Radiology Exam #1

Description

It has all the red text and most of the CXRs
Aileen Fiallo
Quiz by Aileen Fiallo, updated more than 1 year ago
Aileen Fiallo
Created by Aileen Fiallo over 8 years ago
75
1

Resource summary

Question 1

Question
In what disease will you see this in?
Answer
  • Multiple Myeloma
  • Paget's Disease
  • Meningitis
  • Subarachnoid Hemorrhage

Question 2

Question
In what disease will you see this in?
Answer
  • Multiple Myeloma
  • Paget's Disease
  • Breast Cancer
  • Meningitis

Question 3

Question
What are some cancers that metastasizes to the bone?
Answer
  • Prostate
  • Breast
  • Kidney
  • Thyroid
  • Lung
  • All of the above

Question 4

Question
What should you be thinking when there is a febrile illness plus a headache plus a stiff neck?
Answer
  • Multiple Myeloma
  • Paget's Disease
  • Subarachnoid Hemorrhage
  • Meningitis

Question 5

Question
25-year-old male presents to the ER stating, "I have the worst headache of my life that came out of no where". Aka Thunderclap Headache. What is it till proven otherwise?
Answer
  • Multiple Myeloma
  • Paget's Disease
  • Subarachnoid Hemorrhage
  • Meningitis

Question 6

Question
What are the three signs of basilar skull fx?
Answer
  • raccoon eyes
  • terrible cough
  • severe sore throat
  • CSF rhinorrhea
  • otorrhea

Question 7

Question
What is fractured in a Tripod Fracture?
Answer
  • zygomatic arch
  • temporal bone
  • lateral orbital rim
  • superior orbital rim
  • inferior orbital rim
  • lateral wall of the maxillary sinus

Question 8

Question
In what disease will you see this in?
Answer
  • COPD
  • Pneumonia
  • Epiglottitis
  • Croup
  • Retropharyngeal Abscess

Question 9

Question
In what disease will you see this in?
Answer
  • COPD
  • Bronchiectasis
  • Asthma
  • Atelectasis

Question 10

Question
What is chronic cavitation is associated with?
Answer
  • Mycoplasma
  • Kaposi’s Sarcoma
  • Pneumocystis jiroveci
  • Acute TB

Question 11

Question
What disease will be associated with immunocompromised adults (HIV pt’s) and their CXR will show “ground glass appearance” or it can be normal?
Answer
  • Kaposi’s Sarcoma
  • Pneumocystis jiroveci (carinii) pneumonia
  • Silicosis
  • Congestive Heart Failure

Question 12

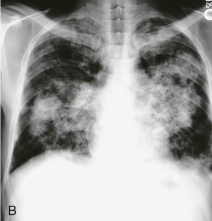
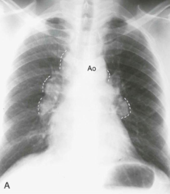
Question
In what disease will you see this in?
Answer
  • Pneumocystis jiroveci
  • Kaposi’s Sarcoma
  • Tuberculosis (TB)
  • Silicosis

Question 13

Question
What disease has “Eggshell” calcifications in the hilar nodes in addition to uniformly distributed small (1-10 mm) nodules?
Answer
  • Sarcoidosis
  • Kaposi's Sarcoma
  • Pneumocystis jiroveci
  • Silicosis

Question 14

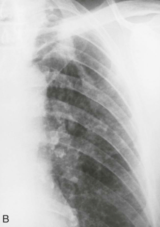
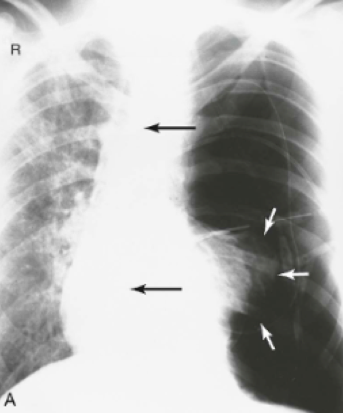
Question
In what disease will you see this in?
Answer
  • Kaposi's Sarcoma
  • Silicosis
  • Sarcoidosis
  • Pneumocystis jiroveci

