over 9 years ago
267
4
0
Resource summary
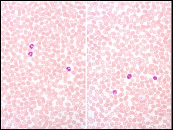
Question 1
Question
Label this Image First Dot: Name Second Dot: Staining
Image:
1bf40ea5-5adb-4d89-9314-d62eeaef7401 (image/jpeg)
Answer
Peripheral Blood Smear
Giemsa
Question 2
Question
Label this Image First Dot: Name Second Dot: Staining
Image:
7977fb9c-8c0c-4441-968d-860ac5f40473 (image/jpeg)
Answer
Smooth Muscle Tissue
HE
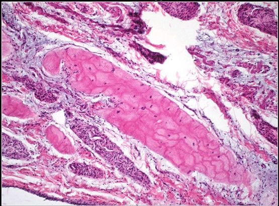
Question 3
Question
Label this Image First Dot: Name Second Dot: Staining
Image:
4d603bc3-3c48-4cc0-b943-d3b44939feee (image/jpeg)
Answer
Skeletal Striated Muscle Tissue
HE
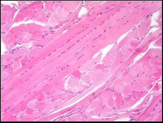
Question 4
Question
Label this Image First Dot: Name Second Dot: Staining
Image:
04ac7b1e-262e-4dcc-b6b3-8695c03316eb (image/jpeg)
Answer
Cardiac Striated Muscle Tissue
HE
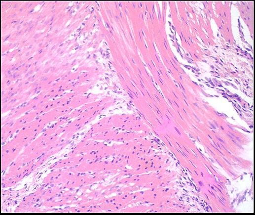
Question 5
Question
Label this Image First Dot: Name Second Dot: Staining
Image:
141eec08-9329-4f09-808b-d4a95df259f7 (image/jpeg)
Answer
Impulse Conductive Cardiac Muscle Tissue
HE
Question 6
Question
Label this Image First Dot: Name Second Dot: Staining
Image:
55825be9-eb5b-47fc-a1ad-92932f39416d (image/jpeg)
Answer
Multipolar Neurons
AgNO3
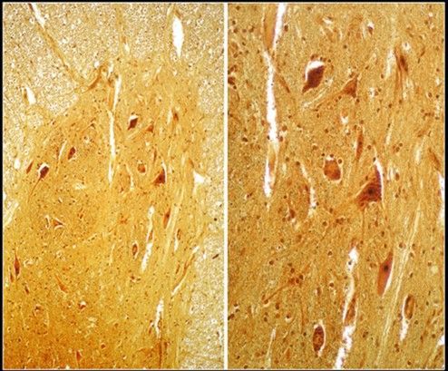
Question 7
Question
Label this Image First Dot: Name Second Dot: Staining
Image:
93ec0615-ebc0-43ab-9e2f-cbf8622efd33 (image/jpeg)
Answer
Cells of Purkinje
AgNO3
Question 8
Question
Label this Image First Dot: Name Second Dot: Staining
Image:
429ebf59-0bb4-448a-b6d6-154e10943887 (image/jpeg)
Answer
Pyramidal Neurons
AgNO3
Question 9
Question
Label this Image First Dot: Name Second Dot: Staining
Image:
b80c15b7-511e-413d-b593-9847d29caf1b (image/jpeg)
Answer
Myelinated Nerve Fibers
OsO4
Question 10
Question
Label this Image First Dot: Name Second Dot: Staining
Image:
d2b910c8-0145-40fa-ad32-504a1489a4a1 (image/jpeg)
Answer
Fibrous Astrocytes
AuCl2
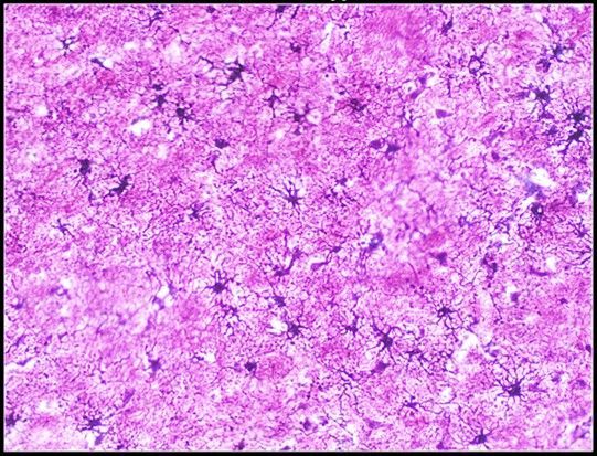
Question 11
Question
Label this Image First Dot: Name Second Dot: Staining
Image:
b9f98ebf-c5d1-42f7-8292-242f9bdaf7c7 (image/jpeg)
Answer
Protoplasmic Astrocytes
AgNO3
Question 12
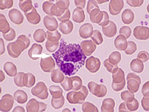
Question
What is labelled by the arrow?
Image:
9fd8c14c-bd17-43b1-a65d-e274aa5ed701 (image/jpeg)
Answer
Neutrophil
Question 13
Question
What is labelled by the arrow?
Image:
3279fc17-45b4-4bf1-853a-19cc8ac4cbb3 (image/jpeg)
Answer
Eosinophil
Question 14
Question
What is labelled by the arrow?
Image:
47176ae6-b936-4163-93c5-5324143efe7b (image/jpeg)
Answer
Basophil
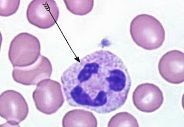
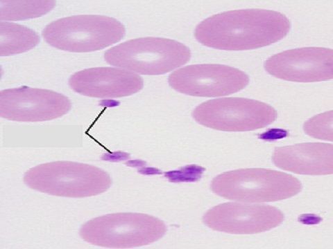
Question 15
Question
What is labelled by the arrow?
Image:
825d872e-a9ab-433c-82cd-58efbf8fb840 (image/jpeg)
Answer
Monocyte
Question 16
Question
What is labelled by the arrow?
Image:
26c63c66-9ec9-40cd-a582-f10a1a0b0044 (image/jpeg)
Answer
Lymphocyte
Question 17
Question
What is labelled by the arrow?
Image:
7f3ef24f-a084-4037-975a-ddeb75747be0 (image/jpeg)
Answer
Blood Plateles
Show full summary
Hide full summary
Want to create your own
Quizzes
for
free
with GoConqr?
Learn more
.
Similar
Arthrology, Myology Part 1 Long Questions- Anatomy PMU
Med Student
Connective Tissue Long Ans. Questions Histology MCQ 1st Year PMU
Med Student
Histology- Muscle Tissue Long Questions 1st year PMU
Med Student
Histology- Blood Tissue Long Questions- 1st Year
Med Student
Anatomy- Blood Supply, Meninges Long Questions 1st Year PMU
Med Student
Epithelial Tissue Long Questions Histology PMU 1st Year
Med Student
Anatomy Microscopes Slides 3rd Exam PMU
Med Student
Histology PMU Pictures 1st Year
Med Student
2nd Histology Exam Electron Graph Pictures- 1st Year PMU
Med Student
Microscope Slides of Bacteria & Fungi - 3rd year
Siddique Hassan Hameed Sulthan
Osteology MCQ's
Sole C
Browse Library