The Muscular System

Description

Skeletal, Cardiac and Smooth
lionel.braud
Slide Set by lionel.braud, updated more than 1 year ago
lionel.braud
Created by lionel.braud about 10 years ago
105
0

Resource summary

Slide 1

    Skeletal Muscle or Voluntary Striated Muscle under control of conscious mind looks striped under microscope light and dark bands ind. muscle cell, aka muscle fibers, are the largest cells in human body.  
    Muscular System

Slide 2

    muscle fiber runs entire length of muscle each muscle fiber contains myofibrils: contractile subunits each cylindrical myofibril is surrounded by  Sarcoplasmic reticulum: rich in Calcium ions, network of tubes T-tubules-deep indentations in muscle fiber are tubules  SR and Tubules critical for muscle contraction each myrofibral contains subunits called sarcomer.  sarcomeres end at the junction of the Z-line on this Z-line contains the two protiens, Myocin and Acetine  these two protiens enable contraction of muscle. 

Slide 3

    Muscle Attachments Most muscles attach to bone at both ends through a fibrous connective tissue:tendons Aponeuroses:  a sheetlike tendinous expansion that fastens muscles to the parts it moves, proximal or distal attachment of a flat muscle.

Slide 4

    Muscles have a couple attachments sites in order to move over bone and other muscle. 1. Origin of the muscle is more stable: it doesn't move when muscle contracts.2. insertion of the muscle: less stable, more movement.
    Muscle Attachments

Slide 5

    Prime Mover:muscle group that directly produces the movementAntagonist: opposes the prime moverSynergist: a muscle that contracts at the same time as the prime mover; Fixator Muscles, for example, stabilize joints to allow other movements to take place.

Slide 6

    Muscle Naming
    Action: a muscle's name according to function. Flexor muscles flex.Shape: deltoid muscle, means triangular muscle of the shoulder region.Location: muscle's name denotes locality; biceps brachii means upper arm region.# of heads or divisions: triceps muscle has three attachment sites. bi-two...

Slide 8

    Micro anatomy of muscle
    real long skeletal muscle cells look like fibers, hence, skeletal muscle fibers poly-nuclei sarcolemma- muscle cell membrane biggest vol. of skeletal muscle fiber is made up of small microfibrils. organelles between MF have energy producing mitochondria, network called sarcoplasmic reticulum. 
    Caption: : The diagram below describe the arrangements of actin and myosin. Please note that actin filaments are made of chains of globular actin molecules

Slide 9

Slide 10

    Neuromuscular Part
    Neuromuscular junctions are nerve fibers that connect to muscle fibers. Motor Unit: a nerve fiber that innervates all the other fibers. sets the chain reaction.        -mscl/MU: small muscles that make tiny, delicate moves(like the eye) require less muscle fibers per Motor Unit. arms, legs, more motor units

Slide 11

    Connective Tissue LayersHold the Fibers together: Each muscle fiber is surrounded by outer tissue filled with fine reticular fibers called EndomysiumPerimysium bounds the fascicles,musc ske fibers, even tighterEpimysium: the fascicles are surrounded by Epimysium. 

Slide 12

    Physiology of Skeletal Muscle
    Nerve impulse----motor nerve fiber--- reaches end bulb~neuromuscular junction releases Acetylcholine into synaptic space.-the contraction process of the muscle is powered by ATP( adenosine triphosphate), gives energy. contraction and relaxation requires energyCA in fiber yields CA in bloodstream

Slide 13

Slide 14

    Twitch Contraction
    -the basics of muscle contraction is broken down into 3 phases.     -latent phase-hesitation btw nerve stim and contrct: last 0.01contracting phase 0.04 secondsrelaxation phase. 0.05 seconds

Slide 15

    Muscle and ATP(ADP)
    Muscle gets energy from ATP

Slide 16

    -Muscle gets energy from ATP-ATP are like batteries: release energy and then need recharging-3 phosphate groups attached to adenosine core.-phosphate group released: considerable amt of energy: forms adp.Creatine Phosphate is the battery charger that converts ADP back to ATP. 
    Muscle and ATP(ADP)

Slide 17

Slide 18

    Cardiac Muscle
    Intercalated discs are microscopic identifying features of cardiac muscle. These discs fasten the cells together and it transmits impulses from one cell to another. -requires no external stimulation-self-efficient-Sinoatrial Mode is a natural pacemaker.

Slide 19

    Nerve Supply to Heart
    nerves to heart come from autonomic portion of the NS.  Sympathetic fibers: beat harder and faster. Parasympathetic fibers slow down heart. 

Slide 20

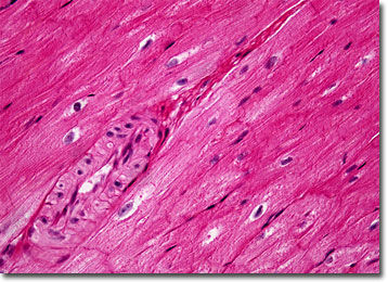
    Smooth Muscle
    AKA nonstriated muscle or involuntary muscle.  found all over the body  it comes as, Visceral Smooth Muscle, large sheets of cells in the walls of hollow organs. multiunit smooth muscle: or as small, discrete groups of cells.  Visceral Smooth Muscle-As with any muscle, the smooth, involuntary muscles of the visceral muscle tissue (which lines the blood vessels, stomach, digestive tract, and other internal organs) are composed of bundles of specialized cells capable of contraction and relaxation to create movement
    Caption: : Smooth muscle is typically comprised of numerous elongate spindle-shaped cells

Slide 21

Show full summary Hide full summary

Similar

The Muscular System
Vincent Conquer