Question 15

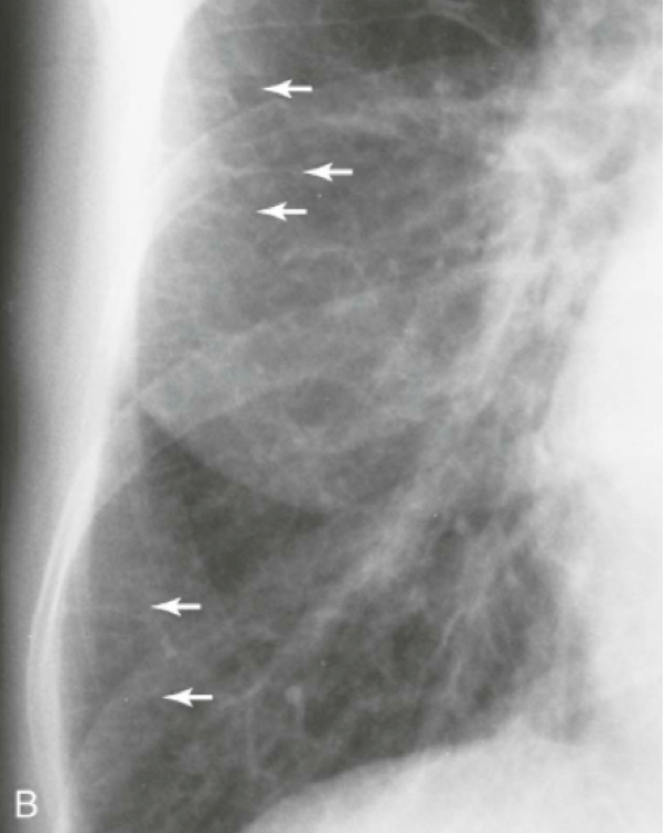
Question
In what disease will you see this in?
Answer
  • Pneumocystis jiroveci
  • Silicosis
  • Kaposi's Sarcoma
  • Sarcoidosis

Question 16

Question
The image appears to have a fungal ball present on the right lower part of the lung.
Answer
  • True
  • False

Question 17

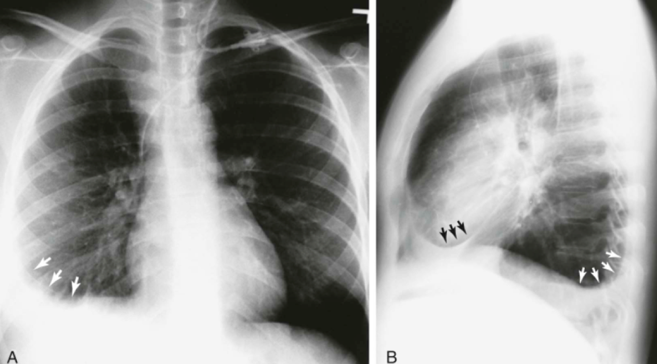
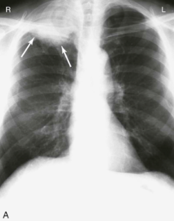
Question
In what disease will you see this in?
Answer
  • Sarcoidosis
  • Pneumocystis jiroveci
  • Kaposi's Sarcoma
  • Silicosis

Question 18

Question
Pan coast Tumor is an upper lobe carcinoma that has eroded into the pleura and adjacent structures such as the ribs.
Answer
  • True
  • False

Question 19

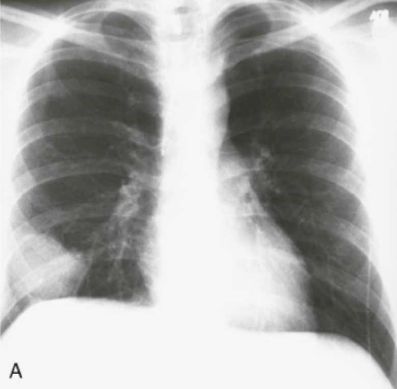
Question
What is in this image?
Answer
  • Pancoast Tumor
  • Fungal Ball
  • Hair braids
  • bulla

Question 20

Question
In what disease will you see this in?
Answer
  • Mycoplasma
  • Pneumocystis jiroveci
  • Silicosis
  • Tuberculosis

Question 21

Question
“Kerley B Lines” is seen in COPD patients.
Answer
  • True
  • False

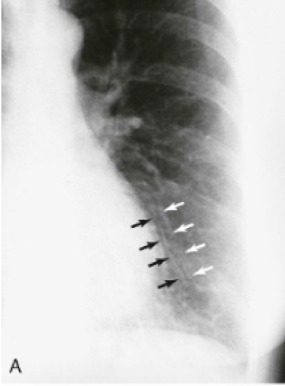
Question 22

Question
In "Kerley B Lines" , fluid may be seen in the interlobular septa at the basal aspects of the lung. Where is it always located and the position of it?
Answer
  • inside the lungs; horizontal
  • inside the lungs; vertical
  • inside the ribs; horizontal
  • inside the ribs; vertical

