Cardio Exam 1 set 2

Description

ECHO, radiology, congenital heart disease
karahm
Quiz by karahm, updated more than 1 year ago
karahm
Created by karahm over 11 years ago
83
0

Resource summary

Question 1

Question
Which of the following is FALSE regarding the M-mode ECHO modality?
Answer
  • Has excellent temporal resolution so it is well suited to the examination of rapidly moving structures
  • Can use it to measure the left ventricle
  • Can use it to measure systolic function
  • Use the long axis of the heart

Question 2

Question
2D mode is a cross section of the heart. You can evaluate the heart on the long or short axis. The resolution is better than M-mode images.
Answer
  • True
  • False

Question 3

Question
What information can you get from a cardiac ultrasound? Check all that apply.
Answer
  • Confirm suspected diagnosis
  • Superior evaluation of cardiac dimensions of the right ventricle and right atrium
  • Evaluate valvular morphology
  • Evaluation of ventricular systolic function
  • Evaluation of severity of stenosis or shunts

Question 4

Question
Which of the following apply to spectral Doppler? Check all that apply.
Answer
  • Allows to measure blood velocity
  • Allows to establish the severity of a stenosis (continuous Doppler)
  • Allows to establish direction of the blood through a shunt (L to R or R to L) and the pressure gradient
  • Allows non-invasive evaluation of pulmonary hypertension
  • Allows to identify fast turbulent flow (stenotic valve, valvular insufficiency)
  • Allows to subjectively assess severity of valve regurgitation

Question 5

Question
ΔP = 4 x v². Which of the following is FALSE about this equation?
Answer
  • It is called Bernoulli's equation
  • Is used to quantify stenosis
  • Is used with color Doppler
  • Is used to evaluate direction and pressure gradient through a shunt

Question 6

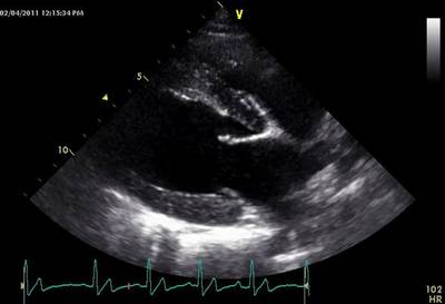
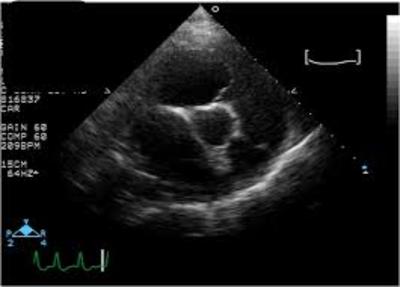
Question
Which image below is of an ECHO on the long axis?

Question 7

Question
When distinguishing between mediastinal fat and cardiomegaly, fuzzy margins and a more radiolucent area surrounding the heart indicate cardiomegaly.
Answer
  • True
  • False

Question 8

Question
Which of the following is FALSE?
Answer
  • The cardiac silhouette may be enlarged without heart enlargement. This occurs commonly in obese animals where fat is deposited in the pericardium.
  • Athletic dogs may have slightly larger hearts.
  • Puppies appear to have larger hearts relative to their body size.
  • Radiographs help distinguish between dilation and hypertrophy.
  • Breed conformation causes a tremendous variation in cardiac shape and size.

Question 9

Question
Which of the following indicate right heart enlargement? Check all that apply.
Answer
  • Enlargement of dorsocaudal border
  • Dorsal deviation of entire trachea (parallel to spine)
  • May see caudal bronchi compression
  • Caudal heart border elongated and upright
  • Increased width of heart
  • Increased sternal contact
  • Elevation of apex
  • Elevation of trachea if severe

Question 10

Question
Right heart enlargement in a cat looks like a Valentine's heart.
Answer
  • True
  • False

