Microbiology Practical F

Description

Raymond MCC
Elle Ashe
Quiz by Elle Ashe, updated more than 1 year ago
Elle Ashe
Created by Elle Ashe over 11 years ago
418
1

Resource summary

Question 1

Question
Obligate intracellular parasite
Answer
  • Organisms that can only grow inside another living host.
  • Viruses that infect bacteria.
  • Viral replication cycle that ends in the death of the host cell.

Question 2

Question
Bacteriophage
Answer
  • Viruses that infect bacteria.
  • Organisms that can only grow inside another living host cell.
  • Viral replication cycle that ends in death of its host cell.

Question 3

Question
Lytic cycle
Answer
  • Viral replication cycle that ends in death of its host cell.
  • Organisms that can only grow inside another living host cell.
  • Viruses that infect bacteria.

Question 4

Question
How does a medium used for bacterial growth differ from media used for bacteriophage growth?
Answer
  • Use ordinary media to grow bacteria but, a bacteriophage needs a host cell.
  • Use ordinary media to grow bacteriophages but, bacteria needs a host cell.

Question 5

Question
What is the purpose of making serial dilutions of the T-4 phage?
Answer
  • To obtain a countable plate of 30 - 300 plaques.
  • To obtain a countable plate of 30 - 300 colonies.
  • To obtain a countable plate of 30 - 300 individual viruses.

Question 6

Question
What is a viral plaque and what does it represent?
Answer
  • An area of clearing on an agar representing a spot where a virus landed, infected a bacteria and lysed it.
  • An area on an agar representing a spot where a bacteria landed, infected a virus and lysed it.
  • An area on an agar representing a spot where a virus landed, infect a yeast and lysed it.

Question 7

Question
What purpose does the E. coli serve in this procedure?
Answer
  • It is the host cell for the T4 bacteriophage
  • It is the host cell of the T4 bacteria.
  • It is the host cell of the T4 fungus.

Question 8

Question
Explain why Coccidioides immitis is considered to be a dimorphic fungus.
Answer
  • It can grow as a yeast and as a mold.
  • It can grow as a yeast and a virus.
  • It can grow as a mold and a virus.

Question 9

Question
What are the growth differences between fungus and bacteria?
Answer
  • Fungi grow faster, at a lower temperature and at a lower pH than bacteria.
  • Fungi grow faster, at a higher temperature and at a higher pH than bacteria.
  • Fungi grow slower, at a lower temperature and at a lower pH than bacteria.
  • Fungi grow slower, at a higher temperature and at a higher pH than bacteria.

Question 10

Question
Staphylococcus and Micrococcus are"
Answer
  • Gram (+) cocci in clusters
  • Gram (-) cocci in clusters
  • Staphylococcus is gram (+) in clusters and Micrococcus is gram (-) in pairs
  • Staphylococcus is gram (-) in clusters and Micrococcus is gram (+) in pairs

Question 11

Question
Where are Staphylococcus and Micrococcus normally found in the body?
Answer
  • Skin and mucus membranes
  • Intestines
  • Gastrointestinal tract
  • Skin and hair

Question 12

Question
Where are Staphylococcus and Micrococcus normally found in the body?
Answer
  • Skin and mucus membranes
  • Intestines
  • Gastrointestinal tract
  • Skin and hair

Question 13

Question
People that harbor the pathogen but exhibit no symptoms.
Answer
  • Carrier
  • MRSA
  • Nosocomial
  • Giver

Question 14

Question
Methicillin-resistant Staphylococcus aureus
Answer
  • MRSA
  • Carrier
  • Nosocomial
  • Multiple Resistant Streptococcus Aureus

Question 15

Question
Hospital acquired
Answer
  • Nosocomial
  • Carrier
  • Giver
  • Catalase

Question 16

Question
Which substances that Staphylococcus aureus produce to cause disease
Answer
  • Catalase
  • Coagulase
  • Hyaluronidase
  • Carilase

Question 17

Question
When do staphylococcus epidermidis and Micrococcus cause disease?
Answer
  • They are opportunistic pathogens.
  • All the time
  • Never

Question 18

Question
Differentiate the colony appearance of Staphylococcus and Streptococcus
Answer
  • Staph are larger, convex, opague and pigmented, Strep are smaller, translucent to slightly opaque.
  • Strep are larger, convex, opague and pigmented, Straph are smaller, translucent to slightly opaque.
  • Staph are smaller, convex, opague and pigmented, Strep are larger, translucent to slightly opaque.