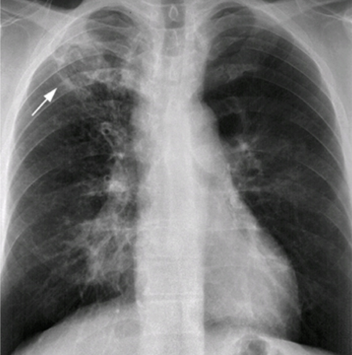
Question 23

Question
In what diseases will you see this?
Answer
  • COPD
  • CHF
  • Tuberculosis
  • Pneumothorax

Question 24

Question
What does this CXR tell you?
Answer
  • Hydropneumothorax
  • Tension Pneumothorax
  • Pneumomediastinum
  • Pneumothorax

Question 25

Question
What does this CXR tell you?
Answer
  • Hydropneumothorax
  • Pneumomediastinum
  • Pneumothorax
  • Tension Pneumothorax

Question 26

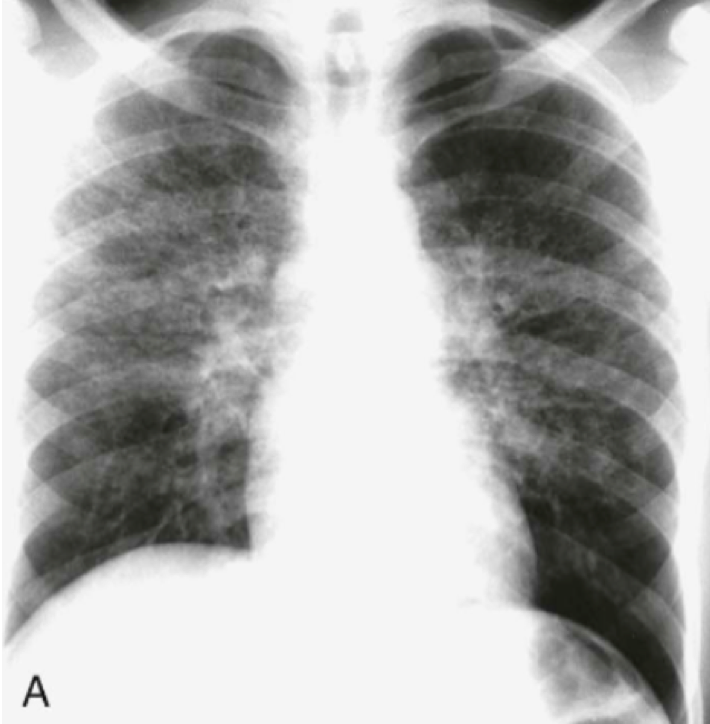
Question
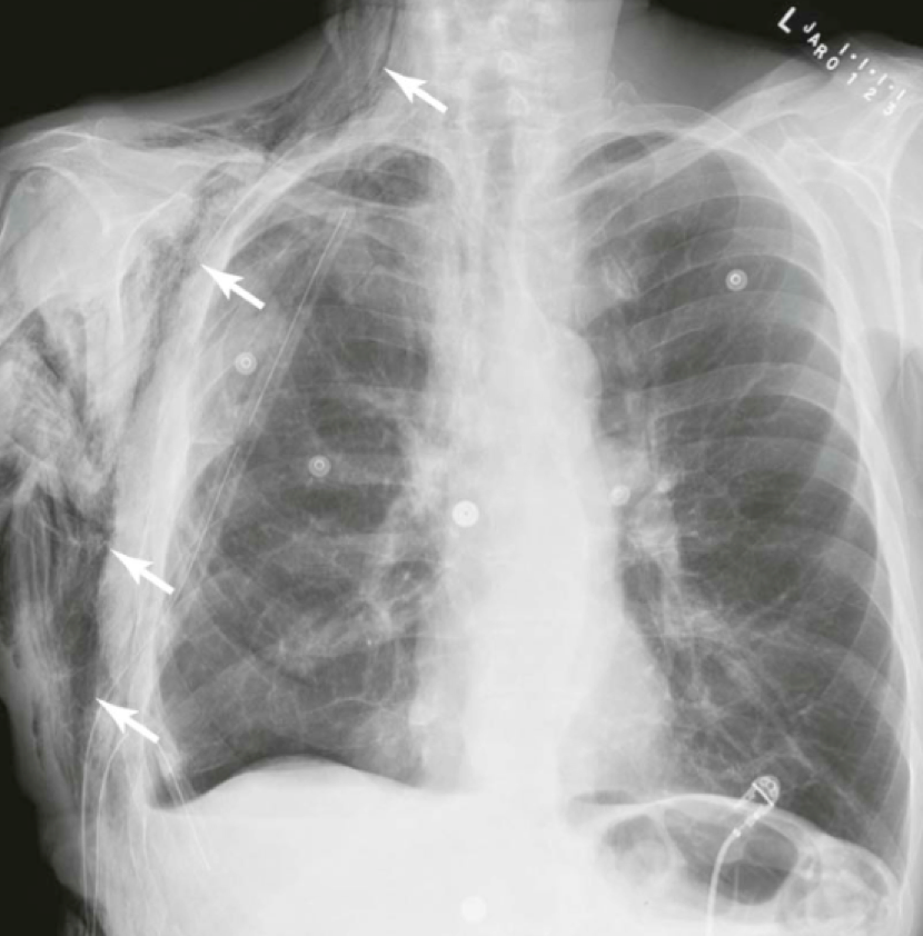
What does this image show?
Answer
  • Pneumomediastinum
  • Pleural Effusion
  • Subcutaneous Emphysema
  • Hydropneumothorax