Question 11

Question
Which of the following is FALSE about congenital heart disease?
Answer
  • Almost all patients have a cardiac murmur
  • Absence of clinical signs at the time of detection is typical and implies good prognosis
  • Some lesions can be corrected but are associated with high mortality if untreated
  • Definitive non-invasive diagnosis requires Doppler echocardiography

Question 12

Question
Congenital heart disease may cause a soft murmur but a loud one always indicates the presence of disease.
Answer
  • True
  • False

Question 13

Question
Which of the following is TRUE of therapy of congenital heart disease?
Answer
  • CHD is most appropriately treated by medical therapy
  • All surgical approaches (not including interventional catheterization) require cardiopulmonary bipass
  • Interventional catheterization is nearly as invasive as surgeries
  • Some forms of CHD can be treated definitively

Question 14

Question
Which of the following is FALSE about PDA?
Answer
  • One of the most common forms of CHD in dogs
  • If a murmur is truly continuous, PDA is almost always the cause
  • PDA imposes volume overload on the right atrium and right ventricle, therefore right-sided CHF is a potential consequence
  • Mortality is high without correction. Transcatheter occlusion or surgical ligation represent definitive management

Question 15

Question
Which of the following describe pulmonic stenosis? Check all that apply.
Answer
  • Imposes a pressure overload on the right ventricle
  • Severely affected dogs may develop and succumb to right-sided CHF in the first years of life despite a lack of clinical signs during puppyhood
  • Definitive diagnosis requires Doppler ECHO
  • Initial treatment of choice is balloon valvuloplasty
  • A common malformation most often in large breed dogs
  • Imposes a pressure overload on the left ventricle
  • Definitive diagnosis requires M-mode ECHO
  • Severely affected dogs are more likely to die suddenly than to develop CHF
  • Management options are few, beta-blockade may be palliative

Question 16

Question
Isolated ventricular septal defects cause a diastolic murmur, shunts left to right and imposes a volume overload on the left atrium and left ventricle. Most VSD in small animals is severe with significant clinical consequences.
Answer
  • True
  • False

Question 17

Question
Which of the following describe concentric hypertrophy? Check all that apply.
Answer
  • Hypertrophy associated with normal chamber dimensions
  • Hypertrophy associated with chamber dilation
  • Consequence of pressure overloads
  • Consequence of volume overloads

Question 18

Question
Which of the following is FALSE regarding atrial septal defects?
Answer
  • A left-to-right ASD imposes a volume load on the right atrium and ventricle
  • If present, a murmur results from "functional pulmonic stenosis" not the shunt itself
  • ASDs are relatively uncommon
  • Can be repaired per-catheter using an occluding device or surgically under cardiopulmonary bypass
  • All of the above are true
  • All of the above are false

Question 19

Question
Which of the following is FALSE regarding AV valve dysplasia?
Answer
  • Can result in regurgitation or stenosis
  • Relatively common in cats
  • Tricuspid valvular dysplasia is relatively common in labradors
  • Severity is often mild
  • Regurgitation as a result of dysplasia requires cardiopulmonary bypass for correction

Question 20

Question
Cyanotic heart disease results when there is a shunt at one of the following: tricuspid stenosis, severe pulmonic stenosis, pulmonary hypertension associated with elevated pulmonary vascular resistance.
Answer
  • True
  • False

Question 21

Question
Eisenmenger's Physiology states that decreased pulmonary blood flow can result in vascular disease, a drop in pulmonary vascular resistance and shunt reversal.
Answer
  • True
  • False

Question 22

Question
Tetrology of Fallot is an uncommon cyanotic heart disease. Pulmonic stenosis, ventricular septal defect, right ventricular hypertrophy, and aortic malposition are all present. Definitive repair is under cardiopulmonary bypass. Phlebotomy/beta-blockade may be palliative.
Answer
  • True
  • False
Show full summary Hide full summary

Similar

Cardiorespiratory System.
JoseFINE Capolingua
Cardiorespiratory system
stackety
Cardio Exam 1 set 1
karahm
ECG/EKG
karahm
2016-09-07 Study
Roland Fearnley