Question 19

Question
Which enzyme helps differentiate all staphylococci from streptococci?
Answer
  • Catalase
  • Streptocase
  • Staphoolase

Question 20

Question
How did Lancefield divide the beta-hemolytic streptococci into groups?
Answer
  • C polysaccharide extracted from the cell walls
  • Peptidoglycan extracted from the cell walls
  • Lipids extracted from the cell walls

Question 21

Question
What is the species name of Lancefield Group A streptococci.
Answer
  • Streptococcus pyogenes
  • Streptococcus aureus
  • Streptococcus epidermidis
  • Streptococcus agalaticae

Question 22

Question
What is the species name of Lancefield Group B streptococci?
Answer
  • Streptococcus agalaticae
  • Streptococcus aureus
  • Streptococcus pyogenes
  • Streptococcus cocci

Question 23

Question
Where are Enterococcus normally found int he body?
Answer
  • Gastrointestinal tract
  • Skin and mucus
  • Liver
  • Kidneys

Question 24

Question
VRE?
Answer
  • Vancomycin resistant enterococcus
  • Vancomycin resistant ebolacoccus
  • Vancomycin resistant enteroboccus

Question 25

Question
Viridans streptococci
Answer
  • Alpha hemolytic streptococci other than streptococcus pneumonea
  • Beta hemolytic streptococci other than streptococcus pneumonea
  • Alpha heolytic staphylococci other than staphylococcus pneumonea
  • Beta heolytic staphylococci other than staphylococcus pneumonea

Question 26

Question
Group A Strep causes __________________
Answer
  • Strep throat
  • Community-acquired pneumonia
  • Neonatal septicemia
  • Urinary tract infection

Question 27

Question
Group B Strep causes _____________
Answer
  • Neonatal septicemia
  • Strep throat
  • Urinary tract infection
  • Community-acquired pneumonia

Question 28

Question
Enterococcus causes _________________
Answer
  • Urinary tract infection
  • Dental cavities
  • Strep throat
  • Neonatal speticemia

Question 29

Question
Streptococcus pneumoniae causes _________________
Answer
  • Community-acquired pneumonia
  • Neonatal septicemia
  • Urinary tract infection
  • Strep throat

Question 30

Question
Viridans streptococci
Answer
  • Dental cavities
  • Strep throat
  • Urinary tract infection
  • Neonatal septicemia

Question 31

Question
Why is Coccidioides immitis considered to be a dimorphic fungus?
Answer
  • It can grow as a yeast and as a mold
  • It can grow in pairs.
  • It can grow as coccus or bacillus.

Question 32

Question
What are the growth factors between fungus and bacteria?
Answer
  • Fungi grow slower, at a lower temp and lower pH than bacteria
  • Fungi grow faster, at a higher temp and higher pH than bacteria
  • Fungi grow slower, at a higher temp and lower pH than bacteria
  • Fungi grow faster, at a lower temp and higher pH than bacteria

Question 33

Question
Explain the difference between vegetative hyphae and aerial hyphae.
Answer
  • Vegetative hyphae grow on or down into the agar surface; aerial hyphae grow above the agar surface.
  • Aerial hyphae grow on or down into the agar surface; vegetative hyphae grow above the agar surface.

Question 34

Question
The difference between sporangiospores and conidiospores:
Answer
  • Sporangipospores are inside of a sac and condidiospores are the end of hyphae.
  • Condidiospores are inside of a sac and sporangipospores are the end of hyphae.

Question 35

Question
How are molds identified in the laboratory?
Answer
  • Macroscopic appearance
  • Microscopic appearance
  • Hyphal structure

Question 36

Question
What are the characteristics of Enterobacteriacea?
Answer
  • All are gram (-) rods
  • All are gram (+) cocci
  • All ferment glucose
  • All reduce nitrate to nitrite
  • They are oxidase (-)
  • They are oxidase (+)
  • They do not ferment glucose

Question 37

Question
What are the characteristics of non-fermenters?
Answer
  • All are gram (-)
  • All ferment glucose
  • They do not ferment glucose
  • They are all oxidase (-)
  • Many are oxidase (+)
  • All are gram (+)

Question 38

Question
What are the two major groups of gram (-) rods?
Answer
  • Enterobacteriacaea
  • Non-fermenters
  • Staphylococcus
  • Streptococcus

