The structure of the heart

Description

A slide show to summarise the structure and function of the circulatory system
rachel_w
Slide Set by rachel_w, updated more than 1 year ago
rachel_w
Created by rachel_w over 10 years ago
1822
51

Resource summary

Slide 1

    The external structure of the Heart
    The heart is a muscular organ located between the lungs in the centre of the chest (thorax), and is about the size of a fist. It pumps blood continuously around the body. An organism can lose consciousness within just a few seconds if the brain is deprived of blood.The heart is made from cardiac muscle and is a dual pump. This means that blood flows around the body in 2 routes simultaneously - both to and back from the lungs (the pulmonary circuit) and at the same time to and back from the body (systemic circuit).

Slide 2

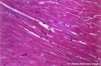
    Caption: : A light microscope image of cardiac muscle
    The heart mainly consists of cardiac muscle tissue, which like smooth muscle (but not skeletal muscle), contracts involuntarily. Cardiac muscle is made up of cells that are connected by cytoplasmic bridges. This enables electrical impulses to pass through the tissue. It contains large numbers of mitochondria (to supply high energy demands) and myoglobin molecules (a protein that stores oxygen to keep up with the high demand for oxygen due to continual contraction).
    Cardiac muscle

Slide 3

Show full summary Hide full summary

Similar

Respiration
Sarita Saha
The Circulatory System
Shane Buckley
The structure of the Heart, AS Biology
mill-bill
biology 1-4
ady2700
The Flowering Plant and Photosynthesis
lalalucy13
biology 5-9
ady2700
Plant and animal cells
Tyra Peters
Enzymes and Respiration
I Turner
GCSE Biology B2 (OCR)
Usman Rauf
B2:keeping healthy
justbuysomemilk
The Circulatory System
Johnny Hammer