Question 27

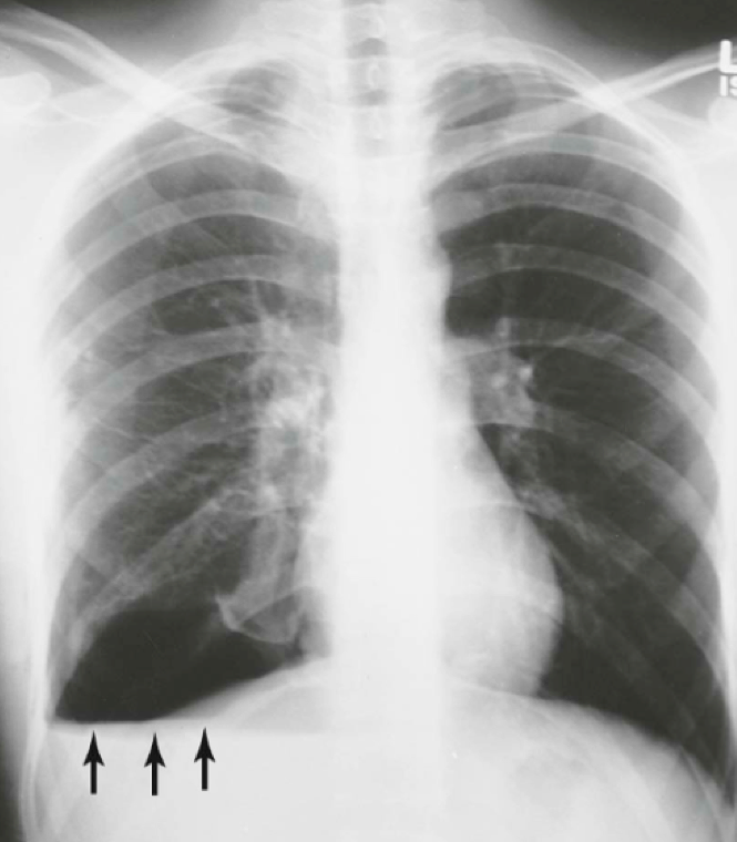
Question
What does this image show you?
Answer
  • Pleural Effusion
  • Subcutaneous Emphysema
  • Pneumomediastinum
  • Pneumothorax

Question 28

Question
In Mediastinal Lesions, the anterior mass lesions are the five T's: Thymoma, Thyroid tumor, Thoracic aneurysm (ascending), Teratoma, Terrible lymphoma
Answer
  • True
  • False
Show full summary Hide full summary

Similar

Epidemiology
Danielle Richardson
History of Medicine: Ancient Ideas
James McConnell
Epithelial tissue
Morgan Morgan
4. The Skeletal System - bones of the skull
t.whittingham
Neuro anatomy
James Murdoch
The Endocrine System
DrABC
Respiratory anatomy
James Murdoch
Medical Terminology
khachoe_pema
Diabetes - pathophysiology
Morgan Morgan
PHARMACOLOGY BLOCK 1- basic intro
wallacejr@hotmail.co