Question 39

Question
Which carbohydrate is used to determine whether a gram negative rod is a "Nonfermenter" or "Enterobacteriacae"?
Answer
  • Glucose
  • Lactose

Question 40

Question
What carbohydrate(s) are in the Kigler Iron Agar media?
Answer
  • Glucose
  • Lactose
  • Sucrose
  • Galactose

Question 41

Question
What carbohydrate(s) are in the MacConkey agar?
Answer
  • Glucose
  • Lactose
  • Sucrose
  • Galactose

Question 42

Question
Why is MacConkey agar considered to be a selective and differential media?
Answer
  • It is selective because it contains bile salts and crystal violet which inhibit the growth of gram (+) organisms. It is differential because it contains lactose making it differential for lactose fermentation.
  • It is selective because it contains bile salts and crystal violet which inhibit the growth of gram (-) organisms. It is differential because it contains lactose making it differential for lactose fermentation.
  • It is differential because it contains bile salts and crystal violet which inhibit the growth of gram (+) organisms. It is selective because it contains lactose making it differential for lactose fermentation.
  • It is differential because it contains bile salts and crystal violet which inhibit the growth of gram (-) organisms. It is selective because it contains lactose making it differential for lactose fermentation.

Question 43

Question
How many types of organisms will you identify in the mixed unknown exercise?
Answer
  • 1
  • 2
  • 4

Question 44

Question
What type of organism grows on MacConkey agar?
Answer
  • Gram (-)
  • Gram (+)

Question 45

Question
What ingredient on the MacConkey agar will differentiate the organisms growing on the agar?
Answer
  • Lactose
  • Bile salts and crystal violet
  • Blood

Question 46

Question
What type of organism grows on CNA?
Answer
  • Gram (+)
  • Gram (-)

Question 47

Question
What ingredient in the CNA media allows differentiation of the organisms growing on the agar?
Answer
  • Bile salts and crystal violet
  • Blood
  • Lactose

Question 48

Question
Why is CNA media incubated in a candle jar?
Answer
  • Streptococcus are microaerophiles
  • Streptococcus are anaerobes

Question 49

Question
Why is a cotton swab used to obtain the sample from the original broth?
Answer
  • To make sure we get both organisms from the mixed culture
  • To make sure enough sample is collected
  • To make it easier to inoculate the media

Question 50

Question
Why is T. soy agar used to grow the "stock cultures"?
Answer
  • It's a neutral media that all bacteria like
  • It is a selective media that only gram (-) bacteria like.
  • It is a selective media that only gram (+) bacteria like.

Question 51

Question
Why do you need to develop two flow charts in order to identify your unknown organisms?
Answer
  • You have to develop a dichotomous key for each of your unknown organisms and we have two organisms.
  • You have to develop a dichotomous key for each depending on the outcome of growth on the selective media.

Question 52

Question
What is an "enteric" organism?
Answer
  • Part of the normal flora of the intestinal tract
  • Bacteria that live inside another organism.

Question 53

Question
How are culture media designed to detect if a bacteria can produce a specific enzyme?
Answer
  • Substrates are incorporated into the culture media that the enzymes act upon and that along with indicator system lets you see the products.
  • Enzymes are incorporated into the media and an indicator systems lets you see if they match the organism.

Question 54

Question
What is the purpose of the Durham tube in the carbohydrate fermentation tubes?
Answer
  • Collects gas
  • Releases gas
  • Keeps tube from exploding

Question 55

Question
Name the specific tests that are part of the IMViC test
Answer
  • Indole
  • Methyl red
  • Voges-Proskauer
  • Citrate
  • Urease

Question 56

Question
Name 3 Enterobacteriaceae normally found in the gastrointestinal tract.
Answer
  • E. coli
  • Enterobacter aerogenes
  • Proteus vulgaris
  • Salmonella
  • Klebsiella pneumoniae
  • Shigella

Question 57

Question
Name two Enterobacteriaceae that are major pathogens and state the disease they cause.
Answer
  • Salmonella - Gastroenteritis, typhoid fever
  • Shigella - Bacterial dysentery
  • E. coli - Gastroenteritis, typhoid fever
  • Proteus vulgaris - Bacterial dysentery

Question 58

Question
Which commercial test systems are used to identify gram (-) rods in clinical labs?
Answer
  • Entero tube
  • API
  • 20E
  • Micro ID
  • Micro tube
  • APE

Question 59

Question
Why do you use the streak-stab method for blood agar inoculations?
Answer
  • So you can see the hemolysis better
  • To see if the bacteria like to grow in or on the agar

Question 60

Question
Where do you grow streptococcus and why?
Answer
  • In a candle jar because it's a microaerophile
  • In the air because it's an aerobe

Question 61

Question
Which bacteria are alpha and optochin sensitive?
Answer
  • Streptococcus pneumoniae
  • Streptococcus mitis
  • Streptococcus pyogenes
  • Group C Streptococcus
  • Enterococcis faecalis

Question 62

Question
Which bacteria are and optochin resistant?
Answer
  • Streptococcus mitis
  • Streptococcus pneumoniae
  • Streptococcus pyogenes
  • Group C Streptococcus
  • Enterococcus faecalis

Question 63

Question
Which bacteria are beta and bacitracin sensitive?
Answer
  • Streptococcus pyogenes
  • Streptococcus pneumoniae
  • Streptococcus mitis
  • Group C Streptococcus
  • Enterococcus faecalis

Question 64

Question
Which bacteria are beta and bacitracin resistant?
Answer
  • Group C Streptococcus
  • Streptococcus mitis
  • Streptococcus pneumoniae
  • Enterococcus faecalis
  • Streptococcus pyogenes

Question 65

Question
How do you tell the difference between the alpha hemolytic Streptococcus and and Enterococcus faecalis?
Answer
  • The alpha Streptococcus are bile esculin (-) and the Enterococcus faecalis is bile esculin (+)
  • The alpha Streptococcus are bile esculin (+) and the Enterococcus faecalis is bile esculin (-)

Question 66

Question
How does the catalase test differentiate between Staphylococcus and Streptococcus?
Answer
  • Staphylococcus is catalase (+) and Streptococcus is catalase (-)
  • Staphylococcus is catalase (-) and Streptococcus is catalase (+)

Question 67

Question
What kind of hemolysis is shown on this plate?
Answer
  • Alpha hemolyisis
  • Beta Hemolysis
  • Gamma Hemolysis

Question 68

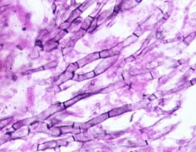
Question
What is the mold pictured?
Answer
  • Aspergillis
  • Penicillium
  • Rhizopus

Question 69

Question
What is the mold pictured?
Answer
  • Aspergillus
  • Penicillium
  • Rhizopus

Question 70

Question
What is the mold pictured?
Answer
  • Aspergillus
  • Penicillium
  • Rhizopus

Question 71

Question
What is the mold pictured?
Answer
  • Aspergillus
  • Penicillium
  • Rhuzopus

Question 72

Question
What is the mold pictured?
Answer
  • Aspergillus
  • Penicillium
  • Rhizopus

Question 73

Question
What is the mold pictured?
Answer
  • Aspergillus
  • Penicillium
  • Rhizopus

Question 74

Question
What is the mold pictured?
Answer
  • Aspergillus
  • Penicillium
  • Rhizopus

Question 75

Question
What mold is pictured?
Answer
  • Aspergillus
  • Penicillium
  • Rhizopus

Question 76

Question
What mold is pictured?
Answer
  • Aspergillus
  • Penicillium
  • Rhizopus

Question 77

Question
What mold is pictured?
Answer
  • Aspergillus
  • Penicillium
  • Rhizopus

Question 78

Question
What mold is pictured?
Answer
  • Aspergillus
  • Penicillium
  • Rhizopus

Question 79

Question
What mold is pictured?
Answer
  • Aspergillus
  • Penicillium
  • Rhizopus

Question 80

Question
What mold is pictured?
Answer
  • Aspergillus
  • Penicillium
  • Rhizopus

Question 81

Question
What mold is pictured?
Answer
  • Aspergillus
  • Penicillium
  • Rhizopus

Question 82

Question
What mold is pictured?
Answer
  • Aspergillus
  • Penicillium
  • Rhizopus

Question 83

Question
Is this result positive or negative for beta lactamase?
Answer
  • Positive
  • Negative

Question 84

Question
Is this result positive or negative for beta lactamase?
Answer
  • Positive
  • Negative

Question 85

Question
What are the results of the bile esculin test pictured?
Answer
  • A = negative, B = positive
  • A = positive, B = negative

Question 86

Question
What are the results of the carbohydrate fermentation pictured?
Answer
  • A = negative, B = positive, C = positive + gas
  • A = positive, B = negative, C = negative +gas

Question 87

Question
What are the results of the citrate test pictured?
Answer
  • A = negative, B = positive
  • A = positive, B = negative

Question 88

Question
What are the results of the indole test pictured?
Answer
  • A = negative, B = positive
  • A = positive, B = negative

Question 89

Question
What is the result of the lactose fermentation pictured?
Answer
  • A = negative, B = positive, C = positive
  • A = negative, B = negative, C = positive
  • A = positive, B = negative, C = negative
  • A = positive, B = positive, C = negative

Question 90

Question
What are the results of the motility test pictured?
Answer
  • A = non-motile, B = motile, C = motile
  • A = non-motile, B = non-motile, C = motile
  • A = motile, B =motile, C = non-motile
  • A = motile, B = non-motile, C = non-motile

Question 91

Question
What are the results of the sensitivity test pictured?
Answer
  • A = sensitive, B = resistant
  • A = resistant, B = sensitive

Question 92

Question
How do you calculate the titer of phage in the original sample given the number of plaques and the dilution of the plate?
Answer
  • # of plaques x dilution x 10^-1 = _________ PFU/mL
  • # of plaques x dilution x 10^1= __________ PFU/mL

Question 93

Question
What kind of hemolysis is pictured?
Answer
  • Gamma
  • Alpha
  • Beta

Question 94

Question
Which bacteria is cogulase positive and manitol slat agar positive?
Answer
  • Staphylococcus aureus
  • Staphylococcus epiderminis
  • Micrococcus roseus
  • Micrococcus luteus

Question 95

Question
Which bacteria is coagulase negative and manitol salt agar negative?
Answer
  • Staphylococcus epidermidis
  • Stapylococcus aureus
  • Micrococcus roseus
  • Micrococcus luteus

Question 96

Question
What bacteria is positive for nitrate reduction and rose for pigment production?
Answer
  • Micrococcus roseus
  • Micrococcus luteus
  • Staphylococcus aureus
  • Staphylococcus epidermidis

Question 97

Question
What bacteria is negative for nitrate reduction and yellow for pigment production?
Answer
  • Micrococcus luteus
  • Micrococcus roseus
  • Staphylococcus aureus
  • Staphylococcus epidermidis

Question 98

Question
How is Enterococcus faecalis differentiated from other alpha hemolytic streptococcus?
Answer
  • It is positive for bile esculin
  • It is negative for bile esculin

Question 99

Question
Which Streptococcus bacteria is optochin resistant?
Answer
  • Streptococcus mitis
  • Streptococcus pneumoniae
  • Streptococcus pyogenes
  • Group C streptococcus

Question 100

Question
Which streptococcus bacteria is optochin sensitive?
Answer
  • Streptococcus pneumoniae
  • Streptococcus mitis
  • Streptococcus pyogenes
  • Group C Streptococcus

Question 101

Question
Which bacteria is bacitration resistant?
Answer
  • Group C Streptococcus
  • Streptococcus pyogenes
  • Streptococcus pneumoniae
  • Streptococcus mitis

Question 102

Question
Which bacteria is bacitracin sensitive?
Answer
  • Streptococcus pyogenes
  • Streptococcus mitis
  • Streptococcus pneumoniae
  • Group C Streptococcus

Question 103

Question
Which bacteria are alpha hemolytic?
Answer
  • Streptococcus mitis
  • Streptococcus pneumoniae
  • Streptococcus pyogenes
  • Group C Streptococcus

Question 104

Question
Which bacteria are beta hemolytic?
Answer
  • Streptococcus mitis
  • Streptococcus pneumoniae
  • Streptococcus pyogenes
  • Group C Streptococcus

Question 105

Question
What hemolysis is pictured?
Answer
  • A= alpha, B = beta, C = gamma
  • A = beta, B = alpha, C = gamma
  • A = gamma, B = alpha, C = beta
Show full summary Hide full summary

Similar

Chapter 7 - The Blue Print of Life, from DNA to Protein
Dorothy B
Immune System
dsandoval
THE PROTIST MIND MAP
hasvinee
Infection and Disease
hannahcurle
HIV and the immune system
Beth Moore
Protein section 2
MrSujg
Infection and response
Brodie McMeowface
Microbiology
Chloe Cotter
Microbiology Lab Exam I
Jo O'Bar
Pathogens: Viruses, Bacteria, Fungi & Protists
Haaris Iqbal